CASE REPORT
JOP. J Pancreas (Online) 2011 Jan 5; 12(1):47-49.
Traumatic Transection of the Pancreas. A Case of Delayed Presentation
Rebecca A Levine, Matthew A Bank
Department of Surgery, Division of Trauma and Surgery Critical Care, North Shore-Long Island Jewish Health System. Manhasset, New York, USA
ABSTRACT
Context Isolated traumatic injuries to the pancreas are extremely unusual and diagnosis may be difficult due to delay in presentation and subtlety of symptoms. Case report We describe a patient who presented 24 hours after sustaining blunt abdominal trauma and was found to have a complete pancreatic neck transection on computed tomography with no other injuries. The patient underwent a distal pancreatectomy and splenectomy which was complicated by a postoperative abscess on day 15. This was treated with percutaneous drainage and he has recovered well. Conclusion Pancreatic transection in the absence of associated injuries is rarely seen after blunt trauma but can result in devastating outcomes if left unrecognized. A high index of suspicion and early intervention are critical.
INTRODUCTION
Isolated injuries to the pancreas as a result of blunt trauma are rare. Because of its retroperitoneal location, signs and symptoms from this organ can be subtle making prompt diagnosis a challenge. While surgical intervention is often mandatory, postoperative sequelae are common, especially in the setting of diffuse inflammatory and hemorrhagic changes encountered with a delay in treatment [1]. We report the case of a patient who presented with a complete pancreatic neck transection twenty-four hours after injury. Despite extensive inflammation and complications from a postoperative abscess, he recovered well, highlighting the importance of early recognition and expeditious management for this unusual problem.
CASE REPORT
A 22-year-old merchant marine presented to the emergency room with worsening abdominal pain after sustaining a strong blow from an opponent’s knee during a soccer game the day before. He deferred medical attention at the time but over the next 24 hours developed severe pain along with the inability to tolerate food or water. On presentation, the patient was afebrile with normal vital signs but on exam appeared in moderate distress. His abdomen was soft and mildly distended with diffuse tenderness, most prominent over the epigastrium, and localized rebound and guarding. Laboratory studies were significant for a WBC of 12,500 μL-1 (reference range: 3,500-10,100 μL-1), elevated transaminases (AST 76 U/L, reference range; 19-45 U/L; ALT 127 U/L, reference range; 9-47 U/L), as well as markedly abnormal amylase (997 U/L, reference range; 60-180 U/L) and lipase (1,971 U/L, reference range; 7-60 U/L).
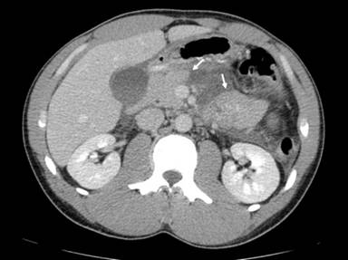
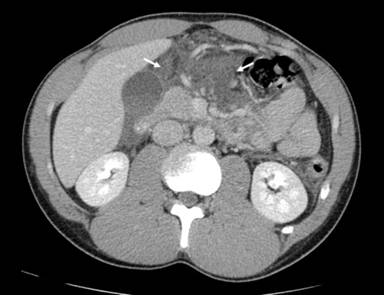
Computed tomography of abdomen and pelvis demonstrated a transection at the neck of the pancreas with large amounts of high attenuation free fluid and no other injuries (Figures 1 and 2). The patient was taken to the operating room for emergent laparotomy. Upon entering the abdomen, an extensive inflammatory and hemorrhagic reaction was encountered which encompassed the entire omentum and lesser sac, obscuring normal anatomy. It was deemed impossible to explore the site of injury through a direct anterior approach. Therefore the spleen and tail of the pancreas were mobilized anteromedially, exposing the site of transection to the left of the superior mesenteric vessels along with extensive devitalization of the distal remnant. The major pancreatic duct could not be visualized. Albumin-glutaraldehyde surgical adhesive (BioGlue®; Cryolife Inc., Kennesaw GA, USA) was applied to the cut surface of the proximal stump and distal pancreatectomy and splenectomy were completed. Two closed suction drains were placed.

|
Figure 1. Contrast-enhanced CT scan of abdomen and pelvis demonstrating transection at the junction of the pancreatic neck and body (arrows). |

|
Figure 2. Large amount of high attenuation fluid in the lesser sac and around the pancreas consistent with hemorrhagic reaction (arrows). |
The patient’s hospital course was uneventful and he was discharged home on postoperative day five, tolerating a diet with one abdominal drain.
Ten days later, the patient returned to the emergency room complaining of mild abdominal pain, vomiting, and diarrhea for 24 hours. The remaining drain had been removed in the office several days prior. Work-up revealed significant leukocytosis (WBC 41,600 μL-1) and multiple peripancreatic and subphrenic fluid collections on repeat computed tomography. The patient was treated with percutaneous drainage and has recovered well at two months follow-up.
DISCUSSION
Injuries to the pancreas are rare, occurring in approximately 5% of patients with blunt abdominal trauma and 2-6% of patients with penetrating wounds [2]. Regardless of mechanism, isolated injury is a particularly unusual phenomenon as the pancreas sits in close proximity to multiple susceptible structures. Blunt trauma most often results from a direct blow to the epigastrium, as in this patient, causing the neck of the pancreas to be crushed against the spine, just to the left of the portal vein and superior mesenteric vessels. Because of its retroperitoneal location, initial signs and symptoms may be subtle which can lead to delayed or missed diagnosis.
Helical contrast-enhanced CT scan is the initial imaging study of choice for detection of pancreatic injury in a stable patient. Reported sensitivity and specificity rates are as high as 80%, with suspicious findings including peripancreatic hematoma, fluid in the lesser sac or retroperitoneum, and thickening of the anterior Gerota’s fascia [2, 3]. ERCP is indicated in the case of an equivocal CT to confirm continuity of the main pancreatic duct or for the placement of stents in carefully selected patients.
While small contusions may be amenable to observation, most injuries require operative exploration, especially in the setting of peritonitis or hemodynamic instability. Management is dictated by three factors: anatomic location of the injury, status of the major duct, and degree of parenchymal damage. External drainage alone is recommended for minor lacerations as well as injuries to the pancreatic head when the ampulla is preserved. If there is ampullary disruption with extensive devitalization, a pancreaticoduodenectomy is usually necessary [4].
Injuries to the neck, body, or tail with ductal disruption or transection of more than half the width of the pancreas, as in this case, are most commonly treated with distal pancreatectomy [2, 4]. While some authors recommend an attempt at splenic preservation in stable patients [5, 6], others find this task too time-consuming with no proven benefit in the adult trauma setting [3, 7, 8]. In addition, the extensive inflammation encountered in cases of delayed treatment, such as we describe, makes this even more difficult and is a commonly cited reason for performing splenectomy [1, 2, 5].
Preservation of the pancreatic tail, either by primary duct repair or distal pancreaticojejunostomy, has also been described [9, 10]. This is most appropriate for patients with injury to the right of the mesenteric vessels, where complete resection can lead to endocrine compromise in up to 50% of patients [2]. These alternatives were not feasible in our patient due to devitalization of the distal remnant as well as our inability to identify the cut ends of the duct. Furthermore, pancreatic tail preservation was probably unnecessary as the transection occurred to the left of the vessels leaving adequate proximal remnant.
Management of the pancreatic stump after distal resection is controversial. Numerous techniques are described in the literature including duct ligation, handsewn or stapled closure, ultrasonic dissection, meshes and omental patches, as well as biologic glues and other sealants. No method has proven superior for preventing postoperative fistulas or leaks [11, 12, 13, 14]. Roux-en-Y pancreaticoenterostomy is another option but many believe the complexity of this procedure as well as reportedly higher leak rates make this unsuitable for traumatic injury [1, 3, 15]. Direct duct ligation was not possible in our patient and some authors question the necessity of this step to begin with [7, 16]. In addition, we felt that most methods of closure would not be viable in the midst of the diffuse inflammation and edema seen in this case and therefore chose to apply a commercially available tissue sealant with favorable outcome.
Postoperative complications occur in approximately 20-40% of patients but are generally self-limited and readily treatable [3]. The most common infectious complication is intra-abdominal abscess which mainly occurs in higher grade injuries and nearly always resolves with percutaneous drainage, as it did in this case. Other potential sequelae include pancreatic fistula, pseudocyst, and, rarely, posttraumatic pancreatitis [2]. The integrity of the main pancreatic duct is the most important determinant of outcome. However, the timing of diagnosis and management are also significant as any delay can be associated with a higher risk of mortality and a nearly six-fold increase in postoperative morbidity according to one report [1, 17]. In the case we describe here, work-up and treatment were initiated immediately but the 24-hour delay in presentation resulted in complex inflammatory changes that limited our surgical options and likely predisposed the patient to subsequent complications. Despite this, he made a complete recovery, demonstrating the critical importance of early recognition and intervention for this unusual type of injury.
Received September 30th, 2010 - Accepted November 22nd, 2010
Key words Abscess; Pancreatectomy; Wounds and Injuries
Grants None
Disclaimers None
Correspondence
Rebecca
A Levine
505 West 54th St. #313
New York, NY 10019
USA
Phone: +1-347.351.7439
Fax: +1-248.541.1791
E-mail: rebecca.levine@mssm.edu
References
1. Lin BC, Chen RJ, Fang JF, Hsu YP, Kao YC, Kao JL. Management of blunt major pancreatic injury. J Trauma 2004; 56:774-8. [PMID 15187740]
2. Subramanian A, Dente CJ, Feliciano DV. The management of pancreatic trauma in the modern era. Surg Clin N Am 2007; 87:1515-32. [PMID 18053845]
3. Degiannis E, Glapa M, Loukogeorgakis SP, Smith MD. Management of pancreatic trauma. Injury 2008; 39:21-9. [PMID 17996869]
4. Krige JE, Beningfield SJ, Nicol AJ, Navsaria P. The management of complex pancreatic injuries. S Afr J Surg 2005; 43:92-102. [PMID 16180395]
5. Kolar I. One early and three delayed distal pancreatectomies without splenectomy and with preservation of the splenic vessels after traumatic transection of the distal pancreas in children. Eur J Pediatr Surg 2005; 15:132-6. [PMID 15877264]
6. Kimura W, Inoue T, Futakawa N, Shinkai H, Han I, Muto T. Spleen preserving distal pancreatectomy with conservation of the splenic artery and vein. Surgery 1996; 120:885-90. [PMID 8909526]
7. Degiannis E, Levy RD, Potokar T, Lennox H, Rowse A, Saadia R. Distal pancreatectomy for gunshot injuries of the distal pancreas. Br J Surg 1995; 82:1240-2. [PMID 7552006]
8. el-Boghdadly S, al-Yousef Z, al Bedah K. Pancreatic injury: an audit and a practical approach. Ann R Coll Surg Engl 2000; 82:258-62. [PMID 10932660]
9. Aucar JA, Losanoff JE. Primary repair of blunt pancreatic transection. Injury 2004; 35:29-34. [PMID 14728952]
10. Bridoux V, Khalil H, Foulatier O, Mezghani J, Tapon E, Scotte M. Conservative surgical treatment after complete pancreatic neck rupture. J Chir (Paris) 2007; 144:153-5. [PMID 17607236]
11. Knaebel HP, Diener MK, Wente MN, Buchler MW, Seiler CM. Systematic review and meta-analysis of technique for closure of the pancreatic remnant after distal pancreatectomy. Br J Surg 2005; 92:539-46. [PMID 15852419]
12. Zhou W, Lv R, Wang X, Mou Y, Cai X, Herr I. Stapler vs. suture closure of pancreatic remnant after distal pancreatectomy: a meta-analysis. Am J Surg 2010; 200:529-36. [PMID 20538249]
13. Fingerhut A, Veyrie N, Ata T, Alexakis N, Leandros E. Use of sealants in pancreatic surgery: critical appraisal of the literature. Dig Surg 2009; 26:7-14. [PMID 19145082]
14. Fisher WE, Chai C, Hodges SE, Wu MF, Hilsenbeck SG, Brunicardi FC. Effect of BioGlue on the incidence of pancreatic fistula following pancreas resection. J Gastrointest Surg 2008; 12:882-90. [PMID 18273671]
15. Rickard MJ, Brohi K, Bautz PC. Pancreatic and duodenal injuries: keep it simple. ANZ J Surg 2005; 75:581-6. [PMID 15972052]
16. Wisner DH, Wold RL, Frey CF. Diagnosis and treatment of pancreatic injuries. An analysis of management principles. Arch Surg 1990; 125:1109-13. [PMID 1698047]
17. Olah A, Issekutz A, Haulik L, Makay R. Pancreatic transection from blunt abdominal trauma: early versus delayed diagnosis and surgical management. Dig Surg 2003; 20:408-414. [PMID 12900531]