CASE REPORT
JOP. J Pancreas (Online) 2011 Jan 5; 12(1):32-36.
Metastatic Pulmonary Adenocarcinoma 6 Years After Curative Resection for Ampullary Adenocarcinoma. Metastatic Disease from Initial Primary or Metachronous Tumour?
Alexandros Giakoustidis, P Thomas Cherian, Yoh Zen, Wayel Jassem, Andreas Prachalias, Parthi Srinivasan, Nigel D Heaton, Mohamed Rela
Institute of Liver Studies, King’s College Hospital. London, United Kingdom
ABSTRACT
Context With patients surviving longer after pancreatic resection, the challenges now is the management of the unresolved longer-term issues. Case report A 53-year-old woman with painless obstructive jaundice, underwent a pylorous preserving pancreaticoduodenectomy for a pT3N0M0 ampullary adenocarcinoma in 2001 (patchy chronic pancreatitis with mucinous metaplasia of background pancreatic duct epithelium and acinar atrophy were noted). Despite adjuvant chemotherapy, at month 54 she required a pulmonary wedge resection for metastatic adenocarcinoma, followed by a pulmonary relapse at 76 months when she underwent 6 neoadjuvant cycles of gemcitabine/capecitabine and a left pneumonectomy. Finally 7 years after the initial Whipple’s, a single 18F fluorodeoxyglucose (FDG) avid pancreatic tail lesion led to completion pancreatectomy for a well-differentiated ductal adenocarcinoma with clear resection margins albeit peripancreatic adipose tissue infiltration. On review all resected tumour cells had identical immunophenotype (CK7+/CK20-/MUC1+/MUC2-) as that of the primary. She is currently asymptomatic on follow-up. Conclusions These findings suggest that in selected cases even in the presence of pulmonary metastasis, repeat resections could result in long-term survival of patients with metachronous ampullary cancer. Second, even ampullary tumours maybe should be regarded as index tumors in the presence of ductal precursor lesions in the resection specimen. Three distant metastases, particularly if long after the initial tumour, should instigate a search for metachronous tumour, especially in the presence of field change in the initial specimen. Risk-adapted follow-up protocols with recognition of such factors could result in cost-effective surveillance and potentially improved outcomes.
INTRODUCTION
Carcinoma of the ampulla of Vater accounts for 14.5% of pancreaticoduodenectomies [1, 2]. Ampullary carcinomas, following pancreaticoduodenectomy, have a relatively favourable prognosis compared with other periampullary neoplasms, such as those of the pancreatic head or distal bile duct [3, 4]. However, relapses if they occur are most commonly in liver, lymph nodes, peritoneum, lungs and bones with metachronous recurrences within the pancreas being relatively uncommon maybe with the exception of intraductal papillary mucinous tumors (IPMT) [5].
We could find only two cases of metachronous recurrences in the non IPMT cohorts following initial pancreatectomy in the literature. In one, recurrence was at 22 months after pancreatectomy for ductal adenocarcinoma [6, 7]. We present a case of a metachronous ductal pancreatic adenocarcinoma 7 years after Whipple’s procedure for an ampullary cancer punctuated by two lung relapses in the interval, all of which with an identical immunophenotype. With recent evidence that histological subtypes as differentiated by immunohistochemistry are useful in estimating prognosis, our case highlights some important issues.
CASE REPORT
In 2001 a 53-year-old female was admitted with painless, obstructive jaundice, nausea and progressive renal dysfunction. As a CT scan had confirmed bile duct dilatation with multiple gallbladder stones and a pancreas of normal appearance, she had undergone ERCP and common bile duct stone extraction at the referring hospital, without however improvement of her jaundice. Subsequent liver biopsy showed centrilobular intrahepatocytic cholestasis and 80% steatosis. However repeat ERCP at our centre revealed a 2 cm irregular stricture at the level of the ampulla and biopsy confirmed papillary adenocarcinoma. The CA 19-9 and CEA levels were 125 U/mL (reference range: 0-5 U/mL) and less than 2 µg/L (reference range: 0-2.5 µg/L), respectively.
The patient underwent a pylorous preserving pancreaticoduodenectomy and histology confirmed a well differentiated adenocarcinoma arising in the mucosa of ampulla of Vater, with invasion of the seromuscularis externa, soft tissue and perineural space of pancreaticoduodenal sulcus and juxtaduodenal pancreas. Bile duct, duodenal, pancreatic and vascular resection margins, and pancreaticoduodenal lymph nodes were free of tumour. Immunohistochemistry revealed positivity for cytokeratin (CK) 7 and mucin core protein (MUC) 1, and negativity for MUC2 and CK20, appearances consistent with the pancreatobiliary subtype of ampullary carcinoma (Figure 1). Interestingly foci of mucinous metaplasia, of pancreatic duct epithelium corresponding to PanIN-1A, of the pancreatic duct epithelium with patchy chronic pancreatitis and acinar atrophy, were observed at the pancreatic resection margin (Figure 2a). The tumour was characterized as pT3, pN0, pM0.

|
Figure 1. Histopathology of ampullary, lung, and pancreatic cancers. All three tumours consist of well differentiated adenocarcinoma forming papillo-tubular glandular structures. All tumours have an immunophenotype CK7+/CK20-/MUC1+/MUC2-. All images: x200. |


|
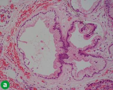
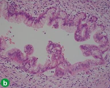
Figure 2. Pancreatic intraepithelial neoplasia observed in pancreatectomy specimens. a. A pancreatic duct in the Whipple specimen shows mucinous hyperplasia with minimal cellular atypia. b. A duct adjacent to the mass in the distal pancreatectomy specimen exhibits mucinous metaplasia, papillary folding, and nuclear atypia. All images: H&E, x400. |
After an uneventful postoperative recovery and discharge on day 14, she received 12 cycles of adjuvant gemcitabine/oxaliplatin chemotherapy. At a follow-up of 52 months, without elevation in tumour markers (CA 19-9 less than 30 U/mL), a surveillance CT demonstrated a speculated 11x12 mm nodule in the left upper lobe, confirmed also with a single 18F fluorodeoxyglucose (FDG) avid lesion on positron emission tomography (PET). She underwent a left upper lobe wedge resection, which revealed a 8 mm, nodular adenocarcinoma with immunohistochemical staining showing strong positivity of the tumor cells for CK7 and MUC1 but CK20, MUC2 and thyroid transcription factor-1 negative (Figure 1); an immunoprofile again consistent with the diagnosis of metastatic adenocarcinoma. Fourteen months after the wedge resection, CA 19-9 level rose to 40 U/mL and subsequent imaging revealed a relapse of the pulmonary metastasis. The patient was commenced on neo-adjuvant chemotherapy (6 cycles of gemcitabine/capecitabine), and underwent a left pneumonectomy 76 months after index procedure.
Finally 7 years after the initial pylorous-preserving Whipple’s for ampullary cancer, the patient developed a further single, FDG avid lesion in the tail of the pancreas, which led to completion pancreatectomy and splenectomy, when histology confirmed a 28 mm well-differentiated ductal adenocarcinoma, with infiltration of the peripancreatic adipose tissue and perineural spaces. Resection margins were clear and a single lymph node was tumor free. Tumour cells had the immunophenotype CK7+/CK20-/MUC1+/MUC2-, same as the ampullary and lung tumors (Figure 1). Interestingly, small pancreatic ducts around the tumour showed dysplastic features corresponding to PanIN-2 or -3 in places (Figure 2).
DISCUSSION
Histology confirmed metachronous pancreatic tumors following pancreaticoduodenectomy are rare with only two cases to our knowledge, having been described in the literature. In one case a patient had undergone pancreaticoduodenectomy for papillary ductal adenocarcinoma, and then required completion pancreatectomy 22 months later for multiple low-density lesions in the body and tail of the pancreas without any other distant metastasis [6]. In another, a resectable carcinoma of the pancreatic head, developed 7 years and 4 months after the patient had undergone distal pancreatectomy for carcinoma of the pancreatic tail [7]. In addition we found a single case of a synchronous ampullary adenocarcinoma (tumors developing in the major as well as in the minor papilla), but no reports of metachronous ampullary adenocarcinoma [8].
Ampullary adenocarcinoma has the best prognosis of all pancreatic and periampullary tumors, with a median survival of 58.8 months in patients who are able to undergo pancreaticoduodenectomy and a 5-year survival ranging between 30% and 60% [9, 10, 11]. However, despite this good prognosis, up to half of the patients with ampullary adenocarcinoma still succumb to relapses even after R0 resections [5]. The most common sites of metastasis after resection for ampullary cancer are the liver (53-67%), lymph nodes (28-60%), lung (21%), peritoneum (20%) and bones (13-17%). The incidence of locoregional metastasis ranges from 33% to 60%, but is usually combined with distant metastasis [5, 12]. Unfortunately, post-operative adjuvant radiotherapy or chemotherapy even in combination has failed to demonstrate any survival benefits, when compared to surgery alone [13, 14, 15, 16]. Although with advances in chemotherapy these outcomes are likely to change, one of the current pre-requisites for good outcomes would have to be early detection of recurrences with careful follow-up, and subsequent surgical re-resection if appropriate. In order to achieve this goal whilst keeping inevitable patient anxiety and health care costs to a minimum, awareness of recurrence patterns and understanding of tumour biology is critical. This report re-highlights two or three factors that could be utilised to achieve cost-effective surveillance.
In a study of post-resectional recurrence in ampullary cancers, Hsu et al. found that only 46% patients survived without evidence of recurrence at median follow-up of 65 months, while 37 patients (29%) developed recurrent disease within 12 months. After multivariate analysis, positive resection margin, pancreatic invasion and lymph node involvement were significant predictors for disease recurrence with lymph node involvement being the main differentiating predictor between the late and early recurrence groups (P=0.02) [12]. Others have also noted that prognostic factors for predicting recurrence and overall survival include tumour size, resection margin, nodal status and tumour grade, again with lymph node involvement being reported to be the most important predictor of survival in these cancers [2, 17]. In the current case the lymph nodes were free of disease and the resection margins were clear with a more than 1 cm tumour at the index operation. However two other factors could have been of relevance, i.e. type of tumour and the background pancreas.
Despite past literature grouping all ampullary tumours as one entity, we now know that ampullary tumours are of two distinct types, each with differing post-resectional prognosis, depending on the pathogenetic mucosa of origin [18]. This histopathological differentiation arises from the fact that the ampulla is the meeting point of two different types of mucosa, i.e. an intestinal mucosa from the duodenum adjoining the pancreatobiliary mucosa of the common channel leading to Kimura et al. classifying ampullary tumours into an intestinal and a pancreatobiliary type [19]. More recently immunostains has been used to objectively differentiate and characterize these cell lines. Pancreaticobiliary-type adenocarcinomas nearly always express CK7 and are negative for the intestinal apomucin MUC2. Additionally in a great majority of cases they are negative for CK20. This marker spectrum is that of the normal pancreaticobiliary epithelium and that of the epithelium of the peripapillary glands of the papilla of Vater. Intestinal-type adenocarcinomas contain in their majority, CK20 and apomucin MUC2, and are often negative for CK7, similar to the characteristics of the intestinal epithelium. In addition positivity for caudal home box gene transcription factor-2 (CDX2) excludes the pancreatobiliary subtype, and positivity for MUC1 and CK17 excludes the intestinal subtype [18, 20]. Heinrich and Clavien have suggested that this histological differentiation of periampullary cancer is more important than anatomical location [20]. A worse prognosis for the resected tumours of the pancreaticobiliary type has been noted in comparison to the intestinal-type ampullary adenocarcinomas, with a more aggressive local spread secondary probably to more frequent lymph node involvement [19, 21, 22]. Accordingly, in our report the initial tumour was of pancreaticobiliary origin and therefore in the higher risk cohort for recurrence.
The second factor of relevance is the background parenchyma of the pancreatic remnant. Susceptibility of ductal pancreatic epithelium to undergo malignant transformation has been noted before. IPMT of the pancreas is an example of a pathological processes within the pancreas well recognised to have on-going malignant potential, with high rates of recurrent tumours within the remnant pancreas post resection, revealing the multicentric or metachronous oncogenesis of IPMT [23]. Yamaguchi et al. reported that 10% of IPMT had synchronous and metachronous occurrence of invasive cancer of the pancreas at a different site from that of the IPMT [24]. In another review of patterns of recurrence of IPMTs, 5% patients recurred during the follow-up period, and underwent a second operation in a study by Yokoyama et al. [25]. Although histopathological findings in the first operation were adenomas in two and carcinomas in three, all patients had developed carcinoma by the time of the second operation. No hyperplasia developed recurrence. Metachronous multicentric recurrence was suspected in 4% cases despite histologically negative surgical margins [25]. Furthermore, even most non-IPMT papillary adenocarcinomas are said to arise from adenomatous or dysplastic precursor lesions.
In our patient, the initial pancreaticoduodenectomy was performed as a curative resection and the lymph nodes were free of metastasis. On the other hand, the Whipple specimen showed focal mucinous metaplasia in the pancreatic duct, which could possibly explain a malignant potential that may have triggered the development of a metachronous tumour of the tail of the pancreas; a theory supported by the presence of multiple foci of dysplastic glands in the final distal pancreatectomy specimen. It could be postulated that manifestation of such progression towards malignancy in the remnant pancreas might be a more commonplace finding; however, the survival post-Whipple’s is often short, as for example Katz et al. indicate a median overall survival of 23.9 months for patients with pancreatic cancer that underwent resection [26]. The fact that our patient stayed alive for 7 years after the initial resection, we feel allowed this slow field change to develop into frank malignancy. This point has clinical significance as it suggests that contrary to current practice, surveillance even beyond 5 years after pancreatic resections might be important to pick up patients who fall into this particular cohort. Additionally it should be noted, that elements of chronic pancreatitis, noted on histologic analysis of specimen, has been reported as a risk factor for synchronous or metachronous pancreatic cancer as it can interrupt normal cellular homeostasis, trigger initiation and expansion of neoplasia [27, 28].
The fact that the background changes in the distal pancreatectomy specimen were worse in comparison to the Whipple specimen 7 years earlier, potentially suggests that genetic changes could work synergistically with extrinsic factors to create progression of the precursor lesions to a premalignant state. As a consequence the current case becomes an example of the potential significance of malignant transformation in precursor lesions, raising the point that maybe even ampullary tumours should be regarded as an index tumours in the presence of such field change [29]. Therefore we believe that risk-adapted follow-up protocols specific to individual patients with particular attention to the background carcinogenic milieu in the histology of resection specimens might lead to cost effective surveillance even in pancreatic cancers.
Finally it is also interesting to note that given the sequence and timing of recurrences in the current case, it is possible or even a likelihood that the two lung metastasis originated from the metachronous tail of pancreas tumour rather than from the initial ampullary lesion 5 years preceding the event. Obviously, whilst the converse may well be true, we believe that this case should raise awareness of the possibility that occasionally distant metastasis particularly if long after the initial tumour, might be due to metachronous tumour especially in the presence of such field change in the initial specimen and should trigger a search for the same.
Received September 5th, 2010 - Accepted October 14th, 2010
Key words Adenocarcinoma; Ampulla of Vater; Lung; Neoplasm Metastasis; Neoplasms, Second Primary; Outcome Assessment (Health Care)
Disclosure None of the authors have vested commercial affiliation that could be construed as conflict of interest with regards to this data or manuscript, nor did the study utilise external grants or funds for its conduction
Correspondence
P
Thomas Cherian
Institute of Liver Studies
Kings College Hospital
Denmark Hill
London
United Kingdom, SE5 9RS
Phone: +44.203.299.4801
Fax: +44-203.299.3575
E-mail: liversurg@live.co.uk
References
1. Cameron JL, Riall TS, Coleman J, Belcher KA. One thousand consecutive pancreaticoduodenectomies. Ann Surg 2006; 244:10-5. [PMID 16794383]
2. Sommerville CA, Limongelli P, Pai M, Ahmad R, Stamp G, Habib NA, et al. Survival analysis after pancreatic resection for ampullary and pancreatic head carcinoma: an analysis of clinicopathological factors. J Surg Oncol 2009; 100:651-6. [PMID 19722229]
3. Sarmiento JM, Nagomey DM, Sarr MG, Farnell MB. Periampullary cancers: are there differences? Surg Clin North Am 2001; 81:543-55. [PMID 11459270]
4. Schmidt CM, Powell ES, Yiannoutsos CT, Howard TJ, Wiebke EA, Wiesenauer CA, et al. Pancreaticoduodenectomy: a 20-year experience in 516 patients. Arch Surg 2004; 139:718-27. [PMID 15249403]
5. Todoroki T, Koike N, Morishita Y, Kawamoto T, Ohkohchi N, Shoda J, et al. Patterns and predictors of failure after curative resections of carcinoma of the ampulla of Vater. Ann Surg Oncol 2003; 10:1176-83. [PMID 14654474]
6. Wada K, Takada T, Yasuda H, Amano H, Yoshida M. A repeated pancreatectomy in the remnant pancreas 22 months after pylorus-preserving pancreatoduodenectomy for pancreatic adenocarcinoma. J Hepatobiliary Pancreat Surg 2001; 8:174-8. [PMID 11455476]
7. Eriguchi N, Aoyagi S, Imayama H, Okuda K, Hara M, Fukuda S, et al. Resectable carcinoma of the pancreatic head developing 7 years and 4 months after distal pancreatectomy for carcinoma of the pancreatic tail. J Hepatobiliary Pancreat Surg 2000; 7:316-20. [PMID 10982633]
8. Matheus AS, Jukemura J, Montagnini AL, Kunitake T, Patzina RA, da Cunha JE. Synchronous adenocarcinoma of the major and minor duodenal papilla. J Gastrointest Surg 2008; 12:1301-3. [PMID 17876672]
9. Chareton B, Coiffic J, Landen S, Bardaxoglou E, Campion JP, Launois B. Diagnosis and therapy for ampullary tumors: 63 cases. World J Surg 1996; 20:707-12. [PMID 8662157]
10. Beger HG, Treitschke F, Gansauge F, Harada N, Hiki N, Mattfeldt T. Tumor of the ampulla of Vater. Arch Surg 1999; 134:526. [PMID 10323425]
11. Howe JR, Klimstra DS, Moccia RD, Conlon KC, Brennan MF. Factors predictive of survival in ampullary carcinoma. Ann Surg 1998; 228:87-94. [PMID 9671071]
12. Hsu HP, Shan YS, Hsieh YH, Yang TM, Lin PW. Predictors of recurrence after pancreaticoduodenectomy in ampullary cancer: comparison between non-, early and late recurrence. J Formos Med Assoc 2007; 106:432-43. [PMID 17588836]
13. Klinkenbijl JH, Jeekel J, Sahmoud T, van Pel R, Couvreur ML, Veenhof CH, et al. Adjuvant radiotherapy and 5-fluorouracil after curative resection of cancer of the pancreas and periampullary region: phase III trial of the EORTC gastrointestinal tract cancer cooperative group. Ann Surg 1999; 230:776-82. [PMID 10615932]
14. Neoptolemos JP, Stocken DD, Friess H, Bassi C, Dunn JA, Hickey H, et al. A randomized trial of chemoradiotherapy and chemotherapy after resection of pancreatic cancer. N Engl J Med 2004; 350:1200-10. [PMID 15028824]
15. Bhatia S, Miller RC, Haddock MG, Donohue JH, Krishnan S. Adjuvant therapy for ampullary carcinomas: the Mayo Clinic experience. Int J Radiat Oncol Biol Phys 2006; 66:514-9. [PMID 16863684]
16. Sikora SS, Balachandran P, Dimri K, Rastogi N, Kumar A, Saxena R, Kapoor VK. Adjuvant chemo-radiotherapy in ampullary cancers. Eur J Surg Oncol 2005; 31:158-63. [PMID 15698732]
17. Bouvet M, Gamagami RA, Gilpin EA, Romeo O, Sasson A, Easter DW, Moossa AR. Factors influencing survival after resection for periampullary neoplasms. Am J Surg 2000; 180:13-17. [PMID 11036132]
18. Fischer HP, Zhou H. Pathogenesis of carcinoma of the papilla of Vater. J Hepatobiliary Pancreat Surg 2004; 11:301-9. [PMID 15549428]
19. Kimura W, Futakawa N, Yamagata S, Wada Y, Kuroda A, Muto T, Esaki Y. Different clinicpathologic findings in two histologic types of carcinoma of papilla of Vater. Jpn J Cancer Res 1994; 85:161-6. [PMID 7511574]
20. Heinrich S, Clavien PA. Ampullary cancer. Curr Opin Gastroenterol 2010; 26:280-5. [PMID 20168227]
21. Westgaard A, Tafjord S, Farstad IN, Cvancarova M, Eide TJ, Mathisen O, et al. Pancreatobiliary versus intestinal histologic type of differentiation is an independent prognostic factor in resected periampullary adenocarcinoma. BMC Cancer 2008; 8:170-74. [PMID 18547417]
22. Kopelson G. Curative surgery for adenocarcinoma of the pancreas/ampulla of Vater: the role of adjuvant pre or postoperative radiation therapy. Int J Radiat Oncol Biol Phys 1983; 9:911-5. [PMID 6408038]
23. Sho M, Nakajima Y, Kanehiro H, Hisanaga M, Nishio K, Nagao M, et al. Pattern of recurrence after resection for intraductal papillary mucinous tumors of the pancreas. World J Surg 1998; 22:874-8. [PMID 9673562]
24. Yamaguchi K, Ohuchida J, Ohtsuka T, Nakano K, Tanaka M. Intraductal papillary-mucinous tumor of the pancreas concomitant with ductal carcinoma of the pancreas. Pancreatology 2002; 2:484-90. [PMID 12378117]
25. Yokoyama Y, Nagino M, Oda K, Nishio H, Ebata T, Abe T, et al. Clinicopathologic features of re-resected cases of intraductal papillary mucinous neoplasms (IPMNs). Surgery 2007; 142:136-42. [PMID 17689677]
26. Katz MH, Wang H, Fleming JB, Sun CC, Hwang RF, Wolff RA, et al. Long-term survival after multidisciplinary management of resected pancreatic adenocarcinoma. Ann Surg Oncol 2009; 16:836-47. [PMID 19194760]
27. Wayne M, Cooperman A, Kasmin F, Cohen S, Dryska H, Ottaviano L, et al. Chronic pancreatitis with synchronous and metachronous malignancy: three unusual cases and a literature review. J Surg Educ 2007; 64:158-61. [PMID 17574177]
28. Greer JB, Whitcomb DC. Inflammation and pancreatic cancer: an evidence-based review. Curr Opin Pharmacol 2009; 9:411-8. [PMID 19589727]
29. Henson DE, Schwartz AM, Nsouli H, Albores-Saavedra J. Carcinomas of the pancreas, gallbladder, extrahepatic bile ducts, and ampulla of vater share a field for carcinogenesis: a population-based study. Arch Pathol Lab Med 2009; 133:67-71. [PMID 19123739]