CASE REPORT
JOP. J Pancreas (Online) 2011 Jan 5; 12(1):44-46.
Pancreatic Cyst Aspirate CEA Levels: Two’s the Charm
John Y Nasr, Kevin McGrath
Department of Gastroenterology, Hepatology and Nutrition; University of Pittsburgh Medical Center. Pittsburgh, PA, USA
ABSTRACT
Context Pancreatic cysts are increasingly detected incidentally, many of which are premalignant. Despite EUS-FNA and CEA level measurement, the diagnosis of a premalignant cyst may remain uncertain. Case report We report two cases of incidentally found pancreatic cysts where initial EUS-FNA cyst aspirates yielded thin fluid with very low CEA levels. Repeat aspirations one year later revealed markedly different results (slightly viscous fluid with significantly elevated CEA levels) which prompted surgical resection in both cases. Final surgical pathology revealed mucinous cystic neoplasms. Conclusion Pancreatic cyst fluid CEA levels may increase over time, possibly due to neoplastic progression. A heightened index of suspicion for a neoplastic cyst should remain in the appropriate patient population, despite conflicting data. In cases of initial low aspirate CEA levels, we recommend a repeat EUS-FNA at a later date to exclude a premalignant lesion.
INTRODUCTION
Pancreatic cysts are being detected at an increasing rate with many found incidentally during routine imaging for unrelated indications [1, 2]. Mucinous cysts, which carry malignant potential, are most common today and thus it is recommended that pancreatic cysts undergo EUS-FNA for diagnostic purposes, as morphology alone is unreliable [3, 4, 5, 6]. Aspirate cytology is specific, but lacks sensitivity. An elevated cyst fluid CEA level is the most accurate tumor marker for diagnosing a mucinous cyst, whereas pseudocysts and serous cystadenomas have low to absent CEA levels [7]. It is currently recommended that all mucinous cystic neoplasms undergo surgical resection given the malignant risk [8]; therefore, it is important to differentiate these from other cystic lesions, which may have benign natural histories and can be followed conservatively. Short of surgical pathology, pancreatic cysts can still present a diagnostic dilemma. We present two cases of mucinous cystic neoplasm, where initial aspirate CEA levels were very low; however, subsequent levels were markedly elevated and prompted surgical resection.
CASE SERIES
Patient #1
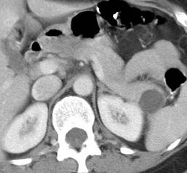
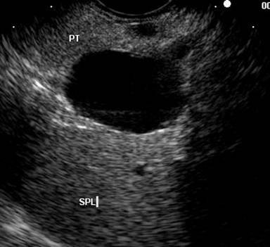
A 45-year-old female was referred for evaluation of an incidental cystic lesion in the tail of the pancreas (Figure 1). Initial EUS examination revealed a 29x18 mm unilocular cyst in the tail of the pancreas (Figure 2). EUS-FNA yielded a clear watery fluid with a CEA level of 7.4 ng/mL and an elevated amylase level of 158,464 IU/L. Cytology revealed rare macrophages with debris; a mucicarmine stain was negative. The results were felt to be most consistent with a pseudocyst; however, there was no history of pancreatitis. Surveillance EUS was recommended and was performed one year later. This exam revealed a 36x30 mm anechoic cyst with a very small septation. The cyst aspirate was clear but slightly viscous, with an elevated CEA level of 457 ng/mL. Cytology again revealed macrophages and degenerated cells with a negative mucicarmine stain. A mucinous cystic neoplasm was suspected, and the patient underwent uneventful laparoscopic resection. Final surgical pathology revealed a mucinous cystic neoplasm with focal borderline features (Figure 3).

|
Figure 1. CT scan of unilocular cyst within the tail of the pancreas. (Patient #1). |

|
Figure 2. Initial EUS revealing a 29 mm cyst in the pancreatic tail. (Patient #1). PT: pancreatic tail; SPL: spleen |

|
Figure 3. Gross pathology image of the resected mucinous cystic neoplasm. (Patient #1). |
Patient #2
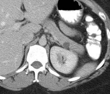
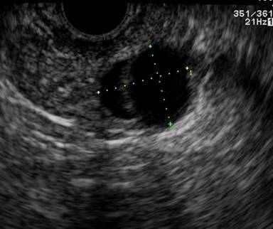
A 42-year-old female was referred for evaluation of an incidental pancreatic tail cyst found on CT (Figure 4). Initial EUS assessment revealed a 17x10 mm anechoic and thinly septated cyst. The FNA aspirate was a thin clear fluid with a CEA level of 9.4 ng/mL. Cytology revealed a few clusters of bland epithelial cells (mucicarmine negative) and debris. Given the possibility that this could still represent a mucinous cystic neoplasm, surveillance EUS was recommended. One year later, EUS revealed a 15x12 mm thinly septated cyst (Figure 5); however, the fluid was slightly viscous, with an elevated CEA level of 9,646 ng/mL. Cytology revealed numerous hemosiderin-laden histiocytes and rare ductal epithelial cells. Given suspicion for mucinous cystic neoplasm, the patient underwent laparoscopic resection, and surgical pathology verified a mucinous cystic neoplasm with low grade dysplasia.

|
Figure 4. CT scan of a small cyst in the pancreatic tail. (Patient #2). |

|
Figure 5. Corresponding EUS image revealing a finely septated 15 mm pancreatic cyst. (Patient #2). |
DISCUSSION
Despite cross-sectional imaging, EUS, FNA cytology and cyst fluid tumor marker evaluation, pancreatic cysts can still pose a diagnostic dilemma. As the accuracy of an elevated CEA level (greater than 198 ng/mL) is only 79% [7], one in five pancreatic cysts with non-elevated CEA levels may still be mucinous, and thus premalignant. Demographic knowledge of the spectrum of pancreatic cysts is important, as it may raise clinical suspicion despite conflicting data.
Mucinous cystic neoplasms are exclusive to women, and are found most commonly in the pancreatic body or tail. The majority is septated but a unilocular variety also exists. Given the malignant potential, it is recommended that all mucinous cystic neoplasms undergo resection in appropriate surgical candidates [9, 10], as the five-year cure rate is 100% following resection of benign or borderline lesions [11, 12].
It is important to accurately differentiate pancreatic cysts preoperatively, as lesions such as serous cystadenomas, lymphoepithelial cysts and retention cysts may be managed conservatively unless symptoms arise. In this technologic era, we should be able to avoid unnecessary pancreatic surgery more often than not, underscoring the importance of additional data.
We cannot explain why the fluid characteristics (viscosity, CEA level) changed so drastically upon surveillance FNA in our two patients, other than maturation or neoplastic progression of the lesion. It is possible that heterogeneity of mucinous epithelial cells within septated cysts could give rise to “compartmentalized” CEA elevation. However, we do not feel this would be applicable to our cases given the non-complex EUS appearance of the cysts. Additionally, it is unclear whether CEA levels may temporally vary in intraductal papillary mucinous neoplasms, notably the branch duct variety. We suspect this is probable, but depends on the evolutionary phase of intraductal papillary mucinous neoplasm at the time of EUS-FNA. Branch ducts with mucinous hyperplasia may have lower CEA content than lesions with truly dysplastic epithelium, reflecting the heterogeneity of this multifocal disease process.
Given our reported experience, we recommend performance of a subsequent EUS with repeat FNA in patients with a possible mucinous cyst, in whom initial data did not support this diagnosis. Granted, we only recommend this practice in satisfactory surgical candidates where it may lead to appropriate management in otherwise asymptomatic patients. This experience underscores the importance of demographic knowledge of cystic lesions of the pancreas.
Received September 20th, 2010 - Accepted November 11th, 2010
Key words Biopsy, Fine-Needle; Carcinoembryonic Antigen; Endosonography; Pancreatic Cyst
Financial support None
Conflict of interest to disclose None
Correspondence
Kevin
McGrath
Division of Gastroenterology, Hepatology, and Nutrition
University of Pittsburgh Medical Center
200 Lothrop St, Mezzanine Level, C wing
Pittsburgh, PA 15213
USA
Phone: +1-412 648 9325
Fax: +1-412.383.8992
E-mail: mcgrkm@upmc.edu
References
1. Brugge WR, Lauwers GY, Sahani D, Fernandez-del Castillo C, Warshaw AL. Cystic neoplasms of the pancreas. N Engl J Med 2004; 351:1218-26. [PMID 15371579]
2. Spinelli KS, Fromwiller TE, Daniel RA, Kiely JM, Nakeeb A, Komorowski RA, et al. Cystic pancreatic neoplasms: observe or operate. Ann Surg 2004; 239:651-7. [PMID 15082969]
3. Fernández-del Castillo C, Targarona J, Thayer SP, Rattner DW, Brugge WR, Warshaw AL. Incidental pancreatic cysts: clinicopathologic characteristics and comparison with symptomatic patients. Arch Surg 2003; 138:427-3. [PMID 12686529]
4. Brugge WR. Evaluation of pancreatic cystic lesions with EUS. Gastrointest Endosc 2004; 59:698-707. [PMID 15114319]
5. Ahmad NA, Kochman ML, Lewis JD, Ginsberg GG. Can EUS alone differentiate between malignant and benign cystic lesions of the pancreas? Am J Gastroenterol 2001; 96:3295-300. [PMID 11774939]
6. Ahmad NA, Kochman ML, Brensinger C, Brugge WR, Faigel DO, Gress FG et al. Interobserver agreement among endosonographers for the diagnosis of neoplastic versus non-neoplastic pancreatic cystic lesions. Gastrointest Endosc 2003; 58:59-64. [PMID 12838222]
7. Brugge WR, Lewandrowski K, Lee-Lewandrowski E, Centeno BA, Szydlo T, Regan S, et al. Diagnosis of pancreatic cystic neoplasms: a report of the cooperative pancreatic cyst study. Gastroenterology 2004; 126:330-6. [PMID 15131794]
8. Tanaka M, Chari S, Adsay V, Fernandez-del Castillo C, Falconi M, Shimizu M, et al. International consensus guidelines for management of intraductal papillary mucinous neoplasms and mucinous cystic neoplasms of the pancreas. Pancreatology 2006; 6:17-32. [PMID 16327281]
9. Reddy RP, Smyrk TC, Zapiach M, Levy MJ, Pearson RK, Clain JE, et al. Pancreatic mucinous cystic neoplasm defined by ovarian stroma: demographics, clinical features, and prevalence of cancer. Clin Gastroenterol Hepatol 2004; 2:1026-31. [PMID 15551256]
10. Khalid A, Brugge W. ACG practice guidelines for the diagnosis and management of neoplastic pancreatic cysts. Am J Gastroenterol 2007; 102:2339-49. [PMID 17764489]
11. Crippa S, Salvia R, Warshaw AL, Domínguez I, Bassi C, Falconi M, et al. Mucinous cystic neoplasm of the pancreas is not an aggressive entity: lessons from 163 resected patients. Ann Surg 2008; 247:571-9. [PMID 18362619]
12. Zamboni G, Scarpa A, Bogina G, Iacono C, Bassi C, Talamini G, et al. Mucinous cystic tumors of the pancreas: clinicopathological features, prognosis, and relationship to other mucinous cystic tumors. Am J Surg Pathol 1999. 23:410-22. [PMID 10199470]