CASE REPORT
JOP. J Pancreas (Online) 2011 May 6; 12(3):262-265.
Pseudopapillary Tumor of the Pancreas. An Algorithmic Approach
Osamuyimen Igbinosa
Saint Peter’s University Hospital. New Brunswick, NJ, USA
ABSTRACT
Context Solid-cystic pseudopapillary tumor of the pancreas is a rare tumor, but has favorable prognosis even in the presence of distant metastases. It is often associated with diagnostic and therapeutic challenges. Case reports Described are two cases of solid-cystic pseudopapillary tumor of the pancreas managed in our hospital between January 2000 and January 2010. One female and one male with mean age of 42 years (range: 33 to 51 years). Data collected were: presenting symptoms, signs, imaging and management. Literature review was obtained from computer generated MEDLINE and Google Scholar search for solid-cystic pseudopapillary tumor of the pancreas between 1980 and 2010. Articles relevant to the scope of this paper were selected. The incidence of solid-cystic pseudopapillary tumors of the pancreas in our institution is 2 cases in 10 years; i.e., 0.2 cases/year. Clinical presentation include; palpable abdominal mass, vague abdominal discomfort, increasing abdominal girth, significant weight loss, nausea and vomiting in both patients. The mean diameter of the tumors was 7.0 cm (range: 5.9 to 8.0 cm). Pancreaticoduodenectomy was performed on both patients. None received adjuvant therapy and no cancer recurrence was detected on follow-up. Conclusion Solid-cystic pseudopapillary tumor of the pancreas is a rare tumor with a favorable prognosis even with distant metastases; therefore, attempts must be made to differentiate it from other pancreatic neoplasms. Clinical and radiological studies alone are insufficient to establish the diagnosis of a pancreatic mass and tissue biopsy should be sought. Surgery is generally curative and should be pursued independent of size and distant metastases.
INTRODUCTION
Solid-cystic pseudopapillary tumor of the pancreas is a rare tumor, with a low potential for malignancy. It was first described in 1959 by Dr. Frantz [1]. This tumor has taking several names including “Frantz’s tumor”, “solid cystic tumor”, “papillary cystic tumor”, “papillary epithelial neoplasia” and lot more. In 1996 it was defined by World Health Organization (WHO) as “solid pseudopapillary tumors” for the international histological classification of tumors of the exocrine pancreas. Since this tumor has favorable prognosis differentiating it from other pancreatic neoplasms with aggressive behavior is therefore essential. Due to its rareness and unusual behavior, solid-cystic pseudopapillary tumor of the pancreas is often associated with diagnostic and therapeutic challenges. We describe clinical features of this rare tumor by presenting two cases that were managed in our institution, as well as review of relevant literature.
CASE REPORTS
Using the international diagnostic code of pseudopapillary tumor (ICD 2116) we reviewed all cases reported to tumor registry of St. Peter’s University Hospital, New Brunswick, New Jersey, USA between January 2000 and June 2010. Two cases of solid-cystic pseudopapillary tumor of the pancreas where identified. We reviewed clinical presentation, pathological features, CT scans, therapy and complications from charts. Literature review was obtained from computer generated PubMed (http://www.ncbi.nlm.nih.gov/pubmed) and Google scholar (http://scholar.google.com/) search for solid-cystic pseudopapillary tumor of the pancreas between 1980 and 2011. Articles relevant to the scope of this paper were selected.
Case #1
A 33-year-old female with no significant medical history presented with abdominal discomfort and bloating of 3-month duration. She saw her primary care physician who ordered a CT scan that revealed a pancreatic mass. She was then referred to cancer institute for further evaluation. She presented to our hospital with nausea and multiple episodes of non bloody vomitus for one week. Her clothes have become loose over a period of 3 months. There was no jaundice, change in stool color, diarrhea, or flushing. She denied any other symptoms or a family history of malignancy. On examination she was obese and there was mild diffuse abdominal tenderness in all quadrants, as well as a palpable mass on left upper quadrant. All blood tests were normal, including tumor markers. Abdominal ultrasound showed a 5.4x5.2 cm heterogeneous mass at the head of pancreas. Abdominal CT scan disclosed a 5.9x5.6 cm round cystic mass at the head of the pancreas and retroperitoneal lymphadenopathy (Figure 1). Fine-needle aspirates of the pancreatic lesion demonstrated features suggestive of solid-cystic pseudopapillary tumor of the pancreas. She underwent pylorus-preserving pancreaticoduodenectomy, done by surgical team. None of the 21 lymph nodes recovered were positive for malignancy. Microscopic analysis revealed sheets of uniform polygonal cells with a pseudopapillary appearance (Figure 2). Results of immunoperoxidase stains showed tumor cells that were positive for CD10, vimentin, CD56, cyclin D1. Postoperative period was complicated with enterocutaneous fistula. The patient was subsequently discharged after 2 weeks. CT scan performed 3 months postoperatively showed no evidence of disease recurrence.

|
Figure 1. CT scan showing a 5.9x5.6 round cystic mass at the head of the pancreas in a 33-year-old female (Case #1). |


|
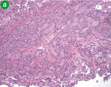
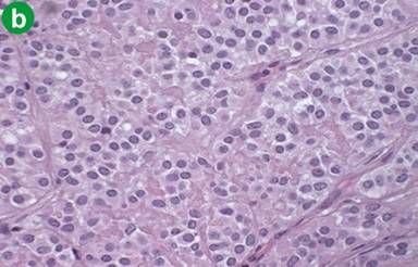
Figure 2. Polygonal cells with a pseudopapillary appearance. a. Low power (magnification: x10). b. High power (magnification: x100). |
Case #2
A 51-year-old Caucasian male who was in his usual status of good health, presented with intractable bilious, non bloody vomiting for two days. He had epigastric pain, increasing abdominal girth of about 2-month duration and 10-pound weight loss over two months. On physical exam there was mild icterus and slight fullness in left upper quadrant. Abdominal X-ray incidentally showed calcifications in the left upper quadrant. CT scan showed an 8.0x7.0 cm mass in the retroperitoneum at the ligament of Treitz. Patient was admitted same day for exploratory laparotomy. A mass encompassing the mesentery of the distal duodenum was encountered, requiring Roux-en-Y duodenojejunostomy with complete duodenal diversion. The third and forth portion of the duodenum, along with proximal jejunum and uncinate process of the pancreas, were also resected. Intraoperative frozen section biopsy suggested malignancy. Histopathology of the resected tumor revealed a 7.3x5.2x4.2 cm irregular, dark red and firm nodular mass consistent with pseudopapillary neoplasm. Post-operative period was complicated with gastroparesis. Patient symptoms improved with one week and discharged home to be cared for by a visiting nurse. The patient remained healthy without any sign of local recurrence or distant metastasis after a 4-year follow-up period. Clinical data of the two cases of solid-cystic pseudopapillary tumor of the pancreas diagnosed are shown in Table 1.
|
Table 1. Clinical data of two cases of solid-cystic pseudopapillary tumor of the pancreas. |
||
|
|
Case #1 |
Case #2 |
|
Age |
33 years |
51 years |
|
Sex |
Female |
Male |
|
Symptoms |
Abdominal discomfort, bloating, weight loss, nausea, and vomiting |
Epigastric pain, vomiting, weight loss, and jaundice |
|
Tumor location |
Head of pancreas |
Retroperitoneum at ligament of Treitz |
|
Tumor size |
5.9x5.6 cm |
8.0x7.0 cm |
|
Management |
Pancreaticoduodenectomy |
Pancreaticoduodenectomy |
|
Post-operative complication |
Enterocutaneous fistula |
Gastroparesis |
Discussion
Pancreatic cancer is the fourth leading cause of cancer deaths in the U.S. and the sixth leading cause of cancer deaths in Europe [2]. Most pancreatic cancers are rare before age 30, but more common in the seventh and eight decades [2]. The most common malignancy of the pancreas is ductal adenocarcinoma (85-90%) [3]. Cystic pancreatic neoplasms correspond to only 1% of pancreatic tumors [2]. However, the relative frequencies of cystic lesions appear to vary from institution to institution [4].
Solid-cystic pseudopapillary tumor of the pancreas is a rare neoplasm. Since the first description by Frantz in 1959 [1] slightly more than 400 cases were reported before 1997 [5], 452 cases in 2004, and 629 cases in 178 studies in 2006 [6]. Solid-cystic pseudopapillary tumor of the pancreas constitutes of 0.2 to 2.7% of the primary non-endocrine tumors of the pancreas [7, 8] with predominance in non-Caucasian women (more than 90% of the cases) [5]. The female-male ratio is 5:1.9 [9] and up to 10:1 [8]. Males tend to have it occurring at a more advanced age (average: 31 years) [10]. In the cases reported here, the male patient presented at a more advanced age. The origin of solid-cystic pseudopapillary tumors of the pancreas still remains unclear, but it is suggested that it may be a tumor derived from the pancreatic duct cells, acinar cells, and endocrine cells [11].
Most patients present with vague symptoms which include abdominal pain/discomfort, increased abdominal girth, poor appetite and nausea which are related to tumor compression on the adjacent organs, although almost 30% of the patients with solid-cystic pseudopapillary tumor of the pancreas are asymptomatic [10, 11] and the diagnosis is established as an incidental finding on ultrasound, CT scan and MRI [11]. Calcifications are found in 30% of the cases and are generally located at the periphery of the tumor [6, 12] as we observed in Case #2. Solid-cystic pseudopapillary tumors of the pancreas have not been associated with specific clinical laboratory test findings including serum tumor markers [5, 13].
CT scan is the most frequently used in diagnosing a solid pseudopapillary tumor, ultrasound and MRI also define these hypervascular, well-encapsulated round mass with mixed cystic and solid components [5, 10]; it is important to note that both cases presented not hypervascular. Endoscopic ultrasound with fine-needle puncture biopsy has sensitivity and specificity for neuroendocrine tumor of 81.6 and 87.5%, respectively [14]. A PET scan can show the presence of an elevation of 18F-FDG by solid-cystic pseudopapillary tumor of the pancreas, although it may not add additional information to what was provided by the CT scans or MRI [15]. Metastasis or tumor recurrence may occur in 10 to 15% of solid-cystic pseudopapillary tumors of the pancreas [15]. Sites most frequently affected by metastases are the liver (28%), wall of vena cava (27%) and spleen (17%). Other sites include peritoneum, duodenum, omentum, colon, and lung [6]. Malignant potential can be predicted with the evidence of perineural, blood vessel invasion, lymph node involvement, and deep invasion of surrounding tissues.
Despite the locally aggressive features, solid-cystic pseudopapillary tumor of the pancreas has a low-grade malignant potential and tends to have a favorable prognosis, even in the presence of metastatic disease [16, 17]. Overall 5-year survival is as high as 97% in patients undergoing surgical resection [6, 7]. Surgery is the treatment of choice even in the case of distant metastasis or local recurrence [8, 18, 19, 20]. Laparoscopic distal pancreatectomy was successful in a case reported by Marinis et al. [21]. Experimental chemotherapy regimes have not shown any significant benefit [10]. Favorable response to radiotherapy has been reported in a case of advanced unresectable solid-cystic pseudopapillary tumor of the pancreas [7].
In conclusion even though solid-cystic pseudopapillary tumor of the pancreas is rare, differential diagnosis of anyone presenting with vague abdominal pain, increasing abdominal girt, weight loss and palpable mass should always include pancreatic lesion. Further attempt must be made to differentiate solid-cystic pseudopapillary tumor of the pancreas from other pancreatic tumor, as management depends on a definitive diagnosis. Clinical and radiological studies alone are insufficient to establish the diagnosis of a pancreatic mass, tissue sampling should always be sought. Preoperative correct diagnosis of solid pseudopapillary tumor of pancreas is possible on endoscopic ultrasound-fine needle aspiration and cytology [22]. Endoscopic ultrasound-fine needle aspiration and cytology avoids the risk of cutaneous or peritoneal contamination that may occur with CT scan or ultrasound guided investigations and is less invasive than surgical interventions. Endoscopic ultrasound-fine needle aspiration and cytology was not attempted in Case #2. The author recommends endoscopic ultrasound as the next step in clinical evaluation (Figure 3) after confirming mass with CT scan. Surgical treatment alone is the best treatment of solid-cystic pseudopapillary tumor of the pancreas; it should be pursued regardless of distant metastasis and size. Total resection guarantees best prognosis.

|
Figure 3. Proposed algorithm for evaluation of suspected pancreatic lesion. |
Received February 16th, 2011 - Accepted March 25th, 2011
Key words Biopsy, Fine-Needle; Endosonography; Pancreas; Pancreatic Neoplasms
Conflict of interest The author has no potential conflicts of interest
Correspondence
Osamuyimen
Igbinosa
Saint Peter’s University Hospital
New Brunswick, NJ 08901
USA
Phone: +1-856.503.5015
Fax: +1-732.729.0869
E-mail: uyi80@yahoo.com
References
1. Frantz VK. Papillary tumors of the pancreas: Benign or malignant? Tumors of the pancreas. In: Atlas of Tumor Pathology, Section 7, Fascicles 27 and 28.Washington, DC, USA: Armed Forces Institute of Pathology, 1959:32-3. ]
2. Michaud DS. Epidemiology of pancreatic cancer. Minerva Chir 2004; 59:99-111. [PMID 15238885]
3. Fernández CC, Jiménez RE. Cáncer de páncreas, neoplasias pancreáticas quísticas y otros tumores pancreáticos no endocrinos. In: Feldman M, Friedman LS, Sleisenger MH, eds. Sleisenger and Fordtran, Enfermedades Gastrointestinales y Hepáticas. 7th ed. Buenos Aires: Médica Panamericana; 2002. pp. 1036-1044. ]
4. Adsay V. Cystic lesions of the pancreas. Mod Pathol 2007; 20:S71-93. ]
5. Salvia R, Bassi C, Festa L, Falconi M, Crippa S, Butturini G, et al. Clinical and biological behavior of pancreatic solid pseudopapillary tumors: report on 31 consecutive patients. J Surg Oncol 2007; 95:304-10. [PMID 17326131]
6. Tang LH, Aydin H, Brennan MF, Klimstra DS. Clinically aggressive solid pseudopapillary tumors of the pancreas: a report of two cases with components of undifferentiated carcinoma and a comparative clinicopathologic analysis of 34 conventional cases. Am J Surg Pathol 2005; 29:512-9. [PMID 15767807]
7. Martin RC, Klimstra DS, Brennan MF, Conlon KC. Solid-pseudopapillary tumor of the pancreas: a surgical enigma? Ann Surg Oncol 2002; 9:35-40. [PMID 11833495]
8. Mulkeen AL, Yoo PS, Cha C. Less common neoplasms of the pancreas. World J Gastroenterol 2006; 12:3180-5. [PMID 16718837]
9. Choi JY, Kim MJ, Kim JH, Kim SH, Lim JS, Oh YT, et al. Solid pseudopapillary tumor of the pancreas: typical and atypical manifestations. AJR Am J Roentgenol 2006; 187:W178-86. [PMID 16861508]
10. Frago R, Fabregat J, Jorba R, García-Borobia F, Altet J, Serrano MT, Valls C. Solid pseudopapillary tumors of the pancreas: diagnosis and curative treatment. Rev Esp Enferm Dig 2006; 98:809-16. [PMID 17198473]
11. Coleman KM, Doherty MC, Bigler SA. Solid-pseudopapillary tumor of the pancreas. Radiographics 2003; 23:1644-8. [PMID 14615569]
12. Choi EK, Park SH, Kim DY, Kim KW, Byun JH, Lee MG, Ha HK. Unusual manifestations of primary pancreatic neoplasia: radiologic-pathologic correlation. J Comput Assist Tomogr 2006; 30:610-7. [PMID 16845292]
13. Yoon DY, Hines OJ, Bilchik AJ, Lewin K, Cortina G, Reber HA. Solid and papillary epithelial neoplasms of the pancreas: aggressive resection for cure. Am Surg 2001; 67:1195-9. [PMID 11768829]
14. Voss M, Hammel P, Molas G, Dancour A, O'Toole D, Terris B, et al. Value of endoscopic ultrasound guided fine needle aspiration biopsyin the diagnosis of solid pancreatic masses. Gut 2000; 46:244-9. [PMID 10644320]
15. Lee JK, Tyan YS. Detection of a solid pseudopapillary tumor of the pancreas with F-18 FDG positron emission tomography. Clin Nucl Med 2005; 30:187-8. [PMID 15722825]
16. Gedaly R, Toledano A, Millan G, Essenfeld H, Zambrano VJ. Treatment of liver metastases from a solid pseudopapillary tumor of the pancreas. J Hepatobiliary Pancreat Surg 2006; 13:587-90. [PMID 17139438]
17. Eder F, Schulz HU, Röcken C, Lippert H. Solid-pseudopapillary tumor of the pancreatic tail. World J Gastroenterol 2005; 11:4117-9. [PMID 15996043]
18. Tipton SG, Smyrk TC, Sarr MG, Thompson GB. Malignant potential of solid pseudopapillary neoplasm of the pancreas. Br J Surg 2006; 93:733-77. [PMID 16609955]
19. Kamat RN, Naik LD, Joshi RM, Amrapurkar AD, Shetty TS. Solid pseudopapillary tumor of the pancreas. Indian J Pathol Microbiol 2008; 51:271-3. [PMID 18603707]
20. Bostanoglu S, Otan E, Akturan S, Hamamci EO, Bostanoglu A, Gokce A, Albayrak L. Frantz's tumor (solid pseudopapillary tumor) of the pancreas. A case report. JOP. J Pancreas (Online) 2009; 10:209-11. [PMID 19287121]
21. Marinis A, Anastasopoulos G, Polymeneas G. A solid pseudopapillary tumor of the pancreas treated with laparoscopic distal pancreatectomy and splenectomy: a case report and review of the literature. J Med Case Reports 2010; 4:387. [PMID 21114814]
22. Mehta N, Modi L, Patel T, Shah M. Study of cytomorphology of solid pseudopapillary tumor of pancreas and its differential diagnosis. J Cytol 2010; 27:118-22. [PMID 21157561]