CASE REPORT
JOP. J Pancreas (Online) 2011 Mar 9; 12(2):194-199.
Large Duodenal Gastrointestinal Stromal Tumor Presenting with Acute Bleeding Managed by a Whipple Resection. A Review of Surgical Options and the Prognostic Indicators of Outcome
Norman Oneil Machado1, Pradeep J Chopra1, Ibrahim Hassan Al-Haddabi2, Hani Al-Qadhi1
Departments of 1Surgery and 2Pathology, Sultan Qaboos University Hospital. Muscat, Oman
ABSTRACT
Context Duodenal gastrointestinal stromal tumors (GISTs) are uncommon and constitute a relatively small subset of GISTs which presents a unique dilemma having various surgical options. A case of a large ulcerating duodenal GIST arising from the second and third parts of the duodenum and involving the pancreas which was managed by a Whipple resection is presented. The literature is also reviewed to present the current status on surgical options, outcome, prognostic indicators and the role of imatinib mesylate in its management. Case report A 58-year-old patient presented with acute gastrointestinal bleeding which was diagnosed to be due to a duodenal GIST following CT scan and endoscopic biopsy. The mass which measured about 10x9 cm originated from the 2nd part and extended into the 3rd part of the duodenum. He underwent a Whipple resection, and histopathology confirmed a duodenal GIST having a greater than 10 mitotic count per fifty high power field and areas of necrosis. Postoperatively, he received imatinib mesylate 400 mg bid; however, 4 months later, he presented with multiple disseminated peritoneal metastases and succumbed to the disease 2 months later. Conclusion GISTs of the duodenum which are small in size and do not involve the papilla of Vater are better resolved using a limited resection of the duodenum since the outcome in terms of operative risk or disease recurrence is not influenced in these cases. However, large tumors with more extensive involvement would require a pancreaticoduodenectomy to achieve adequate tumor clearance. Even though duodenal GISTs have a relatively better prognosis as compared to GISTs at other sites, their aggressiveness ranges from small indolent tumors to aggressive sarcomas. Following tumor resection, a recurrence rate of about 40% has been reported. A more favorable prognosis in duodenal GISTs is attributed to a lower prevalence of P53 loss, the duodenal location of the tumor, a smaller size of the lesion and a low mitotic count. Imatinib mesylate is reported to play a role in neoadjuvant therapy as well as in the management of metastatic and recurrent disease, although some of these tumors may fail to respond.
INTRODUCTION
Gastrointestinal stromal tumors (GISTs) are mesenchymal tumors of the gastrointestinal tract which characteristically express CD117, CD34 and c-kit proteins [1, 2, 3, 4, 5, 6]. Of these, 40-60% occur in the stomach, 30-40% in the small intestine, 5% in the colon and rectum, and 5% in the esophagus [1, 2, 3, 4, 5, 6, 7]. Duodenal GISTs are small subsets, accounting for 12 to 18% of tumors in the small intestine and 1 to 4% of all gastrointestinal stromal tumors. Complete surgical resection remains the best option in the treatment of GISTs, although imatinib mesylate, a tyrosine kinase inhibitor, may be effective in c-kit positive tumors [2, 8]. Unlike carcinomas, GISTs do not widely infiltrate at the microscopic level and rarely metastasize to the lymph nodes. Therefore, local excision may be appropriate when technically feasible. A tumor of the 2nd part of the duodenum is a challenging clinical entity due to its close proximity to important anatomical structures, including the duodenal papilla, pancreas, and the biliary and pancreatic ducts [2, 3, 4, 5]. Involvement of these structures may warrant a pancreaticoduodenectomy [5, 7]. A patient with a large duodenal GIST infiltrating the pancreas which required a pancreaticoduodenectomy is presented and the literature is reviewed to present various surgical options, outcome and the pathological indicators of recurrence and poor outcome.
CASE REPORT
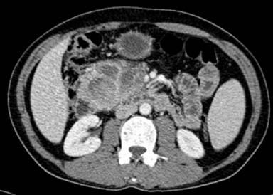
A 58-year-old man not known to have any pre-existing medical conditions was admitted with a one week history of melena requiring frequent blood transfusions. He denied any abdominal pain or vomiting. However, his appetite had decreased and he had significant weight loss. Examination revealed anemia and a non-tender firm mass in the epigastrium measuring about 10x9 cm. An upper gastrointestinal endoscopy showed an ulcerative growth occupying the medial wall of the second part of the duodenum extending into the third part. The morphology and immunohistochemistry of the biopsy from the lesion were highly suggestive of an aggressive gastrointestinal stromal tumor. Contrast-enhanced CT showed a 10x9 cm, heterogeneous, hypervascular mass in the sweep of the duodenum inseparable from the duodenal wall and the pancreatic head (Figure 1). The mass was predominantly solid, admixed with minimal cystic components. The superior mesenteric vessels were intimately related to it. There was no retroperitoneal lymphadenopathy noted. No focal lesions were seen in the liver. Multiplanar, multisequential MRI of the abdomen with contrast confirmed the above findings and the hypervascular necrotic nature of the mass, suggesting a gastrointestinal stromal tumor. Tumor marker studies were negative for CA 19-9, alpha-fetoprotein and CEA. In view of the bleeding nature of the tumor which could not be managed with frequent blood transfusions (he had received daily transfusions for 4 days and his hemoglobin level remained at 7 g/dL (reference range: 12.5-15.5 g/dL)), the patient underwent a pancreaticoduodenectomy. Laparotomy revealed a nodular tumor measuring about 10x9 cm arising from the 2nd and 3rd parts of th duodenum and extending into the infracolic compartment in proximity of the superior mesenteric vessels. No gross metastases in the liver or peritoneum were noted. The patient underwent a pancreaticoduodenectomy (Figures 2 and 3). A right hemicolectomy was also performed as, in the process of excising the tumor, the right hemicolon appeared dusky. The patient made an uneventful recovery except for a superficial surgical site infection. The histopathology report confirmed the gastrointestinal stromal tumor with predominant spindle cells and a mitotic figure of more than 10 per 50 high power field (HPF) (Figures 4 and 5). Wide areas of tumor necrosis and marked nuclear pleomorphism were also noted. The margins were negative for tumor and no metastasis was noted in the 12 regional lymph nodes which were excised. Immunohistochemical stains were strongly positive for CD117, focally positive for CD34 and negative for epithelial and muscle markers (Figure 5). The patient was started on imatinib 400 mg bid at the 2nd postoperative week. His response to imatinib mesylate was very modest, if at all, and he presented with widespread intra-abdominal recurrences 12 weeks after surgery, confirmed by a CT scan-guided Trucut biopsy. The patient eventually succumbed to his disease 6 months after the surgery.

|
Figure 1. Contrast CT scan revealing a large mixed echogenic mass arising from duodenum and involving the pancreas. |

|
Figure 2. Specimen after Whipple resection revealing a large duodenal GIST tumor. |

|
Figure 3. Large ulcerated duodenal GIST revealing the source of gastrointestinal bleeding. |

|
Figure 4. Microscopic picture showing a spindle cell neoplasm composed of fascicles of spindle cells with elongated nuclei and abundant mitotic figures (arrow) (H&E stain; original magnification 20x). |

|
Figure 5. Photomicrograph revealing most of the cells positive for CD117 (CD117 stain; original magnification 20x). |
DISCUSSION
GISTs are usually low grade mesenchymal tumors of the gastrointestinal tract and are believed to originate from pluripotential mesenchymal stem cells programmed to differentiate into interstitial cells of Cajal [1, 2, 5]. These tumors are characterized by the expression of a transmembrane receptor tyrosine kinase kit, a product of the c-kit proto-oncogene and identified by the expression of CD117 which is present in 80% of these patients [1, 2, 5]. A subset of GISTs harbors mutations in platelet derived growth factor receptor alpha (PDGFRA) in about 5% of patients [9]. Additional typical findings include positivity for vimentin (nearly all GISTs) and CD34 (50-70%) [2, 3]. Staining for smooth muscle actin may be positive in 30-40% while desmin (intermediate filament typical for muscle) and S-100 (a neural cell marker) are usually negative [2, 3, 5]. GISTs grow extensively and are often covered by a psuedocapsule [2, 3].
The epidemiology of GISTs is not completely known. GISTs are infrequent neoplasms with a reported annual incidence of 12.7 and 6.8 per million in the Netherlands and the USA, respectively [10, 11]. A GIST can be located anywhere in the gastrointestinal tract, the most common sites being the stomach (40-60%) and small intestine (30-40%) [1, 2]. The mean age of patients with GISTs is 53 years with 5% under 30 years of age [1, 2].
Less than 4% of all GISTs are GISTs of the duodenum and they therefore represent a rare tumor entity [1, 2]. Duodenal GISTs frequently involve the 2nd portion of the duodenum followed by the 3rd, 4th and 1st portions [1]. Although many duodenal GISTs extend from the submucosal or muscularis propria to the external aspects, most of them lead to gross ulceration of the mucosa with a component that grows underneath the mucosa which helps to detect the tumor on endoscopic examination [1, 2, 3, 4].
The clinical presentation of duodenal GISTs is highly variable depending on their size, location and the presence of mucosal ulceration [1, 2, 3, 4, 6, 7]. They commonly present with gastrointestinal bleeding, epigastric pain, obstructive jaundice, palpable mass and intestinal obstruction [1, 2, 3, 4, 6, 7]. However, persistent significant bleeding, such as in our patient, is unusual. Small tumors which are not accompanied by mucosal ulceration are usually asymptomatic and are generally incidental findings at surgery, endoscopy or imaging studies for another indication [2, 4, 6, 7]. Hypotonic duodenography and duodenoscopy are usually effective in diagnosing most duodenal GISTs with the typical features of gross ulceration in the mucosa or an intramural mass with a centrally ulcerated umbilication [1, 2, 3, 4]. While duodenoscopy should be adequate in visualizing these tumors, some difficulty may arise when the tumor is relatively small in diameter with very minimal outward growth or the absence of centrally ulcerated umbilication [2, 4, 7]. In such situations endoscopic ultrasound is extremely useful in clarifying whether the lesion is submucosal or originates from an intramural or extramural structure; it can also be used to identify the layer of origin of the intramural lesion [12].
CT and MRI are the best imaging modalities for assessing the primary lesion and in detecting the metastasis [13, 14]. Although their relative usefulness depends on the site of the GIST, CT is particularly useful for small bowel or omental GISTs which are not accessible by endoscopy [13, 14]. On CT scan, GISTs may vary from small homogenous masses to large necrotic masses [13, 14]. Small tumors typically appear as sharply demarcated smooth-walled homogenous soft tissue mass with moderate contrast enhancement. On the contrary, large tumors tend to have central necrosis and cavitation as well as heterogeneous enhancement [13, 14] (Figure 1). Lymphadenopathy is unusual with GISTs and, if present, should lead the investigator to consider an alternative diagnosis of lymphoma or adenocarcinoma [1, 2, 5].
The pathological and immunohistochemical features of duodenal GISTs reveal peculiar features compared with gastric and small intestinal cases [1, 4, 5, 7]. Duodenal GISTs are relatively smaller in size. The median size of the lesion is reported to be 4 cm in contrast to a median size of gastric and small intestinal GISTs of 6 to 7 cm, respectively [1, 5]. Duodenal GISTs are detected earlier and, when they are smaller, are amenable to relatively minor resection or excisional surgery [1, 2, 3, 4, 6, 7]. They may also have a favorable prognosis when compared to GISTs from other sites of the gastrointestinal tract [1, 2, 4, 7]. A median mitotic count of 2 per 50 HPF was found in 3% while, in 72 to 75% of the duodenal GISTs, the mitotic count was less than five mitoses per 50 HPF [1, 5]. This is in contrast to other primary GISTs where a mitotic count of more than 5/50 HPF was found in 31.3 to 34.4%. However, CD117 positivity is the gold standard for establishing the diagnosis of a GIST [1, 5].
Complete en bloc surgical resection of the tumor and the surrounding tissue (R0 resection) remains the main curative treatment modality for primary duodenal GISTs [1, 2, 3, 4, 6, 7, 15]. This is reported to be achieved in 50 to 90% of the cases [4, 7]. In some of these patients, resection may be warranted for the palliation of local symptoms most notably bleeding [7]. The size, location and proximity to the duodenal papilla influence the choice of surgical procedure [1, 2, 3, 4, 6, 7, 15]. Surgical resection of duodenal GISTs can be accomplished in several ways, ranging from minimal to major procedures. Limited resection should be considered a viable treatment option for duodenal GISTs when technically feasible. Various techniques of limited resection for duodenal GISTs have been advocated depending on the site and the size of the tumors [6, 7, 15, 16, 17]. Wedge resection with primary closure can be performed for small lesions if the resulting lumen is adequate and the ampulla of Vater can be preserved [2, 3, 4, 6, 7]. A segmental duodenectomy with side-to-end or end-to-end duodenojejunostomy may be performed for larger tumors located in the 3rd and 4th portions of the duodenum [16]. A partial duodenectomy with Roux-en Y duodenojejunostomy is feasible for larger tumors involving the antimesenteric border of the 2nd and 3rd portions of the duodenum [16, 17]. Some have advocated resection and anastomosis even for lesions close to the papilla by performing the anastomosis just below the ampulla [16, 17]. This has been achieved by performing a lateromedial anastomosis opposite to the papilla or by performing papilloplasty and inserting a temporary stent catheter into the papilla to avoid stenosis following anastomosis close to the papilla [16, 17].
An aggressive surgical approach may be required for complete removal of the tumor [1, 2, 3, 4, 15]. Major resection via a pancreaticoduodenectomy or pancreatic sparing duodenectomy is indicated when the tumor is located in the second part of the duodenum and involves the papilla, pancreas or the duodenal bulb, or if the tumor is large with high malignant potential and has involved the adjoining organs as in our patient [1, 7, 15]. Although a limited procedure, such as wedge or segmental resection, is relatively simple to perform, there is a risk of subsequent anastomotic leakage or stenosis and the possibility of late tumor recurrence [1, 2, 3, 4, 7, 15]. However, limited resection, when feasible, is perceived to contribute to a better quality of life, functional preservation of the pancreas and continuity of the gastrointestinal tract [2, 3, 4, 7]. In contrast, a pancreaticoduodenectomy as a treatment for duodenal GISTs can provide a wider tumor clearance but may be associated with excessive morbidity especially in patients with a tumor of low grade malignancy. Moreover, both the pancreatic and common bile ducts are likely to be smaller in diameter leading to difficulty during reconstruction and an increased risk of stenosis of the anastomosis following the pancreaticoduodenectomy [1, 2, 7, 15]. In the absence of involvement of the papilla of Vater, it would seem reasonable to use limited resection for duodenal GISTs to preserve as much of the duodenum, common bile duct and pancreatic parenchyma as possible without subjecting the patient to an additional risk of disease recurrence [1, 2, 7, 15]. A report on the management of a large series of 156 duodenal GISTs suggested that limited resection is performed more often (80%) as compared to 20% of the patients who underwent a pancreaticoduodenectomy. Limited resection included enucleation (15 cases), segmental resection (48 cases) and wedge resection (21 cases) [1]. In summary, wedge resection is indicated for small (less than 1 cm) GISTs of the duodenum as long as they are located more than 2 cm from the ampulla of Vater [7]. Segmental duodenectomy is indicated for large (over 3 cm) tumors located in the 3rd or 4th portions of the duodenum when reconstruction is performed using a side to side duodenojejunostomy opposite the ampulla [7]. A pancreaticoduodenectomy remains the best option for periampullary GISTs as well as for large tumors in the 1st or 2nd portions of the duodenum which may be inadequately resected through a pancreas-preserving duodenectomy. Though the main question here is whether limited resection is an oncologically adequate alternative to a pancreaticoduodenectomy, until now, there have been few data regarding the oncologic results of either of these procedures [1, 7, 15].
Imatinib mesylate, a tyrosine kinase inhibitor, has played a role in the management of GISTs, both as neoadjuvant therapy and in patients with recurrent disease [8, 18, 19]. The role of a tyrosine kinase inhibitor as neoadjuvant therapy is for downstaging a tumor arising from complex regions, such as the periampullary region, which would otherwise require extensive surgery [8, 18, 19, 20, 21, 22]. A summary of several trials involving imatinib therapy revealed a complete response rate in 1 to 6%, partial response in 45 to 67% and stable disease in 16 to 33% [22]. A minority of the GISTs which express kinase oncoproteins may be intrinsically resistant or respond poorly to imatinib mesylate [22]. From a surgical standpoint, neoadjuvant imatinib therapy is recommended initially in patients with GISTs in the 2nd part of the duodenum inasmuch as less extensive surgery is required and the tumor free resection margins are not compromised [4]. This, however, may not always be feasible, such as in our patient who had significant acute gastrointestinal bleeding and required an urgent resection. Moreover, a preoperative diagnosis of GIST, which is a prerequisite before therapy with imatinib, may not always be easy to obtain, such as in a tumor in submucosal location or in the presence of significant hemorrhagic and necrotic content in a large tumor [4, 18, 19]. Treatment with imatinib mesylate for a locally advanced and metastatic tumor (GIST) is a dose of 400 mg/day while a higher starting dose of 800 mg is recommended for patients harboring the kit exon 9 mutation [8, 18]. Treatment is continued indefinitely in advanced metastatic patients because its interruption is generally followed by relatively rapid tumor progression [18].
About 40% of patients with primary GISTs who undergo complete resection are reported to have recurrent disease, most recurrences being local or liver metastases with a median follow up of 24 months [1, 4]. Before imatinib, the median survival of these patients was 19 months, with a 25% five-year survival rate [20]. The outcome of resection for a recurrence or metastatic disease is disappointing. In one series of 60 patients, the median survival was 15 months following resection of recurrent or metastatic GISTs, suggesting that surgery should be reserved for symptom control rather than for achieving a cure in these patients [21]. Since 2002, imatinib mesylate has become the standard of care for metastatic GISTs, resulting in an impressive initial tumor response rate [8]. However, a major limitation of this therapy is the development of secondary tumor resistance related to the acquisition of additional c-kit mutations [8]. Neither surgery nor imatinib alone is likely to dramatically improve the outcome, suggesting the need for multimodal management [4]. The rationale for a combined approach in this setting is that pre-emptive surgical resection of the residual disease might enhance tumor response to various tyrosine kinase inhibitors by eliminating or preventing the development of resistant clones [20].
For duodenal GISTs, the recurrence-free survival rate at 1 to 3 years of follow-up following resection has been reported to be 100%, 86.7, and 95.2%, respectively [2, 4, 7]. A good prognosis is particularly seen in those who have undergone complete resection of the tumor. However, in a series from the pre-imatinib era, Miettenen et al., while reporting on the outcome in 156 patients who had surgery for duodenal GISTs, noted local recurrence, metastasis or both in 35% of their patients [1]. The overall 5-year survival rate of patients following resection for GISTs ranges from 30 to 80% [1, 2, 3, 4, 5, 6, 7]. The relapse rate for patients having surgery ranged from 5%, in those who had complete resection, to 90% in those with an unresected or incompletely resected tumor [9, 15, 16, 22]. This clearly indicates that duodenal GISTs vary widely in their aggressiveness from small indolent tumors to overt sarcomas. This is amply reflected in our case where despite the primary resection of the tumor with a resection free margin and no documented metastasis, the patient presented with multiple peritoneal metastases in the early postoperative period; the large size (10x9 cm) of the tumor and the high mitotic count (more than 10/50 HPF) being indicators of a poor prognosis.
Fletcher et al. have based their criteria for defining the risk and prognosis of GISTs on the location of the lesion in the gastrointestinal tract, size of the tumor and mitotic figure per 50 HPF [23]. Duodenal GISTs with a dimension ranging from 2-5 cm and a low mitotic rate had a low frequency of malignant behavior [24]. Tumors which are large, with a high mitotic count, are reported to have a poor outcome and may not respond to imatinib mesylate as was the case in our patient [8, 19, 20, 21, 24]. In a review of 156 cases of duodenal GISTs, 50% of the patients with a tumor between 2 and 5 cm with a mitotic activity of more than 5/50 HPF developed intra-abdominal spread or metastasis, and died from the disease with a median survival period of 49 months [1]. However, the prognosis was worse when the tumor was greater than 5 cm with a mitotic activity of more than 5/50 HPF as intra-abdominal tumor spread was seen in 86% of them with a median survival of 21 months indicating the significance of mitotic activity per HPF and tumor size in the final outcome after resection [1]. In general, the favorable prognosis of duodenal GISTs in comparison to GISTs in other parts of the gastrointestinal tract is attributed to various factors, including the lower prevalence of p16 loss, lower K1-67L1 levels , smaller size of the lesion and lower mitotic count, duodenal location of the tumor and mutational status [1, 2, 5, 23, 24].
CONCLUSION
Duodenal GISTs are a relatively uncommon subset of GISTs which most commonly present with abdominal pain and gastrointestinal bleeding. Persistent significant upper gastrointestinal bleeding, however, is uncommon. Disease-free survival could be achieved by performing a curative surgical resection with a clear margin. Limited resection should be considered a treatment option for duodenal GISTs when technically feasible. However, a pancreaticoduodenectomy would be required when a lesion involves the papilla or adjoining organs, such as the pancreas, or is large and has a high malignant potential. The risk of recurrence and disease free survival would depend on the location, size, mitotic figure in the lesion, and the prevalence of p16 loss and levels of K1-67L1. While imatinib mesylate is reported to play a role in recurrent or metastatic disease or in downstaging the tumor prior to surgery, some of these tumors may not respond or may develop secondary resistance while under treatment.
Received December 14th, 2010 - Accepted February 8th, 2011
Key words Gastrointestinal Hemorrhage; Gastrointestinal Stromal Tumors; imatinib; Neoplasm Metastasis; Pancreaticoduodenectomy; Recurrence
Conflicts of interest The authors have no potential conflicts of interest
Correspondence
Norman
Oneil Machado
Department of Surgery
Sultan Qaboos University Hospital
PO Box 38, Postal code 123
Muscat
Oman
Phone: +968-2441.3851
Fax: +968-2441.3851
E-mail: oneilnorman@gmail.com
References
1. Miettinen M, Kopczynski J, Makhlouf HR, Sarlomo-Rikala M, Gyorffy H, Burke A, et al. Gastrointestinal stromal tumours, intramural leiomyomas, and leiomyosarcomas in the duodenum. A clinicopathological, immunohistochemical and molecular genetic study of 167 cases. Am J Surg Pathol 2003; 27:625-41. [PMID 12717247]
2. Chung JC, Chu CW, Cho GS, Shin EJ, Lim CW, Kim HC, Song OP. Management and outcome of gastrointestinal stromal tumours of the duodenum. J Gastrointest Surg 2010; 14:880-3. [PMID 20140534]
3. Mennigen R, Wolters HH, Schulte B, Pelster FW. Segmental resection of the duodenum for gastrointestinal stromal tumour (GIST). World J Surg Oncol 2008; 6:105. [PMID 18826622]
4. Gervaz P, Huber O, Morel P. Surgical management of gastrointestinal stromal tumours. Br J Surg 2009; 96:567-78. [PMID 19434705]
5. Yang WL, Yu JR, Wu YJ, Zhu KK, Ding W, Gao Y, et al. Duodenal gastrointestinal stromal tumour: clinical, pathologic, immunohistochemical characteristics, and surgical prognosis. J Surg Oncol 2009; 100:606-10. [PMID 19697360]
6. Asakawa M, Sakamoto Y, Kajiwara T, Nara S, Esaki M, Shimada K, et al. Simple segmental resection of the second portion of the duodenum for the treatment of gastrointestinal stromal tumours. Langenbecks Arch Surg 2008; 393:605-9. [PMID 18026747]
7. Bucher P, Egger JF, Gervaz P, Ris F, Weintraub D, Villiger P, et al. An audit of surgical management of gastrointestinal stromal tumours(GIST). Eur J Surg Oncol 2006; 32:310-14. [PMID 16414236]
8. Cohen MH, Cortazar P, Justice R, Pazdur R. Approval summary: Imatinib mesylate in the adjuvant treatment of malignant gastrointestinal stromal tumor. Oncologist 2010; 15:300-7. [PMID 20200041]
9. Corless CL, Schroeder A, Griffich D, Town A, McGreeevery L, Harrell P, et al. PDGFRA mutations in gastrointestinal stromal tumours: frequency, spectrum and in vitro sensitivity to imatinib. J Clin Oncol 2005; 23:5357-64. [PMID 15928335]
10. Goettsch WG, Bos SD, Breekveldt-Postma N, Casparie M, Herings RM, Hogendoorn PC. Incidence of gastrointestinal stromal tumours is underestimated : results of a nationwide study. Eur J Cancer 2005; 41:2868-72. [PMID 16293410]
11. Tran T, Davila JA, El-Serag HB. The epidemiology of malignant gastrointestinal stromal tumours: an analysis of 1,458 cases from 1992 to 2000. Am J Gastroenterol 2005; 100:162-8. [PMID 15654796]
12. Aydin A, Tekin F, Günşar F, Güler A, Tunçyürek M, Ilter T. Value of endoscopic ultrasonography for upper gastrointestinal stromal tumours. A single center experience. Turk J Gastroenetrol 2004; 15:233-7. [PMID 16249977]
13. Ghanem N, Altehoefer C, Furtwängler A, Winterer J, Schäfer O, Springer O, et al. Computed tomography in gastrointestinal stromal tumour. Eur Radiol 2003; 13:1669-78. [PMID 12835984]
14. Sandrasegaran K, Rajesh A, Rushing DA, Rydberg J, Akisik FM, Henley JD. Gastrointestinal stromal tumour. CT &MRI finding. Eur Radiol 2005; 15:1407-14. [PMID 15761716]
15. Blay JY, Bonvalot S, Casali P, Choi H, Debiec-Richter M, Dei Tos AP, et al. Consensus meeting for the management of gastrointestinal stromal tumour. Report of the GIST consensus conference of 20-21 march 2004 under the auspicies of ESMO. Ann Oncol 2005; 16:566-78. [PMID 15781488]
16. Goh BK, Chow PK, Ong HS, Wong WK. Gastroinetstinal stromal tumour involving the second and third portion of the duodenum: treatment by partial duodenectomy and Roux-en-Y duodenojejunostomy. J Surg Oncol 2005; 91:273-5. [PMID 16121353]
17. Cavallini M, Cecera A, Ciardi A, Caterino S, Ziparo V. Small periampullary duodenal gastrointestinal stromal tumour treated by local excision: report of a case. Tumori 2005; 91:264-6. [PMID 16206653]
18. Pennacchioli E, Colombo C, Berselli M, Gronchi A. Update on management of GIST and post surgical use of imatinib. Open Access Surgery 2010; 3:63-71.
19. Demetri GD, van Mehren M, Blanke CD, Van den, Abbeele AD, Eisenberg B, et al. Efficacy and safety of imatinib mesylate in advanced gastrointestinal stromal tumours. N Engl J Med 2002; 347:472-80. [PMID 12181401]
20. Gold JS, van der Zwan SM, Gonen M, Maki RG, Singer S, Brennan MF, et al. Outcome of metastatic GIST in the era before tyrosine kinase inhibitors. Ann Surg Oncol 2007; 14:134-42. [PMID 17080234]
21. Eisenber BL, Judson I. Surgery and Imatinib in the management of GIST: emerging approaches to adjuvant and neoadjuvant therapy. Ann surg Oncol 2004; 11:465-75. [PMID 15123459]
22. Mohiuddin K, Nizami S, Munir A, Memon B, Memon MA. Metastatic duodenal GIST: role of surgery combined with imatinib mesylate. Int Semin Surg Oncol 2007; 9:1-6. [PMID 17391535]
23. Fletcher CDM, Bermar JJ, Corless C, Gorstein F, Lasota J, Longley BJ, et al. Diagnosis of gastrointestinal stromal tumour a consensus approach. Hum Pathol 2002; 33:459-65. [PMID 12094370]
24. De Matteo RP, Gold JS, Saran L, Gonen M, Liau KH, Maki KH, et al. Tumour mitotic rate , size and location independently predict recurrence after resection of primary gastrointestinal stromal tumour (GIST). Cancer 2008; 112:608-15. [PMID 18076015]