CASE REPORT
JOP. J Pancreas (Online) 2011 Mar 9; 12(2):155-157.
Annular Pancreas: A Rare Cause of Acute Pancreatitis
Julien Jarry, Tristan Wagner, Alexandre Rault, Antonio Sa Cunha, Denis Collet
Department of GI Surgery, Haut Leveque Hopital. Pessac, France
ABSTRACT
Context Annular pancreas is an uncommon and rarely reported congenital anomaly which consists of a ring of pancreatic tissue encircling the duodenum. Despite the congenital nature of the disease, clinical manifestations may ensue at any age. Case report We herein report the case of a 72-year-old female with acute pancreatitis associated with duodenal obstruction. On radiologic examination, an annular pancreas was diagnosed. In view of her previous medical history and morphologic findings, we concluded that the acute pancreatitis was directly related to the congenital anomaly. Her clinical course was favorable after medical treatment. Conclusion Clinicians should note the possibility of annular pancreas in patients with acute pancreatitis.
INTRODUCTION
Annular pancreas (AP) is an uncommon not often reported congenital anomaly and is thus, rarely suspected. We report the case of a 72-year-old patient who was diagnosed with acute pancreatitis due to an annular pancreas and which resulted in a duodenal obstruction. Very few cases of pancreatitis related to this anatomical anomaly have previously been reported in the medical literature. Pancreatitis caused by an annular pancreas is generally confined to the annulus and to the adjoining pancreatic head, preserving the body and tail of the gland [1]. Its evolution is usually favorable with medical treatment. Pancreaticoduodenectomy has been recommended only when an annular pancreas is associated with pancreaticolithiasis complicated by chronic pancreatitis [2].
CASE REPORT
A 72-year-old female presented with acute epigastric pain radiating to her back, associated with nausea and vomiting. There was no associated hematemesis, jaundice or fever. The following illnesses were of note in her medical history: a cholecystectomy (for biliary colic attacks), hypertension and osteoarthritis. She was taking 100 mg/day of atenolol and 2 g/day of paracetamol. She abstained from all alcohol consumption. On examination, she appeared to be in pain and was dehydrated. Her abdomen was supple with epigastric tenderness. Laboratory examination revealed leukocytosis (11,500 mm-3; reference range: 4,000-10,000 mm-3). Pancreatic enzymes were abnormally increased (lipase: 956 IU/L, reference range: 114-286 IU/L; amylase: 765 IU/L, reference range: 25-115 IU/L). Hepatic enzymes, calcemia and triglyceridemia were all within the normal range and there was no biological cholestasis. An abdominal CT-scan confirmed the diagnosis of acute pancreatitis (Balthazar computed tomography grading system C) and revealed a ring of inflammatory tissue surrounding the second duodenum which was isodense with pancreatic tissue, leading to the diagnosis of annular pancreas (Figures 1 and 2). The biliary ducts were not dilated and no residual stones were seen in the bile ducts at MR cholangiography and endoscopic ultrasound. Double-contrast barium radiography showed stenosis of the second duodenum associated with proximal dilation of the duodenal bulb and stomach, classically known as the “double bubble” sign (Figure 3). An endoscopic biopsy of the stenotic portion of the duodenum was performed and did not reveal any tumoral tissue. In view of these findings, the diagnosis of acute pancreatitis secondary to annular pancreas was confirmed. The duodenal occlusion was related to the stenosis of the second duodenum caused by the pancreatitis. Medical treatment based on her symptoms was then begun. The treatment progressively reduced the pain and no complications occurred. After three weeks of nasojejunal liquid feeding, the patient was again able to eat solid food and she was then discharged. In light of the patient’s age, and the fact that it was her first clinical manifestation of acute pancreatitis related to annular pancreas, a Whipple’s procedure was not indicated.

|
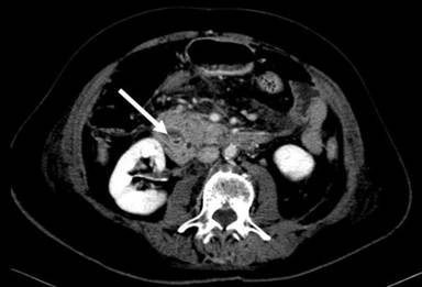
Figure 1. Abdominal CT scan: a ring of inflammatory tissue surrounding the second duodenum (arrow) leading to the diagnosis of annular pancreas and acute pancreatitis confined to the annulus and the adjoining pancreatic head. |

|
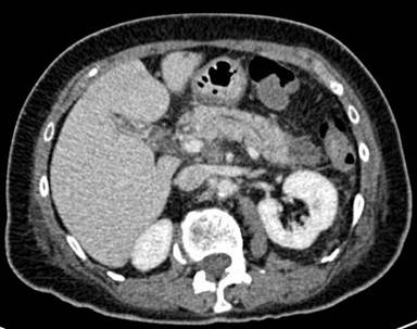
Figure 2. Abdominal CT scan: body of the pancreas without major involvement of pancreatitis. |

|
Figure 3. Double contrast barium radiography showing stenosis of the second duodenum (arrow) associated with proximal dilatation of the duodenal bulb and stomach classically known as the “double bubble” sign. |
DISCUSSION
Annular pancreas is a rare congenital anomaly affecting approximately 1 in 20,000 newborns [3]. It is due to an embryologic migration fault and has been associated with other congenital anomalies, including Down’s syndrome, tracheoesophageal fistula, intestinal atresia, pancreas divisum, and pancreaticobiliary malrotation [4]. There is still much controversy regarding the pathogenesis of annular pancreas. Several hypotheses regarding the causes of this condition exist. One such hypothesis, known as Lecco’s theory, suggests that adhesion of the distal tip of the ventral primordium to the duodenal wall, prior to its migration, creates an obstructive pancreatic ring [5]. In 74% of cases, the part of the duodenum most often affected is the second part whereas the first and third duodenal parts are affected in only 21% of cases [6]. This congenital anomaly affects males more frequently than females, and the majority of cases are observed very early in life. In infants, it is usually characterized by severe duodenal obstruction requiring immediate surgical intervention. However, in other cases, the obstruction may be of such minimal degree at birth that the patient remains asymptomatic for life. When clinical manifestations occur in adults, symptoms generally include the onset of cramps, epigastric pain, and postprandial fullness relieved by vomiting. Other conditions associated with an annular pancreas are peptic gastroduodenal ulcers, acute and chronic pancreatitis, pancreaticolithiasis, and duodenal obstruction [7, 8, 9, 10]. Very few cases of pancreatitis related to an annular pancreas have previously been reported. A diagnosis can be elicited after eliminating other common causes of pancreatitis. Pancreatitis due to annular pancreas is generally confined to the annulus and to the adjoining pancreatic head, preserving the body and tail of the gland [1]. Its pathogenesis is most likely related to the inability of pancreatic secretions to flow through the annular duct (Santorini duct), although the flow of secretions in the main pancreatic duct allows the body and tail of the pancreas to remain intact [11]. The related inflammation of the annulus may cause an obstruction of the encircled duodenum. In most cases, the initial CT scan confirms the diagnosis of pancreatitis resulting from an annular pancreas since a ring of inflammatory pancreatic tissue is revealed surrounding the duodenum. Sometimes, the CT scan shows the Santorini duct encircling the duodenum or even pancreaticolithiasis. In the event of associated duodenal obstruction, a gastroduodenoscopy will show concentric narrowing and prestenotic duodenal dilatation. In upper gastrointestinal double-contrast studies, the presence of an annular filling defect of the duodenum associated with a proximal dilation of the duodenal bulb and stomach (“double bubble” sign) are classic signs of an obstructive annular pancreas. Endoscopic ultrasonography can also be very valuable in the diagnostic process [12].
With medical treatment, the clinical course of the pancreatitis and the related duodenal obstruction is generally favorable. The main goal of treatment is the relief of the duodenal obstruction. Therefore, in case of failure of the medical treatment, several procedures have been proposed to facilitate the gastrointestinal clearance. It is generally acknowledged that the annular ring of pancreatic tissue should not be removed; this can be extremely difficult since the pancreatic tissue may lie intramurally with no dissection plane [13]. Bypass surgery of the annulus by gastrojejunostomy or duodenojejunostomy seems to be the preferred method of treatment in the case of persistent duodenal obstruction [2]. Pancreaticoduodenectomy has been recommended only when an annular pancreas is associated with pancreaticolithiasis of the annulus complicated by chronic pancreatitis.
Received December 27th, 2010 - Accepted January 7th, 2010
Key words Annular pancreas; Duodenal Obstruction; Pancreatitis
Acknowledgment The authors thank Ms. Antonia Giraud for her editorial assistance
Funding No sources of funding
Conflict of interest No conflict of interest
Correspondence
Julien
Jarry
Department of GI Surgery
Hopital Haut Leveque
Avenue de Magellan
33000 Pessac
France
Phone: +33-066.435.2995
Fax: +33-055.684.7005
E-mail: julienjarry@hotmail.com
References
1. Itoh Y, Hada T, Terano A, Itai Y, Harada T. Pancreatitis in the annulus of annular pancreas demonstrated by the combined use of computed tomography and endoscopic retrograde cholangiopancreatography. Am J Gastroenterol 1989; 84:961-4. [PMID 2756989]
2. Chen YC, Yeh CN, Tseng JH. Symptomatic adult annular pancreas. J Clin Gastroenterol 2003; 36:446-50. [PMID 12702992]
3. Paraskevas G, Papaziogas B, Lazaridis C, Gigis P, Papaziogas T. Annular pancreas in adults: embryological development, morphology and clinical significance. Surg Radiol Anat 2001; 23:437-42. [PMID 11963628]
4. Mavridis G, Soutis M, Sakellaris D, Keramidas D. Annular pancreas. Acta Chir Hellen 1995; 67:597-600.
5. Lecco TM. Zur morphologie des pancreas annulare. Sitzungberichte de Kaiserlichen Akademie der Wissenschaften 1910; 69:391-406.
6. Hollender L, Marie A. Pankreas Annulare. In: Chirurgische Gastroenterologie, von Alllgower M, Harder F, Hollender F, Peiper J (eds) Chirurgische Gastroenterologie Berlin: Springer,1981;1058-60.
7. Ladd AP, Madura JA. Congenital duodenal anomalies in the adult. Arch Surg 2001; 136:576-84. [PMID 11343551]
8. Urayama S, Kozarek R, Ball T, Brandabur J, Traverso L, Ryan J, Wechter D. Presentation and treatment of annular pancreas in an adult population. Am J Gastroenterol 1995; 90:995-9. [PMID 7771437]
9. Gilinsky NH, Lewis JW, Flueck JA, Fried AM. Annular pancreas associated with diffuse chronic pancreatitis. Am J Gastroenterol 1987; 82:681-4. [PMID 3605030]
10. Yogi Y, Kosai S, Higashi S, Iwamura T, Setoguchi T. Annular pancreas associated with pancreatolithiasis: a case report. Hepatogastroenterology 1999; 46:527-31. [PMID 10228856]
11. Drey NW. Symptomatic annular pancreas in the adult. Ann intern Med 1957; 46:750-72. [PMID 13411884]
12. Papachristou GI, Topazian MD, Gleeson FC, Levy MJ. EUS features of annular pancreas (with video). Gastrointest Endosc 2007; 65:340-4. [PMID 17259001]
13. Ravitch MM, Woods AC Jr. Annular pancreas. Ann Surg 1950; 132:1116-27. [PMID 14790583]