CASE REPORT
JOP. J Pancreas (Online) 2011 May 6; 12(3):259-261.
Paraganglioma Mimicking a Pancreatic Neoplasm
Nicole Lightfoot1, Peter Santos2, Mehrdad Nikfarjam3
Departments of 1Pathology, 2Nuclear Medicine, and 3Surgery; University of Melbourne, Austin Health. Heidelberg, VIC, Australia
ABSTRACT
Context Paragangliomas are rare tumours of neural crest origin. Extra-adrenal pancreatic paragangliomas are exceptionally rare. Case report A 66-year-old man with abdominal pain was noted to have a complex pancreatic head and uncinate process mass on imaging. He underwent complete resection by pancreaticoduodenectomy with final pathology confirming a 6 cm paraganglioma without evidence of metastases. On histology the tumour was arising from the retroperitoneum and abutting the pancreas. The patient was disease free at 14-month follow-up. Conclusion Pancreatic paragangliomas represent in many cases the retroperitoneal extension of a paraganglioma into the pancreas rather than a true pancreatic neoplasm. Although generally benign, the risk of malignant transformation justifies aggressive management.
INTRODUCTION
Extra-adrenal paragangliomas are tumours of the autonomic nervous system which arise from the neural crest. Common sites include the head and neck region, mediastinum and retroperitoneum. Paragangliomas also infrequently occur within organs, arising from paraganglia, which are collections of neuroepithelial cells [1].
Paraganglioma arising within the pancreas is rare. It is equivocal whether reported cases truly arise within pancreatic parenchyma, or represent extension from extra-pancreatic sites. We report the case of a pancreatic paraganglioma and discuss the features associated with this tumour.
CASE REPORT
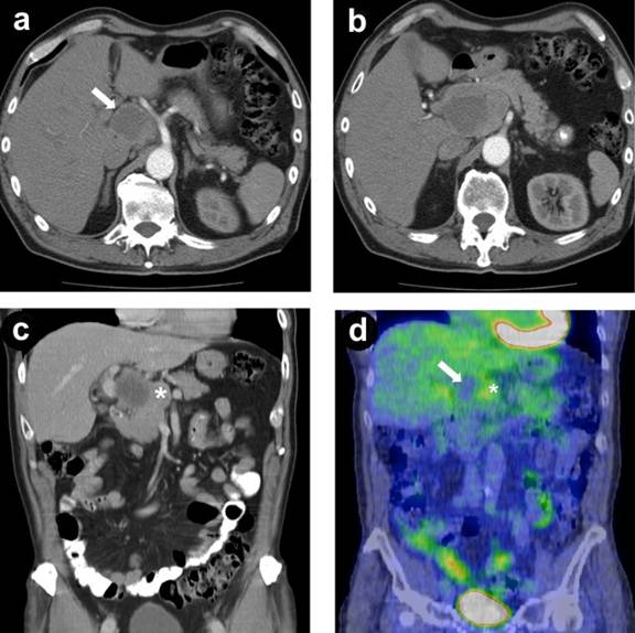
A 66-year-old man who presented with sudden onset abdominal pain, found on computed tomography (CT) to have a complex solid and cystic mass involving the head and uncinate process of the pancreas, measuring 6 cm (Figure 1). Positron emission tomography (PET) showed mild metabolical activity adjacent to the cystic component but was non-diagnostic for malignancy. Carcinoembryonic antigen (CEA) and carbohydrate antigen 19-9 (CA 19-9) were not elevated. Chromogranin A was mildly elevated at 78 U/L (reference range: 0-21.8 U/L).

|
Figure 1. a. Arterial phase computed tomography showing in axial image a partially cystic pancreatic head mass (arrow) with celiac artery running adjacent to it. b. The mass extended into the uncinate process of the pancreas adjacent to the superior mesenteric artery. c. The mass seen on coronal reconstruction in porto-venous phase demonstrating cystic and solid (asterisk) components. d. Computer tomography positron emission tomography (CT-PET) showing no uptake within the cystic component (arrow) of the mass with mild increased uptake in the adjacent solid component (asterisk). |
Pancreaticoduodenectomy was required to achieve complete tumour excision. The tumour was well circumscribed and located adjacent to the coeliac and superior mesenteric artery, abutting the pancreas. The tumour could not be separated from pancreatic tissue and had extensive intra-tumoural haemorrhage.
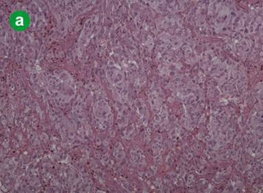
Histology revealed a tumour composed of spindled to polygonal cells with abundant basophilic granular cytoplasm and moderate pleomorphism. The cell architecture was trabecular and nested, pathognomonic of paraganglioma (Figure 2a). The tumour had a prominent sinusoidal capillary network with widespread haemosiderin deposition, consistent with previous haemorrhage. Low mitotic activity was observed and there was no capsular invasion. The tumour was encapsulated and demarcated from the surrounding effaced pancreatic parenchyma (Figure 2b). Tumour cells stained positively for synaptophysin, chromogranin and S100 (Figure 3). The morphological and immunohistochemical profile was consistent with extra-adrenal paraganglioma.


|
Figure 2. a. Microscopic view of paraganglioma with nested Zellballen architecture and vascular network (hematoxylin and eosin, x100). b. Extra-adrenal paraganglioma abutting pancreatic parenchyma (haematoxylin and eosin, x100). |

|
Figure 3. Chromogranin immunohistochemistry staining chief cells confirming paraganglioma (x100). |
The patient’s post-operative course was unremarkable. There was no evidence of disease recurrence at 14 months post operatively. Genetic testing for the succinate dehydrogenase subunit D (SDHD) and Von Hippel-Lindau (VHL) mutations, which are commonly associated with inherited and sporadic paragangliomas, were normal.
DISCUSSION
Extra-adrenal paraganglioma arising within the pancreas is an extremely rare entity with only 15 cases reported in the literature [2, 3, 4, 5]. The retroperitoneum is the more typical location and it is equivocal whether paraganglioma of the pancreas represents extension from a retroperitoneal tumour or true visceral origin with derivation from ectopic paraganglia [4, 5]. In our case, the neoplasm was involving the pancreatic head radiologically; however, was encapsulated and demarcated from the surrounding effaced parenchyma.
Paragangliomas are reported at multiple locations throughout the pancreas, including the head, body and tail [1, 5]. Pancreatic paragangliomas are generally non-functional [1]. This contrasts with other sites, where functional activity is more common, with catecholamine secretion reported in 30-60% of tumours associated with symptomatic hypertension, headache, palpitations and sweating [4]. Non-secretory tumours may present with abdominal pain or palpable mass or represent incidental radiological findings [1, 4]. Radiologically, paragangliomas show a homogeneous or heterogeneous hyper-enhancing soft tissue mass with cystic areas on CT [2]. However, this is not specific for paragangliomas and a pancreatic neoplasm is a feasible differential.
Malignant behaviour in paragangliomas is notoriously unpredictable. Malignancy can only be definitively diagnosed with the development of metastases at sites where paraganglionic tissue is not normally found [6]. Common sites for metastases include regional lymph nodes, liver, lung and bone. Histological features suggestive but not diagnostic of malignant behaviour include mitotic activity, vascular invasion and necrosis [7]. Malignant retroperitoneal paragangliomas are reported with an incidence of up to 50% [8]. When unresectable, parangangliomas are treated with octreotide, which may ameliorate symptoms of catecholamine excess and stabilizes tumour size [9]. Nevertheless, the pancreatic paragangliomas presented in the literature to date show a generally favourable long term outcome [5].
In summary, pancreatic paraganglioma is a very rare entity with limited cases reported. When tumours are non-secretory and the intra-pancreatic location is variable, the diagnosis of paraganglioma pre-operatively is speculative and neuroendocrine tumour is a feasible differential. Surgical resection is necessary for histological assessment. Pancreatic paragangliomas are generally benign; however, the risk of malignant transformation justifies aggressive management and any resultant post-operative morbidity.
Received February 10th, 2011 - Accepted March 25th, 2011
Key words Neural Crest; Pancreas; Paraganglioma; Retroperitoneal Space
Conflicts of interest The authors have no potential conflicts of interest
Correspondence
Mehrdad
Nikfarjam
University Department of Surgery
Austin Health, LTB 8
Studley Rd
Heidelberg, Victoria 3084
Australia
Phone: +61-3.9496.5483
Fax: +61-3.9458.1650
E-mail: mehrdad.nikfarjam@gmail.com
References
1. Parithivel VS, Niazi M, Malhotra AK, Swaminathan K, Kaul A, Shah AK. Paraganglioma of the pancreas: literature review and case report. Dig Dis Sci 2000; 45:438-41. [PMID 10711464]
2. Kim SY, Byun JH, Choi G, Yu E, Choi EK, Park SH, Lee MG. A case of primary paraganglioma that arose in the pancreas: the Color Doppler ultrasonography and dynamic CT features. Korean J Radiol 2008; 9(Suppl):S18-21. [PMID 18607119]
3. Paik KY. Paraganglioma of the pancreas metastasized to the adrenal gland: a case report. Korean J Gastroenterol 2009; 54:409-12. [PMID 20026898]
4. Sangster G, Do D, Previgliano C, Li B, LaFrance D, Heldmann M. Primary retroperitoneal paraganglioma simulating a pancreatic mass: a case report and review of the literature. HPB Surg 2010; 2010:645728. [PMID 21188160]
5. Tsukada A, Ishizaki Y, Nobukawa B, Kawasaki S. Paraganglioma of the pancreas: a case report and review of the literature. Pancreas 2008; 36:214-6. [PMID 18376320]
6. Mills SE, Carter D, Greenson JK, Ruter VE, Stoler MH. Sternberg's Diagnostic Surgical Pathology. 5th ed. Philadelphia, PA, USA: Lippincott Williams and Wilkins, 2010. [ISBN 978-0-7817-7942-5]
7. Fletcher CDM. Diagnostic Histopathology of Tumours. 3rd Ed. Philadelphia, PA, USA: Churchill Livingstone, 2007. [ISBN 978-0-443-07434-9]
8. Yang JH, Bae SJ, Park S, Park HK, Jung HS, Chung JH, et al. Bilateral pheochromocytoma associated with paraganglioma and papillary thyroid carcinoma: report of an unusual case. Endocr J 2007; 54:227-31. [PMID 17264467]
9. Tonyukuk V, Emral R, Temizkan S, Sertcelik A, Erden I, Corapcioglu D. Case report: patient with multiple paragangliomas treated with long acting somatostatin analogue. Endocr J 2003; 50:507-13. [PMID 14614206]