CASE REPORT
JOP. J Pancreas (Online) 2011 Mar 9; 12(2):177-180.
Disconnected Duct Syndrome: Refractory Inflammatory External Pancreatic Fistula Following Percutaneous Drainage of an Infected Peripancreatic Fluid Collection. A Case Report and Review of the Literature
Rashesh Solanki, Suman Bhushan Koganti, Nagari Bheerappa, Regulagedda Adikeshava Sastry
Department of Surgical Gastroenterology, Nizam’s Institute of Medical Sciences. Hyderabad, Andhra Pradesh, India
ABSTRACT
Context Inflammatory external pancreatic fistulas behave differently from postoperative external pancreatic fistulas in that the former are less likely to close without intervention and take a longer time to do so. The principal determinants of closure of an external pancreatic fistula are the anatomy of the fistulous tract (end versus side, main duct versus side branch), the presence of downstream ductal obstruction, ongoing peripancreatic inflammation and etiology of the fistula (inflammatory versus postoperative). While the approach to diagnosis and management of postoperative pancreatic fistulas has been standardized, the same is lacking for inflammatory external pancreatic fistulas, partly due to the absence of a unifying definition of the latter and a paucity of data on the topic. Case report We report the case of disconnected duct syndrome, an end inflammatory fistula, following percutaneous drainage of an infected pancreatic fluid collection with two failed attempts at endoscopic treatment, treated successfully by surgery, and we also attempted to review the literature on the topic. Conclusions “Disconnected duct syndrome”, an end inflammatory fistula, following percutaneous or surgical treatment of severe acute pancreatitis is a distinct entity as spontaneous closure is exceedingly uncommon. Surgery is almost always required and is successful in the majority of cases.
INTRODUCTION
External pancreatic fistula can be postoperative (due to anastomotic breakdown or arising from the pancreatic remnant) or inflammatory (following intervention in pancreatic necrosis). Anatomically, external pancreatic fistulas can be classified as side or end fistulas. “Disconnected duct syndrome” is the most common variant of an end inflammatory fistula where the distal pancreatic remnant is disconnected from its proximal counterpart and drains exclusively into the fistula. Failure of an external pancreatic fistula to heal should arouse suspicion of this variant prompting further radiological studies to define the anatomy of the fistula [1, 2, 3].
CASE REPORT
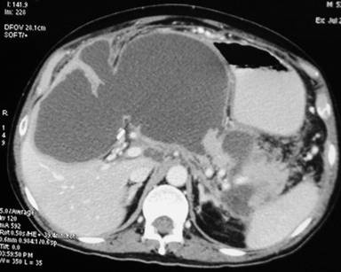
A 53-year-old man had undergone a laparoscopic cholecystectomy at another hospital for biliary acute pancreatitis on the fourth day of the onset of abdominal pain. The risk stratification of acute pancreatitis prior to laparoscopic cholecystectomy is not available. Postoperatively, he developed exacerbation of the pancreatitis with fever, abdominal pain and leukocytosis. He improved with conservative management and was discharged. He was readmitted to the same hospital with increased abdominal pain and fever. A CECT abdomen carried out approximately 2 weeks after the surgery revealed multiple fluid collections in the entire pancreas, lesser sac, hepatogastric ligament, pancreatic tail and along the left paracolic gutter (Figure 1).

|
Figure 1. CECT abdomen showing a large intrapancreatic fluid collection extending into the hepatogastric ligament. Two additional fluid collections around the tail of the pancreas are seen. A viable pancreatic parenchyma upstream in the tail region is evident. |
He presented to us in the third week of illness with a high grade fever, abdominal distension, inability to tolerate food, and not responding to i.v. antibiotics. Ultrasound-guided percutaneous external drainage of the infected fluid collection was carried out and one liter of purulent fluid was drained. He improved symptomatically and was discharged with advice for follow-up on an outpatient basis. However, he continued to have amylase-rich drainage (fluid amylase 54,000 IU/mL) of about 200-300 mL/day.
Since the pancreatic fistula failed to close after 3 months of watchful management, endoscopic retrograde cholangiopancreatography (ERCP) with a therapeutic intent of transpapillary stenting was performed. The same showed ductal disruption at the genu. A transpapillary stent was placed but the defect could not be bridged. After transpapillary stenting, although he had a transient reduction in fistula output, closure of the fistula did not occur. ERCP was repeated one month later which showed a complete cut-off of the pancreatic duct at genu with failure to cannulate the distal (upstream) duct (Figure 2). A faint streak of contrast extravasation was seen. With the failure of the endoscopic therapy, a diagnosis of “disconnected duct syndrome” was made and surgery planned. Computed tomography fistulography was performed to define the ductal anatomy, but it was not informative.

|
Figure 2. Endoscopic retrograde pancreatography carried out 4 months after external drainage shows complete ductal obstruction at genu with failure to cannulate the upstream pancreatic duct. |
Surgery was performed four and a half months after external drainage had been instituted. Intraoperatively, there was a proximal segment of the pancreas with a disconnected duct at the neck and a gap of about 2 cm from the distal segment. The proximal duct could not be cannulated. The pancreas itself was atrophic and the duct in the distal segment was dilated. The fistulous tract was dissected down to the pancreas through the lesser sac. The distal duct was opened longitudinally in order to check for possible strictures and a side to side Roux-en-Y pancreaticojejunostomy was performed. The postoperative course was uneventful and the patient was discharged on the 7th postoperative day. He is on regular outpatient follow-up and is symptom free one year after surgery.
DISCUSSION
External pancreatic fistula is a frequent (15-17%) consequence of debridement for necrotizing pancreatitis and percutaneous drainage of communicating pseudocysts. With the increased use of percutaneous drainage for peripancreatic fluid collections, this complication is being seen with increasing frequency [4, 5].
Howard et al. have classified external pancreatic fistulas anatomically into end and side fistulas with side fistulas being additionally classified as postoperative and inflammatory [6]. In their retrospective series of 38 patients, spontaneous closure of postoperative side fistulas with medical therapy occurred in 13/15 patients (87%) and of inflammatory side fistulas in 8/15 patients (53%) whereas none of the 8 end fistulas closed spontaneously despite an average observation period of 26 weeks. Both the fistula closure rate with medical therapy (87% vs. 53%) and the mean time to fistula closure (11±7 weeks vs. 22±14 weeks) were significantly better in the patients with side postoperative fistulas [6].
End external pancreatic fistulas are leaks from the pancreatic duct which have no continuity with the gastrointestinal tract. The most common anatomic configuration in these is the so-called “disconnected duct syndrome” due to necrosis of the mid pancreatic body along with the ductal epithelium [6]. In general, in the disconnected duct, there is no communication between the external pancreatic fistula and the proximal pancreatic duct, the former being fed exclusively by the pancreatic duct in the distal pancreas. This distal portion of the pancreas then becomes an isolated pancreatic segment draining solely through the fistula. Anatomically, therefore, they are end fistulas which require internal drainage or resection to close [6].
The criteria for diagnosing disconnected duct syndrome include: i) endoscopic retrograde cholangiopancreatography (ERCP) evidence of main pancreatic duct cut-off or discontinuity with the inability of accessing or cannulating the upstream pancreatic duct; ii) computed tomography evidence of viable pancreatic tissue upstream from the pancreatic duct cut-off or discontinuity and iii) a non healing pancreatic fistula, pseudocyst or fluid collection despite a course of conservative medical management [7]. The patient under discussion fulfilled all three criteria. The same group has recently proposed slightly different criteria: i) necrosis of at least 2 cm of the pancreas; ii) viable pancreatic tissue upstream (i.e., toward the pancreatic tail) from the site of the necrosis; and iii) extravasation of contrast material injected into the main pancreatic duct at pancreatography [8].
Thus, an accurate preoperative diagnosis requires both cross-sectional imaging (computed tomography or magnetic resonance imaging) and pancreatography. Recently, secretin enhanced MR cholangiopancreatography has been proposed as an alternative to ERCP in the diagnosis of disconnected duct syndrome and external pancreatic fistula [9]. However, its sensitivity in demonstrating a ductal leak at the site of the ductal disconnection is lower than ERCP [9]. It is possible to predict disconnected duct syndrome in the early stage of acute pancreatitis (at the time of necrosis). Sandrasegran et al. suggested that the hallmarks of a disconnected duct on cross-sectional imaging are a large intrapancreatic collection or necrosis (i.e. non-enhancement) of a section of the pancreatic head, neck or body, combined with a viable segment of the distal body or tail. When visible, the duct in the pancreatic tail segment enters the collection at an angle of approximately 90 degrees [8].
Although the initial treatment of pancreatic fistulas is conservative, surgical therapy is required for fistulas not responding to conservative measures. An optimum time of 4-6 weeks is suggested [6, 10] before any attempt at imaging or intervention. It is important to delineate the ductal anatomy and ongoing inflammation by imaging before surgery.
While transpapillary ductal stenting is effective in side fistulas, this is not feasible in fistulas resulting from a disconnected duct. In one study, although closure was achieved in all of the seven side inflammatory fistulas with transpapillary pancreatic duct stenting, all of the eight end fistulas in this series required surgery [6]. There is one report of the successful closure of fistulas resulting from a “disconnected duct” by percutaneous cyanoacrylate embolization of the pancreatic duct but the results are still uncertain [11].
We carried out internal drainage in the form of a side-to-side pancreaticojejunostomy since we believe that a duct to mucosa anastomosis is more durable than a mucosal anastomosis to fibrous tissue. The technique of pancreaticojejunal anastomosis was a side-to-side two layered duct to mucosa anastomosis, opening the pancreatic duct in the body and tail upstream to the fistula. In a head to head comparison between a distal pancreatectomy and splenectomy (14 patients), and Roux-en-Y internal drainage of a well-formed fistulous tract (27 patients), all with disconnected duct syndrome, the latter was found to be associated with less blood loss and transfusion requirements and required less operative time. The clinical outcomes, as assessed by the fistula recurrence rate, reoperation rate and death rate were similar between the two groups. The incidence of diabetes, pancreatic fistula and intra-abdominal abscess were higher in the resectioned group; however, it did not reach statistical significance. The technique of Roux-en-Y internal drainage was similar to a fistulojejunostomy used by other groups [7]. However, there are no direct comparative studies to recommend one technique over the other.
To summarize, there are no clear guidelines for the surgical management of disconnected duct syndrome. However, generalizing our experience with external pancreatic fistulas, in general, parenchyma-preserving procedures, such as Roux-en-Y internal drainage, are favored over resectional procedures [7, 11, 12]. The rationale behind this is the relative ease and superior preservation of endocrine and exocrine function [10].
CONCLUSION
“Disconnected duct syndrome”, an end inflammatory fistula, following percutaneous or surgical treatment of severe acute pancreatitis is a distinct entity. Spontaneous closure of this variety of inflammatory fistula is exceedingly uncommon. Therefore, recognition of this fact is important. Surgery is almost always essential in these cases and has a high success rate. Although resectional procedures (distal pancreatectomy with or without splenectomy) have been described in this setting, Roux-en-Y internal drainage is a safer and technically less demanding alternative. Timing is important and it is prudent to wait until the entire inflammation has subsided. When the disconnected duct manifests as a partial ductal disruption and a persistent pseudocyst/fluid collection, endoscopic therapy can be effective or act as a temporizing measure before surgery [13, 14]. On the other hand, complete ductal disruption is unlikely to respond to endoscopic drainage [15].
Received January 5th, 2011 - Accepted January 18th, 2011
Key words Drainage; Pancreatic Fistula; Pancreatic Juice
Conflicts of interest The authors have no potential conflicts of interest
Correspondence
Rashesh
Solanki
Department of Surgical Gastroenterology
Nizam’s Institute of Medical Sciences
Punjagutta,
Hyderabad, Andhra Pradesh
India 500082
Phone: +91-(0)40.2348.9400
Fax: +91-(0)40.5575.9897
E-mail: raseshsolanki@yahoo.co.in
References
1. Paloyan D, Simonowitz D, Blackstone M. Pancreatic fistula: management guided by endoscopic retrograde cholangiopancreatography. Arch Surg 1977; 112:1139-40. [PMID 901188]
2. Miller BM, Traverso LW, Freeny PC, Abumrad NN. Failure of somatostatin or an analog to promote closure of end pancreatic fistulae. Int J Pancreatol 1989; 4:65-72. [PMID 2466917]
3. Prinz RA, Pickleman J, Hoffman JP. Treatment of pancreatic cutaneous fistulas with a somatostatin analog. Am J Surg 1988; 155:36-42. [PMID 2893556]
4. Voss M, Ali A, Eubanks WS, Pappas TN. Surgical management of pancreaticocutaneous fistula. J Gastrointest Surg 2003; 7:542-6. [PMID 12763413]
5. Alexakis N, Sutton R, Neoptolemos JP. Surgical treatment of pancreatic fistula. Dig Surg 2004; 21:262-74. [PMID 15308865]
6. Howard TJ, Stonerock CE, Sarkar J, Lehman GA, Sherman S, Wiebke EA, et al. Contemporary treatment strategies for external pancreatic fistulas. Surgery 1998; 124:627-32. [PMID 9780981]
7. Howard TJ, Rhodes GJ, Selzer DJ, Sherman S, Fogel E, Lehman GA. Roux-en-Y internal drainage is the best surgical option to treat patients with disconnected duct syndrome after severe acute pancreatitis. Surgery 2001; 130:714-21. [PMID 11602903]
8. Sandrasegaran K, Tann M, Jennings SG, Maglinte DD, Peter SD, Sherman S, Howard TJ. Disconnection of the pancreatic duct: an important but overlooked complication of severe acute pancreatitis. Radiographics 2007; 27:1389-1400. [PMID 17848698]
9. Akisik MF, Sandrasegaran K, Aisen AA, Maglinte DD, Sherman S, Lehman GA. Dynamic secretin-enhanced MR cholangiopancreatography. Radiographics 2006; 26:665-77. [PMID 16702446]
10. Nair RR, Lowy AM, McIntyre B, Sussman JJ, Matthews JB, Ahmad SA. Fistulojejunostomy for the management of refractory pancreatic fistula. Surgery 2007; 142:636-42. [PMID 17950358]
11. Findeiss LK, Brandabur J, Traverso LW, Robinson DH. Percutaneous embolization of the pancreatic duct with cyanoacrylate tissue adhesive in disconnected duct syndrome. J Vasc Interv Radiol 2003; 14:107-11. [PMID 12525595]
12. Bassi C, Butturini G, Salvia R, Contro C, Valerio A, Falconi M, Pederzoli P. A single-institution experience with fistulojejunostomy for external pancreatic fistulas. Am J Surg 2000; 179:203-6. [PMID 10827321]
13. Lawrence C, Howell DA, Stefan AM, Conklin DE, Lukens FJ, Martin RF, et al. Disconnected pancreatic tail syndrome: potential for endoscopic therapy and results of long-term follow-up. Gastrointest Endosc 2008; 67:673-9. [PMID 18054008]
14. Pelaez-Luna M, Vege SS, Petersen BT, Chari ST, Clain JE, Levy MJ, et.al. Disconnected pancreatic duct syndrome in severe acute pancreatitis: clinical and imaging characteristics and outcomes in a cohort of 31 cases. Gastrointest Endosc 2008; 68: 91-7. [PMID 18378234]
15. Varadarajulu S, Noone TC, Tutuian R, Hawes RH, Cotton PB. Predictors of outcome in pancreatic duct disruption managed by endoscopic transpapillary stent placement. Gastrointest Endosc 2005; 61:568-75. [PMID 15812410]