CASE REPORT
JOP. J Pancreas (Online) 2011 Mar 9; 12(2):200-204.
Malignant Extra-Gastrointestinal Stromal Tumor of the Pancreas. A Case Report and Review of Literature
Mukul Vij, Vinita Agrawal, Rakesh Pandey
Department of Pathology, Sanjay Gandhi Postgraduate Institute of Medical Sciences. Lucknow, India
ABSTRACT
Context Gastrointestinal stromal tumors are CD117 (C-Kit) positive mesenchymal neoplasms considered to originate from the interstitial cells of Cajal. Gastrointestinal stromal tumors have been described outside the gastrointestinal tract in sites, such as the mesentery, omentum and retroperitoneum; however, pancreatic extra-gastrointestinal stromal tumors are extremely rare and there have only been seven previous reports in the literature. Case report We describe a 38-year-old man with a malignant pancreatic gastrointestinal stromal tumor. The tumor was located in the head of pancreas, measured 6.5x5.0 cm and was well circumscribed. On histology, it showed a mixed spindle and epithelioid cell morphology with the presence of sheets and short intersecting fascicles of tumor cells. There was a mitotic count of 12-15 mitoses per 50 high-power fields. The differential diagnosis included a pancreatic smooth muscle tumor and a neuroendocrine tumor. Immunohistochemistry revealed diffuse cytoplasmic positivity for CD117 and vimentin. Tumor cells were negative for CD34, S100, desmin, smooth muscle actin (SMA), cytokeratin, neuron specific enolase, chromogranin and synaptophysin. The patient developed isolated liver metastasis two years after the resection of the primary tumor. The resected metastasis showed a similar tumor. The patient was treated with imatinib mesylate and the post-operative course two years after resection of the liver metastasis has been uneventful. Conclusion We report a rare case of pancreatic gastrointestinal stromal tumor presenting as a solid neoplasm and review the cases previously described in the literature.
INTRODUCTION
Gastrointestinal stromal tumors (GISTs) are mesenchymal neoplasms of the gastrointestinal tract which express CD117, a C-Kit proto-oncogene protein, and show an increase in the function mutation of C-Kit gene which encodes a growth factor receptor with tyrosine kinase activity [1, 2, 3]. GISTs may occur in the entire length of gastrointestinal tract from the esophagus to the anus, and sometimes even in the omentum, mesentery and retroperitoneum, adjacent to, but separate from, the stomach and intestine [4, 5, 6]. These tumors have sometimes been designated as “extra-gastrointestinal stromal tumors” (EGISTs). EGISTs have also been reported in the prostate and gallbladder [5]. Pancreatic EGISTs are extremely rare and, until now, only seven cases have been reported in the literature [7, 8, 9, 10, 11, 12, 13]. We report the case of a malignant pancreatic EGIST and review the cases previously reported.
CASE REPORT
Clinical Findings
A 35-year-old man presented to the Department of Surgical Gastroenterology with complaints of weakness, postprandial fullness with mild pain in the upper abdomen and intermittent low-grade fever of 4 months duration. The patient also reported loss of weight (2 kg) of three months duration. On physical examination, the abdomen was soft and not sensitive to touch and no palpable masses were felt. Hematological investigations revealed anemia. Abdominal ultrasound revealed an 8x6 cm mass in the head of the pancreas and mild splenomegaly. A contrast-enhanced computerized tomography (CECT) scan showed a large 7x6 cm solid growth in the head of the pancreas with no retropancreatic lymph nodes, ascites or secondaries in the liver. The possibility of carcinoma of the head of the pancreas was considered. A classic Whipple pancreaticoduodenectomy was performed. On exploration, an annular pancreas was identified with a large 6 cm mass in the head of the pancreas along with a few small lymph nodes in the retropancreatic area and the proximal jejunal mesentery. There was no evidence of dissemination in the form of a liver space-occupying lesion, or peritoneal, omental or pelvic deposits. On intraoperative examination, the cut surface showed an annular pancreas with pancreatic tissue on the lateral wall of the duodenum and a large fleshy 6 cm tumor mass in the head of the pancreas, leaving only a thin rim of pancreatic tissue in the periphery.
Material and Methods
The specimen was fixed in 10% buffered formalin and processed for histological examination by conventional methods. Three to five micron sections were stained with hematoxylin and eosin. Based on light microscopic examination, representative sections were selected for immunohistochemistry. Immunohistochemical markers included antibodies for CD117, CD34, smooth muscle actin (SMA), desmin, S100, vimentin, neuron specific enolase, chromogranin, synaptophysin, cytokeratin, and Ki-67. All antibodies were procured from Dako Co., Glostrup Denmark.
Pathological Features
On macroscopic examination, a 6x5 cm tumor was present in the head of the pancreas (Figure 1a). The tumor almost entirely replaced the head of the pancreas with a 3 mm compressed pancreatic parenchyma in the periphery. The tumor was well circumscribed and was firm in consistency displaying a grayish white cut surface. One peripancreatic and one periduodenal lymph node were identified, each measuring 1.0 cm in their greatest dimension.

|
Figure 1. a. Gross photograph of the solid pancreatic tumor with a thin rim of pancreatic tissue at the periphery. b. Tumor with pancreatic acini (H&E, x100). c. Pleomorphic tumor cells with mitosis (H&E x400). d. Diffuse CD117 immunopositivity in the tumor (diaminobenzidine chromogen, x200). |
Histology showed a moderate to highly cellular tumor surrounded by a thin rim of pancreatic parenchyma in the periphery (Figure 1b). The tumor showed sheets, ill-defined fascicles and nests of tumor cells. The tumor cells were spindle to polygonal with moderately pleomorphic nuclei, irregularly distributed chromatin, conspicuous nucleoli and moderate to abundant eosinophilic cytoplasm with indistinct to distinct cytoplasmic margins (Figure 1c). There was a mitotic count of 12-15 per 50 high-power fields (HPF) in the areas showing the most proliferation. A few multinucleated cells were also identified. The pancreatic surgical resection margin was tumor free. The lymph nodes showed no evidence of metastatic deposits.
On immunophenotyping, the tumor showed diffuse moderate cytoplasmic positivity with membranous accentuation for CD117 (Figure 1d) and vimentin, and was negative for CD34, SMA, desmin, S100, neuron specific enolase, cytokeratin, synaptophysin and chromogranin.
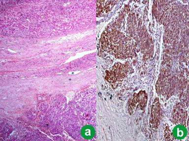
On the basis of tumor size and mitotic counts on histology and immunohistochemistry, the tumor was reported as a high-risk EGIST. The postoperative course was uneventful. After tumor resection, the patient was followed up for 6 months. Two years later, the patient presented with abdominal pain and loss of weight. CECT abdomen revealed a metastatic lesion in the right lobe of the liver, measuring 9x7 cm. Subsequently, a non anatomical resection of segments V, VI and VII of the liver was carried out. On histology, a metastatic GIST was diagnosed (Figure 2a). The morphology of the tumor resembled the primary tumor with similar mitotic counts and was positive for CD117 (Figure 2b). The patient was started on imatinib (400 mg bid). The patient has been followed regularly with improvement in symptoms. The last follow-up, two years after the detection of the metastasis, showed no recurrence or metastasis on radiology.

|
Figure 2. Metastatic tumor deposits in the liver parenchyma (H&E, x100) (a.) with strong CD117 expression (diaminobenzidine chromogen, x200) (b.) |
DISCUSSION
We report an extremely rare case of a primary pancreatic malignant GIST which recurred two years later with liver metastasis. GISTs reported outside the gastrointestinal tract as apparent primary tumors are designated as “extra-gastrointestinal stromal tumors” (EGISTs). However, a great majority of these tumors may actually represent metastasis from gastrointestinal primary tumors. [14]. The fact working against the metastatic nature of all EGISTs is the apparently good prognosis in a number of them, especially as has been reported for some omental and retroperitoneal EGISTs in two studies [5, 7]. There is little doubt that the omental, mesenteric, retroperitoneal and intra-abdominal stromal tumors reported as EGISTs are true GISTs; they are C-Kit (CD117) positive and show GIST-specific KIT mutations [5, 6].
EGISTs lack mucosal involvement and are therefore often asymptomatic as compared to GISTs which commonly present with gastrointestinal bleeding. Because of their deep location, EGISTs also tend to grow larger than GISTs before causing any obstructive or painful symptoms. The histological features of EGISTs are, for the most part, similar to their gastrointestinal counterparts and may be of spindle and epithelioid phenotypes [5, 6, 7]. EGISTs of a spindle cell type show a less developed fascicular pattern and lack cytoplasmic eosinophilia. Plump nuclei with a prominent vascular pattern are seen in many cases. The mitotic rate is variable. The epithelioid cell morphology has sheets of uniform cells, with abundant granular cytoplasm.
It is presumed that GISTs originate from the interstitial cells of Cajal. These pacemaker cells, which are present throughout the wall of the gastrointestinal tract, regulate motility. Interstitial cells of Cajal express the C-Kit receptor tyrosine kinase (CD117 antigen) [5]. Therefore, the most selective immunohistochemical marker differentiating GISTs from true smooth muscle tumors is the expression of the C-Kit receptor tyrosine kinase (CD117 antigen) in 95% of GISTs. In addition, GISTs are generally (40 to 70% of the time) positive for CD34. These may also show associated variable positivity for other mesenchymal markers, such as vimentin, CD34, myoid (smooth muscle actin and desmin) and neural (S100) markers. [5] Presently, the origin of EGISTs remains controversial. Some have hypothesized that EGISTs may be the result of the extensive extramural growth of mural GISTs, resulting in minimal or even complete loss of contact with the muscularis propria [14]. Others have suggested that the interstitial cells of Cajal may not be the actual cells of origin, but that GISTs actually arise from a common precursor cell of the interstitial cells of Cajal and smooth muscle, which accounts for their growth within and outside the gastrointestinal tract. Molecular investigations have confirmed the presence of Cajal-like interstitial cells within the extra-digestive organs and vessels. Popescu et al. have recently shown the existence of interstitial cells of Cajal in the human exocrine pancreas which have a phenotype similar to that of the enteric interstitial cells of Cajal. [15] Although the exact function of these cells is not clear, the discovery of exocrine pancreatic interstitial cells of Cajal supports the diagnosis of EGISTs arising from the pancreas.
Pancreatic GISTs are uncommon solid tumors of the pancreas and only seven case reports exist in the literature (Table 1) [7, 8, 9, 10, 11, 12, 13]. The tumors reported in the literature have been found predominantly in females 38 to 70 years of age. There is great variation in size (2.4 to 20 cm) and most are described in the head and body of the pancreas. On histological examination, pancreatic GISTs have been described as spindle, epithelioid or, rarely, a mixed phenotype [7, 8, 9, 10, 11, 12, 13]. Multinucleated giant cells have been reported in one case [9]. Skenoid fibers have also been reported in pancreatic EGISTs [10]. Differential diagnoses between leiomyosarcomas and GISTs, which can occasionally be described in the pancreas, is of crucial importance as targeted therapy in the form of imatinib mesylate for EGISTs is available. To better characterize these tumors and to positively identify them as EGISTs, immunohistochemical staining with CD117 is essential. The expression of CD117 has allowed the differentiation of true EGISTs from other mesenchymal tumors.
|
Table 1. Pancreatic extra-gastrointestinal stromal tumors (EGISTs) reported in the literature. |
|||||
|
Author |
Clinical presentation |
Location in the pancreas |
Pathological and immunohistochemical findings |
Treatment |
Follow-up |
|
Neto et al. |
Epigastric
pain, bloating, |
Body |
A 20 cm solid cystic mass with necrotic foci; mitotic count (120/50 HPF); positive for CD117 and CD34; negative for cytokeratins 7 and 20, desmin and synaptophysin |
Distal pancreatectomy and splenectomy; treated with imatinib mesylate |
Recurrence with peritoneal and retroperitoneal nodal disease 1 month after surgery |
|
Yamaura et al. 2004 [8] |
Incidental finding |
Tail |
A 14 cm solid mass with cystic degeneration; few mitoses; positive for CD34 and vimentin; negative for SMA and S100 |
Distal
pancreatectomy, splenectomy, and partial |
No evidence of disease at 30 months |
|
Krska et al. |
Abdominal pain |
Body and head |
A 17 cm mass; mitotic count: 1/50 HPF; positive for CD34 and vimentin; negative for S100, chromogranin, actin, and CD117 |
Partial pancreatectomy |
No evidence of disease at 30 months |
|
Daum et al. |
Incidental finding |
Head |
A 10 cm mass with central hemorrhage; mitotic count: 2/50 HPF; negative for CD117, vimentin, actin, S100, CD34, desmin, and cytokeratins |
Whipple procedure; treated with imatinib on protocol |
No
evidence of disease at |
|
Showalter et al. |
Incidental finding on workup for back pain |
Tail |
A 7 cm solid mass; mitotic count: 3/50 HPF; positive for CD117; negative for S100 protein and SMA |
Laparoscopic distal pancreatectomy and splenectomy |
No evidence of disease at 27 months |
|
Yan et al. |
Nausea and vomiting |
Uncinate process |
A 2.4 cm pancreatic mass with spindle cells and mild atypia; positive for CD117; negative for desmin |
NA |
NA |
|
Harindhanavudhi et al. 2009 [13] |
Fatigue and weakness |
Body |
A 16x11 cm solid cystic mass; positive for CD117, CD34 |
Exploratory laparotomy with cystojejunostomy and biopsy of cyst wall |
NA |
|
Present case |
Weakness, postprandial fullness and pain |
Head |
A 6.5x6.0 cm solid mass, with pleomorphic spindle cells; mitosis: 12-15/50 HPF; positive for CD117; negative for CD34, SMA, desmin, S100 and cytokeratins |
Whipple procedure; treated with imatinib on protocol |
Developed liver metastasis 24 months after surgery |
|
HPF: high-power fields; NA: not available; SMA; smooth muscle actin |
|||||
It is generally agreed that the most important prognostic factors for GISTs at all sites are the size of the tumor and the mitotic count. However, a low mitotic index and a small size do not absolutely guarantee a benign clinical course. Miettinen and Lasota have suggested guidelines for evaluating the biological potential of GISTs at various sites, based on the long-term follow-up of over 1,800 patients in the Armed Forces Institute of Pathology (AFIP; Washington, DC, USA) study [5]. These criteria propose separate guidelines for gastric and intestinal tumors. It has also been suggested that GISTs arising at other anatomical sites should probably be stratified in a similar fashion to small bowel tumors. According to Miettinen and Lasota, the present case belongs in a high risk category [5]. There is limited data with regards to predicting the malignant potential of EGIST. There are few data with respect to clinicopathological factors of EGISTs which predict patient prognosis. Reith et al. analyzed 48 EGISTs in order to determine their similarity to tumors arising from the gastrointestinal tract [4]. A large percentage of the patients in their study developed metastatic disease or died from tumors within a short period, suggesting that EGISTs are aggressive and are, therefore, more similar to GISTs located in the distal gastrointestinal tract [4].
In summary, we presented a rare case of high risk malignant pancreatic EGIST. Although uncommon in the pancreas, GISTs should be considered in the differential diagnosis of solid pancreatic masses.
Received January 10th, 2011 - Accepted February 9th, 2011
Key words Gastrointestinal Stromal Tumors; Pancreas; Proto-Oncogene Proteins c-kit
Abbreviations CECT: contrast enhanced computerized tomography; EGIST: extra-gastrointestinal stromal tumor; GIST: gastrointestinal stromal tumor; SMA; smooth muscle actin
Conflict of interest None
Financial disclosure None
Correspondence
Vinita
Agrawal
Department of Pathology
Sanjay Gandhi Postgraduate Institute of Medical Sciences
Rae Bareli Road
Lucknow 226014
Uttar Pradesh
India
Phone: +91-522.249.4253
Fax: +91-522.266.8078
E-mail: vinita.agrawal15@gmail.com; vinita@sgpgi.ac.in
References
1. Hirota S, Isozaki K, Moriyama Y, Hashimoto K, Nishida T, Ishiguro S, et al. Gain of function mutations of c-kit in human gastrointestinal stromal tumors. Science 1998; 279:577-80. [PMID 9438854]
2. Sarlomo-Rikala M, Kovatich AJ, Barusevicius A, Miettinen M. CD117: a sensitive marker for gastrointestinal stromal tumors that is more specific than CD34. Mod Pathol 1998; 11:728-34. [PMID 9720500]
3. Joensuu H, Roberts PJ, Sarlomo-Rikala M, Andersson LC, Tervahartiala P, Tuveson D, et al. Effect of the tyrosine kinase inhibitor STI571 in a patient with a metastatic gastrointestinal stromal tumor. N Engl J Med 2001; 344:1052-1056. [PMID 11287975]
4. Reith JD, Goldblum GR, Lyles RH, Weiss SW. Extragastrointestinal (soft tissue) stromal tumors: an analysis of 48 cases with emphasis on histologic predictors of outcome. Mod Pathol 2000; 13:577-85. [PMID 10824931]
5. Miettinen M, Lasota J. Gastrointestinal stromal tumors: pathology and prognosis at different sites. Semin Diagn Pathol 2006; 23:70-83. [PMID 17193820]
6. Miettinen M, Monihan JM, Sarlomo-Rikala M, Kovatich AJ, Carr NJ, Emory TS, Sobin LH. Gastrointestinal stromal tumors/smooth muscle tumors (GISTs) primary in the omentum and mesentery: clinicopathologic and immunohistochemical study of 26 cases. Am J Surg Pathol 1999; 23:1109-18. [PMID 10478672]
7. Neto MR, Machuca TN, Pinho RV, Yuasa LD, Bleggi-Torres LF. Gastrointestinal stromal tumor: report of two unusual cases. Virchows Arch 2004; 444:594-6. [PMID 15118853]
8. Yamaura K, Kato K, Miyazawa M, Haba Y, Muramatsu A, Miyata K, Koide N. Stromal tumor of the pancreas with expression of c-kit protein: report of a case. J Gastroenterol Hepatol 2004; 19:467-70. [PMID 15012791]
9. Krska Z, Pesková M, Povýsil C, Horejs J, Sedlácková E, Kudrnová Z. GIST of pancreas. Prague Med Rep 2005; 106:201-8. [PMID 16315768]
10. Daum O, Klecka J, Ferda J, Treska V, Vanecek T, Sima R, et al. Gastrointestinal stromal tumor of the pancreas: case report with documentation of KIT gene mutation. Virchows Arch 2005; 446:470-472. [PMID 15756592]
11. Showalter SL, Lloyd JM, Glassman DT, Berger AC. Extra-gastrointestinal stromal tumor of the pancreas: case report and a review of the literature. Arch Surg 2008; 143:305-8. [PMID 18347279]
12. Yan BM, Pai RK, Van Dam J. Diagnosis of pancreatic gastrointestinal stromal tumor by EUS guided FNA. JOP. J Pancreas (Online) 2008; 9:192-6. [PMID 18326928]
13. Harindhanavudhil T, Tanawuttiwat1 T, Pyle J, Silva R. Extra-gastrointestinal stromal tumor presenting as hemorrhagic pancreatic cyst diagnosed by EUS-FNA. JOP. J Pancreas (Online) 2009; 10:189-91. [PMID 19287116]
14. Agaimy A, Wunsch PH. Gastrointestinal stromal tumours: a regular origin in the muscularis propria, but an extremely diverse gross presentation. A review of 200 cases to critically re-evaluate the concept of so-called extra-gastrointestinal stromal tumours. Langenbecks Arch Surg 2006; 391:322-9. [PMID 16402273]
15. Popescu LM, Hinescu M, Ionescu N, Ciontea SM, Cretoiu D, Ardelean C. Interstitial cells of Cajal in pancreas. J Cell Mol Med. 2005; 9(1): 169-190. [PMID 15784175]