CASE REPORT
JOP. J Pancreas (Online) 2011 May 6; 12(3):279-282.
Epidermoid Cyst Occurring Within an Intrapancreatic Accessory Spleen. A Case Report and Review of the Literature
Adam J Horn, Subodh M Lele
Department of Pathology and Microbiology, University of Nebraska Medical Center. Omaha, NE, USA
ABSTRACT
Context Epidermoid cysts occurring within intrapancreatic accessory spleens are exceptionally rare entities, with only 21 previously reported cases. Their clinical presentation prior to pathologic assessment can raise concern for possible malignancy; however, they behave in a benign fashion. Case report A 62-year-old male presented with complaints of abdominal pain. Imaging revealed left-sided retroperitoneal mass and surgical exploration was recommended. Surgery revealed a cystic cavity containing necrotic debris originating from the tail of the pancreas. Microscopy was consistent with an epidermoid cyst arising within an intrapancreatic accessory spleen with positive immunoperoxidase staining for CEA. Conclusion Epidermoid cysts occurring within intrapancreatic accessory spleens can mimic a malignant process both clinically and radiographically. Surgery with pathologic assessment is the only reliable means of diagnosis. While they are a very rare entity, it is an important component of a complete differential diagnosis for a patient presenting with a pancreatic tail mass.
INTRODUCTION
An epidermoid cyst occurring within an intrapancreatic accessory spleen is an extremely rare occurrence, with only 21 cases being described in the English literature since being first described in 1980 [1, 2, 3, 4, 5, 6, 7, 8, 9, 10,11, 12, 13, 14, 15, 16, 17, 18, 19]. As these lesions are often detected incidentally on imaging and are occasionally associated with increased serum CA 19-9 and CEA levels, their discovery can raise concern of a cystic pancreatic neoplasm [6, 7, 8, 11, 12, 13, 18, 20, 21]. In this report we describe an epidermoid cyst arising within an intrapancreatic accessory spleen in a symptomatic individual which prompted surgical exploration.
CASE REPORT
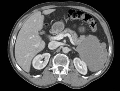
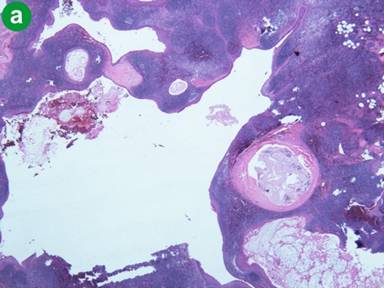
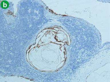
The patient is a 62-year-old male who presented to a rural clinic with complains of vague left-sided abdominal pain. A Computed tomography (CT) scan was obtained which showed a left-sided retroperitoneal mass with a possible cystic component (Figure 1). Resection of the mass was advised and the patient was transferred to our tertiary academic medical center. Abdominal surgical exploration revealed a large mass containing a cystic cavity (4.8x3.7x1.9 cm in aggregate) consisting of hemorrhagic fatty soft tissue and purulent appearing debris originating from the tail of the pancreas. The cyst was removed and sent for pathologic examination. Microscopy revealed multiple epidermoid cysts within accessory splenic tissue (Figure 2). The cysts were lined by stratified squamous epithelium, some of which was keratinizing, and were variable in size. Several cysts appeared to have ruptured and had surrounding fat necrosis and foreign body giant cells. The lining of the cysts was positive for CEA on immunohistochemistry. The findings are consistent with a benign epidermoid cyst arising within accessory splenic tissue in the tail of the pancreas. The patient recovered without complication.

|
Figure 1. Computed tomography (CT) scan demonstrating a large, left-sided cystic mass near the tail of the pancreas. |


|
Figure 2. a. Microscopic image of multiple cysts with stratified squamous epithelium within splenic parenchyma. b. Immunoperoxidase positivity for CEA in the epithelium of the cyst. |
DISCUSSION
Epidermoid cysts of the spleen are a relatively infrequent cause of true non-parasitic splenic cysts. Accessory splenic tissue is a not uncommon finding at autopsy, with approximately 20% of accessory spleens occurring in the region of the tail of the pancreas [22]. However, epidermoid cysts occurring within an intrapancreatic accessory spleen are exceedingly rare, with only 21 previously reported cases (Table 1).
|
Table 1. List of all known published cases in the English literature of epidermoid cysts occurring within intrapancreatic accessory spleenic tissue. |
||||||
|
Case |
Author |
Sex |
Age (year) |
Location |
Tumor markers |
Presentation |
|
#1 |
Davidson et al., 1980 [1] |
Male |
40 |
Tail |
None reported |
Nausea, weight loss |
|
#2 |
Morohoshi et al., 1991 [2] |
Female |
32 |
Tail |
CA 19-9 |
Abdominal pain |
|
#3 |
Nakae et al., 1991 [3] |
Female |
37 |
Tail |
None reported |
Epigastric pain |
|
#4 |
Tang et al., 1994 [4] |
Male |
38 |
Tail |
CEA |
Asymptomatic |
|
#5 |
Furukawa et al., 1998 [5] |
Male |
45 |
Tail |
None reported |
Asymptomatic |
|
#6 |
Higaki et al., 1998 [6] |
Female |
46 |
Tail |
CA 19-9 |
Back pain |
|
#7 |
Tatayama et al., 1998 [7] |
Female |
67 |
Tail |
CA 19-9, CEA |
Abdominal pain |
|
#8 |
Sasou et al., 1999 [8] |
Female |
49 |
Tail |
CA 19-9, CEA |
Asymptomatic |
|
#9 |
Choi et al., 2000 [9] |
Female |
54 |
Tail |
None reported |
Epigastric pain, nausea |
|
#10 |
Tsutsumi et al., 2000 [10] |
Male |
51 |
Tail |
None |
Asymptomatic |
|
#11 |
Horibe et al., 2001 [11] |
Male |
48 |
Tail |
CA 19-9 |
Asymptomatic |
|
#12 |
Sonomura et al., 2002 [12] |
Female |
45 |
Tail |
CA 19-9 |
Epigastric pain |
|
#13 |
Kanazawa et al., 2004 [13] |
Female |
58 |
Tail |
CA 19-9 |
Asymptomatic |
|
#14 |
Ru et al., 2007 [14] |
Male |
41 |
Tail |
CA 19-9, CEA |
Asymptomatic |
|
#15 |
Itano et al., 2008 [15] |
Male |
40 |
Tail |
None |
Asymptomatic |
|
#16 |
Servais et al., 2008 [16] |
Female |
52 |
Tail |
CA 19-9, CEA |
Asymptomatic |
|
#17 |
Gleeson et al., 2008 [17] |
Female |
32 |
Tail |
CEA |
Abdominal pain |
|
#18 |
Kadota et al., 2010 [18] |
Female |
57 |
Tail |
CA 19-9 |
Asymptomatic |
|
#19 |
Kadota et al., 2010 [18] |
Female |
70 |
Tail |
CA 19-9 |
Asymptomatic |
|
#20 |
Kadota et al., 2010 [18] |
Male |
37 |
Tail |
CA 19-9 |
Asymptomatic |
|
#21 |
Itano et al., 2010 [19] |
Male |
67 |
Tail |
CA 19-9 |
Epigastric pain, weight loss |
|
#22 |
Present case, 2011 |
Male |
62 |
Tail |
CEA |
Abdominal pain |
An epidermoid cyst histologically is comprised of a cystic space lined by keratinizing and non-keratinizing, non-hear bearing stratified squamous or cuboidal epithelium. All known cases arising in accessory splenic tissue have occurred within the tail of the pancreas, with sizes ranging from 1.5 to 11.5 cm, and have been reported to be both unilocular and multilocular [18]. It has been hypothesized that the cysts may arise due to a mesothelial inclusion that undergoes squamous metaplasia [23], as a byproduct of a teratoma [24], or as a communication between the pancreatic duct system with the intrapancreatic accessory spleen [7]. A recent report citing possible pancreatic duct material within an epidermoid cyst is supportive of the third theory [18]. Epidermoid cysts within an intrapancreatic accessory spleen have been associated with increases in serum CA 19-9 and CEA. Our case demonstrated immunoperoxidase positivity for CEA; no preoperative serum CEA or CA 19-9 levels were performed. D2-40 (a marker of epithelial origin) immunoperoxidase positivity has also recently been described [18].
The differential diagnosis includes pseudocysts, intraductal papillary mucinous neoplasms (IPMN), serous and mucinous cystadenomas, and lymphoepithelial cysts. A fine needle aspiration (FNA) of an epidermoid cyst within an intrapancreatic accessory spleen can yield pancreatic tissue, inflammatory debris, and fluid with increased CEA and CA 19-9 levels. These findings can be suggestive of malignancy; however, the presence of mature squamous epithelium and the lack of cytologically malignant appearing cells can be helpful in narrowing the differential diagnosis. There are no characteristic features to define the lesion on radiology, which when discovered can cause concern for a cystic pancreatic neoplasm as the radiographic findings can be quite similar [20]. There has been suggestion that the spleen and an intrapancreatic accessory spleen should demonstrate similar enhancement with contrast-enhanced CT imaging or MRI after superparamagnetic iron oxide administration [12, 21]. Because it is impossible to entirely rule out cystic pancreatic malignancies, surgical resection and histopathological examination is required for definitive diagnosis. Laparoscopic resection of an epidermoid cyst within an intrapancreatic accessory spleen has recently been described and offers the benefits of diminished pain and recovery time versus an open procedure in cases where the differential diagnosis favors a benign process but malignancy can not be ruled out [19].
In summary, an epidermoid cyst arising in intrapancreatic accessory spleen is a rare entity that can mimic malignant conditions. Because there is no reliable preoperative method to identify this entity, it remains a rare but important component in the differential diagnosis of cystic lesions in the tail of the pancreas.
Received March 11th, 2011 - Accepted April 4th, 2011
Key words Epidermal Cyst; Pancreas; Spleen
Conflict of interest The author has no potential conflicts of interest
Correspondence
Adam J Horn
Department of Pathology and Microbiology
University of Nebraska Medical Center
983135 Nebraska Medical Center
4350 Dewey Ave
Omaha, NE 68198-3135
USA
Phone: +1-402.559.4186
Fax: +1-402.559.6018
E-mail: ahor1@unmc.edu
References
1. Davidson ED, Campbell WG, Hersh T. Epidermoid splenic cyst occurring in an intrapancreatic accessory spleen. Dig Dis Sci 1980; 25:964-7. [PMID 7449592]
2. Morohoshi T, Hamamoto T, Kunimura T, Yoshida E, Kanda M, Funo K, et al. Epidermoid cyst derived from an accessory spleen in the pancreas. A case report with literature survey. Acta Pathol.Jpn 1991; 41:916-21. [PMID 1785350]
3. Nakae Y, Hayakawa T, Kondo T, Shibata T, Kitagawa M, Sakai Y, et al. Epidermoid cyst occurring in a pancreatic accessory spleen. J Clin Gastroenterol 1991; 13:362-4. [PMID 2066557]
4. Tang X, Tanaka Y, Tsutsumi Y. Epithelial inclusion cysts in an intrapancreatic accessory spleen. Pathol Int 1994; 44:652-4. [PMID 7952152]
5. Furukawa H, Kosuge T, Kanai Y, Mukai K. Epidermoid cyst in an intrapancreatic accessory spleen: CT and pathologic findings. AJR Am J Roentgenol 1998; 171:271. [PMID 9648813]
6. Higaki K, Jimi A, Watanabe J, Kusaba A, Kojiro M. Epidermoid cyst of the spleen with CA 19-9 or carcinoembryonic antigen productions: report of three cases. Am J Surg Pathol 1998; 22:704-8. [PMID 9630177]
7. Tateyama H, Tada T, Murase T, Fujitake S, Eimoto T. Lymphoepithelial cyst and epidermoid cyst of the accessory spleen in the pancreas. Mod Pathol 1998; 11:1171-7. [PMID 9872647]
8. Sasou S, Nakamura S, Inomata M. Epithelial splenic cysts in an intrapancreatic accessory spleen and spleen. Pathol Int 1999; 49:1078-83. [PMID 10632928]
9. Choi SK, Ahn SI, Hong KC, Kim SJ, Kim TS, Woo ZH, Shin SH. A case of epidermoid cyst of the intrapancreatic accessory spleen. J Korean Med Sci 2000; 15:589-92. [PMID 11068999]
10. Tsutsumi S, Kojima T, Fukai Y, Kanoh K, Shimura T, Mochiki E, et al. Epidermoid cyst of an intrapancreatic accessory spleen. A case report. Hepatogastroenterology 2000; 47:1462-4. [PMID 11100377]
11. Horibe Y, Murakami M, Yamao K, Imaeda Y, Tashiro K, Kasahara M. Epithelial inclusion cyst (epidermoid cyst) formation with epithelioid cell granuloma in an intrapancreatic accessory spleen. Pathol Int 2001; 51:50-4. [PMID 11148465]
12. Sonomura T, Kataoka S, Chikugo T, Hirooka T, Makimoto S, Nakamoto T, Sato M. Epidermoid cyst originating from an intrapancreatic accessory spleen. Abdom.Imaging 2002; 27:560-2. [PMID 12172998]
13. Kanazawa H, Kamiya J, Nagino M, Uesaka K, Yuasa N, Oda K, et al. Epidermoid cyst in an intrapancreatic accessory spleen: a case report. J.Hepatobiliary. J Hepatobiliary Pancreat Surg 2004; 11:61-3. [PMID 15754048]
14. Ru K, Kalra A, Ucci A. Epidermoid cyst of intrapancreatic accessory spleen. Dig Dis Sci 2007; 52:1229-32. [PMID 17385039]
15. Itano O, Shiraga N, Kouta E, Iri H, Tanaka K, Hattori H, et al. Epidermoid cyst originating from an intrapancreatic accessory spleen. J Hepatobiliary Pancreat Surg 2008; 15:436-9. [PMID 18670847]
16. Servais EL, Sarkaria IS, Solomon GJ, Gumpeni P, Lieberman MD. Giant epidermoid cyst within an intrapancreatic accessory spleen mimicking a cystic neoplasm of the pancreas: case report and review of the literature. Pancreas 2008; 36:98-100. [PMID 18192891]
17. Gleeson FC, Kendrick ML, Chari ST, Zhang L, Levy MJ. Epidermoid accessory splenic cyst masquerading as a pancreatic mucinous cystic neoplasm. Endoscopy 2008; 40(Suppl. 2):E141-2. [PMID 18633876]
18. Kadota K, Kushida Y, Miyai Y, Katsuki N, Hayashi T, Bando K, et al. Epidermoid cyst in an intrapancreatic accessory spleen: three case reports and review of the literatures. Pathol Oncol Res 2010; 16:435-42. [PMID 19949910]
19. Itano O, Chiba N, Wada T, Yuasa Y, Sato T, Ishikawa H, et al. Laparoscopic resection of an epidermoid cyst originating from an intrapancreatic accessory spleen: report of a case. Surg Today 2010; 40:72-5. [PMID 20037845]
20. Park MS, Kim KW, Lim JS, Lee JH, Kim JH, Kim SY, et al. Unusual cystic neoplasms in the pancreas: radiologic-pathologic correlation. J Comput Assist Tomogr 2005; 29:610-6. [PMID 16163029]
21. Motosugi U, Yamaguchi H, Ichikawa T, Sano K, Araki T, Takayama Y, et al. Epidermoid cyst in intrapancreatic accessory spleen: radiological findings including superparamagnetic iron oxide-enhanced magnetic resonance imaging. J Comput Assist Tomogr 2010; 34:217-22. [PMID 20351508]
22. Halpert B, Alden ZA. Accessory spleens in or at the tail of the pancreas. A survey of 2,700 additional necropsies. Arch Pathol 1964; 77:652-4. [PMID 14130052]
23. Ough YD, Nash HR, Wood DA. Mesothelial cysts of the spleen with squamous metaplasia. Am J Clin Pathol 1981; 76:666-9. [PMID 7293981]
24. Lifschitz-Mercer B, Open M, Kushnir I, Czernobilsky B. Epidermoid cyst of the spleen: a cytokeratin profile with comparison to other squamous epithelia. Virchows Arch 1994; 424:213-6. [PMID 7514079]