CASE REPORT
JOP. J Pancreas (Online) 2011 Jan 5; 12(1):50-54.
Intraductal Papillary Mucinous Neoplasm (IPMN) and Chronic Pancreatitis: Overlapping Pathological Entities? Two Case Reports
Athanasios Petrou1, Alexandros Papalambros2, Nicholas Brennan1, Evangelos Prassas3, Thoedora Margariti2, Konstadinos Bramis2, Theofilos Rozemberg2, Efstathios Papalambros2
1Department of Hepatobilary Surgery, Churchill Hospital. Oxford, United Kingdom. 2First Department of Surgery, University of Athens Medical School. Athens, Greece. 3Hepatobilary and Liver Transplant unit, King’s College Hospital. London, United Kingdom
ABSTRACT
Context Intraductal papillary mucinous neoplasms (IPMNs) are a recently classified pancreatic neoplasm with an increasing incidence. IPMN is often misdiagnosed as chronic pancreatitis because of symptoms of relapsing abdominal pain, pancreatitis, and steatorrhea and imaging findings of a dilated pancreatic duct of cystic lesions that are frequently confused with pseudocysts. Early recognition of IPMN allows for prompt surgical resection before malignant transformation. Case reports We report two cases of patients with long histories of chronic pancreatitis (more than 15 years) that went on to develop IPMN. Both patients presented with symptoms of abdominal pain, nausea, steatorrhoea and eventually weight loss. Biochemical and radiological findings were suggestive of chronic pancreatitis although no clear causes for this were identified. Both patients were followed up with multiple repeat scans with no reported sinister findings. Many years after the initial diagnosis of chronic pancreatitis, radiological investigations identified pathological changes suggestive of neoplastic development and histology confirmed IPMN. Conclusions The cases demonstrate the ongoing challenges in diagnosing and managing IPMN effectively; highlights the important aspects of epidemiology in differentiating chronic pancreatitis and IPMN; continues the discussion surrounding the relationship between IPMN and chronic pancreatitis.
INTRODUCTION
The World Health Organization (WHO) classifies IPMNs as intraductal mucin-producing neoplasms with tall, columnar, mucin-containing epithelium with, or without papillary projections [1]. They extensively involve the main pancreatic duct and/or major side branches and lack the ovarian stroma characteristic of mucinous cystic neoplasms [1]. A sub classification has been proposed with non invasive and invasive IPMN (tubular, colloid, mixed and anaplastic) [2]. The disease progression is not clearly understood but has been hypothesized to follow the more well defined pancreatic ductal adenocarcinoma; IPMN adenoma to borderline IPMN with dysplasia to IPMN with carcinoma in situ and finally to invasive IPMN [2, 3, 4]. The time of progression from adenoma to invasive carcinoma appears to be slow but up to 30% of non invasive IPMN may eventually become invasive and metastasize [2, 5]. In contrast to the ductal adenocarcinoma, IPMNs have in general a better clinical prognosis with a 5-year survival of 77% for non invasive IPMN and 43% for invasive IPMN with no difference between the different forms of non invasive IPMN [2].
The clinical presentation of IPMN and chronic pancreatitis are often indistinguishable. Talamini et al. prospectively followed up 473 patients with chronic pancreatitis, including 45 cases of IPMN, and revealed approximately 12% of patients with IPMN have a history leading to a diagnosis of chronic pancreatitis and roughly 2% of all chronic pancreatitis diagnoses are associated with IPMN [6]. Abdominal pain, jaundice, weight loss, nausea and vomiting are often seen in both conditions [7, 8]. The misdiagnosis of IPMN as chronic pancreatitis can lead to serious delays in the appropriate management with possible curative surgery available if detected early. The following case discussions highlight the interrelationship between IPMN and chronic pancreatitis and illustrate the challenges in establishing an early diagnosis of IPMN.
CASE REPORTS
Case #1
A 53-year-old man initially presented in 1992 with recurrent episodes of acute pancreatitis. The principal symptoms were epigastric pain, nausea and weight loss with high levels of serum and urine amylase. He was a non smoker, moderate alcohol consumption and had no history of diabetes. Abdominal ultrasound (US) showed gallbladder sludge and subsequent CT imaging showed only mild findings of pancreatitis with oedematous changes of the peripancreatic fat. There was never any evidence of cystic lesions or dilated ducts. The patient was treated conservatively. One year later he underwent a cholecystectomy after a similar episode of pancreatitis. Over the subsequent sixteen years he was admitted to hospital seven times with recurring unretractable abdominal pain, nausea, steatorrhoea and weight loss. CT and magnetic resonance imaging (MRI) demonstrated progressive pancreatic gland atrophy and calcification. Although he underwent extensive investigations to establish the cause of his recurring pancreatitis no identifiable factors were identified. In addition, no pancreatic masses or peripancreatic lymph nodes were seen in multiple US, CT, MRI, magnetic resonance cholangiopancreatography (MRCP) and endoscopic retrograde cholangiopancreatography (ERCP). In 2008, after the last episode of pancreatitis the patient’s CT scan showed dilatation of the main pancreatic duct and a cystic lesion in the head of pancreas. These findings were not noted on imaging two years earlier and were confirmed on subsequent MRI and MRCP. The patient underwent an endoscopic ultrasound (EUS) and fine needle aspiration of the cystic mass. Cytology showed mucinous type epithelium and the presence of intracellular mucin, as well as mild nuclear atypia. The differential diagnosis included well differentiated mucin secreting pancreatic adenocarcinoma, IPMN and mucinous cystic pancreatic neoplasm. All tumor markers were normal. The patient subsequently underwent a pancreaticoduodenectomy (Whipple procedure; Figure 1a). Histology revealed a 1.5 cm intra-papillary mucinous tumor in the head of the pancreas which arose from a branch duct and involved the major pancreatic duct (Figure 1b). The mucous secreting epithelium was characterised by mild nuclear atypia. Four peripancreatic lymph nodes presented no signs of malignancy. The patient remains free of symptoms and with no signs of recurrence in the imaging two years after the operation.


|
Figure 1. Intraoperative and histological findings for Case #1. a. Intraoperative findings of the Whipple surgical specimen. b. Histological slide showing intraductal papillary mucinous neoplasm with a major duct filled with tall, complex, papillary structures lined by mucin-producing cells. |
Case #2
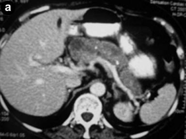
A 70-year-old lady, with a 15-year history of chronic pancreatitis initially presented with persistent abdominal pain, nausea and steatorrhea. She was a non smoker with modest alcohol consumption and had a first degree relative with a history of pancreatitis. During exacerbations serum amylase and lipase were elevated. Gallstone disease was never identified. Over time the patients’ main symptoms evolved into weight loss and chronic abdominal pain with CT and MRI imaging showing signs of fibrotic changes to the pancreatic gland with minimal calcification. Aside from the family history, there were no other clear identifiable causes for her chronic pancreatitis. She had attended regular review under the physicians but presented acutely to the emergency department with an acute exacerbation of epigastric pain, fatigue and weight loss. She proceeded to have a CT and an MRI scan which revealed a non-homogeneous cystic mass in the head of pancreas with maximum transverse diameter of 4.4 cm, suspicious for a malignant tumor (Figure 2a). These findings were not present on scans performed two years earlier. The pancreatic cyst was in communication with a clearly dilated main pancreatic duct. The imaging findings were compatible with the diagnosis of an IPMN and surgical resection was decided. Intraoperatively widespread extensive microcystic lesions and fibrotic alterations were demonstrated throughout the pancreas and a total pancreatectomy was deemed the most appropriate surgical option (Figure 2b).


|
Figure 2. Radiological, intraoperative and histological findings of Case #2. a. Abdominal computed tomography showed non-homogeneous cystic mass in the head of pancreas. b. Intraoperative findings of the total pancreatectomy and splenectomy specimen. c. Histological slide showing cystic areas with IPMN features and adjacent solid areas with multiple glands and tubules resembling usual ductal adenocarcinoma. |
Macroscopically the pancreatic parenchyma was replaced by a firm whitish tumoral mass 11 cm in diameter. Sectioning revealed several cystic areas measuring 0.2-0.5 cm containing colloidal mucinous material while the rest of the tumour was solid. Microscopically the cystic areas were lined by mucus-secreting columnar epithelium forming well-developed papillae with fibrovascular cores, small ductular structures and cords of highly atypical neoplastic cells (Figure 2c). The tumour invaded the muscularis propria of the duodenal wall. From the above we concluded that the tumour originated from an IPMN lesion which progressively gave rise to an infiltrating adenocarcinoma. Metastatic deposits were found in three peripancreatic lymph nodes.
The patient had an uneventful postoperative course and was discharged from hospital 15 days following surgery. Three years after the operation she remains asymptomatic and free of disease reoccurrence.
DISCUSSION
There has been a dramatic increase in the incidence of IPMN in the last decade and this increase is most likely due to a combination of factors [9, 10]. The grouping of previously autonomous tumours, such as mucin-producing tumours of the pancreas, papillary carcinomas and villous adenoma, as well as improved diagnostic imaging undoubtedly has a central role here [9, 10]. It is unclear whether these two patients had indeed chronic pancreatitis which developed into IPMN or whether the diagnosis of IPMN was undetected during follow-up assessment. The advancement of radiological investigations and the higher incidence of IPMN may have raised the suspicion of the diagnosis earlier if presenting now; however the lack of imaging and histological changes throughout suggests the outcome would have been similar.
In the early stages of IPMN there are usually only subtle changes with mild duct dilation and papillary hyperplasia. The delay in identifying this pathology can postpone the diagnosis and in turn increase the risk of malignant change. Interestingly the cases discussed here showed no pathological signs of IPMN for the majority of their investigations but did show multiple clinical and radiological findings suggestive of chronic pancreatitis. Several studies have proposed mechanisms whereby IPMN produces a chronic obstructive pancreatitis picture through mucin blockade of the pancreatic ducts. [6, 11] Talamini et al. discuss two cases of chronic obstructive pancreatitis who later were diagnosed with IPMN after reoccurrence of obstructive symptoms several years after a pancreaticojejunostomy [6]. The importance in recognising the different epidemiological factors to distinguish chronic pancreatitis, chronic obstructive pancreatitis and IPMN are highlighted. Age, sex, alcohol consumption and smoking history appear to be the most significant factors with IPMN presenting more frequently in older (63.1±11.0 years) females with low to moderate alcohol and smoking usage [6]. Chronic pancreatitis patients are more commonly male with a diagnosis of chronic pancreatitis on average 20 years earlier than IPMN and have high alcohol consumption and smoking history. However, an earlier study by Traverso et al. demonstrates a greater risk of malignancy in IPMN when there is a clinical history of alcohol abuse [12]. The development of insulin dependent diabetes mellitus in chronic pancreatitis may also be an important factor as it appears to correlate with progression to malignant transformation in a similar fashion to ductal adenocarcinoma [13].
There is evidence that radiological imaging can differentiate between invasive and non invasive IPMN. Nevertheless, surgical resection is necessary as almost all benign main branch duct IPMNs have the potential for invasive transformation and the 5-year survival for resection of non invasive IPMN is excellent [5, 14, 15, 16]. Reoccurrence of non-invasive and invasive IPMN has been shown after apparent complete resection of the tumour and so careful follow-up and surveillance is required [6]. One study demonstrated no reoccurrence of non invasive IPMN following total pancreatectomy and this has led to suggestions for total pancreatectomy in managing non invasive IPMN [5]. Whether the physiological consequences of this outweigh the benefit of reoccurrence is up for debate.
When elderly patients present with chronic pancreatitis with modest histories of smoking and alcohol consumption, and development of insulin dependent diabetes mellitus there should be a low threshold for considering other causes of the clinical presentation, namely a pancreatic tumour. Detection of IPMN in the early phases of transformation can permit prompt surgical referral often with positive outcomes [2]. Sohn et al. show a 5-year survival of 77% in non-invasive IPMN and 43% for invasive cancer [2].
Tumour markers have been employed to aid in differentiating between benign and malignant IPMN. Correa-Gallego et al. reviewed cystic carcinoembryonic antigen (CEA) and report levels over 200 ng/mL having a sensitivity of 47% and specificity of 40% for differentiating benign vs. malignant IPMN [17]. Pais et al. reviewed cystic carbonic anhydrase 19-9 (CA19-9) over 10,000 U/mL and report sensitivity of 80% and specificity of 50% for classifying IPMN into malignant vs. benign [18]. The latest developments in the area involve identifying potential biomarkers for classifying IPMNs. Analysis of cyst fluid cytokines have identified elevated IL-1beta and IL-8 with high grade IPMN compared to low grade IPMN [19]. Analysis of T-regulatory cells from peripheral blood and resected tumor has shown that patients with no recurrence had low peripheral T-regulatory cells compared with those who have recurrence [20].
The opportunity to review patients with chronic pancreatitis and to assess for the potential of IPMN can be achieved during follow-up clinics. Follow-up in chronic pancreatitis is often dependent on the recurrence of attacks and the presence of complications. In any case, an initial clinic appointment, 4-6 weeks after the most recent hospital discharge, and subsequent 6 monthly and finally, yearly assessments are warranted. The presence of complications such as ongoing abdominal pain, strictures to the main pancreatic duct or duodenum, calcification deposits and suspected pancreatic pseudocysts may alter the follow-up strategy; with pancreatic cystic lesions carrying a 10% risk of malignancy. In these instances, 6 monthly radiological review with or without biopsy may be warranted. In this cases report we demonstrate the challenges in recognising and diagnosing IPMN in the context of chronic pancreatitis. This ultimately stems from the overlapping clinical presentations and delay in macroscopic radiological findings in IPMN. The recognition of unique epidemiological characteristics may play an important role in early identification, treatment and prevention of the development of invasive IPMN.
Received October 23rd, 2010 - Accepted December 1st, 2010
Key words Neoplasms; Neoplasms, Cystic, Mucinous, and Serous; Pancreas; Pancreatitis, Chronic
Conflict of interest The authors have no potential conflict of interest
Correspondence
Nicholas
Brennan
Department of Hepatobiliary Surgery
Churchill Hospital
Old Road, Headington
Oxford OX3 7LJ
United Kingdom
Phone: +44-785.2247.928
Fax: +353-12.960.006
E-mail: nicky_brennan@hotmail.com
References
1. Klöppel G, Solcia E, Longnecker DS, Capella C, Sobin LH. Histological typing of tumours of the exocrine pancreas. In: World Health Organization International Classification of Tumors, 2nd ed. Berlin: Springer, 1996:11-20.
2. Sohn TA, Yeo CJ, Cameron JL, Hruban RH, Fukushima N, Campbell KA, Lillemoe KD. Intraductal papillary mucinous neoplasms of the pancreas: an updated experience. Ann Surg 2004; 239:788-97. [PMID 15166958]
3. Cho KR, Vogelstein B. Genetic alterations in the adenoma-carcinoma sequence. Cancer 1992; 70:1727-31. [PMID 1516027]
4. Bassi C, Sarr MG, Lillemoe KD, Reber HA. Natural history of intraductal papillary mucinous neoplasms (IPMN): current evidence and implications for management. J Gastrointest Surg 2008; 12:645-50. [PMID 18097728]
5. Chari ST, Yadav D, Smyrk TC, DiMagno EP, Miller LJ, Raimondo M, et al. Study of recurrence after surgical resection of intraductal papillary mucinous neoplasm of the pancreas. Gastroenterology 2002; 123:1500-7. [PMID 12404225]
6. Talamini G, Zamboni G, Salvia R, Capelli P, Sartori N, Casetti L, et al. Intraductal Papillary Mucinous Neoplasms and Chronic Pancreatitis. Pancreatology 2006; 6:626-34. [PMID 17135772]
7. Klöppel G, Adsay NV. Chronic pancreatitis and the differential diagnosis versus pancreatic cancer. Arch Pathol Lab Med 2009; 133:382-7. [PMID 19260744]
8. Abu-Hilal M, Salvia R, Casaril A, Pearce NW, Bassi C, Capelli P, Nicoli N. Obstructive chronic pancreatitis and/or intraductal papillary mucinous neoplasms (IPMNs): a 21-year long case report. JOP. J Pancreas (Online) 2006; 7:218-21. [PMID 16525207]
9. Longnecker DS. Observations on the etiology and pathogenesis of intraductal papillary-mucinous neoplasms of the pancreas. Hepatogastroenterology 1998; 45:1973-80. [PMID 9951850]
10. Andrejevic-Blant S, Kosmahl M, Sipos B, Klöppel G. Pancreatic intraductal papillary-mucinous neoplasms: a new and evolving entity. Virchows Arch 2007; 451:863-9. [PMID 17899180]
11. Warshaw AL. Mucinous cystic tumors and mucinous ductal ectasia of the pancreas. Gastrointest Endosc 1991; 37:199-201. [PMID 1851710]
12. Traverso LW, Peralta EA, Ryan JA Jr, Kozarek RA. Intraductal neoplasms of the Pancreas. Am J Surg 1998; 175:426-32. [PMID 9600293]
13. Salvia R, Fernández-del Castillo C, Bassi C, Thayer SP, Falconi M, Mantovani W, et al. Main-duct intraductal papillary mucinous neoplasms of the pancreas: clinical predictors of malignancy and long-term survival following resection. Ann Surg 2004; 239:678-85. [PMID 15082972]
14. Kalaitzakis E, Braden B, Trivedi P, Sharifi Y, Chapman R. Intraductal papillary mucinous neoplasm in chronic calcifying pancreatitis: egg or hen. World J Gastroenterol 2009; 15:1273-5. [PMID 19291831]
15. Falconi M, Salvia R, Bassi C, Zamboni G, Talamini G, Pederzoli P. Clinicopathological features and treatment of intraductal papillary mucinous tumour of the pancreas. Br J Surg 2001; 88:376-81. [PMID 11260102]
16. A-Cienfuegos J, Rotellar F, Martí-Cruchaga P, Valentí V, Zozaya G, Bueno A, et al. Intraductal papillary mucinous neoplasms (IPMN) of the pancreas: clinico-pathologic results. Rev Esp Enferm Dig 2010; 102:314-20. [PMID 20524759]
17. Correa-Gallego C, Warshaw AL, Fernandez-del Castillo C. Fluid CEA in IPMNs: A useful test or the flip of a coin? Am J Gastroenterol 2009; 104:796-7. [PMID 19223886]
18. Pais SA, Attasaranya S, Leblanc J, Sherman S, Mchenry L, Schmidt M, Dewitt J. Utility of EUS-FNA and cyst fluid analysis in the diagnosis of intraductal papillary mucinous tumors: correlation with histopathology in 74 patients. Gastrointest Endosc 2006; 63:AB268.
19. Maker AV, Brennan MF, DeMatteo RP, D'Angelica MI, Fong Y, Jarnagin WR, Allen P. Cyst fluid cytokines to distinguish low- and high-risk intraductal papillary mucinous neoplasms (IPMN). 2010 ASCO Gastrointestinal Cancers Symposium. Abstract No. 133.
20. Ikemoto T, Shimada M, Utsunomiya T, Imura S, Morine Y, Hanaoka J, et al. Evaluation of Foxp3/CD4/CD25/t cell (Treg) in peripheral blood as a biomarker for the aggressiveness of intraductal papillary mucinous neoplasm. 2010 ASCO Gastrointestinal Cancers Symposium. Abstract No. 148.