CASE REPORT
JOP. J Pancreas (Online) 2011 Jan 5; 12(1):40-43.
Diabetic Ketoacidosis Preceding Thrombocytopenia Associated Multiple Organ Failure in a Child
Kamakshya P Patra, L Keith Scott
Department of Pediatrics, Louisiana State University Health Sciences Center. Shreveport, LA, USA
INTRODUCTION
Thrombocytopenia associated multiple organ failure is a poorly understood syndrome in critically-ill patients. New onset thrombocytopenia is an independent risk factor for a poor outcome in critically ill patients [1]. Thrombocytopenia associated multiple organ failure is an increasingly recognized spectrum of thrombotic microangiopathic disorders which include thrombotic thrombocytopenic purpura, consumptive disseminated intravascular coagulation, and non-consumptive thrombotic microangiopathy. It is defined by a clinical triad of new onset thrombocytopenia, multi organ dysfunction, and increased lactate dehydrogenase (LDH) [2]. It has been reported secondary to sepsis, toxins, autoimmune diseases, radiation, transplantation, malignancy and cardiovascular surgery [2]. We herein describe a 12-year-old girl who presented with diabetic ketoacidosis and acute pancreatitis preceding thrombocytopenia associated multiple organ failure. To the best of our knowledge this is the first case of diabetic ketoacidosis preceding thrombocytopenia associated multiple organ failure in a pediatric patient.
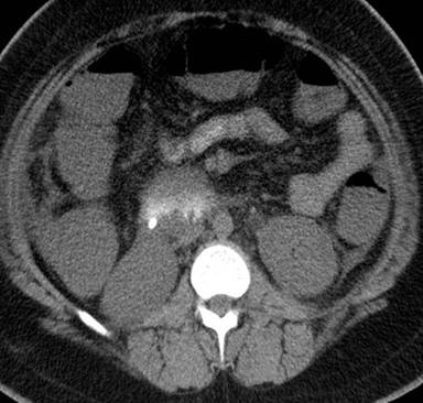
A 12-year-old previously healthy obese female presented with a 1-day history of progressive irritability and drowsiness. Her mother reported a 3-week history of polyuria, polydipsia and involuntary weight loss of 4.5 kg. She also complained of epigastric pain on the day of admission. On examination, she had tachypnea (with Kussmaul’s breathing), tachycardia and hypotension. She was drowsy and had moderate dehydration on assessment (6-9% fluid deficit). Investigations revealed hyperglycemia (511 mg/dL, reference range 74-106 mg/dL), acidosis (pH: 7.07, reference range 7.35-7.45; HCO: 3.5 mmol/L, reference range 21.0-32.0 mmol/L) and positive ketones and glucose in urine. She was started on fluid resuscitation and insulin therapy. Initial complete blood count showed a hemoglobin (15.7 g/dL, reference range 12-16 g/dL), leukocytosis (17,500 µL-1, reference range 4,500-13,500 µL-1), and a platelet count of 238,000 µL-1 (reference range 142,000-405,000 µL-1). Her ketoacidosis resolved within 24 hours and she was switched to subcutaneous insulin. Serum amylase and lipase were significantly elevated. Computed tomography (CT) scan of the abdomen demonstrated diffuse enlargement and hypoattenuation of pancreas with stranding of the peripancreatic fat and peripancreatic fluid collection, suggestive of pancreatitis (Figure 1). She continued to remain drowsy and was intermittently arousable to pain and verbal stimuli. A CT scan of the brain to rule out cerebral edema was negative. In spite of correction of dehydration, her blood urea nitrogen and creatinine were rising and she developed oliguria. Repeat complete blood count showed anemia (hemoglobin 10.6 g/dL), thrombocytopenia, and slight evidence of hemolysis (<5% schistocytes, reference range 0-5%). Her amylase and lipase were improving but LDH was slightly increased. Prothrombin time, plasma thromboplastin time, and fibrinogen were normal, while D-dimer was slightly elevated. In view of altered mental status, renal failure and thrombocytopenia, diagnosis of thrombocytopenia associated with multiple organ failure was considered. ADAMTS 13 (A Disintegrin And Metalloprotease with ThromboSpondin motifs; formerly known as von Willebrand factor cleaving-protease) activity was 52% (reference range: 70-150%). She was started on plasma exchange. She responded with 3 days of plasmapheresis with a dramatic improvement in her sensorium, renal function tests and platelet count. Table 1 shows the laboratory parameters of the patient at admission, before and after plasmapheresis.

|
Figure 1. CT abdomen showing diffuse enlargement and hypoattenuation of pancreas with stranding of the peripancreatic fat and peripancreatic fluid collection, suggestive of pancreatitis. |
|
Table 1. Summary of the selected laboratory parameters on admission, before and after plasmapheresis. |
||||
|
Lab parameter |
Reference range |
On admission |
Before plasmapheresis |
After plasmapheresis |
|
Hemoglobin (g/dL) |
12.0-16.0 |
15.7 |
10.6 |
12.3 |
|
White blood cells (µL-1) |
4,500-13,500 |
17,500 |
11,700 |
12,900 |
|
Platelets (µL-1) |
142,000-405,000 |
238,000 |
29,000 |
252,000 |
|
Prothrombin time (sec) |
11.3-15.2 |
- |
16.6 |
14.5 |
|
Plasma thromboplastin time (sec) |
24.7-35.5 |
- |
27.4 |
22.4 |
|
Fibrinogen (mg/dL) |
214-451 |
- |
386 |
305 |
|
D-dimer (mg/dL) |
0-0.50 |
- |
17.81 |
4.91 |
|
LDH (U/L) |
100-190 |
- |
1,349 |
100 |
|
Blood urea nitrogen (mg/dL) |
7-18 |
35 |
61 |
18 |
|
Creatinine (mg/dL) |
0.6-1.3 |
1.8 |
2.2 |
0.6 |
|
Amylase (U/L) |
25-115 |
782 |
126 |
37 |
|
Lipase (U/L) |
74-393 |
8,998 |
664 |
228 |
|
Peripheral blood smear |
- |
Normal |
Burr cell, schistocyte (<5%) |
Normal |
DISCUSSION
Thrombocytopenia associated multiple organ failure is a spectrum of microangiopathic syndromes which includes thrombotic thrombocytopenic purpura, disseminated intravascular coagulation and thrombotic microangiopathy. In clinical scenarios, there might be some overlap between the three phenotypes. Thrombotic thrombocytopenic purpura is clinically described by a pentad of fever, thrombocytopenia, abnormal neurological status/seizures, renal failure, and microangiopathic hemolytic anemia [3]. Its pathophysiology has been ascribed to a decreased ADAMTS 13 activity which results in large von Willibrand factor multimers leading to a massive platelet thrombosis in multiple organs, especially brain and kidneys [4]. Typically, these patients have less than 10% of normal ADAMTS 13 activity. Hemolytic uremic syndrome is differentiated from thrombotic thrombocytopenic purpura by the presence of a normal ADAMTS 13 activity. Non-consumptive secondary thrombotic microangiopathy is distinguished from thrombotic thrombocytopenic purpura by the absence or slight evidence of hemolysis on peripheral smear. Moreover, the ADAMTS 13 activity is moderately low (10-57%) as compared to thrombotic thrombocytopenic purpura (<5%) [2]. The treatment of secondary thrombotic microangiopathy includes management of the underlying predisposing condition. Plasma exchange is the cornerstone of therapy. It works via restoration of ADAMTS 13 activity and removal of ADAMTS 13 inhibitors, thereby improving organ function. Darmon et al. demonstrated a drastic reduction in mortality from 40% to 0% after use of plasma exchange [5].
A very few case reports of acute pancreatitis preceding thrombotic thrombocytopenic purpura/hemolytic-uremic syndrome have been reported [6, 7, 8, 9, 10, 11]. In each of these cases, pancreatitis preceded the diagnostic criteria of thrombotic thrombocytopenic purpura/hemolytic-uremic syndrome and there was no thrombocytopenia or microangiopathic hemolytic anemia when the pancreatitis was diagnosed. The pancreatitis was resolving as evident by improving serum amylase levels, when the signs of thrombotic thrombocytopenic purpura/hemolytic-uremic syndrome first appeared. Most of these cases were described in adults. To the best of our knowledge this is the first case of diabetic ketoacidosis preceding thrombocytopenia associated multiple organ failure in pediatric age group.
Swisher et al. reported five adult patients who developed acute episodes of thrombotic thrombocytopenic purpura/hemolytic-uremic syndrome syndromes 1-13 days after the diagnosis of acute pancreatitis. Each of them had a recognized etiology for acute pancreatitis (choledocholithiasis or alcoholism), no evidence of hemolysis or thrombocytopenia at the time of diagnosis of acute pancreatitis and normalization of serum amylase levels at the time of diagnosis of thrombotic thrombocytopenic purpura/hemolytic-uremic syndrome. They also defined criteria to derive a “possible” or “probable” relation for acute pancreatitis as a trigger for thrombotic thrombocytopenic purpura/hemolytic-uremic syndrome. Sixteen previously described case reports in which acute pancreatitis preceded thrombotic thrombocytopenic purpura/hemolytic-uremic syndrome are also reviewed. One-fourth of these patients did not have any definite etiology for acute pancreatitis [6].
Mas et al. described a case of thrombotic angiopathy in a 12-year-old boy following trauma-induced pancreatitis. Upper gastrointestinal endoscopy revealed vasculitis-like lesions. He improved only after initiation of plasmapheresis [8].
Acute pancreatitis is seen in about 2% children with diabetic ketoacidosis [12]. The incidence is higher in adults and the magnitude of pancreatic enzyme elevation is directly proportional to diabetic disequilibrium. Diabetic ketoacidosis causes intense dysregulation of inflammatory cytokines (IL-10, IL-6, IL-2, IL-8, TNFalpha, IL-1beta) which leads to capillary perturbation [13]. Studies have shown a profound increase in factor VIII antigen and von Willebrand factor in diabetic ketoacidosis, reflecting endothelial damage [14]. This can presumably result in thrombotic microangiopathy. Similarly, acute pancreatitis is associated with endothelial damage and massive cytokine release [15]. Thrombotic thrombocytopenic purpura has been described both as a cause and effect of acute pancreatitis [16]. Given the rarity of the condition, it is difficult to solve the “chicken or egg” conundrum.
CONCLUSION
This case describes a hitherto unreported complication of diabetic ketoacidosis: thrombocytopenia associated multiple organ failure. Physicians should consider the condition in any patient with diabetic ketoacidosis or pancreatitis presenting with renal failure and thrombocytopenia. It includes three clinical phenotypes: thrombotic thrombocytopenic purpura, consumptive disseminated intravascular coagulation, and non-consumptive thrombotic microangiopathy. Non-consumptive secondary thrombotic microangiopathy is distinguished from thrombotic thrombocytopenic purpura by the absence of hemolysis on peripheral smear and higher ADAMTS 13 activity. Plasmapheresis is the cornerstone of therapy and restores the homeostasis of procoagulant-anticoagulant factors.
Received September 1st, 2010 - Accepted November 2nd, 2010
Key words ADAMTS13 protein, human; Diabetic Ketoacidosis; Pancreatitis; Plasmapheresis; Thrombotic Microangiopathies
Abbreviations ADAMTS 13: A Disintegrin And Metalloprotease with ThromboSpondin type 1 repeats number 13
Conflicts of interest The authors have no potential conflicts of interest
Correspondence
Kamakshya
P Patra
Department of Pediatrics
Louisiana State University Health Sciences Center
Shreveport 71130, LA
USA
Phone: +1-318.415.9405
Fax: +1-318.675.6059
E-mail: kpeds2008@gmail.com
References
1. Baughman RP, Lower EE, Flessa HC, Tollerud DJ. Thrombocytopenia in the intensive care unit. Chest 1993; 104:1243-7. [PMID 8404200]
2. Nguyen TC, Carcillo JA. Bench-to-bedside review: thrombocytopenia-associated multiple organ failure-a newly appreciated syndrome in the critically ill. Crit Care 2006; 10:235-42. [PMID 17096864]
3. Moake JL. Thrombotic microangiopathies. N Engl J Med 2002; 347:589-600. [PMID 12192020]
4. Furlan M, Lammle B. Aetiology and pathogenesis of thrombotic thrombocytopenic purpura and haemolytic uraemic syndrome: the von Willebrand factor-cleaving protease. Best Pract Res Clin Haematol 2001; 14:437-54. [PMID 11686108]
5. Darmon M, Azoulay E, Thiery G, Ciroldi M, Galicier L, Parquet N, et al. Time course of organ dysfunction in thrombotic microangiopathy patients receiving either plasma perfusion or plasma exchange. Crit Care Med 2006; 34:2127-33. [PMID 16763519]
6. Swisher KK, Doan JT, Vesely SK, Kwaan HC, Kim B, Lammle B, et al. Pancreatitis preceding acute episodes of thrombotic thrombocytopenic purpura-hemolytic uremic syndrome: report of five patients with a systematic review of published reports. Hematologica 2007; 92:936-43. [PMID 17606444]
7. Silva VA. Thrombotic thrombocytopenic purpura/hemolytic uremic syndrome secondary to pancreatitis. Am J Hematol 1995; 50:53-6. [PMID 7668225]
8. Mas E, Azéma C, Breton A, Decramer S, Fournié-Gardini E, Broué P, Olives JP. Thrombotic microangiopathy in a child with acute pancreatitis. J Pediatr Gastroenterol Nutr 2007; 44:149-51. [PMID 17204970]
9. Sinha A, Rai R. Hemolytic uremic syndrome following acute pancreatitis. JOP. J Pancreas (Online) 2005; 6:365-8. [PMID 16006689]
10. Vergaara M, Modolell I, Puig-Divi V, Guarner L, Malagelada JR. Acute pancreatitis as a triggering factor for thrombotic thrombocytopenic purpura. Am J Gastroenterol 1998; 93:2215-18. [PMID 9820399]
11. Piton G, Navellou JC, Morati P, Patry C, Carbonnel F, Capellier G. Thrombotic thrombocytopenic purpura associated with severe acute pancreatitis in a context of decreased ADAMTS13 activity: a case report. Eur J Gastroenterol Hepatol 2008; 20:1226-30. [PMID 18989146]
12. Haddad NG, Croffie JM, Eugster EA. Pancreatic enzyme elevations in children with diabetic ketoacidosis. J Pediatr 2004; 145:122-4. [PMID 15238920]
13. Hoffman WH, Burek CL, Waller JL, Fisher LE, Khichi M, Mellick LB. Cytokine response to diabetic ketoacidosis and its treatment. Clin Immunol 2003; 108:175-81. [PMID 14499240]
14. Greaves M, Pickering C, Knight G, Boulton AJ, Ball J, Ward JD, Preston FE. Changes in the Factor VIII complex in diabetic ketoacidosis: evidence of endothelial cell damage? Diabetologia 1987; 30:160-5. [PMID 3108060]
15. Bhatia M, Wong FL, Cao Y, Lau HY, Huang J, Puneet P, Chevali L. Pathophysiology of acute pancreatitits. Pancreatology 2005; 5:5132-44. [PMID 15849484]
16. Muniz AE, Barbee RW. Thrombotic thrombocytopenic purpura presenting as pancreatitis. J Emerg Med 2003; 24:407-11. [PMID 12745043]