CASE REPORT
JOP. J Pancreas (Online) 2011 May 6; 12(3):266-270.
An Unusual Cause of Acute Abdomen in Adults: Giant Cystic Lymphangioma of the Pancreatic Head. A Clinical Case and Literature Review
Supriyo Ghatak1, Sukanta Ray1, Sumit Sanyal1, Pankaj Kr Sonar1, Sujan Khamrui1, Keya Basu2, Sujay Ray3, Kshaunish Das3
Divisions of 1Surgical Gastroenterology, 2Gastrointestinal Pathology, and 3Medical Gastroenterology; School of Digestive and Liver Diseases, Institute of Postgraduate Medical Education and Research, SSKM Hospitals. Kolkata, India
ABSTRACT
Context Cystic lymphangioma of the pancreas presenting as acute abdomen in adults has not been reported before. Case report We report the case of a young man who presented with severe pain in the upper abdomen and abdominal swelling. On imaging, he was found to have a giant multiseptate cystic lesion occupying almost the entire abdomen anterior to the pancreas. On exploration, a cystic mass involving the head of the pancreas and densely adherent to the antrum, and the second and third parts of the duodenum was found and a classic Whipple pancreaticoduodenectomy was done. Histology revealed a diagnosis of cystic lymphangioma. Conclusion Cystic lymphangioma is a rare benign tumor of the pancreas and this is the first reported case in an adult presenting with acute abdomen. Though rarely diagnosed preoperatively, this entity should also be considered in the differential diagnosis of cystic lesions of the pancreas. Complete surgical excision is curative.
INTRODUCTION
There are many causes of acute abdomen; however, cystic lymphangioma of the pancreas presenting as acute abdomen in adults has not been reported before. After a thorough search of PubMed (http://www.ncbi.nlm.nih.gov/pubmed/), we did not find any adult patient with this presentation although there are many case reports in the pediatric age group. We report a young man with a cystic lymphangioma of the head of the pancreas who presented with acute pain in the abdomen and underwent a Whipple pancreaticoduodenectomy.
CASE REPORT
A 20-year-old man with no previous history presented with the sudden onset of severe, upper abdominal pain radiating to the back of two days duration. The pain was relieved temporarily with analgesics and was associated with fever, chills and rigor. There was no history of alcoholism, jaundice, vomiting, obstipation or gastrointestinal bleeding. After careful questioning he admitted having noticed gradual fullness of the abdomen for 3 months prior to presentation.
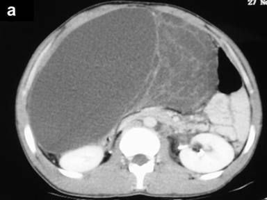
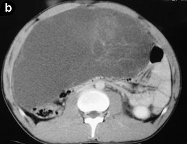
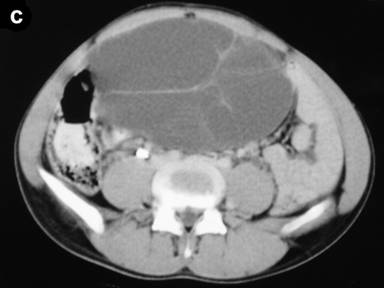
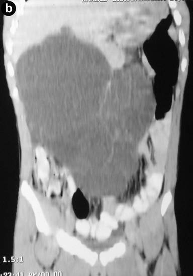
Clinical examination revealed abdominal swelling with generalized tenderness occupying the whole abdomen and almost reaching up to the pelvis. Blood investigation revealed polymorphonuclear leukocytosis (total leukocyte count 12,600 mm-3, reference range: 4,000-11,000 mm-3; polymorphs 91%, reference range: 40-75%). The serum amylase level was 297 U/L (reference range: 20-85 U/L). Liver function tests and CA 19-9 levels were normal. An ultrasound carried out outside our hospital found a large septate cystic collection in front of the pancreas and reported as acute pancreatitis with fluid collection. A CT scan revealed a large multiseptate cystic lesion (23.2x11.7x26.2 cm) anterior to the pancreas reaching up to the pelvis and displacing the gut loops behind and downwards (Figures 1 and 2). We decided to perform a laparotomy with a presumptive diagnosis of cystic neoplasm of the pancreas.



|
Figure 1. CECT axial scans showing a multiseptate cystic tumor anterior to the pancreas and reaching up to the pelvis. |


|
Figure 2. CECT sagittal (a.) and coronal (b.) scan of the abdomen. |
At laparotomy the peritoneal cavity was found to be fully occupied by a multicystic, septate mass (approximately 30x50 cm) containing a clear yellowish fluid, arising from the head of the pancreas, adherent to the transverse colon, mesocolon, duodenum and stomach (Figure 3). The mass was inseparable from the antrum of the stomach, the duodenum and the head of the pancreas. There were no ascites or peritoneal or liver nodules. The mesenteric and peripancreatic lymph nodes were enlarged. A classic Whipple pancreaticoduodenectomy was carried out (Figure 4).

|
Figure 3. Operative photograph showing the tumor. |

|
Figure 4. Post-resection operative site. |
Postoperatively, the patient had a bile leak in the drain which gradually decreased and the drain was removed on postoperative day 16. He was started on a jejunostomy feed from postoperative day 3 and a normal diet from day 8.
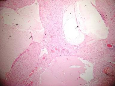
Histopathological examination showed large septate lymphatic channels in a background of connective tissue stroma. The tumor contained serous fluid. The stroma had multiple cholesterol crystals, lymphocytes, smooth muscles and congested thin walled vessels. The lymph nodes showed reactive changes. The final histological diagnosis was of cystic lymphangioma of the pancreas (Figures 5 and 6). The surrounding pancreas parenchyma was unremarkable. The patient is doing well 12 months postoperatively.

|
Figure 5. Cut section of the tumor showing multiseptate cystic spaces. |

|
Figure 6. Hematoxylin and eosin (x100) staining shows dilated lymphatic channels of varying sizes, separated by thin septa (black arrows). The cystic spaces are lined with flattened or cuboidal endothelial cells. |
DISCUSSION
Cystic lymphangioma is a rare malformation described for the first time by Koch in 1913 [1]. It probably occurs as a result of a congenital malformation of the lymphatics resulting in obstruction of the local lymph flow and the development of lymphangiectasia [2] .Cystic lymphangiomas are usually benign but can be locally invasive [3]. They are found predominantly in the pediatric population [4] and commonly located in the neck and axillary regions [5, 6]. A variety of other sites have been described including the mediastinum, pleura, pericardium, groin, bones and abdomen. In the abdomen, the mesentery and retroperitoneum are the most common sites, and this tumor rarely develops in the pancreas (1% of all lymphangiomas) [4, 7]. Until 2008, there were only about 70 reported cases of pancreatic cystic lymphangiomas [8].
As a result, reports in literature are limited to case reports with very few case series. The pediatric age group is most commonly affected with females outnumbering males [4]. Clinical presentation varies according to age group with children having a more acute presentation ranging from three days to two months and ranging from two weeks to one year in adults [4]. Our patient presented with acute pain in the abdomen which had not been reported before in the literature in adults. The cause of this acute presentation is not clear; the patient had fever and chills with an increased total leukocyte count and neutrophil count. Upon cutting open the specimen after resection there was clear yellowish fluid inside the cyst, not suggestive of infection or recent hemorrhage. A cell count of this cystic fluid was not carried out. On histology there was no evidence of polymorphonuclear cell infiltration and the surrounding pancreas did not show any evidence of pancreatitis.
Awareness of a lump and pain in the abdomen are the most common presenting features. It is seldom associated with pancreatitis, weight loss and laboratory abnormalities [9]. A female preponderance and the huge size of the swelling may lead to the mistaken impression of an ovarian cyst [8]. A case report of this rare condition associated with blue rubber bleb nevus syndrome has also been described [10].
Most reports in the literature describe the body and tail of the pancreas as the most common regions involved [11]. There have only been 16 previously reported cases of this tumor arising from the head of the pancreas [12, 13]. Tumor size may vary between 3 and 20 cm in diameter (average 12 cm) [14]. Our patient’s tumor size was 30x50 cm.
Ultrasound typically shows a polycystic tumor, and very rarely calcifications [15]. CT and MRI features are almost identical. The tumor appears to be well-circumscribed, encapsulated, water-isodense, polycystic tumor with thin septa, containing a radiologically evident fatty component. The cystic aspect of this lesion can complicate differentiation from other neoplastic and non-neoplastic cystic tumors of the pancreas [16, 17].
Differential diagnoses include pancreatic pseudocysts, mucinous and serous cystadenomas, intraductal papillary mucinous neoplasms, echinococcal cysts, other congenital cysts and pancreatic ductal carcinoma with cystic degeneration [1, 8, 18].
Histopathological examination plays a definite role in the diagnosis. Histologically, lymphangiomas are classified into three types: simple capillary, cavernous and cystic [1, 18]. Cystic lymphangiomas of the pancreas are composed of dilated cystic spaces lined by flattened endothelium containing abundant lymphoid tissue and smooth muscle in the wall of the cyst [4]. Immunohistochemical staining of factor VIII-R antigen, CD31 and CD34, which are markers for the identification of lymphatic and capillary endothelium, can be complementary to the diagnosis [11].
Measurement of the triglyceride level and the appearance of the aspirated fluid by EUS-FNA may be helpful in diagnosing small, asymptomatic lesions. A triglyceride level above 5,000 mg/dL and milky white fluid is diagnostic of a lymphangioma [19, 20]. In our case, the cystic fluid was clear yellowish, and preoperative EUS-FNA was not considered as the patient was symptomatic and we presumed it to be a case of cystic neoplasm of the pancreas.
A complete surgical excision is curative for lymphangioma, with incomplete excision being the only reason for recurrent disease [8]. Depending on the tumor location and size, complete excision may involve a simple excision of the mass or may require pancreatic resections, such as a Whipple procedure or distal pancreatectomy.
In small asymptomatic cases, where a confident diagnosis of cystic lymphangioma can be made with EUS-FNA, non-surgical management with regular follow-up can be carried out.
CONCLUSION
Cystic lymphangioma is a rare benign tumor of the pancreas and this is the first reported case in an adult which presented with acute abdomen. Although rarely diagnosed preoperatively, this entity should also be considered in the differential diagnosis of cystic lesions of the pancreas. Complete surgical excision is curative.
Received February 22nd, 2011 - Accepted March 29th, 2011
Conflicts of interest The authors have no potential conflicts of interest
Correspondence
Supriyo
Ghatak
Division of Surgical Gastroenterology
School of Digestive and Liver Diseases
Institute of Postgraduate Medical Education and Research
SSKM Hospitals
244, Acharya Jagadish Chandra Bose Road
Kolkata 700020
India
Phone: +91-987.413.8687
Fax: +91-332.223.5435
E-mail: drsupriyo@yahoo.co.in
References
1. Casadei R, Minni F, Selva S, Marrano N, Marrano D. Cystic lymphangioma of the pancreas: anatomoclinical, diagnostic and therapeutic considerations regarding three personal observations and review of the literature. Hepatogastroenterology 2003; 50:1681-6. [PMID 14571816]
2. Colovic RB, Grubor NM, Micev MT, Atkinson HD, Rankovic VI, Jagodic MM. Cystic lymphangioma of the pancreas. World J Gastroenterol 2008; 14:6873-5. [PMID 19058318]
3. de Perrot M, Rostan O, Morel P, Le Coultre C. Abdominal lymphangioma in adults and children. Br J Surg 1998; 85:395-7. [PMID 9529502]
4. Goh BK, Tan YM, Ong HS, Chui CH, Ooi LL, Chow PK, et al. Intra-abdominal and retroperitoneal lymphangiomas in pediatric and adult patients. World J Surg 2005; 29:837-40. [PMID 15951926]
5. Khandelwal M, Lichtenstein GR, Morris JB, Furth EE, Long WB. Abdominal lymphangioma masquerading as a pancreatic cystic neoplasm. J Clin Gastroenterol 1995; 20:142-4. [PMID 7769196]
6. Kullendorff CM, Malmgren N. Cystic abdominal lymphangioma in children. Case report. Eur J Surg 1993;159: 499-501. [PMID 8274560]
7. Leung TK, Lee CM, Shen LK, Chen YY. Differential diagnosis of cystic lymphangioma of the pancreas based on imaging features. J Formos Med Assoc 2006; 105: 512-7. [PMID 16801041]
8. Lyngdoh TS, Konsam R, Th B, Marak B. Giant cystic lymphangioma of pancreas. ANZ Journal of Surgery 2008 ;78:673-4. [PMID 18796026]
9. Gray G, Fried K, Iraci J. Cystic lymphangioma of the pancreas: CT and pathologic findings. Abdom Imaging 1998; 23: 78-80. [PMID 9437068]
10. Nobuhara Y, Onoda N, Fukai K, Hosomi N, Ishii M, Wakasa K, et al. TIE2 gain-of-function mutation in a patient with pancreatic lymphangioma associated with blue rubber-bleb nevus syndrome: report of a case. Surg Today 2006; 36:283-6. [PMID 16493543]
11. Gui L, Bigler SA, Subramony C. Lymphangioma of the pancreas with 'ovarian-like' mesenchymal stroma: a case report with emphasis on histogenesis. Arch Pathol Lab Med 2003; 127:1513-6. [PMID 14567749]
12. Igarashi A, Maruo Y, Ito T, Ohsawa K, Serizawa A, Yabe M, et al. Huge cystic lymphangioma of the pancreas: Report of a case. Surg Today 2001; 31:743-6. [PMID 11510617]
13. Fahimi H, Faridi M, Gholamin S, Molanaee S, Khorsandi M. Cystic lymphangioma of the pancreas: diagnostic and therapeutic challenges. JOP. J Pancreas (Online) 2010; 11:617-9. [PMID 21068498]
14. Paal E, Thompson LD, Heffess CS. A clinicopathologic and immunohistochemical study of ten pancreatic lymphangiomas and a review of the literature. Cancer 1998; 82:2150-8. [PMID 9610694]
15. Hanelin LG, Schimmel DH. Lymphangioma of the pancreas exhibiting an unusual pattern of calcification. Radiology 1977; 122:636. [PMID 841038]
16. Shinozaki K, Yoshimitsu K, Honda H, Kuroiwa T, Irie H, Aibe H, et al. Abdominal cystic tumors containing small amount of fat in the septa: report of two cases. Abdom Imaging 2001; 26:315-8. [PMID 11429962]
17. Ferrozzi F, Zuccoli G, Bova D, Calculli L. Mesenchymal tumors of the pancreas: CT Findings. J Comput Assist Tomogr 2000; 24:622-7. [PMID 10966199]
18. Schneider G, Seidel R, Altmeyer K, Remberger K, Pistorius G, Kramann B, Uder M. Lymphangioma of the pancreas and the duodenal wall: MR imaging findings. Eur Radiol 2001; 11:2232-5. [PMID 11702164]
19. Applebaum B, Cunningham JT. Two cases of cystic lymphangioma of the pancreas: a rare finding in endoscopic ultrasonography. Endoscopy 2006; 38(Suppl. 2):E24-5. [PMID 17366391]
20. Barresi L, Tarantino I, Curcio G, Mocciaro F, Catalano P, Spada M, Traina M. Pancreatic cystic lymphangioma in a 6-year-old girl, diagnosed by endoscopic ultrasound (EUS) fine needle aspiration. Endoscopy 2011; 43(Suppl. 2):E61-2. [PMID 21287455]