CASE SERIES
JOP. J Pancreas (Online) 2010 Nov 9; 11(6):593-596.
Pancreatic Resection for Metastasis to the Pancreas from Colon and Lung Cancer, and Osteosarcoma
Context Pancreatic resection for a metastatic colon, lung cancer or an osteosarcoma has rarely been reported in the literature and there is controversy regarding recurrence and the overall survival of these patients. We herein evaluate the outcome of three patients who underwent pancreaticoduodenectomy for the aforementioned metastatic tumors to the pancreas. Case reports Clinical presentation included pyloric stenosis and acute gastrointestinal bleeding. One patient was asymptomatic and was diagnosed during follow-up for colon cancer. All the pancreatic lesions were located in the head of the pancreas, and the intervals between the diagnosis of the primary cancer and the pancreatic metastases were 6, 14 and 24 months. During exploration of the abdomen, additional metastatic lesions in the small intestine and liver were detected and resected in two patients. One patient died one month after surgery from massive gastrointestinal bleeding. The other two patients experienced relief from their symptoms but died from generalized carcinomatosis 16 and 27 months after pancreaticoduodenectomy. Conclusion Pancreatic resection for metastatic disease may be suggested for selected patients, even those with limited extrapancreatic disease. In this setting, it may offer good palliation and may prolong survival. In cases of acute duodenal bleeding resistant to conservative measures, pancreaticoduodenectomy may represent the only alternative for survival; however, significant morbidity and mortality should be expected.
Metastases to the pancreas from extrapancreatic primary cancers are rare; they commonly present as a manifestation of widespread disease and rarely as an isolated mass of the pancreas [1, 2]. Consequently, only a minority of patients with isolated metastasis to the pancreas may be candidates for elective surgical resection or may present with complications prompting emergency surgery. Renal carcinoma is the most frequent metastatic tumor to the pancreas and is characterized by a higher resectability rate as compared to less common types, such as lung, breast, colon, prostate and skin cancer. Fewer than 40 cases of surgically treated metastases to the pancreas from lung and colorectal cancer have been reported in the literature [3, 4]. Furthermore, until now, no case of surgically treated metastasis to the pancreas from pediatric osteosarcoma has been reported in the literature. Mainly due to their rarity, the role of surgery in these patients is not yet clear. However, it is possible that pancreatic surgery in selected patients improves the quality of life and, possibly, prolongs overall survival. We herein report three cases of surgically treated metastases to the pancreas from colon cancer, lung cancer and pediatric osteosarcoma.
A 53-year-old man with a history of adenocarcinoma of the right colon was referred to our department due to a tumor of the pancreas found during a regular follow-up. Adenocarcinoma of the right colon had been diagnosed 2 years previously and it had been treated with a right colectomy followed by chemotherapy with 5-fluorouracile-leucovorine-oxaliplatin. Five months later, the patient had developed a metastasis to the left lung which had been treated with a lobectomy. On laparotomy, the mass was found to invade part of the liver and the small bowel. En-block resection of the tumor with the adherent liver and small bowel as part of a pancreaticoduodenectomy (Whipple procedure) was performed. Histological examination of the specimen demonstrated metastatic colon mucous adenocarcinoma of intermediate differentiation measuring 6.5x4x2 cm. The margins of the surgical specimen were free from neoplastic invasion. On the 14th postoperative day, the patient developed abdominal pain, fever (reaching 39.2oC) and leukocytosis (reaching 16,000 μL-1; reference range: 3,800-10,500 μL-1). A CT scan of the abdomen revealed multiple intra-abdominal abscesses, necessitating percutaneous drainage. However, his condition did not improve in the following days and the patient underwent surgical drainage of the abdominal abscesses. Thereafter, the general condition of the patient gradually improved and he was discharged on the 23rd postoperative day. The patient died from generalized carcinomatosis 27 months later.
A 13-year-old girl with a history of osteosarcoma of the left fibula presented with pyloric stenosis syndrome. Osteosarcoma had been diagnosed 14 months previously and it had been initially treated with chemotherapy followed by amputation. One year later, during follow-up, a CT scan of the thorax revealed two metastatic lesions which were treated with a bilateral thoracotomy, resection of the inferior left lobe and partial resection of the superior and inferior right lobes followed by chemotherapy (doxorubicin, cisplatin, actinomycin, cyclophosphamide, bleomycin). Histological examination of the excised tumors confirmed metastatic disease from osteosarcoma. An abdominal CT scan showed a metastasis to the head of the pancreas and the adjacent duodenum measuring 6x4x3 cm. A pancreaticoduodenectomy was then performed (Figure 1). During exploration of the abdomen, another lesion invading segment VII of the liver was found. Histological examination of the pancreaticoduodenectomy specimen demonstrated rapidly proliferating osteoblasts with giant and atypical nuclei. The liver lesion was treated postoperatively with chemoembolization. The postoperative course was uneventful. However, three months later, an ultrasound scan of the abdomen showed a large tumor in the right liver lobe extending to the right iliac fossa. The new mass was chemoembolized with anthracyclines. The girl died 16 months after the pancreaticoduodenectomy from generalized metastatic disease.

|
Figure 1. Solitary metastatic lesion to the head of pancreas from lung cancer as imaged by contrast-enhanced CT scan (Case #2). |
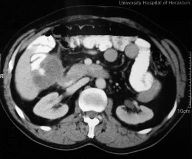
A 53-year-old man with a history of adenocarcinoma of the right lung presented with gastrointestinal bleeding. Adenocarcinoma of the lung was diagnosed six months prior to he gastrointestinal bleeding and was treated with a right pneumonectomy. Histological examination demonstrated a median to low differentiation papillary adenocarcinoma infiltrating the pleura. Gastroscopy showed a bleeding duodenal mass, and a contrast-enhanced CT scan of the abdomen revealed a tumor of the pancreatic head measuring 5x3x3 cm (Figure 2). Failure of conservative measures led to a pancreaticoduodenectomy. Metastatic lesions were also found during the laparotomy and were excised with a segmental enterectomy. Histological examination of the surgical specimen demonstrated metastatic adenocarcinoma of the lung. On the 12th postoperative day, the patient presented with intra-abdominal bleeding and was reoperated on; hemorrhage from the pancreatic bed was controlled by a tamponade. The patient recovered from the second hemorrhage but succumbed to new massive gastrointestinal bleeding on the 30th postoperative day.

|
Figure 2. Metastatic lesion to the head of pancreas from osteosarcoma (Case #3). |
The pancreas is an unusual site for metastatic disease. In large autopsy series, the prevalence of pancreatic metastases has been described to range from 1.6 to 11% [5]. In clinical studies among patients with solitary pancreatic masses, the frequency of pancreatic metastases ranges from 0.5 to 3% [1, 6, 7]. In these studies, the most common primary tumor is renal cell carcinoma followed by lung and colorectal cancer. Other tumors are breast cancer, skin melanoma and soft tissue sarcoma [6, 8]. A recent systematic review of pancreatic surgery for metastatic renal cell carcinoma included a total of 321 patients [9]. However, in the literature, there are only 10 and 30 cases of surgically treated metastasis to the pancreas from lung and colorectal cancer, respectively [3, 4]. Even though, there are few cases reported of surgically treated metastases to the pancreas from soft tissue sarcoma, to our knowledge, this is the first case of metastasis to the pancreas from pediatric osteosarcoma treated with pancreatic resection.
Metastasis to the pancreas is manifested clinically with various symptoms, the most common of which are jaundice and abdominal pain accounting for approximately one-fourth of all cases. Other symptoms include weight loss, gastrointestinal bleeding, nausea, vomiting, pancreatitis and fever [4]. A significant proportion of patients (reaching 43%) are asymptomatic at presentation, and they are diagnosed during regular follow-up for their primary disease as in our Case #1 [3]. The time interval between the diagnosis of the primary tumor and metastasis to the pancreas varies widely. It usually occurs within three years and, in cases of renal cell carcinoma metastases, it may occur later as compared to other histological subtypes [9, 10, 11]. Although it is reasonable that tumors with a long disease-free interval may be less aggressive biologically and are associated with a better prognosis in published case series, this variable has not been associated with overall survival after pancreatic surgery [8]. Therefore, until now this has not served as a selection criterion for patients with pancreatic metastases.
The impact of emergency surgery due to complications from the disease such as intractable gastrointestinal bleeding or gastrointestinal obstruction, has not yet been addressed in the literature since most of the patients reported had undergone elective surgery. Emergency surgery is a well-known dismal prognostic factor for short-term surgical outcomes since it precludes appropriate preoperative assessment and preparation but may also be related to more advanced or aggressive tumors. Consequently, patients, such as our 3rd case, develop postoperative complications and experience higher perioperative mortality rates more frequently. In our patient, angiographic embolization was not available on an emergency basis. This method might have helped control the bleeding and transform emergency surgery into semi-emergency surgery with the opportunity of preoperative assessment and preparation. If the patient is hemodynamically stable and the tumor appears resectable on CT imaging, we consider surgery to be the primary and definitive treatment. Angiographic embolization for the upper gastrointestinal tract is the primary treatment in situations where endoscopy is unsuccessful and surgery is not considered. These are cases with unresectable tumors, elderly frail patients and other poor surgical candidates. Angiographic embolization is limited by high re-bleeding rates, even in patients with benign disease [12].
Similarly, we would refer patients with pyloric stenosis for endoscopic stenting only if tumor resection is not an option. We consider endoscopic stenting as the primary therapeutic modality in patients with malignant gastroduodenal obstruction due to unresectable tumors. Stents have multiple advantages. They can be safely deployed in the majority of patients, they are cost effective, lead to faster symptom palliation and shorter time to resumption of an oral diet, and shorter hospital stays as compared to surgical bypass. Both endoscopic stenting and surgical bypass are considered palliative treatments and, to date, no improvement in survival with either modality has been demonstrated. A tailored therapeutic approach, taking into consideration patient preferences and involving a multidisciplinary team including a therapeutic endoscopist, surgeon, medical oncologist, radiation therapist and interventional radiologist should be considered in all cases [13].
In asymptomatic and elective cases, the unproven benefit of pancreatic resection for metastatic disease together with the significant morbidity of the operation mandates careful patient selection as well as discussion with the patient regarding the risk-benefit of the treatment. Ideally, this treatment should be offered to patients presenting with resectable isolated metastases after a thorough whole body imaging work-up and fit enough to undergo major abdominal surgery. Histological diagnosis is not necessary in order to proceed to surgery but it may indicate the outcome. Therefore, renal cell cancer metastasis is usually associated with longer survival as compared to other tumors [8, 9]. Surgery is also a possibility for rare cases presenting with resectable pancreatic metastases and limited metastases to other organs amenable to resection, such as our third case. In these cases, higher treatment morbidity should be expected and considered. Moreover, it is unclear whether these operations should be done simultaneously. Staged multiple metastasectomies have been described for colorectal cancer with acceptable results [14]. Notably, two months prior to the diagnosis of the pancreatic metastases our pediatric patient had undergone a bilateral lung metastasectomy which did not seem to increase the perioperative morbidity of the consequent pancreatic resection.
Typical pancreatic resections, such as pancreaticoduodenectomies or distal pancreatectomies, are suggested in the largest series reported in the literature [8]. Limited resections, such as enucleations and central pancreatectomies, are less popular and are not preferred by the majority of authors because they have been coupled with high local recurrence rates, even though they are associated with lower morbidity [15]. So far, there is no evidence that resectability criteria for metastases to the pancreas should differ from those proposed for a primary pancreatic malignancy. Moreover, Varker et al. [16] reported that R0 resection was the only variable associated with overall survival in a multivariate analysis adjusted for tumor type, synchronous or metachronous disease and typical or atypical resection. In this study, involving 22 patients, the authors concluded that a pancreatectomy for pancreatic metastases should only be undertaken if complete resection is anticipated [16].
Mortality from pancreatic resections has declined over recent decades, ranging below 5% in large series involving pancreatic cancer [17]. This is comparable to the results of the review of Reddy et al. [3] which reported 1.8% mortality among 243 patients undergoing pancreatic resection for metastatic disease. Morbidity from pancreatectomies for metastatic tumors is also comparable to that of primary pancreatic cancer. Approximately half of the patients will experience complications such as wound infection, pulmonary complications or pancreatic fistula, but the majority of these complications will be mild, requiring only pharmacological treatment [8]. This is particularly important in view of the short survival of the patients and the related quality of life.
Complete resection of metastases has become standard practice for the management of several malignancies. There is evidence that metastasectomy for colorectal cancer in some patients is associated with 5-year survival rates of more than 50%. In patients with pancreatic metastases from renal cell carcinoma, a median survival rate of 8.75 years was reported among 115 patients undergoing pancreatic resection [3]. These rates are unusually high for stage IV disease and, even though these patients are highly selected, one cannot exclude the possibility that surgery has contributed to their long survival. A properly designed controlled trial comparing surgery with non surgical treatment is not likely to be carried out due to the rarity of these tumors and the tendency to resect them for symptom palliation. Survival after pancreatic surgery for metastasis depends, for the most part, on the histological subtype. Renal cancer has been associated with a 5-year overall survival rate of 72.6% in a systematic review of 311 surgically treated patients by Tanis et al. [9] whereas a 2-year overall survival rate of 44.4% has been cited for colorectal cancer [11]. Until now, fewer than 10 surgically treated pancreatic metastases from lung cancer, the worst of all histological subtypes, associated with a median survival of 6 months have been reported in the literature [3].
In conclusion, pancreatic resection for metastatic disease from lung and colon cancer, and osteosarcoma may be suggested in selected patients with limited extrapancreatic disease. It is necessary to carefully discuss the perioperative risk and expected outcome with the patient. In this setting, such an approach may offer good palliation and may prolong survival. In emergency situations of duodenal bleeding resistant to conservative measures, pancreaticoduodenectomy may represent the only possibility for survival; however, significant morbidity and mortality should be expected.
Received July 8th, 20100 - Accepted September 8th, 2010
Conflict of interest The authors have no potential conflict of interest
References
1. Sperti C, Pasquali C, Liessi G, Pinciroli L, Decet G, Pedrazzoli S. Pancreatic resection for metastatic tumors to the pancreas. J Surg Oncol 2003; 83:161-6. [PMID 12827684]
2. Ferrozzi F, Bova D, Campodonico F, Chiara FD, Passari A, Bassi P. Pancreatic metastases: CT assessment. Eur Radiol 1997; 7:241-5. [PMID 9038124]
3. Reddy S, Wolfgang CL. The role of surgery in the management of isolated metastases to the pancreas. Lancet Oncol 2009; 10:287-93. [PMID 19261257]
4. Sweeney AD, Wu M, Hilsenbeck SG, Brunicardi FC, Fisher WE. Value of pancreatic resection for cancer metastatic to the pancreas. J Surg Res 2009; 156:189-98. [PMID 19375718]
5. Adsay NV, Andea A, Basturk O, Kilinc N, Nassar H, Cheng JD. Secondary tumors of the pancreas: an analysis of a surgical and autopsy database and review of the literature. Virchows Arch 2004; 444:527-35. [PMID 15057558]
6. Dar FS, Mukherjee S, Bhattacharya S. Surgery for secondary tumors of the pancreas. HPB (Oxford) 2008; 10:498-500. [PMID 19088939]
7. Bahra M, Jacob D, Langrehr JM, Glanemann M, Schumacher G, Lopez-Hänninen E, Neuhaus P. Metastatic lesions to the pancreas. When is resection reasonable?. Chirurg 2008; 79:241-8. [PMID 17717640]
8. Reddy S, Edil BH, Cameron JL, Pawlik TM, Herman JM, Gilson MM, et al. Pancreatic resection of isolated metastases from nonpancreatic primary cancers. Ann Surg Oncol 2008; 15:3199-206. [PMID 18784960]
9. Tanis PJ, van der Gaag NA, Busch ORC, van Gulik TM, Gouma DJ. Systematic review of pancreatic surgery for metastatic renal cell carcinoma. Br J Surg 2009; 96:579-92. [PMID 19434703]
10. Moussa A, Mitry E, Hammel P, Sauvanet A, Nassif T, Palazzo L, et al. Pancreatic metastases: a multicentric study of 22 patients. Gastroenterol Clin Biol 2004; 28:872-6. [PMID 15523224]
11. Sperti C, Pasquali C, Berselli M, Frison L, Vicario G, Pedrazzoli S. Metastasis to the pancreas from colorectal cancer: is there a place for pancreatic resection?. Dis Colon Rectum 2009; 52:1154-9. [PMID 19581861]
12. Poultsides GA, Kim CJ, Orlando R, Peros G, Hallisey MJ, Vignati PV. Angiographic embolization for gastroduodenal hemorrhage: safety, efficacy, and predictors of outcome. Arch Surg 2008; 143:457-61. [PMID 18490553]
13. Gaidos JK, Draganov PV. Treatment of malignant gastric outlet obstruction with endoscopically placed self-expandable metal stents. World J Gastroenterol 2009; 15:4365-71. [PMID 19764086]
14. Shah SA, Haddad R, Al-Sukhni W, Kim RD, Greig PD, Grant DR, et al. Surgical resection of hepatic and pulmonary metastases from colorectal carcinoma. J Am Coll Surg 2006; 202:468-75. [PMID 16500252]
15. Bassi C, Butturini G, Falconi M, Sargenti M, Mantovani W, Pederzoli P. High recurrence rate after atypical resection for pancreatic metastases from renal cell carcinoma. Br J Surg 2003; 90:555-9. [PMID 12734861]
16. Varker KA, Muscarella P, Wall K, Ellison C, Bloomston M. Pancreatectomy for non-pancreatic malignancies results in improved survival after R0 resection. World J Surg Oncol 2007; 5:145. [PMID 18162131]
17. Winter JM, Cameron JL, Campbell KA, Arnold MA, Chang DC, Coleman J, et al. 1423 pancreaticoduodenectomies for pancreatic cancer: A single-institution experience. J Gastrointest Surg 2006; 10:1199-211. [PMID 17114007]