CASE REPORT
JOP. J Pancreas (Online) 2011 Jan 5; 12(1):59-61.
Pancreaticobronchial Fistula: A Complication of Acute Pancreatitis
Dorota Overbeck-Zubrzycka, Rajiv J Lochan, Shlok Balupuri, Ralph W Jackson, Richard M Charnley
Department of Hepato-Pancreato-Biliary Surgery, The Freeman Hospital, Newcastle upon Tyne Hospitals NHS Foundation Trust. Newcastle upon Tyne, Tyne and Wear, United Kingdom
ABSTRACT
Context Pancreaticobronchial fistula is a rare complication of severe pancreatitis. Various diagnostic methods have been described previously. Case report The presentation, diagnostic methods, management and 5-year follow-up of a 40-year-old woman with severe gallstone induced pancreatitis complicated by a pancreaticobronchial fistula were reviewed. Diagnosis was made on the endotracheal intubation when amylase rich-fluid was drained via the tube and confirmed by CT scanning. Successful management was achieved by an open pancreatic necrosectomy, during which air bubbles were seen emerging from the pancreatic collection which supported the diagnosis of the fistula. Five-year follow-up did not reveal any complications. Conclusions Pancreaticobronchial fistulas have the potential to cause severe respiratory complications and mortality. Awareness of this condition is important in the treatment of complicated cases of pancreatitis.
INTRODUCTION
Severe pancreatitis can affect not only the abdomen but also the thorax. Disruption of a major pancreatic duct may cause collections of enzyme rich pancreatic fluid leading to pleural, mediastinal and even pericardial pancreatic effusions.
Pancreaticobronchial fistulas in pancreatitis have been previously reported [1], especially in chronic alcoholic induced pancreatitis. Fistula formation is rare and difficult to diagnose [1, 2, 3]. In this case report we describe the presentation of the pancreaticobronchial fistula in a non-alcoholic patient with acute pancreatitis. We report previously undescribed methods to diagnose such a fistula on endotracheal intubation.
CASE REPORT
A 40-year-old woman had been admitted for an endoscopic drainage of pseudocyst that developed secondary to gallstone-induced pancreatitis treated elsewhere. The procedure needed to be postponed due to development of a large pulmonary embolus for which the patient was anti-coagulated. As the pseudocyst decreased in size (5 cm diameter) on CT imaging, no drainage was attempted on that admission. Four months later she was re-admitted as an emergency with acute upper abdominal pain and vomiting. On arrival, the patient was unwell, dehydrated and tachycardic. The clinical diagnosis of pancreatitis was confirmed by the raised serum amylase of 203 U/L (reference range: 0-135 U/L). The APACHE II score was 11 (adjusted predicted death rate of 19.6%). Within 12 hours she rapidly deteriorated, developed type I respiratory failure and required respiratory support. The contrast CT revealed that the known pseudocyst had increased in size, measuring 11.7x5.0 cm with features of pancreatic necrosis (Figure 1) and large bilateral pleural effusions. It extended into the posterior mediastineum around the oesophagus. Bilateral chest drains were inserted and ionotropic cardiac support implemented. At this stage her APACHE II score was calculated at 20 (adjusted predicted death rate of 47.6%). Since the patient continued to deteriorate, endotracheal ventilation became necessary. Immediately after insertion of the endotracheal tube, 2 L of amylase rich fluid (26,562 U/L) spontaneously drained via the tube. The diagnosis of a pancreaticobronchial fistula was confirmed on the repeated contrast CT (7 days after the admission), which showed a large amount of gas inside the cyst and evidence of fistulation into the right lower lobe bronchi (Figures 2 and 3). The pseudocyst was drained percutaneously under the CT guidance via the transgastric route and the pleural collections by bilateral chest tubes (amylase: 13,995 U/L). Subsequent tubogram and bronchoscopy did not confirm the fistulous connection with the bronchial tree. Subsequently, 16 days following the admission, due to progressive deterioration, the patient underwent an open pancreatic necrosectomy. Intraoperatively, the pancreatic collection was tracking cranially towards the diaphragm. With every lung inflation by the ventilator air was seen to escape from the peripancreatic collection indicating a communication with the airway. Therefore, following debridement of the peripancreatic tissues, an underwater-seal drain was inserted into the cavity. Four days after the necrosectomy the woman was weaned off the ventilator and the air leak in the under water seal drain ceased within the next 5 days. The abdominal drains were removed on the 11th postoperative day. The patient returned to the surgical ward after 4 weeks of intensive therapy unit (APACHE II score 1, adjusted predicted death rate 5.4%) and following a prolonged period of convalescence, was discharged home 2 months later. The open drainage of the cyst and the pleural collections combined with supportive measures such as intravenous octreotide infusion and parental nutrition (L-alanyl-L-glutamine-supplemented parental nutrition) for 24 days resulted in the successful recovery.

|
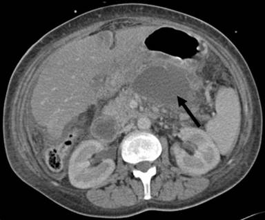
Figure 1. CT scan at admission showing pancreatic necrosis and a large pseudocyst (arrowed). |

|
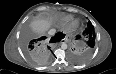
Figure 2. CT 7 days post admission demonstrating bronchial fistula communicating with pancreatic pseudocyst (see arrow). |

|
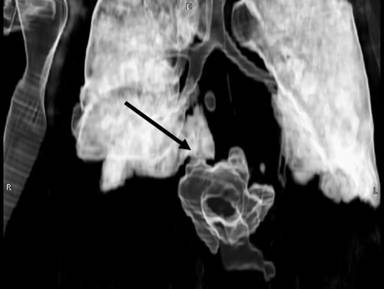
Figure 3. 3-dimentional reconstruction of the pancreaticobronchial fistula on the CT 7 days post admission (see arrow). |
Four weeks after her discharge, the woman underwent elective ERCP and endoscopic sphincterotomy to prevent further episodes of pancreatitis. We have not performed a cholecystectomy in this patient given the high risk of complications. Over the 5 following years every 6 months she has been reviewed in the outpatient clinic. No signs of exocrine, endocrine pancreatic insufficiency or bronchitis have been noted. The latest ultrasound scan showed a small pancreatic pseudocyst measuring 0.5 cm diameter.
DISCUSSION
Pseudocysts occur in 16 to 50% of acute pancreatitis and complicate 20 to 40% of chronic pancreatitis cases [2]. The most common cause of pancreatic pseudocysts in adults is alcoholic pancreatitis (75 to 90%) [4]. These are collections of pancreatic secretions, blood and cellular debris, caused by a major pancreatic duct disruption. The most common site of these cyst formations is the lesser sac. However, they may extend through the planes of least resistance such as the aortic and oesophageal hiatus [5], or more rarely, the foramen of Morgagni [5]. The collections can also erode the diaphragm itself [6]. Mediastinal involvement is rare with fewer than 60 cases reported in the English literature [6]. Pancreaticopericardial fistula has also been reported but is the least common presentation [7]. Mediastinal pseudocysts most frequently present with dyspnoea, weight loss, chest and abdominal pain. Dysphagia may be present if there is oesophageal displacement by an expanding pseudocyst. A pericardial tamponade has also been reported [7].
A pancreaticobronchial fistula should be considered if a patient with pancreatitis develops severe respiratory distress [3]. The development of a productive cough with large amounts of thin “frothy” sputum and the presence of a raised sputum amylase often greater than 20,000 U/L are pathognomonic [8]. Chronic bronchitis may also develop [8]. Apart from abdominal pain our patient did not complain of any symptoms described above. However, she developed type I respiratory failure and required respiratory support 12 h after admission. There are various methods for diagnosis of the pancreaticobronchial fistula. In 1918, the finding of methylene blue in sputum after injecting it into the fistula was described [9]. Chest X-ray may be diagnostic of pancreaticobronchial fistula demonstrating a hydropneumothorax in a patient with pancreatitis [10]. An abdominal drain fistulogram can demonstrate the fistulous track [11]. ERCP may be also useful to reveal such a fistula [3]. However, in the majority of the cases the diagnosis has been made by the contrast CT. In this case the fistula became clinically apparent during the endotracheal intubation when amylase rich-fluid was drained via the tube. Intraoperatively, the diagnosis was confirmed by observation of air bubbles emerging from the pancreatic collection on inspiration.
The treatment of pancreaticobronchial fistulas is targeted at controlling the source of the secretion. It has been demonstrated that prolonged periods of medical therapy tend to delay the resolution of the fistula compared with patients who undergo definitive operative intervention early in the course of treatment [12]. This may be achieved by drainage of the peripancreatic collection or by pancreatic resection [2]. Stenting and drainage of a disrupted or stenotic duct may be used although this has not yet been described as a treatment for the pancreaticobronchial fistula. However, it has been successful in patients with pancreaticopleural and mediastinal fistulas [2]. Lobectomy may be required in cases with suppuration or empyema [3]. In our case no pancreatic resection was needed. Pancreatic necrosectomy combined with abdominal and pleural drainage, octreotide therapy and parental nutrition resulted in regression of the pleural effusion, closure of the pancreaticopleural fistula within 3 weeks and complete recovery. Five-year outpatient follow-up did not reveal any complications or recurrence of pancreatitis in this patient. Pancreaticobronchial fistula is rare, but is an important differential diagnosis in patients with acute pancreatitis and respiratory failure. Awareness of this condition is important in the treatment of complicated cases of pancreatitis.
Received September 26th, 2010 - Accepted December 3rd, 2010
Key words Bronchial Fistula; Intubation, Intratracheal; Pancreatic Pseudocyst; Pancreatitis, Acute Necrotizing
Patient’s consent The authors received the full informed consent from the patient for this publication
Conflict of interest The authors have no potential conflict of interest
Correspondence
Dorota
Overbeck-Zubrzycka
Newcastle University
Medical School
Institute of Cellular Medicine
Floor 3 of Leech Building
NE2 4HH Newcastle upon Tyne
Tyne and Wear
United Kingdom
Phone: +44-(0)191.233.6161; +44-(0)788.423.1233
Fax: +44-(0)191.223.1483
E-mail: d.overbeck@doctors.org.uk; dorota.overbeck-zubrzycka@ncl.ac.uk
References
1. Misare BD, Gagner M, Braasch JW, Shahian DM. Pancreaticobronchial fistula causing lung abscess: case report and brief discussion of the literature. Surgery 1991; 110:549-51. [PMID 1887381]
2. Grace PA, Williamson RC. Modern management of pancreatic pseudocysts. Br J Surg 1993; 80:573-81. [PMID 8518891]
3. Fekete F, Le Mee J, Langonnet F, Gayet B, Belghiti J. A surgical etiology of respiratory distress in necrotizing pancreatitis: pancreato-bronchial fistula. 3 cases. Chirurgie 1989; 115:106-12. [PMID 2680330]
4. Johnston RH Jr, Owensby LC, Vargas GM, Garcia-Rinaldi R. Pancreatic pseudocyst of the mediastinum. Ann Thorac Surg 1986; 41:210-2. [PMID 3947175]
5. Fürst H, Schmittenbecher PP, Dienemann H, Berger H. Mediastinal pancreatic pseudocyst. Eur J Cardiothorac Surg 1992; 6:46-8. [PMID 1371930]
6. Edwards RD, Jardine A, Vallance R. Case report: pancreatic mediastinal pseudocyst--an unusual cause of palpitations. Clin Radiol 1992; 45:28-30. [PMID 1737427]
7. Balasubramanian P, Jeyamani R, Govil S, Chacko A, Kurian G, Subhash HS, et al. Pancreatico-pericardial fistula: a rare complication of chronic pancreatitis. Indian J Gastroenterol 2004; 23:31-2. [PMID 15106719]
8. Cox CL Jr, Anderson JN, Guest JL Jr. Bronchopancreatic fistula following traumatic rupture of the diaphragm. JAMA 1977; 237:1461-3. [PMID 576639]
9. Sease CI. Bronchial-pancreatic fistula; a case report. Va Med Mon (1918); 1956; 83:510-3. [PMID 13371716]
10. Yamaguchi T, Katoh O, Hiura K, Kuroki S, Aoki Y, Yamada H. A pancreatico-bronchial fistula with right hydropneumothorax. Nihon Kyobu Shikkan Gakkai Zasshi 1989; 27:620-4. [PMID 2615102]
11. Izbicki JR, Wilker DK, Waldner H, Rueff FL, Schweiberer L. Thoracic manifestations of internal pancreatic fistulas: report of five cases. Am J Gastroenterol 1989; 84:265-71. [PMID 2645766]
12. King JC, Reber HA, Shiraga S, Hines OJ. Pancreatic-pleural fistula is best managed by early operative intervention. Surgery 2010; 147:154-9. [PMID 19744435]