CASE REPORT
JOP. J Pancreas (Online) 2011 Mar 9; 12(2):181-184.
Primary Squamous Cell Carcinoma of the Pancreas: A Case Report
Kensuke Adachi
Department of Surgery, Tokyo Metropolitan Tama Medical Hospital. Tokyo, Japan
ABSTRACT
Context Since the pancreas in the normal state is entirely devoid of squamous cells, squamous cell carcinoma of the pancreas is a controversial entity of uncertain origin. Reports of pancreatic carcinomas exhibiting a pure squamous morphology are very rarely described in the English literature. Case report We herein report a case of pure squamous cell carcinoma of the pancreas in a 67-year-old woman. Preoperative imaging studies demonstrated a huge solid tumor which appeared to originate from the retroperitoneum with invasion of both the stomach and the pancreas. Her past medical history was unremarkable. A total gastrectomy with distal pancreatectomy and splenectomy was carried out to remove the tumor. Pathological examination of the resected specimen confirmed a diagnosis of pure, well-differentiated squamous cell carcinoma of the pancreas with invasion of the stomach and regional lymph node metastases. Conclusion On the basis of perioperative and postmortem examinations of the malignancy, we could not detect any other squamous cell carcinoma lesions, such as in the nasopharynx, lung, uterus, vagina, urinary bladder, skin and esophagus which had metastasized to the pancreas. We concluded that this case should be diagnosed as primary squamous cell carcinoma of the pancreas.
INTRODUCTION
The majority of non-endocrine pancreatic malignant tumors arise from the ductal or acinar cells with a classic adenomatous morphology; therefore, pure squamous cell carcinoma of the pancreas is considered to be a controversial entity. Indeed, primary squamous cell carcinoma of the pancreas is rare enough to warrant a search for other primary tumors. In this report, we review our experience with primary pure squamous cell carcinoma of the pancreas, with emphasis on its unique clinicopathological features which distinguish this entity from a primary lesion which has metastasized to the pancreas.
CASE REPORT
A 67-year-old Japanese woman was admitted to our hospital for anorexia and back pain. Physiological examination on admission did not reveal any unusual abdominal signs. Routine laboratory data were unremarkable. Tumor markers, such as CEA, CA 19-9 and squamous cell carcinoma antigen, were also within the normal range.
An endoscopy of the upper gastrointestinal tract showed a submucosal tumor, about 4 cm in diameter, located in the posterior wall of the gastric body (Figure 1). The results of the bioptic specimen could not be diagnosed pathologically. MRCP showed neither dilation nor irregularity of the main pancreatic duct (Figure 2). A CT scan demonstrated an ill-defined, irregular solid mass, 6x6x7 cm in size, situated between the retroperitoneum, the pancreas and the lesser curvature of the stomach (Figure 3). The tumor seemed to originate from the retroperitoneum with invasion of the stomach and pancreas. The left gastric artery and the splenic artery were compressed by the tumor which was located adjacent to the celiac axis. Celiac angiography indicated encasement of the splenic artery (Figure 4). Superior mesenteric artery angiography and portography were unremarkable. The tumor was essentially hypovascular. Although a definitive diagnosis was uncertain on the basis of the imaging findings described above, primary neoplasms including malignant mesenchymal tumors were taken into consideration preoperatively.

|
Figure 1. An endoscopic examination of the upper gastrointestinal tract showing a submucosal tumor, about 4 cm in diameter, located at the lesser curvature and the posterior wall of the upper gastric body. |

|
Figure 2. MRCP showing neither dilation nor irregularity of the main pancreatic duct. |

|
Figure 3. Coronal image of an abdominal CT scan demonstrating an ill-defined, huge solid mass between the pancreas and the lesser curvature of the stomach. |

|
Figure 4. Celiac angiography revealing the tapering and irregularity of the splenic artery. |
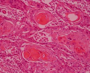
On operative findings, the tumor appeared to originate from the retroperitoneum with involvement of the stomach as well as the pancreas. The tumor was completely resected with a total gastrectomy, distal pancreatectomy and splenectomy. Macroscopically, the specimen showed solid features with the area of necrosis encapsulated by thick connective tissue, containing necrotic keratinous debris. On microscopic examination, it consisted of pure, well-differentiated squamous cell carcinoma with evidence of abundant cytoplasmic keratin pearls and intercellular bridges (Figure 5). There was chronic inflammatory change around the tumor but no evidence of glandular formation in any of the tissue sections of the tumor. This tumor was diagnosed pathologically as pure, well-differentiated squamous cell carcinoma of the pancreas with peripancreatic lymph node metastases. According to the TNM classification, it was diagnosed as T3N1M0, equivalent to Stage IIb. A pre-and post-operative search for another possible primary focus of squamous cell carcinoma was negative. A CT scan of the whole body did not reveal any other lesions, and endoscopy of the upper gastrointestinal tract revealed no primary esophageal cancer.

|
Figure 5. Pathologic findings indicating pure, well-differentiated squamous cell carcinoma with evidence of abundant cytoplasmic keratin pearls and intercellular bridges. (H&E, original magnification x300). |
Four months after surgery, a CT scan confirmed local recurrence of the tumor accompanied by elevated serum values of tumor makers, such as CEA and squamous cell carcinoma antigen. Irradiation was performed but she continued to deteriorate steadily, with no appreciable response to therapy. She died 11 months after surgery.
Autopsy revealed local tumor recurrence of well-differentiated squamous cell carcinoma with lymph node metastases in the para-aortic and mediastinal areas. Histologically, it was similar to the resected tumor which was composed of malignant epithelial cells arranged in nests and cords amidst fibrotic stroma with keratin pearls and intercellular bridge formation. No cancer was found in the lung, neck, esophagus, uterus and skin which could have been other primary sources of the squamous cell carcinoma.
DISCUSSION
Since the pancreas in the normal state is entirely devoid of squamous cells, squamous cell carcinoma of the pancreas is a controversial entity of uncertain origin. Reports of pancreatic carcinomas exhibiting a pure squamous morphology are very rarely described in the English literature, having an incidence of 0.005% in exocrine pancreatic cancer [1], and its histogenesis still remains unproven.
Non-endocrine carcinomas of the pancreas have been histologically divided into four subtypes as follows: i) ductal cell origin; ii) acinar cell origin; iii) connective tissue origin; iv) uncertain histogenesis [2]. Squamous cell carcinoma of the pancreas is considered to be an uncommon variant of ductal cell cancer [2]. Several hypotheses can be put forward to explain the development of squamous cell carcinoma of the pancreas, namely, a) it could originate from biopotential primitive cells capable of differentiating into either glandular adenocarcinoma or squamous cell carcinoma [3]; b) it could originate from mixed adenosquamous carcinoma in which the glandular components have disappeared [4]; c) it could result from the malignant transformation of squamous metaplasia, secondary to chronic inflammation [1] and d) it could come from pre-existing adenocarcinoma with squamous metaplasia [4]. Under inflammatory conditions, such as in pancreatitis, it is not uncommon to observe squamous metaplasia of ductal columnar cells [5]. Despite induced squamous metaplasia, however, the transformation into squamous cell carcinoma is an unusual occurrence not only in a clinical course, but also in experimentally-induced pancreatic tumors [6]. Clinicopathological, immunohistochemical [3] and molecular-biological [4] research have not been conclusive in resolving the confusion raised by these theories. In our case, the lack of evidence of an adenomatous component in the specimen would support malignant transformation of the squamous metaplasia in reaction to chronic inflammation.
Pathological findings characteristic of pancreatic squamous cell carcinoma include an intercellular bridge as well as irregularly shaped nests and cords of epithelial cells with abundant cytoplasmic keratin pearls [7]. Desmoplastic response secondary to chronic inflammation might be a prominent feature [8].
Its clinical profile and biological behavior are indistinguishable from those observed in typical ductal adenocarcinoma of the pancreas. The symptoms are always vague, consisting of abdominal and back discomfort, anorexia, weight loss, nausea and vomiting. Previous reports showed that there were some findings, such as a tumor blush pattern on angiography [9] and extravasation of the contrast medium into the cystic component of the tumor on ERCP [10]. Endoscopic ultrasound guided-fine needle aspiration (EUS-FNA) for investigating pancreatic tumors has become the accepted modality for investigating pancreatic tumors [11]. Preoperatively, we did not use this diagnostic modality because the tumor seemed to originate from the retroperitoneum rather than the pancreas. Although there are some difficult problems, such as cellular contamination and quality, in EUS-FNA, in retrospect, it might have been helpful in diagnosing this case. It often metastasizes to regional lymph nodes and the liver with a survival from the time of diagnosis similar to that of adenocarcinoma of the pancreas [6]. Various treatment modalities have been investigated, but the effect of chemotherapeutic reagents and irradiation therapy has been questionable [12]. Unfortunately, early detection of this malignancy remains an elusive goal at present.
Clinicopathological features accompanied by autoptic findings could support a primary pancreatic source. Although previous well-documented reports suggest the view that these squamous neoplasms are indeed of a pancreatic origin, the question of squamous cell carcinoma of another lesion metastasizing to the pancreas should be taken into consideration. Given the fact that squamous cell carcinoma of the pancreas is a rare malignancy, in patients diagnosed as having this entity every effort should be made to histologically exclude adenomatous components within the tumor. A thorough search for another possible primary lesion should also be made in cases where the tumor is of the pure squamous spectrum. Furthermore, a postmortem examination should be requested to confirm this entity, and to relieve any doubt concerning a different primary source. These rigid protocols could provide a possible avenue to better understand this entity and a refined therapy protocol.
Received January 5th, 2011 - Accepted January 26th, 2001
Key words Carcinoma, Squamous Cell; Pancreas, Exocrine; Pancreatic Neoplasms
Acknowledgments I thank Dr. Mitsugu Ishizawa of the Department of Pathology of our hospital for his comments.
Conflicts of interest The author has no potential conflicts of interest
Correspondence
Kensuke
Adachi
Department of Surgery
Tokyo Metropolitan Tama Medical Hospital
2-8-29, Musashidai, Fuchu
Tokyo, 183-8524
Japan
Phone: +81-42.323.5111
Fax: +81-42.323.9209
E-mail: kensuke_adachi@tmhp.jp
References
1. Beyer KL, Marshall JB, Metzler MH, Poulter JS, Seger RM, Díaz-Arias AA. Squamous cell carcinoma of the pancreas: Report of an unusual case and review of the literature. Dig Dis Sci 1992; 37:312-8. [PMID 1735353]
2. Cubilla AL, Fitzgerald PJ. Classification of pancreas cancer (non-endocrine). Mayo Clin Proc 1979; 54:449-45. [PMID 221755]
3. Motojima K, Tomioka T, Kohara N, Tsunoda T, Kanematsu T. Immunohistochemical characteristics of adenosquamous carcinoma of the pancreas. J Surg Oncol 1992; 49:58-62. [PMID 1372374]
4. Bralet MP, Terris B, Brégeaud L, Ruszniewski P, Bernades P, Belghiti J, Fléjou JF. Squamous cell carcinoma and lipomatous pseudohypertrophy of the pancreas. Virchows Arch 1999; 434:569-72. [PMID 10394894]
5. Ishikawa O, Matsui Y, Aoki I, Iwanaga T, Terasawa T, Wada A. Adenosquamous carcinoma of the pancreas: A clinicopathologic study and report of three cases. Cancer 1980; 46:1192-6. [PMID 7214302]
6. Pour P, Krüger FW, Althoff J, Cardesa A, Mohr U. Cancer of the pancreas induced in the Syrian golden hamster. Am J Pathol 1974; 54:449-58. [PMID 4367264]
7. Sears HF, Kim Y, Strawitz J. Squamous carcinoma of the pancreas. J Surg Oncol 1980; 14:261-5. [PMID 7392648]
8. Brayko CM, Doll DC. Squamous cell carcinoma of the pancreas associated with hypercalcemia. Gastroenterology 1982; 83:1297-9. [PMID 7129033]
9. Sprayregen S, Schoenbaum SW, Messinger NH. Angiographic features of squamous cell carcinoma of the pancreas. J Can Assoc Radiol 1975; 2:122-4. [PMID 1158957]
10. Koduri VG, Ravi TJ. Squamous cell carcinoma of the pancreas: Report of a case and review of ERCP findings. Endoscopy 1994; 26:333-4. [PMID 8076562]
11. Lai LH, Romagnuol J, Adams, Yang J. Primary squamous cell carcinoma of pancreas diagnosed by EUS-FNA: A case report. World J Gastroenterol 2009; 15:4343-5. [PMID 19750582]
12. Itami KM, Karni A, Green L. Squamous cell carcinoma of the pancreas. J Gastrointest Surg 1999; 3:512-5. [PMID 10482708]