CASE REPORT
JOP. J Pancreas (Online) 2011 May 6; 12(3):287-291.
Splenic Parenchymal Complications in Pancreatitis
Pradeep V Patil1, Ahmed Khalil1, Mohamed A Thaha2
1Department of Surgery, Ninewells Hospital and Medical School. Dundee, United Kingdom. 2Academic Surgical Unit, Centre for Digestive Diseases, Barts and the London School of Medicine and Dentistry, Queen Mary University of London. London, United Kingdom
INTRODUCTION
The intimate relationship of the tail of the pancreas and the splenic hilum makes the spleen vulnerable during inflammation of the body and tail of the pancreas. Involvement of the spleen in chronic pancreatitis has been well documented [1, 2, 3] and is being increasingly reported in acute pancreatitis [4, 5, 6]. The spectrum includes perisplenic/intrasplenic pseudocysts, subcapsular haematomas, intrasplenic haemorrhage, splenic infarction and splenic rupture. Our understanding of the clinical course of these potentially fatal complications has increased with the routine use of CT scanning to monitor pancreatitis [5, 7, 8].
We present a spectrum of splenic complications in pancreatitis from subcapsular haematoma to splenic rupture. Two of these complications occurred in newly diagnosed cases of pancreatitis and one in a patient known to have chronic pancreatitis. The different modalities of presentation and progression are depicted with resultant differences in management. Pertinent literature has then been reviewed to discuss the aetiology, pathology, clinical features, and management of splenic parenchymal complications of pancreatitis.
CASE REPORTS
Case #1
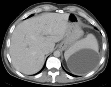
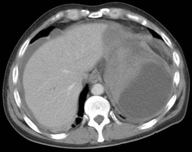
A 47-year-old man with known alcoholic pancreatitis for 10 years was admitted as an emergency with a twenty hour history of left upper quadrant pain radiating to his left shoulder. He was apyrexial and haemodynamically stable. His serum amylase was 245 U/L (reference range: 0-100 U/L) and the white cell count was 17.5 x109/L (reference range: 4-11 x109/L). A CT scan (Figure 1) showed a large sub-capsular fluid collection in his spleen. Twenty four hours later, he suddenly complained of worsening pain and became hypotensive. An urgent CT scan confirmed active bleeding with disruption of the sub-capsular splenic haematoma (Figure 2).

|
Figure 1. Splenic sub-capsular haematoma (Case #1). |

|
Figure 2. Bleeding due to rupture of the sub-capsular splenic haematoma (Case #1). |
He underwent an emergency laparotomy and at operation was found to have haemoperitoneum from rupture of his splenic sub-capsular haematoma. He underwent a splenectomy and had an uncomplicated postoperative recovery.
Case #2
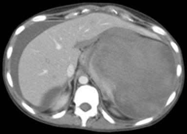
The next patient was a 23-year-old woman with a history of alcohol and opiate dependency who was admitted with increasing left upper quadrant pain for two weeks on a background of epigastric discomfort for three months. She was haemodynamically stable, serum amylase was 335 U/L, and white cell count was 14.2 x109/L. A CT scan of her abdomen showed a large pseudocyst in the area of the tail of the pancreas and spleen as shown in Figure 3.

|
Figure 3. Large pseudocyst in splenic area (Case #2). |
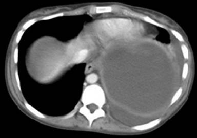
The patient self-discharged from the hospital against medical advice the day following admission, but required emergency readmission seven days later with increasing epigastric and left upper quadrant pain, fever and tachycardia. Her serum amylase was 135 U/L and white cell count was elevated at 39.1 x109/L. A repeat CT scan showed splenic vein thrombosis and disruption of the spleen which is shown in Figure 4.

|
Figure 4. Splenic rupture (Case #2). |
She underwent splenic artery embolisation prior to surgery and at operation was found to have a large haematoma with blood and clots in the lesser sac with a thin rim of identifiable splenic tissue which was bleeding. This was excised to obtain haemostasis. Post operatively her drain fluid was high in amylase (29,000 U/L) signifying a pancreatic fistula which dried up in five weeks.
Case #3
The third patient was a 45-year-old lady on haemodialysis for end stage renal failure secondary to polycystic kidney disease. She was admitted with epigastric and left upper quadrant pain of two days duration. She had an attack of mild acute pancreatitis of unknown aetiology three months previously. On examination, she was haemodynamically stable and had a palpable left upper quadrant mass. A CT scan showed features of pancreatitis and a 12x4 cm sub-capsular splenic collection. As she was clinically stable, she was treated conservatively with continued haemodialysis without heparin. Follow-up CT scan 10 days later showed the subcapsular haematoma to have increased in size with a corresponding 3 g/dL drop in Hb (measured value 9 gm/dL; reference range 12-16 g/dL). Splenic artery embolisation was attempted but was unsuccessful due to anatomical difficulties. As she remained haemodynamically stable, an expectant conservative approach was adopted. Follow-up CT scans at two weeks showed organisation of the splenic haematoma with no fresh bleeding. A repeat CT at six months showed complete resolution of the sub-capsular splenic haematoma.
DISCUSSION
Necrotising pancreatitis and pseudocysts involving the pancreatic tail appear to predispose patients to splenic complications [9, 10]. The incidence of pseudocyst extension into the spleen has been estimated to be around 1%. Erosion of non-cystic pancreatic inflammation occurs less commonly [9, 11, 12]. In a series of 500 patients with chronic pancreatitis, splenic complications were found in 11 patients (2.2%), four of whom presented with splenic rupture. Five patients had intra-splenic pseudocysts and two had intra-splenic sub-capsular haematoma [1]. In a series of 159 CT scans performed on 100 consecutive patients with acute pancreatitis, Koenraad et al. found splenic infarcts in 10 patients and sub-capsular haemorrhage in two patients [5]. In another series of 238 patients with pancreatic pseudocysts, 14 (5.9%) patients had splenic parenchymal involvement [2].
Anatomy
The anatomical relationship between the tail of the pancreas and the splenic hilum permits the spread of pancreatitis-induced inflammatory processes into the spleen [9]. The distal portion of the pancreatic tail extends along the course of the splenic vessels and enters the splenic hilum within the two layers of peritoneum constituting the spleno-renal ligament. The peritoneum covering the anterior surface of the pancreas and enclosing the splenic vessels at the splenic hilum is continuous with the splenic capsule. This anatomic relationship is important in allowing leaked pancreatic enzymes to dissect postero-laterally along the splenic vessels and gain direct access to the splenic hilum and capsule [7, 9]. Three types of pancreatic fluid involvement are seen: perisplenic, intrasplenic, and mixed. In perisplenic involvement, the fluid dissects the splenic peritoneal layer from the splenic capsule without discontinuing it. Direct intrasplenic involvement occurs by enzymatic erosions of the splenic capsule. The fluid collection then penetrates into the splenic parenchyma through the disrupted capsule. These intrasplenic pseudocysts can therefore result either from the dissection of a pancreatic pseudocyst or extrapancreatic fluid along the course of the splenic vessels [13]. They may also be infrequently caused by pancreatitis occurring in ectopic, intrasplenic pancreatic tissue and or liquefaction of previous splenic infarcts [13].
Pathology
Pancreatic pseudocysts by way of tryptic erosion (digestive effects of pancreatic enzymes), can cause splenic vein thrombosis, splenic arterial haemorrhage and splenic infarction [9]. Pancreatic enzymes that dissect into the spleen may directly erode the splenic parenchyma, small intrasplenic or hilar vessels resulting in intrasplenic haemorrhage. The blood may be contained within the pseudocyst (intrasplenic pseudocyst) or it may dissect beneath the splenic capsule to form a sub capsular haematoma. Pancreatic enzymes can also dissect into the splenic sub capsular space and cause bleeding from the stripped splenic parenchymal surface. If the haemorrhage is large enough, laceration, capsular disruption, or actual rupture of the spleen may occur [14].
Splenic infarction is seen more commonly in acute pancreatitis [5]. Compression of major splenic vessels by extensive inflammation can cause focal or diffuse splenic infarction. These classically manifest as wedge shaped lesion with the tip originating from the hilum and extending to a sub capsular base [14]. This later manifestation may lead to a sub capsular haematoma.
Incidence
Splenic complications in chronic pancreatitis tend to favour men. The aetiology of pancreatitis is most commonly alcohol followed by idiopathic pancreatitis [1, 2, 8]. Involvement of the pancreatic tail seems to be a pre-requisite and concomitant splenic vein thrombosis dramatically increases the chances of splenic complications [1]. Splenic infarcts and subcapsular haemorrhage appears to occur more frequently in acute pancreatitis [5]. In comparison, splenic pseudocysts, sub-capsular haematoma, and splenic rupture are more common in patients with chronic pancreatitis [1, 2, 8].
Median duration of splenic complication from the initial diagnosis of chronic pancreatitis is approximately 2 years [1, 7]. Morbidity and mortality rates are 79% and 8% in patients with splenic involvement compared to morbidity and mortality rates of 39% and 3.5% in patients without splenic involvement [2].
Most patients with splenic complications of pancreatitis will present with non-specific features of either pancreatitis or pseudocysts. Important signs and symptoms that can suggest splenic involvement are increasing pain in the left upper quadrant and pain referred to the left shoulder [1, 9] or findings of a left upper quadrant mass on physical examination. Tachycardia and pyrexia, along with biochemical evidence of inflammation, occur in more than half of these patients [2, 8, 12]. Presence of a left sided pleural effusion on chest X-ray is another important clue.
Management
Lack of specific symptomatology related to splenic complications underlines the importance of CT for diagnosis. Contrast enhanced helical CT scans is the most commonly used modality for diagnosis and follow-up of patients with pancreatitis and its attendant complications [8]. MRI scan has a distinct advantage with its ability to characterise different soft tissue elements and has been used in assessing acute and chronic pancreatitis and pancreatitis induced complications including characterising peri-pancreatic fluid collections, pancreatic necrosis, pancreatic ductal communications, detection of vascular complications such as pseudoaneurysms and venous thrombosis [15]. MRI when substituted for CT scans in multiple follow-up imaging can reduce the cumulative radiation dose and obviates the risk of nephrotoxicity and anaphylactic reactions from iodinated contrast material used in CT scans. Further technological advances, shortening of image acquisition time, and ready availability of MRI scan should allow its utilisation in a haemodynamically stable patient even in acute settings for management planning for these complicated patients.
Management of patients with sub-capsular haematomas and or splenic parenchymal pseudocysts is by conservative approach, percutaneous drainage, or surgery [2]. The haemodynamically unstable patient with splenic rupture or haemoperitoneum will require emergency laparotomy and either splenectomy or distal pancreatosplenectomy which may potentially reduce the risk of pancreatic leak or fistula formation [1, 2].
In haemodynamically stable patients, the decision for intervention should be based on clinical parameters rather than CT imaging alone. In a retrospective series of 238 patients with pancreatic pseudocyst [2], 14 (6%) were found to have splenic parenchymal involvement. Initial treatment included observation in two, percutaneous drainage in eight and surgery in four patients. Of the eight patients treated by percutaneous drainage, one died, three underwent repeated percutaneous drainage, and three had surgical intervention [2]. In contrast, Rypens et al. treated 12 out of 16 patients with splenic parenchymal complications conservatively [8]. The role of percutaneous drainage of these lesions is still being debated. Ductal communication with pseudocysts is thought to be particularly responsible for the high failure rates seen with percutaneous drainage [2]. Therefore ERCP is recommended to check for ductal communication in patients with high risk pseudocysts. In patients with splenic vein thrombosis and segmental portal hypertension, Malka et al. have suggested that the risk of splenic rupture is high and expectant management may be hazardous [1]. In patients with large splenic parenchymal lesions or evidence of perisplenic bleeding, close monitoring is necessary and elective or pre operative splenic artery embolisation may be desirable [2, 4].
A clinically stable patient with improving symptoms and resolving clinical signs can be managed conservatively with the intent of splenic conservation. Follow-up is by serial ultrasound or CT scans [16] which can show spontaneous regression. Time for resolution varies from one week to four months depending on the severity of the underlying pancreatitis [8].
CONCLUSIONS
Splenic parenchymal lesions complicating pancreatitis are being increasingly recognised and reported. Their presentation can be varied from left upper quadrant pain to that of a haemodynamically unstable patient. Close monitoring of clinical parameters and serial CT scans can pick up splenic parenchymal involvement early. Management will depend on the availability of local radiological and surgical expertise and if necessary, the patient should be transferred to a suitable tertiary centre for optimal care. Present evidence suggests that conservative management should be attempted in a haemodynamically stable patient. Risk factors for failure of conservative treatment are large splenic parenchymal lesions, pseudocysts with ductal communication and patients with splenic vein thrombosis or segmental portal hypertension. Prophylactic splenic artery embolisation is an option in such patients with surgery reserved for the haemodynamically unstable patient.
Received February 7th, 2011 - Accepted April 14th, 2011
Key words Hematoma; Pancreatic Pseudocyst; Pancreatitis /complications; Splenic Infarction; Splenic Rupture
Funding sources None
Conflict of interest The authors have no potential conflicts of interest
Correspondence
Pradeep
V Patil
Ward 11, Level 6
Department of Surgery
Ninewells Hospital and Medical School
Dundee, DD1 9SY
United Kingdom
Phone: +44-1382.633.890
Fax: +44-1382.496.361
E-mail: pradeeppat@gmail.com
References
1. Malka D, Hammel P, Lévy P, Sauvanet A, Ruszniewski P, Belghiti J, Bernades P. Splenic complications in chronic pancreatitis: prevalence and risk factors in a medical-surgical series of 500 patients. Br J Surg 1998; 85:1645-9. [PMID 9876067]
2. Heider R, Behrns KE. Pancreatic pseudocysts complicated by splenic parenchymal involvement: results of operative and percutaneous management. Pancreas 2001; 23:20-5. [PMID 11451143]
3. Siu TL. Percutaneous drainage of spontaneous subcapsular haematoma of the spleen complicating chronic pancreatitis. Surgeon 2004; 2:52-5. [PMID 15570808]
4. Thompson JE Jr, Ashley SW. Subcapsular hematoma of the spleen associated with acute pancreatitis. Surgery 1997; 121:231-3. [PMID 9037239]
5. Mortele KJ, Mergo PJ, Taylor HM, Ernst MD, Ros PR. Splenic and perisplenic involvement in acute pancreatitis: determination of prevalence and morphologic helical CT features. J Comput Assist Tomogr 2001; 25:50-4. [PMID 11176293]
6. Toussi HR, Cross KS, Sheehan SJ, Bouchier-Hayes D, Leahy AL. Spontaneous splenic rupture: a rare complication of acute pancreatitis. Br J Surg 1996; 83:632. [PMID 8689204]
7. Fishman EK, Soyer P, Bliss DF, Bluemke DA, Devine N. Splenic involvement in pancreatitis: spectrum of CT findings. AJR Am J Roentgenol 1995; 164:631-5. [PMID 7863884]
8. Rypens F, Deviere J, Zalcman M, Braude P, Van de Stadt J, Struyven J, et al. Splenic parenchymal complications of pancreatitis: CT findings and natural history. J Comput Assist Tomogr 1997; 21:89-93. [PMID 9022775]
9. Lankisch PG. The spleen in inflammatory pancreatic disease. Gastroenterology 1990; 98:509-16. [PMID 2403954]
10. Hastings OM, Jain KM, Khademi M, Lazaro EJ. Intrasplenic pancreatic pseudocyst complicating severe acute pancreatitis. Am J Gastroenterol 1978; 69:182-6. [PMID 665640]
11. Warshaw AL, Chesney TM, Evans GW, McCarthy HF. Intrasplenic dissection by pancreatic pseudocysts. N Engl J Med 1972; 287:72-5. [PMID 5040037]
12. Sitzmann JV, Imbembo AL. Splenic complications of a pancreatic pseudocyst. Am J Surg 1984; 147:191-6. [PMID 6696192]
13. Wang SJ, Chen JJ, Changchien CS, Chiou SS, Tai DI, Lee CM, et al. Sequential invasions of pancreatic pseudocysts in pancreatic tail, hepatic left lobe, caudate lobe, and spleen. Pancreas 1993; 8:133-6. [PMID 8419901]
14. Vujic I. Vascular complications of pancreatitis. Radiol Clin North Am 1989; 27:81-91. [PMID 2642279]
15. Miller FH, Keppke AL, Dalal K, Ly JN, Kamler VA, Sica GT. MRI of pancreatitis and its complications: Part 1, Acute pancreatitis. AJR Am J Roentgenol 2004; 183:1637-44. [PMID 15547203]
16. Patel VG, Eltayeb OM, Zakaria M, Fortson JK, Weaver WL. Spontaneous subcapsular splenic hematoma: a rare complication of pancreatitis. Am Surg 2005; 71:1066-9. [PMID 16447482]