CASE REPORT
JOP. J Pancreas (Online) 2011 May 6; 12(3):271-273.
Successful Management of Gastrointestinal Haemorrhage Associated with Ischaemic Colonic Ulceration in Acute Pancreatitis with Video Assisted Retroperitoneal Debridement
Yogesh Puri, Sakhawat H Rahman
Centre for HPB Surgery and Liver Transplantation, Royal Free Hospital. London, United Kingdom
ABSTRACT
Context Colonic involvement is an uncommon but potentially lethal complication of severe acute pancreatitis and has received little attention in the surgical literature. Such complications can range from localized colonic pathology to widespread ischaemic pancolitis. Treatment options have historically been limited to resection of the affected segment. Case report We describe the successful role of video assisted retroperitoneal pancreatic debridement in the management of two cases presenting with major gastrointestinal haemorrhage due to localised colonic ulceration on the background of acute necrotising pancreatitis. Conclusion Video assisted retroperitoneal debridement should be considered early in the management of local colonic complications associated with severe acute necrotising pancreatitis.
INTRODUCTION
The management of severe acute pancreatitis is often complicated by limited understanding of pathogenesis and multicausality of disease. Clinical presentation varies from mild self-limiting acute inflammation to multiple organ failure systemic disease [1]. Colonic involvement is an uncommon but potentially lethal complication of severe acute pancreatitis and has received little attention in the surgical literature [2, 3]. The colon appears to be involved in 1% of all patients with acute pancreatitis [4, 5] and in 6-40% of those with the severe necrotizing form [3, 6, 7, 8, 9]. The diagnosis of colonic involvement is difficult unless there are clinical manifestations of perforation or haemorrhage [3, 9, 10, 11]. Pancreatic necrosis and peripancreatic abscess formation are often associated with colonic ulceration, haemorrhage and fistulization [2, 3]. Percutaneous necrosectomy and sinus tract endoscopy popularised by Carter et al. [12] is now an accepted management strategy in controlling local sepsis and inflammatory pathology surrounding pancreas. We describe the role of minimally invasive video assisted retroperitoneal pancreatic debridement in the management of localized colonic bleeding in two patients with severe acute pancreatitis who presented with massive gastrointestinal haemorrhage.
CASE REPORTS
Case #1
GC, a 59-year-old man, presented to his local emergency department with severe epigastric pain, and was diagnosed with acute pancreatitis based on biochemical and radiological investigations. The aetiology of his pancreatitis was unclear. The patient deteriorated clinically on day 10 despite aggressive medical management and an abdominal contrast enhanced CT scan demonstrated pancreatic necrosis (70%) with an adjacent peripancreatic acute fluid collection. Percutaneous transgastric drainage of the fluid demonstrated purulent necrotic pancreatic debris containing Streptococcus, Enterococcus and methicillin-resistant Staphylococcus aureus on culture, with sensitivity to teicoplanin and doxycycline. Following a 3-month period of stabilisation, the patient experienced a massive haemorrhage, with haematemesis and meleana and fresh blood draining through the transgastric drain. He was subsequently transferred to our tertiary centre for further management. Over a 24-hour period he clinically deteriorated, with an associated rise in serum C-reactive protein from 39 to 262 mg/L (reference range: 0-5 mg/L), a 3 g/dL drop in blood haemoglobin concentration, and leukocytosis of 14.4 109/L (reference range: 3.5-11.0 109/L). An urgent CT angiogram was normal, as was an upper gastrointestinal endoscopy. Colonoscopy showed fresh blood in the rectum and descending colon with ischaemic ulceration of the splenic flexure. The patient was managed conservatively with parenteral nutritional support and intravenous antibiotics as there was little evidence of on-going haemorrhage. On day 15 a further bout of meleana and fresh bleeding through the drain was noted with an associated drop in blood haemoglobin. A negative repeat CT angiogram prompted the decision for video assisted retroperitoneal pancreatic debridement and abscess drainage. Pancreatic debridement and irrigation was performed using a left flank approach as previously described [12]. Briefly, the technique involves access via a left flank retroperitoneal approach guided by preoperative insertion of 8 F drain or guide wire. The guide wire is traversed between the plane of spleen and splenic flexure of colon into the area of pancreatic necrosis under radiological guidance. In the operating theatre and with the patient anaesthetized, the tract is dilated under fluoroscopic imaging to allow the introduction of a 5 mm laparoscope. The necrotic debris is removed with a combination of high pressure water irrigation and formal forceps debridement. Once a clean cavity is produced a large bore drain (30 F) is placed and regularly irrigated post-operatively.
The procedure was repeated 5 days later to ensure completeness of peri-pancreatic abscess drainage. Culture of the drain fluid grew methicillin-resistant Staphylococcus aureus sensitive to doxycycline and teicoplanin. The patient improved rapidly over next 14 days and was transferred back to the local hospital and discharged home 10 days later.
Case #2
DW, a 44-year-old, presented to his local emergency department with a history of heavy alcohol consumption and severe epigastric pain. Following a diagnosis of acute pancreatitis, he was managed with aggressive fluid resuscitation, and enteral nutrition. A contrast enhanced CT scan on day 5, demonstrated extensive pancreatic necrosis (more than 50%) with acute fluid collections in lesser sac.
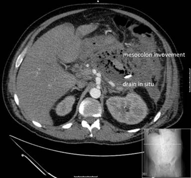
Clinical deterioration merited radiological guided drainage of his peripancreatic collection; fluid from this drain had grown Enterococcus and Escherichia coli sensitive to amoxicillin and potassium clavulanate combination. And while progress was initially satisfactory, his pain worsened and he developed a sepsis syndrome. A repeat CT scan demonstrated on-going fluid collections, almost complete pancreatic necrosis associated with pockets of gas (Figure 1). The patient subsequently had a massive haemorrhage presenting with haematemesis and altered blood in his drain associated with a 3 g/dL drop in his blood haemoglobin. He was urgently transferred to our tertiary pancreatic unit (day 28) for CT angiography which proved to be negative for pseudoaneurysms or on-going haemorrhage. An episode of rectal bleeding 48 hours later prompted a flexible sigmoidoscopy, which showed ischaemic ulceration of the splenic flexure of the colon. A repeat pancreas protocol contrast enhanced CT reported a large heterogeneous collection comprising gas and fluid density in the lesser sac region anterior and continuous with the pancreas. This comprised areas of mixed density interspersed with gas locules. A decision was taken to perform video assisted retroperitoneal pancreatic debridement and abscess drainage to remove the source of local pericolonic irritation. The patient made a slow but good recovery and was subsequently transferred back to the local hospital.

|
Figure 1. CT scan image showing involvement of mesocolon by pancreatic inflammatory process. |
Follow-up
Both these patients are doing well after a one-year follow-up without further attacks of pancreatitis and complete resolution of colonic pathology on endoscopic examination.
DISCUSSION
Several pathogenetic mechanisms have been proposed to explain colonic involvement in acute pancreatitis; direct spread of pancreatic enzymes through the retro-peritoneum to the mesocolon as the cause of pericolitis (Figure 1); thrombosis or compression of one of the mesenteric arteries causes ischaemic necrosis of the colon; and a “low flow state” causing ischaemia of the colon at the junction of the middle and left colic artery blood supply due to hypotension associated with “shock”. Other possible causes for colonic complications are diffuse intravascular coagulation and pressure-necrosis of the colon (e.g., by a surgical drain) [3, 6, 7, 11, 13].
The treatment of choice historically has been resection of the involved segment of the colon with construction of a temporary colostomy [1, 10, 13]. Unfortunately, mortality rates have been reported in excess of 40% [1, 10, 13]. Although this may be the treatment of choice for large segmental necrosis of the colon, the management of pancreatic and peripancreatic sepsis may prevent the progression of localized early ischaemic colitis and its associated complications. This is further supported by the fact that up to a third of patients with infected pancreatic necrosis have colonic fistulization, and over half of organisms responsible for secondary infection of pancreatic necrosis are of gut origin (gram negative) [2, 7, 9].
Rectal blood loss and colo-cutaneous fistulae are obvious signs of colonic involvement in acute pancreatitis [10, 11, 12] but usually manifest late. More often than not, in the absence of colonic bleeding the diagnosis of colonic pathology secondary to acute pancreatitis is based on a high index of clinical suspicion. Such diagnosis is made usually following a contrast enhanced CT in conjunction with clinical signs of an acute abdominal catastrophe.
The presence of per rectal bleeding permitted us an opportunity of diagnosing ischaemic ulceration by colonoscopy and undertaking minimally invasive necrosectomy immediately to arrest the inflammatory process. Video assisted retroperitoneal pancreatic debridement and abscess drainage has been extensively reported in the literature of late, and a recent randomized controlled trial has shown significantly reduced morbidity and mortality over open necrosectomy in the setting of acute infected necrotizing pancreatitis [12]. The decision to adopt this approach in this group of patients was based on the presence of infected pancreatic necrosis and peripancreatic abscess, failure to progress, and more importantly the feeling that the local complications of the adjacent colon were directly attributable to the ongoing pancreatic or peripancreatic sepsis.
However, the role of this minimally invasive approach has not previously been reported in the setting of localized colonic complications (ulceration/haemorrhage). Importance of ongoing pancreatic necrosis and early identification of colonic lesions by colonoscopy and prompt management could be life saving for patients. Use of percutaneous necrosectomy for ischaemic colonic ulceration secondary to adjacent pancreatic or peripancreatic infected necrosis is an innovative approach used in both cases resulting in very successful outcomes with little morbidity.
Received February 28th, 2011 - Accepted March 29th, 2011
Key words Colitis, Ischemic; Hemorrhage; Pancreatitis, Acute Necrotizing
Conflict of interest The authors have no potential conflicts of interest
Correspondence
Sakhawat
H Rahman
Centre for HPB Surgery and Liver Transplantation
Royal Free Hospital
Pond Street
London NW3 2QG
United Kingdom
Phone: +44-(0)20.7794.0500 Ext: 31316
Fax: +44-(0)20.7472.6226
E-mail: zak.rahman@nhs.net
References
1. Beger HG, Rau BM. Severe acute pancreatitis: clinical course and management. World J Gastroenterol 2007; 13:5043-51. [PMID 17876868]
2. Aldridge MC, Francis ND, Glazer G, Dudley HA. Colonic complications of severe acute pancreatitis. Br J Surg 1989; 76:362-7. [PMID 2655821]
3. Lukash WM. Complications of acute pancreatitis. Am J Gastroenterol 1968; 49:120-5. [PMID 5640830]
4. Abcarian H, Eftaiha M, Kraft AR, Nyhus LM. Colonic complications of acute pancreatitis. Arch Surg 1979; 114:995-1001. [PMID 485850]
5. Bouillot JL, Alexandre JH, Vuong NP. Colonic involvement in acute necrotizing pancreatitis: Results of surgical treatment. World J Surg 1989; 13:84-7. [PMID 2728464]
6. Ravindra KV, Sikora SS, Kumar A, Kapoor VK, Saxena R, Kaushik SP. Colonic necrosis is an adverse prognostic factor in pancreatic necrosis. Br J Surg 1995; 82:109-10. [PMID 7881925]
7. Adams DB, Davis BR, Anderson MC. Colonic complications of pancreatitis. Am Surg 1994; 60:44-9. [PMID 8273973]
8. Kriwanek S, Gschwantler M, Beckerhinn P, Armbruster C, Roka R. Complications after surgery for necrotising pancreatitis: Risk factors and prognosis. Eur J Surg 1999; 165:952-7. [PMID 10574103]
9. Kukora JS. Extensive colonic necrosis complicating acute pancreatitis. Surgery 1985; 97290-3. [PMID 3975849]
10. Kriwanek S, Armbruster C, Beckerhinn P, Dittrich K, Redl E. Improved results after aggressive treatment of colonic involvement in necrotizing pancreatitis. Hepatogastroenterology 1996; 43:1627-32. [PMID 8975977]
11. Schein M, Saadia R, Decker G. Colonic necrosis in acute pancreatitis: A complication of massive retroperitoneal suppuration. Dis Colon Rectum 1985; 28:948-50. [PMID 4064856]
12. Carter CR, McKay CJ, Imrie CW. Percutaneous necrosectomy and sinus tract endoscopy in the management of infected pancreatic necrosis: an initial experience. Ann Surg 2000; 232:175-80. [PMID 10903593]
13. Ranson JH, Rifkind KM, Roses DF, Fink SD, Eng K, Localio SA. Objective early identification of severe acute pancreatitis. Am J Gastroenterol 1974; 61:443-451. [PMID 4835417]