HIGHLIGHT ARTICLE
JOP. J Pancreas (Online) 2011 Mar 9; 12(2):86-91.
EUS-Guided Pancreatic Diagnosis and Beyond
Highlights from the "2011 ASCO Gastrointestinal Cancers Symposium". San Francisco, CA, USA. January 20-22, 2011
Shivakumar Vignesh1, Sarah E Hoffe1, Muhammad Wasif Saif2
1H Lee Moffitt Cancer Center. Tampa FL, USA. 2Columbia University College of Physicians and Surgeons and New York Presbyterian Hospital. New York, NY, USA
Summary
The therapeutic ability of endoscopic ultrasound has expanded, especially in assisting with radiation planning for image guided radiation techniques such as stereotactic body radiation therapy. Endoscopic ultrasound enables precise placement of fiducial markers into pancreatic cancers to accurately delineate the position of the target lesion as it moves with respiration. The authors summarize the data presented at the 2011 American Society of Clinical Oncology (ASCO) Gastrointestinal Cancers Symposium, including Abstracts #302, #327, #176, #182, and #349.
What We Knew Before 2011 ASCO GI Cancer Symposium
Endoscopic ultrasound (EUS) is established as an accurate diagnostic and staging modality for pancreatic tumors [1]. Contrast agents may improve the accuracy of EUS [2]. The linear echo-endoscope facilitates EUS-guided interventions such as fiducial placement. Fiducial markers are radiopaque spheres, coils, or seeds that are implanted in or near the tumor. The objective is to demarcate the extent of tumors to facilitate image guided radiation therapy (IGRT) [3, 4, 5, 6, 7, 8, 9, 10, 11, 12, 13].
Stereotactic body radiation therapy (SBRT) techniques rely on IGRT to permit escalation of radiation dose to tumors while simultaneously minimizing dose to normal tissues. Implantation of fiducials into the region of interest facilitates quantification of respiratory associated tumor motion as well as delineation of the local extent of malignant disease. In addition, fiducial markers enable reproducible daily treatment delivery. There are several studies on the feasibility of EUS guided fiducial placement for a variety of tumors [4, 5, 6, 7, 8, 9, 10, 11, 12, 13]. Two publications discuss the feasibility of EUS guided fiducial placement for locally advanced and recurrent pancreatic cancer [4, 9]. SBRT has been introduced into the locally advanced pancreatic cancer armamentarium by investigators at Stanford University [14]. Recent evidence has also suggested the feasibility of 5 high dose fractions of radiation prior to pancreatic cancer resection [15]. However, there is no published evidence regarding the utility of EUS implanted markers for SBRT as part of a neoadjuvant regimen for the subset of patients specifically designated to have “borderline resectable” pancreatic cancer [16, 17].
Prior studies on EUS-guided fiducial placement using the 19G FNA (large bore) needle reported technical failures associated with pancreatic head tumors and with altered anatomy. Pancreatic EUS-guided fiducial placement is reported to be successful in about 88-97% of patients, with minor complications related to needle malfunction [4, 5, 6, 7, 8, 9]. There are recent reports using a 22G FNA needle for fiducial placement for multiple sites but it is unclear if these small caliber needles are consistently successful for EUS-fiducial placement for pancreatic head tumors [5, 6, 13]. It has been suggested that the 0.35 mm diameter fiducials deployed using the 22G FNA needle may improve the success of EUS-fiducial placement in pancreatic tumors [5, 6]. Different techniques of EUS-fiducial placement are described in prior studies and involve using the stylet within the needle to deploy the marker [4, 5] or injecting sterile water into the needle using hydrostatic pressure to deploy the marker [9]. However, there is little data on the migration rate and utility of the smaller diameter (0.35 mm) fiducials for SBRT planning in borderline resectable pancreatic cancer. Fluoroscopy is frequently used to confirm location of fiducials but was not used in all the studies. Migration has been reported in about 7% of patients undergoing EUS-guided fiducial placement [4]. This resulted in repeat EUS for fiducial placement. Despite limitations such as previous pancreaticoduodenectomy, EUS-fiducial placement is less invasive than surgical or percutaneous approaches.
What We Learnt at 2011 ASCO GI Cancer Symposium
EUS-Guided Pancreatic Fiducial Placement
Vignesh et al. reported the technical feasibility and migration rate of EUS-fiducial placement in 25 patients with pancreatic cancer with a specific type of 22G needle (ECHO TIP® 3-22 needle; COOK®, Winston-Salem, NC, USA; Figure 1) to assist with planning SBRT (Abstract #327) [18]. Apparent versus true migration rate and utility of the smaller caliber fiducial markers for SBRT planning is discussed. The pancreatic cancers were classified as borderline resectable (National Comprehensive Cancer Network (NCCN) criteria) based on careful assessment of the vasculature by EUS and CT (thin slice, triphasic) scan. Twenty two of the 25 patients were classified as “borderline resectable” by the NCCN criteria [16, 17] and 3 were staged as locally advanced disease. Two of the 25 patients had pancreatic neuroendocrine carcinoma (PNET) and the rest had adenocarcinoma. Gold cylindrical fiducials (0.35x10 mm or 0.75x10 mm; VisicoilTM, RadioMed, Inc., Tingsboro, MA, USA; (Figure 2)) were loaded into a 22G or 19G EUS needle. With the needle in the target, the fiducial was deployed by simultaneously retracting the needle and advancing the stylet. Fifteen of 25 patients received the smaller (0.35x10 mm) fiducials, using the ECHO TIP® (3-22) FNA needle equipped with a “ball tip” stylet that facilitated deployment in pancreatic head lesions. This specific needle was selected based on prior experience using different types of 22G FNA needles for EUS-fiducial placement in the pancreatic head. A mean of 3 fiducials were placed (range 1-6) per patient. Fluoroscopy was not used to confirm placement as EUS confirmed fiducial position after deployment (Figure 3). Technical success was defined as placement of at least one fiducial marker.

|
Figure 1. ECHO TIP® (3-22) needle for small caliber fiducial placement. |

|
Figure 2. VisicoilTM fiducial markers of different caliber: A. 10x0.75 mm; B. 10x0.35 mm. |

|
Figure 3. EUS image of 0.75x10 mm VisicoilTM markers in a pancreatic mass. |
Fiducial placement was successful in 24/25 patients (96.0%). Most tumors were of the pancreatic head (n=18) vs. body/tail (n=7). A total of 72 fiducials were placed and 38 of these were the smaller caliber (0.35x10 mm) markers. Technical difficulty (not failure) was encountered in 4 patients secondary to retained food in stomach, altered anatomy and uncinate tumors. However, smaller (0.35x10 mm) fiducials were successfully placed in these 4 patients using the ECHO TIP® (3-22) FNA needle. Three patients had abdominal pain lasting less than 12 hours after fiducial placement but none had documented pancreatitis. No other complications occurred at the end of the follow-up period of 190 days. In 3 patients, change in fiducial position was noted on follow-up cone beam CT. This apparent change in position was related to biliary drainage, gastric distension and a pre-existing pseudocyst. Though this was not indicative of fiducial migration, it impacted radiation planning and delivery. These patients underwent repeat planning with a new 4D CT in the treatment position.
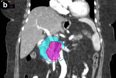
Patients with adenocarcinoma were treated with 3 cycles of induction gemcitabine based chemotherapy. Daily SBRT began at least 1 week following completion of chemotherapy. Fiducial position was analyzed at 4D CT simulation and fluoroscopy/cone beam CT prior to SBRT. Treatment was delivered with dose painting (Figure 4) over 5 fractions on a Trilogy® unit (Varian Medical Systems, Inc., Palo Alto, CA, USA). Treatment was delivered with either respiratory gating or abdominal compression to decrease respiratory associated tumor motion. Restaging PET/CT (Figure 5) and pancreas protocol CT were performed 3-4 weeks after completing SBRT for consideration for surgical exploration.



|
Figure 4. Pancreas protocol CT scan (dose painting). |


|
Figure 5. Fused PET-CT showing pre- and post-stereotactic body radiation therapy images. |
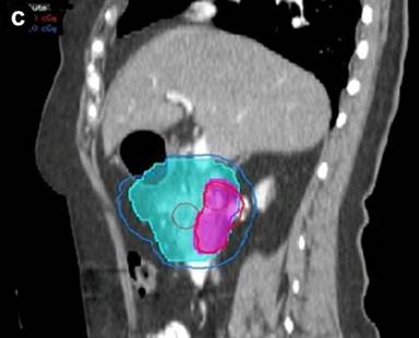
Chuong et al. have reported the initial Moffitt clinical outcomes with this technique for borderline resectable pancreatic adenocarcinomas, noting a 61% rate of conversion to R0 resection (Abstract #302; Figure 5b) [19]. For the patients with PNETs, fiducials were used for planning only since a fractionated course of radiation was delivered along with continuous infusion 5-flourouracil. Conventionally fractionated treatment was delivered with an intensity-modulated radiation therapy compensator based technique. PNETs were reimaged in 4-6 weeks with pancreas protocol CT. Radiation was well-tolerated in both patient populations. No complications were reported [19].
Highlights of Additional Abstracts Related to EUS and Pancreatic Tumors
Diagnosis of PNET
Strosberg et al. presented the outcome of 4 patients with stage I nonfunctioning PNETs (size less than, or equal to, 15mm) diagnosed via EUS-FNA (Abstract #349) [20]. At 2-year follow-up all tumors were unchanged. They concluded that surveillance may be a strategy for incidental stage I PNETs [20].
This study highlights the accuracy of EUS-FNA for small pancreatic tumors.
EUS to Predict Malignancy in Branch-Duct IPMN
Lee and Cho evaluated a EUS based scoring system in predicting malignancy in branch-duct type IPMN. Of 32 patients who underwent diagnostic EUS, 12 underwent surgical resection (Abstract #182) [21]. Cyst size, mural nodule, main pancreatic duct dilation and patulous pancreatic duct opening were significantly associated with malignancy. Mean score for benign cases was 2.47, and 6.33 for malignant cases (P=0.001). They recommended surgical resection for patients score greater than 7, to consider surgery for score between 4 and 6, and careful follow-up for score less than 3.
This study quantifies EUS morphology based risk assessment and needs to be validated using a larger sample [21].
Cytology Yield from Pancreatic EUS-FNA
Nguyen et al. compared the diagnostic yield of cell block alone against smear technique in pancreatic mass EUS-FNA (Abstract #176) [22]. Of 96 patients, 66 had cell block alone and 30 had smear plus/minus cell block preparation. In the absence of onsite cytology, the diagnostic yield from cell block alone was 80% and was superior to smear technique. The addition of cell block after smearing did not improve the diagnostic yield [22].
Onsite cytopathological assessment is accepted as a quality control measure for EUS and is the standard of care at most academic EUS centers. Therefore, this study is unlikely to impact the practice of EUS in the USA.
Discussion
EUS guided fine needle aspiration (EUS-FNA) is an integral part of the diagnosis and staging of pancreatic tumors. The accuracy of EUS in the detection of pancreatic tumors smaller than 3 cm and in assessment of portal vein and superior mesenteric vein involvement in pancreatic cancer is established. EUS guided core biopsy and brush cytology of pancreatic cysts has expanded its role and provides tissue for histology and additional molecular studies. EUS guided therapeutic interventions include celiac plexus neurolysis, pancreatic and biliary drainage [3] and more recently EUS guided fiducial marker placement for IGRT [4, 5, 6, 7, 8, 9]. Studies have reported the feasibility and safety of EUS guided fiducial placement.
Previous studies on EUS-guided fiducial placement have reported the difficulty placing markers with the standard 19G needle in the pancreatic head tumors. The curvature of the endoscope tip when positioned in the duodenum results in difficulty deploying the maker into pancreatic head lesions. DiMaio et al. used a 22G needle with smaller diameter fiducials for a variety of tumors but only 5 patients in that study had pancreatic head tumors [5]. We reported our experience [18] with different EUS needles and a specific type of 22G FNA needle (ECHO TIP® (3-22)) with a design suited for fiducial placement in pancreatic head tumors as it is a small caliber (flexible) needle with a “ball tip” stylet (Figure 6). The design of this stylet tip (component of the ECHO TIP® (3-22) needle) facilitates deployment of the fiducial despite the curvature of the endoscope tip that occurs when positioned in the duodenum to visualize pancreatic head tumors. The design of this needle makes EUS guided fiducial placement significantly easier and successful in most cases. Though this was not measured, we observed that EUS guided fiducial placement is usually of shorter duration than the initial EUS-FNA performed for diagnosis and staging. Also, the smaller caliber fiducials are visible on CT scan and helpful in radiation planning. Fluoroscopy is conventionally used to confirm marker placement in many of the published studies. Like Park et al. [9], we did not require fluoroscopy to confirm marker placement as the EUS exam confirmed accurate placement immediately after fiducial deployment.

|
Figure 6. VisicoilTM marker and EUS needle stylet tip. |
Prior studies reported on a migration rate of about 7% using a marker with a solid cylindrical design [4]. The type of fiducial marker used is not the same in all studies and true migration did not occur in our study in any of the 24 patients. Though the causes of fiducial migration are unclear it may be associated with the “solid” fiducial design and possibly related to the exact location of deployment in relation to the tumor. The coil structure of the marker we used (VisicoilTM) is the likely reason for stability of the marker over time. The other reason may have been our practice of ensuring that the marker was placed within the margins of the lesion rather than at or outside the tumor margin. Pancreatic tumors with their desmoplastic stroma and the “coil” structure of the marker both resulted in a zero migration rate.
We also reported on apparent versus true migration and the reasons for the apparent migration [18]. Apparent migrations seen on CT scan were explained by an enlarging pseudocyst in one patient and a large meal causing gastric distension prior to the planning CT in another patient. In 2 other patients biliary decompression for worsening biliary obstruction resulted in “apparent migration” of the marker by a few centimeters. On careful study of the CT images it was clear than none of the 4 cases represented true migration. The review of the fiducial marker position on the pre-treatment images immediately detected the altered position, allowing replacement of the biliary stent and replanning. Also, issues such as impending biliary obstruction should be addressed prior to fiducial placement. Several techniques have been reported for EUS guided fiducial placement; based on our experience, the easiest technique is simultaneous withdrawal of the needle while pushing the stylet forward under EUS-guidance. Though not a part of this study, we have not had consistent success with the sterile water injection technique.
The accuracy of EUS in the diagnosis of PNETs smaller than 2 cm and utility of EUS based scoring system in predicting malignancy in branch-duct IPMNs highlight the diagnostic ability of EUS. EUS serves three critical roles in pancreatic cancer. It establishes a diagnosis, confirms the stage (borderline resectable status) and guides fiducial placement to plan SBRT. Fiducial assisted SBRT planning may improve the outcome after neoadjuvant chemotherapy in this setting. The study by Vignesh et al. addresses the reported technical issues using a specifically designed EUS needle and confirms the stability of the VisicoilTM fiducial marker [18]. EUS guided fiducial placement is a minimally invasive procedure that highlights the therapeutic role of EUS and collaboration between endoscopic oncologists and radiation oncologists. The future role of EUS is likely to evolve in this direction.
Key words Endosonography; Fiducial Markers; Pancreatic Neoplasms
Abbreviations IGRT: image guided radiation therapy; NCCN: National Comprehensive Cancer Network; SBRT: stereotactic body radiation therapy
Conflict of interest The authors have no potential conflict of interest
Correspondence
Shivakumar Vignesh
Moffitt Cancer Center
FOB 5.2111, 12902 Magnolia drive
Tampa, FL
USA
Phone: +1-813.745.8361
Fax: +1-813-745-7229
E-mail: shivakumar.vignesh@moffitt.org
References
1. Vignesh S, Brugge W. Endoscopic diagnosis and treatment of pancreatic cysts. J Clin Gastroenterol 2008; 42:493-506. [PMID 18344889]
2. Romagnuolo J, Hoffman B, Vela S, Hawes R, Vignesh S. Accuracy of contrast-enhanced harmonic EUS with a second-generation perflutren lipid microsphere contrast agent (with video). Gastrointest Endosc 2011; 73:52-63. [PMID 21184870]
3. Vignesh S, Jamidar P. EUS-guided pancreatogastrostomy and pancreatobulbostomy in patients with pancreatic-duct obstruction inaccessible to transpapillary endoscopic therapy: working our way to NOTES. Gastrointest Endosc 2007; 65:242-6. [PMID 17258982]
4. Sanders MK, Moser AJ, Khalid A, Fasanella KE, Zeh HJ, Burton S, McGrath K. EUS-guided fiducial placement for stereotactic body radiotherapy in locally advanced and recurrent pancreatic cancer. Gastrointest Endosc 2010; 71:1178-84. [PMID 20362284]
5. DiMaio CJ, Nagula S, Goodman KA, Ho AY, Markowitz AJ, Schattner MA, Gerdes H. EUS-guided fiducial placement for image-guided radiation therapy in GI malignancies by using a 22-gauge needle (with videos). Gastrointest Endosc 2010; 71:1204-10. [PMID 20598247]
6. Ammar T, Coté GA, Creach KM, Kohlmeier C, Parikh PJ, Azar RR. Fiducial placement for stereotactic radiation by using EUS: feasibility when using a marker compatible with a standard 22-gauge needle. Gastrointest Endosc 2010; 71:630-3. [PMID 20189527]
7. Owens DJ, Savides TJ. Backloaded fiducial placement using a bone wax seal to facilitate EUS-guided fiducial placement. Gastrointest Endosc 2009; 69(2 Suppl.1):S253.
8. Pishvaian AC, Collins B, Gagnon G, Ahlawat S, Haddad NG. EUS-guided fiducial placement for CyberKnife radiotherapy of mediastinal and abdominal malignancies. Gastrointest Endosc 2006; 64:412-7. [PMID 16923491]
9. Park WG, Yan BM, Schellenberg D, Kim J, Chang DT, Koong A, et al. EUS-guided gold fiducial insertion for image-guided radiation therapy of pancreatic cancer: 50 successful cases without fluoroscopy. Gastrointest Endosc 2010; 71:513-8. [PMID 20189509]
10. Van Dam J, Varadarajulu S, Jin Z, EUS 2008 Working Group. EUS 2008 Working Group document: evaluation of EUS-guided implantation therapy (with video). Gastrointest Endosc 2009; 69(2 Suppl):S49-53. [PMID 19179170]
11. Berzin TM, Majumder S, Mahadevan A, Pawa R, Ellsmere J, Sepe PS, et al. Comparison of EUS vs. surgery for placement of fiducials in patients with pancreatic cancer. Gastrointest Endosc 2010; 71:AB285.
12. Owens DJ, Savides TJ. EUS placement of metal fiducials by using a backloaded technique with bone wax seal. Gastrointest Endosc 2009; 69:972-3. [PMID 19152903]
13. Ghassemi S, Faigel DO. EUS-guided placement of fiducial markers using a 22-gauge needle. Gastrointest Endosc 2009; 69:AB337-8.
14. Koong AC, Le QT, Ho A, Fong B, Fisher G, Cho C, et al. Phase I study of stereotactic radiosurgery in patients with locally advanced pancreatic cancer. Int J Radiat Oncol Biol Phys 2004; 58:1017-21. [PMID 15001240]
15. Hong TS, Ryan DP, Blaszkowsky LS, Mamon HJ, Kwak EL, Mino-Kenudson M, et al. Phase I study of preoperative short-course chemoradiation with proton beam therapy and capecitabine for resectable pancreatic ductal adenocarcinoma of the head. Int J Radiat Oncol Biol Phys 2011; 79:151-7. [PMID 20421151]
16. Evans DB, Erickson BA, Ritch P. Borderline resectable pancreatic cancer: definitions and the importance of multimodality therapy. Ann Surg Oncol 2010; 17:2803-5. [PMID 20737218]
17. Chun YS, Milestone BN, Watson JC, Cohen SJ, Burtness B, Engstrom PF, et al. Defining venous involvement in borderline resectable pancreatic cancer. Ann Surg Oncol 2010; 17:2832-8. [PMID 20725860]
18. Vignesh S, Hoffe SE, Shridhar R, Klapman J, Barthel JS. The feasibility, safety, and technique of endoscopic ultrasound (EUS)-guided fiducial marker placement for stereotactic body radiation therapy (SBRT) in borderline resectable pancreatic cancer. J Clin Oncol 2011; 29(Suppl. 4):Abstract 327.
19. Chuong MD, Shridhar R, Patel M, Klapman J, Barthel JS, Vignesh S, et al. Neoadjuvant stereotactic body radiation therapy (SBRT) for borderline resectable pancreas cancer: Moffitt Cancer Center initial experience. J Clin Oncol 2011; 29(Suppl. 4):Abstract 302.
20. Strosberg JR, Cheema A, Kvols LK. Stage I nonfunctioning neuroendocrine tumors of the pancreas: surgery or surveillance? J Clin Oncol 2011; 29(Suppl. 4):Abstract 349.
21. Lee S, Cho JY. Use of endoscopic ultrasound scoring to estimate the malignant potential of branch duct type intraductal papillary-mucinous neoplasms of the pancreas. J Clin Oncol 2011; 29(Suppl. 4):Abstract 182.
22. Nguyen NQ, Lim K, Ruszkiewicz A. Preparation technique for cytologic study of EUS-guided FNA samples when onsite cytopathologist is absent: Cell block, smear, or both? J Clin Oncol 2011; 29(Suppl. 4):Abstract 176.