CASE REPORT
JOP. J Pancreas (Online) 2011 Mar 9; 12(2):170-176.
Undifferentiated (Anaplastic) Carcinoma of the Pancreas with Osteoclast-Like Giant Cells Showing Various Degree of Pancreas Duct Involvement. A Case Report and Literature Review
Vlad Maksymov1, Mahmoud A Khalifa2, Angela Bussey3, Beverly Carter1, Michael Hogan3
Departments of 1Pathology and 3Surgery, Health Sciences Centre. St. John’s, Newfoundland and Labrador, Canada. 2Department of Pathology, Sunnybrook Health Sciences Center. Toronto, Ontario, Canada
ABSTRACT
Context Undifferentiated (anaplastic) carcinoma of the pancreas with osteoclast-like giant cells is exceedingly rare. The prognosis of undifferentiated carcinoma is worse than that of poorly differentiated ductal adenocarcinoma of the pancreas; however, undifferentiated carcinoma with osteoclast-like giant cells might have a more favorable prognosis. Case report We report the case of undifferentiated carcinoma of the pancreas with osteoclast-like giant cells, showing an intraductal growth pattern with various degree of pancreas duct involvement in the different areas. As a result, we were able to demonstrate the entire spectrum of changes, ranging from the early, minimal intraluminal growth to the partial or complete occlusion of the branches of the main pancreatic duct, and finally invasion and formation of the large necrotic/degenerated cysts. Conclusions Our findings support the epithelial origin of undifferentiated carcinoma of the pancreas with osteoclast-like giant cells. In early stages, the affected pancreatic duct epithelium was intermingled with nonepithelial component and had an immunoprofile distinctive from the epithelial lining of the uninvolved (normal) pancreatic ducts. Distinctive immunoprofile (CK 5/6, p63 and p53 positive) of the epithelial component and p63 and p53 positivity of the nonepithelial component should be explained and further investigated in the similar cases. Our findings support prior assertions that undifferentiated carcinoma of the pancreas with osteoclast-like giant cells may develop from carcinoma in situ within the main pancreatic duct or its branches.
INTRODUCTION
Undifferentiated (anaplastic) carcinoma of the pancreas is a rare aggressive tumor, which accounts for 2-7% of all pancreatic cancers [1, 2, 3, 4]. A number of terms have been used to describe variants of undifferentiated carcinoma of the pancreas, including pleomorphic carcinoma, pleomorphic giant cell carcinoma, sarcomatoid carcinoma, spindle cell carcinoma, anaplastic carcinoma, undifferentiated carcinoma [3, 4] and osteoclastic or pleomorphic giant cell tumors. Three major histological subtypes have been described: spindle cell carcinoma, pleomorphic carcinoma, and round cell carcinoma [5]. Undifferentiated carcinoma of the pancreas may contain osteoclast-like giant cells that are positive for CD68 and lysozyme without reactivity to epithelial markers [6, 7] similar to that previously described for giant cell tumor of bone [8]. Undifferentiated carcinoma of the pancreas with osteoclast-like giant cells, first described by Rosai [9], is exceedingly rare (less than 1% of all pancreatic malignancies).
Generally, the prognosis of undifferentiated carcinoma of the pancreas is worse than that of poorly differentiated ductal adenocarcinoma of the pancreas [5]. In a study of 35 cases [4], 29 patients died with an average survival of 5.2 months. Three patients in this series were alive at last follow-up, two without evidence of the disease (14.6 and 7.2 years, respectively), and one with recurrent tumor (follow-up 14.7 years). Ten-year survival has also been reported elsewhere [10], suggesting that undifferentiated carcinoma of the pancreas with osteoclast-like giant cells might have a more favorable prognosis than undifferentiated carcinoma of the pancreas without osteoclast-like giant cells [11].
Though there is limited data to support the differentiation of these lesions by CT or MRI alone, endoscopic US is able to demonstrate features unique to undifferentiated carcinoma of the pancreas [12, 13]. In contrast to the uniformly hypoechogenic appearance of typical pancreatic adenocarcinoma, undifferentiated carcinoma of the pancreas tends to be markedly heterogeneous with both well demarcated hyper and hypoechoic areas, closely located within the same lesion [12]. Moore et al. [13] reported a series of five patients in whom a diagnosis of undifferentiated carcinoma of the pancreas was made by a combination of the endoscopic US findings with fine needle aspiration.
Similarly, the histogenesis of undifferentiated carcinoma of the pancreas with osteoclast-like giant cells is controversial as the tumor is often of advanced size and stage at the time of diagnosis [14, 15] and it is difficult to pathologically observe its relationship with the pancreatic duct [15].
We present a case of undifferentiated carcinoma of the pancreas with osteoclast-like giant cells with prominent intraductal extension, which is a unique feature and might help to better understand the pathogenesis of this rare entity.
CASE REPORT
A 68-year-old, Caucasian female presented to her family physician with episodes of spontaneously resolving painless jaundice. No nausea, vomiting, fevers, night sweats or abdominal pain was reported. An intentional weight loss of 4.5 kg was noted over two months. Past medical history was significant for type 2 diabetes mellitus, hyperlipidemia, hypertension, and osteoporosis. Past surgical history included an abdominal hysterectomy and open cholecystectomy. No allergies or significant social or family history was reported. Medications included hydrochlorothiazide, pravastatin and acebutolol. Of note, a trial of metformin began shortly before the initial episode of jaundice and its discontinuation coincided with resolution of the same.
Physical exam was unremarkable aside from jaundice. Laboratory investigations revealed elevated bilirubin at 160 μmol/L (reference range: 0-20 μmol/L) and moderately elevated transaminases. ERCP revealed abnormal papilla with a red, yellow mass protruding through the papillary orifice. The head and body portions of the main pancreatic duct were dilated as were both the common bile duct and intrahepatic bile ducts. An abrupt cutoff was noted in the distal common bile duct, suggesting a mass in the biliary tree. A biliary stent was therefore inserted to maintain patency. Biopsies obtained at the time revealed large atypical cells indicative of malignancy. A repeat CT showed a 2.0 cm mass in the uncinate process, without evidence of local or distant metastases (Figure 1ab). The patient underwent a standard pancreaticoduodenectomy. A mass within the uncinate process was easily palpated. Superior mesenteric vessels were not involved by tumor. No evidence of distant metastases was noted. The patient remained stable throughout the operation and postoperatively the patient recovered without complications. She was discharged from hospital on post-operative day 8.


|
Figure 1. Computed tomography: coronal (a.) and sagital (b.) views of the mass. |
Prior to fixation of the pancreaticoduodenectomy specimen, according to the previously described mapping protocol [16], components of the pancreatic resection margin, including uncinate (superior mesenteric artery) process resection margin, Posterior uncinate process dissection margin (posterior surface of the uncinate process) and superior mesenteric vein (vascular groove) dissection margin, were differentially inked. In situ assessment revealed that both common bile and main pancreatic ducts were dilated up to 1.2 cm and 0.6 cm in diameter, respectively. The main pancreatic duct was noted to run separately from the common bile duct and had its own duodenal opening. Growing along the lumen of the distal portion of the main pancreatic duct was a pedunculated, polypoid mass (2.5 cm in maximal dimension), protruding through its orifice and forming a polypoid mass in the periampullary area (Figure 2). Thus, contrary to the clinical impression an abrupt cutoff noted in the distal common bile duct was not related to the mass of the distal common bile duct, but was caused by pedunculated mass protruding through the orifice of the main pancreatic duct and causing mechanical obstruction of the common bile duct orifice at its opening. Otherwise, the common bile duct was intact. Further assessment revealed that the pedunculated mass was a part of a complex cystic hemorrhagic mass located within the uncinate process, measuring 3 cm in maximal dimension.

|
Figure 2. Pancreaticoduodenectomy specimen. The main pancreatic duct (probe inserted) run separately from the longitudinally open, intact common bile duct. The pedunculated mass grows within the lumen of the distal portion of the pancreatic duct protruding through its orifice and forming a polypoid mass in the periampullary area, causing mechanical obstruction of the orifice of the common bile duct by occluding its opening. |
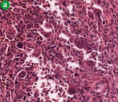
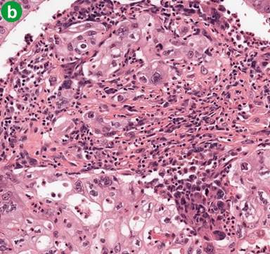
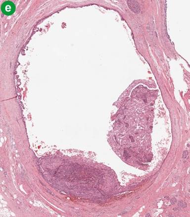
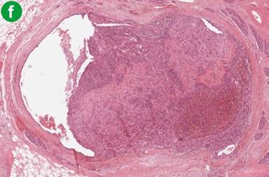
Microscopy revealed that the main bulk of the tumor was cystic/hemorrhagic and located within the uncinate process. At the same time, the tumor was intimately related to the main pancreatic duct and its branches. It grew along their lumen as an intraductal, pencil like growth and protruded into the lumen of the duodenum, forming a polypoid structure. Both components (cystic and intraductal) were predominantly comprised of non-epithelial component: pleomorphic large cells, histiocyte-like mononuclear cells, atypical mononuclear cells and spindle cells with multiple, atypical and bizarre mitoses, as well as osteoclast-like giant cells (Figure 3a). Extensive sampling of the tumor revealed a minor epithelial component (Figure 3bcd), showing glandular differentiation within the intraductal pencil-like growth present in the main pancreatic duct and its branches (Figure 3ef), as well within the cystic component.






|
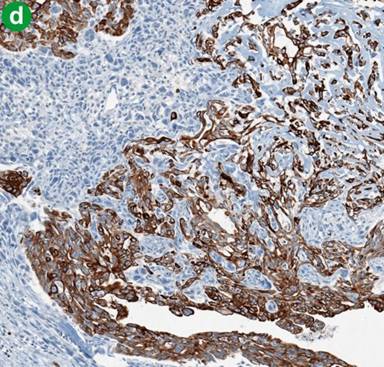
Figure 3. Histomorphologic findings. a. Mixture of the pleomorphic large cells, histiocyte-like mononuclear cells, atypical mononuclear cells and osteoclast-like giant cells (H&E, original magnification 20x). b. As above, but mixed with epithelial neoplastic cells (H&E, original magnification 20x). c. and d. Epithelial neoplastic cells strongly positive for pankeratin and cytokeratin 34 beta E12 (original magnification 20x). e. Early intraductal growth of the undifferentiated carcinoma of the pancreas (H&E, original magnification 2x). f. Pancreatic duct almost completely occluded by intraductal growth of the undifferentiated carcinoma of the pancreas (H&E, original magnification 2x). |
Two growth patterns were appreciated: invasive growth and intraductal extension. The former was large, hemorrhagic cysts, representing a necrotic/degenerative process. The cysts were hemorrhagic, usually devoid of lining, and surrounded by a mesenchymal (non-epithelial) neoplastic component. There was a significant proportion of osteoclast-like giant cells, large pleomorphic cells, and hemosiderin, usually without an epithelial neoplastic component. However, extensive sampling demonstrated remnants of epithelial lining indicating its relation/origin to the branches of the main pancreatic duct. The latter pattern was intraductal/intraluminal neoplastic growth/extension within dilated branches of main pancreatic duct with preserved epithelial lining (Figure 3e). Various degrees of pancreatic duct involvement (morphological heterogeneity), ranging from minimal intraluminal growth to complete occlusion of the lumen were noted. The cytologically abnormal epithelial lining within early intraductal involvement was focally lifted up and intermingled with the non-epithelial neoplastic component. The intraductal growth partially involving the lumen seems to be the finding of the tumor front, which represents the mode of early involvement of the duct by the tumor. It was clear that prominent intraductal extension of the tumor is an important and unique feature of this case.
Based on the morphological heterogeneity, it was clear that the two types of the growth pattern might represent different stages of neoplastic development with intraductal growth pattern more likely displaying early changes.
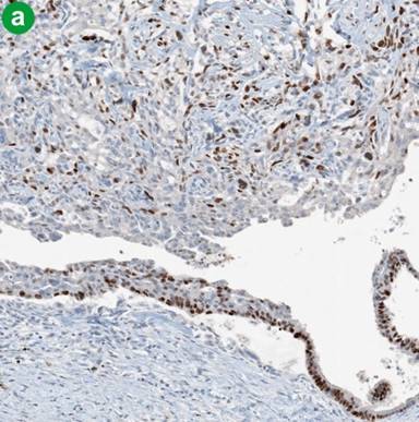
The epithelial lining of the pancreatic duct with intraductal extension of the tumor (including epithelial neoplastic component intermingled with the nonepithelial component) had a distinct immunoprofile compared to normal branches of pancreatic duct without intraluminal growth. It was positive for cytokeratin (CK) 5/6 (Cell Marque D5&16B4, Rocklin, CA, USA), p63 (Cell Marque 4A4) and p53 (Ventana Bp53-11, Tucson, AZ, USA) (Figure 4ab). Staining for CD10 (Cell Marque 56C6), estrogen receptor (Ventana SP1), progesterone receptor (Ventana IE2), and inhibin (Dako R1, Carpinteria, CA, USA; 1/50 dilution) did not reveal ovarian like stroma, ruling out the possibility of the mucinous cystic neoplasm. Common markers such as CK 7 (Dako OVTL 12/30) and CK 20 (Cell Marque K520.8) had a similar pattern of the staining in normal branches of pancreatic and pancreatic ducts with intraluminal neoplastic growth. Overall, the epithelial component was positive for cytokeratin 34 betaE12 (Ventana 34be12), pankeratin (Ventana AE1/AE3/PCK26), CK 7, CK 5/6, p63, p53, epithelial membrane antigen (EMA) (weak) (Cell Marque E29), CEA (Ventana V9) and E-cadherin (Cell Marque ECH-6), but negative for CK 20, vimentin (Ventana V9), desmin (Ventana DE-R-11), actin (Cell Marque 1A4), calponin (Dako 1/50 dilution), CD10, CD117 (Dako ckit 1/100 dilution), estrogen receptor/progesterone receptor, inhibin and alpha antitrypsin (Cell Marque polyclonal). Interestingly, the epithelial component co-expressed (at least focally) CK 5/6 and p63, indicating the squamous/transitional or myoepithelial nature of the epithelial component.


|
Figure 4. Comparison of the immunoprofile of the normal pancreatic duct (without intraluminal growth) with pancreatic duct involved by undifferentiated carcinoma of the pancreas. Left upper corner: normal pancreatic duct; right lower corner: pancreatic duct partially occluded by undifferentiated carcinoma of the pancreas, neoplastic epithelial component positive for CK 5/6 (a.) and P 63 (b.). (Original magnification 4x both). |
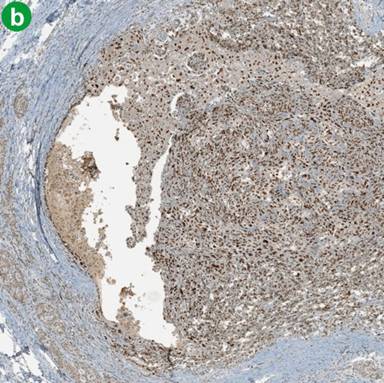
The nonepithelial components of the tumor were positive for vimentin, desmin (focally), actin, p63, p53 (focally), calponin, CD10 (focally), CD117 (focally, weak) and alpha antitrypsin and negative for cytokeratin 34 betaE12, pankeratin, CK 7, CK 5/6, CK 20, EMA, CEA, estrogen receptor/progesterone receptor, inhibin and E-cadherin. CD68 (Ventana Kp-1) was positive in the osteoclast-like giant cells and large histiocytes-like cells. Both neoplastic components (epithelial and nonepithelial, excluding osteoclast-like giant cells) were strongly positive for Ki-67 (Ventana 30-9), p63 and focally p53 (Figure 5ab). CD31 (Ventana 1A 10) and factor VIII (Cell Marque polyclonal) highlighted only the feeding vessels.


|
Figure 5. Intraductal growth of the undifferentiated carcinoma of the pancreas. Epithelial neoplastic component including the epithelial lining of the pancreatic duct and nonepithelial neoplastic components are positive for P63 (a. original magnification 10x) and P 53 (b. original magnification 4x). |
The tumor DNA was examined for the presence of seven different K-ras mutations in codons 12 and 13 using real-time PCR. K-ras mutation was detected.
The small pancreatic ducts (less than 5 mm in diameter), within as well as outside the tumor, exhibited PanIN ranging from 1A to 3. There was no perineural or lymph vascular space invasion. The mapped pancreatic resection margin, as well as, distal pancreatic and common bile ducts, duodenal and gastric resection margin were all negative for malignancy. Fifteen regional lymph nodes were examined and were negative for metastatic disease. Since the tumor invaded the outer layers of the duodenal wall, it was classified as pT3 undifferentiated carcinoma of the pancreas. The patient is alive and well, with no evidence of disease 36 months postoperatively.
DISCUSSION
Undifferentiated carcinoma of the pancreas with osteoclast-like giant cells is a rare but known tumor. Based on the identification of atypical glandular differentiation, the presence of accompanying PanIN lesions, detection of K-ras mutation, and positivity for epithelial markers, the tumor is classified as a variant of pancreatic ductal carcinoma [4, 7, 17, 18, 19, 20, 21]. Recently, Bergman et al. [14] documented the initial steps in the evolution of these tumors and provided evidence for their ductal origin, including the close association with PanIN 3 lesions. In the presented case, PanIN 2 and 3, which applies only to the small caliber ducts, were found, but the tumor presented within the main pancreatic duct and its branches. K-ras mutation, which is a characteristic finding in most pancreatic ductal adenocarcinoma [4, 14, 18, 20], was also present. E-cadherin expression within the epithelial component and loss of its expression within undifferentiated tumor cells, which is typical feature of the undifferentiated carcinoma of the pancreas [22], was also documented.
This case is unique due to the intraductal growth pattern with various degree of pancreas duct involvement and morphological heterogeneity of the lesion in the different areas. As a result, we were able to demonstrate the entire spectrum of changes, ranging from the early, minimal intraluminal growth to the partial or complete occlusion of the branches of the main pancreatic duct, and finally formation of the large necrotic/degenerated cysts as first described by Oehler et al. [23] as a “pseudocyst-like” lesion. In early stages, the affected pancreatic duct epithelium was intermingled with nonepithelial neoplastic component and had an immunoprofile (CK 5/6, p63 and p53 positive) distinctive from the epithelial lining of the uninvolved (normal) pancreatic ducts. This confirms the epithelial nature of the process, and also suggests the squamous/transitional, myoepithelial nature of the epithelial neoplastic component, or even origin from the reserve cells of the pancreatic ducts. Furthermore, even though the nonepithelial neoplastic component was negative for the epithelial markers, including CK 5/6, it still maintains positivity for p63 and p53. Both components were strongly positive for Ki-67.
Our findings contradict earlier assertions that coincidental entrapments of the preexisting epithelial structures, such as atypical ductal glands or dysplastic ducts, may have occurred independently from the tumor [14]. Our results support the association of tiny foci of the undifferentiated carcinoma of the pancreas with pancreatic ducts with severe intra-epithelial dysplasia, which was declared as direct evidence for ductal evolution [14].
There are also noted similarities between the presented case and that recently described by Tezuka K et al. [24]. In the latter case, the lumen of the main pancreatic duct was also occupied by a polypoid (intraluminal) tumor, comprised of sheets of spindle cells intermingled with scattered osteoclast-like giant cells and pleomorphic giant cells. These findings were consistent with undifferentiated carcinoma of the pancreas with osteoclast-like giant cells and extra-ductal invasion was not found. In Tezuka et al.’s [24] opinion, this was the first reported case of undifferentiated carcinoma of the pancreas in situ within the main pancreatic duct, without the evidence of invasion beyond the pancreatic duct. Interestingly, the patient described by Tezuka et al. was alive, without recurrence after 22 months. Additional reports since published also support the assertion that undifferentiated carcinoma of the pancreas with osteoclast-like giant cells is associated with long term survival [25]. As noted, our patient remains clinically and radiologically disease free after 36 months. It will therefore be interesting to follow patients with undifferentiated carcinoma of the pancreas with osteoclast-like giant cells and intraductal growth pattern for longer periods, to ascertain its correlation with survival benefit.
In summary, the patient described here has a diagnosis of pancreatic undifferentiated carcinoma (anaplastic) with osteoclast-like giant cells, showing an intraductal growth pattern with various degree of pancreas duct involvement. Our findings support the epithelial origin of undifferentiated carcinoma of the pancreas. Distinctive immunoprofile (CK 5/6, p63 and p53 positive) of the epithelial neoplastic component and p63 and p53 positivity of the nonepithelial neoplastic component should be explained and further investigated in the similar cases. Our findings support prior assertions [24] that undifferentiated carcinoma of the pancreas with osteoclast-like giant cells may develop from carcinoma in situ within the main pancreatic duct or its branches. In addition, it may confer some survival benefit compared to undifferentiated carcinoma of the pancreas without osteoclast-like giant cells based on limited studies in the available literature.
Received December 5th, 2010 - Accepted January 14th, 2011
Key words Carcinoma; Giant Cells; Osteoclasts; Pancreas
Acknowledgement No financial support received
Conflict of interest The authors have no potential conflicts of interest
Correspondence
Vlad
Maksymov
Department of Pathology
Health Sciences Centre
300 Prince Phillip Drive, Room 1536
St. John’s, Newfoundland and Labrador
Canada, A1B 3V6
Phone: +1-709.777.2121
Fax: +1-709.777.8625
E-mail: volodymyr.maksymov@easternhealth.ca
References
1. Chen J, Baithun SI. Morphological study of 391 cases of exocrine pancreatic carcinoma. J Pathol 1985; 146:17-29. [PMID 2989468]
2. Tschang TP, Garza-Garza R, Kissane JM. Pleomorphic carcinoma of the pancreas: an analysis of 15 cases. Cancer 1977; 39:2114-26. [PMID 870168]
3. Ichikawa T, Federle MP, Ohba S, Ohtomo K, Sugiyama A, Fujimoto H, et al. Atypical exocrine and endocrine pancreatic tumors (anaplastic, small cell and giant cell types): CT and pathologic features in 14 patients. Abdom Imaging 2000; 25:409-19. [PMID 10926196]
4. Paal E, Thompson LD, Frommelt RA, Przygodzki RM, Heffess CS. A clinicopathologic and immunohistochemical study of 35 anaplastic carcinomas of the pancreas with a review of the literature. Ann Diagn Pathol 2001; 5:129-40. [PMID 11436166]
5. Pan ZG, Wang B. Anaplastic carcinoma of the pancreas associated with a mucinous cystic adenocarcinoma. A case report and review of the literature. JOP. J Pancreas (Online) 2007; 8:775-82. [PMID 17993730]
6. Nojima T, Nakamura F, Ishikura M, Inoue K, Nagashima K, Kato H. Pleomorphic carcinoma of the pancreas with osteoclast-like giant cells. Int J Pancreatol 1993; 14:275-81. [PMID 8113629]
7. Molberg KH, Heffess C, Delgado R, Albores-Saavedra J. Undifferentiated carcinoma with osteoclast-like giant cells of the pancreas and periampullary region. Cancer 1998; 82:1279-87. [PMID 9529019]
8. Goldberg RD, Michelassi F, Montag AG. Osteoclast-like giant cell tumor of the pancreas: immunophenotypic similarity to giant cell tumor of bone. Hum Pathol 1991; 22:618-22. [PMID 1864595]
9. Rosai J. Carcinoma of pancreas simulating giant cell tumor of bone. Electron-microscopic evidence of its acinar cell origin. Cancer 1968; 22:333-44. [PMID 5660199]
10. Shimosegawa T, Saegusa S, Sekoguchi T, Kuriyama N, Yuasa H, Ido M, et al. Anaplastic ductal carcinoma of the pancreas with more than 10 year postoperative survival: report of 3 cases. Pancreas 2006; 33:88-9.
11. Deckard-Janatpour K, Kragel S, Teplitz RL, Min BH, Gumerlock PH, Frey CF, Ruebner BH. Tumors of the pancreas with osteoclast-like and pleomorphic giant cells; immunohistochemical and ploidy study. Arch Pathol Lab Med 1998; 122:266-72. [PMID 9823867]
12. Moore JC, Bentz JS, Hilden K, Adler DG. Osteoclastic and pleomorphic giant cell tumors of the pancreas: A review of clinical, endoscopic, and pathologic features. World J Gastrointest Endosc 2010; 2:15-9. [PMID 21160673]
13. Moore JC, Hilden K, Bentz JS, Pearson RK, Adler DG. Osteoclastic and pleomorphic giant cell tumors of the pancreas diagnosed via EUS-guided FNA: unique clinical, endoscopic, and pathologic findings in a series of 5 patients. Gastrointest Endosc 2009; 69:162-6. [PMID 19111699]
14. Bergmann F, Esposito I, Michalski CW, Herpel E, Friess H, Schirmacher P. Early undifferentiated pancreatic carcinoma with osteoclastlike giant cells: direct evidence for ductal evolution. Am J Surg Pathol 2007; 31:1919-25. [PMID 18043049]
15. Naito Y, Kinoshita H, Okabe Y, Arikawa S, Higaki K, Morimitsu Y, et al. Pathomorphologic study of undifferentiated carcinoma in seven cases: relationship between tumor and pancreatic duct epithelium. J Hepatobiliary Pancreat Surg 2009; 16:478-84. [PMID 19367361]
16. Khalifa MA, Maksymov V, Rowsell C. Retroperitoneal margin of the pancreaticoduodenectomy specimen; Anatomic mapping for the surgical pathologist. Virchows Arch 2009; 454:125-31. [PMID 19066952]
17. Hansen T, Burg J, Kirkpatrick CJ, Kriegsmann J. Osteoclast-like giant cell tumor of the pancreas with ductal adenocarcinoma: case report with novel data on histogenesis. Pancreas 2002; 25:317-20. [PMID 12370546]
18. Hoorens A, Prenzel K, Lemoine NR, Klöppel G. Undifferentiated carcinoma of the pancreas: analysis of intermediate filament profile and Ki-ras mutations provides evidence of a ductal origin. J Pathol 1998; 185:53-60. [PMID 9713360]
19. Bergmann F, Aulmann S, Wente MN, Penzel R, Esposito I, Kleeff J, et al. Molecular characterisation of pancreatic ductal adenocarcinoma in patients under 40. J Clin Pathol 2006; 59:580-4. [PMID 16497872]
20. Gocke CD, Dabbs DJ, Benko FA, Silverman JF. KRAS oncogene mutations suggest a common histogenetic origin for pleomorphic giant cell tumor of the pancreas, osteoclastoma of the pancreas, and pancreatic duct adenocarcinoma. Hum Pathol 1997; 28:80-3. [PMID 9013836]
21. Westra WH, Sturm P, Drillenburg P, Choti MA, Klimstra DS, Albores-Saavedra J, et al. K-ras oncogene mutations in osteoclast-like giant cell tumors of the pancreas and liver: genetic evidence to support origin from the duct epithelium. Am J Surg Pathol 1998; 22:1247-54. [PMID 9777987]
22. Winter JM, Ting AH, Vilardell F, Gallmeier E, Baylin SB, Hruban RH, et al. Absence of E-cadherin expression distinguishes noncohesive from cohesive pancreatic cancer. Clin Cancer Res 2008; 14:412-8. [PMID 18223216]
23. Oehler U, Jurs M, Kloppel G, Helpap B. Osteoclast-like giant cell tumor of the pancreas presenting as a pseudocyst-like lesion. Virchows Arch 1997; 431:215-8. [PMID 9334844]
24. Tezuka K, Yamakawa M, Jingu A, Ikeda Y, Kimura W. An Unusual case of undifferentiated carcinoma in situ with osteoclast-like giant cell of the pancreas. Pancreas 2006; 33:304-10. [PMID 17003654]
25. Strobel O, Hartwig W, Bergmann F, Hinz U, Hackert T, Grenacher L, et al. Anaplastic pancreatic carcinoma: Presentation, surgical management, and outcome. Surgery 2011; 149:200-8. [PMID 20542529]