CASE SERIES
JOP. J Pancreas (Online) 2010 Nov 9; 11(6):601-603.
Choledochal Cyst with Chronic Pancreatitis: Presentation and Management
Sundeep Singh Saluja, Pramod Kumar Mishra, Mohammed Nayeem, Hridya Hulas Nag
Department of Gastrointestinal Surgery, GB Pant Hospital. New Delhi, India
ABSTRACT
Context Choledochal cysts are benign congenital cystic dilatations of the common bile duct. They are usually associated with pancreatobiliary malunion resulting in long-term complications, such as acute pancreatitis and bile duct cancer. However, the occurrence of chronic pancreatitis with a choledochal cyst is rarely reported. Case reports We report three cases of choledochal cysts associated with chronic pancreatitis with their presentation and management. The choledochal cysts were classified according to the Alonso-Lej classification with Todani modifications, based on radiographic and operative findings. Chronic pancreatitis was defined using Marseille criteria (1984). Two patients had a type I choledochal cyst and one had a type IV-A. All cases had chronic calcific pancreatitis with a grossly dilated main pancreatic duct. Abdominal pain was the most common presentation, present in all three patients while jaundice was seen in one patient. The laboratory parameters and MRI/MRCP helped to confirm the diagnosis. All patients underwent cyst excision with drainage and had an uneventful postoperative course. At a median follow-up of 9 months, two patients were asymptomatic and one patient, who developed duodenal obstruction, underwent gastrojejunostomy. Conclusions the association of a choledochal cyst with chronic pancreatitis may be etiologically related. Excision of the cyst with lateral pancreaticojejunostomy can be performed safely and is usually curative.
INTRODUCTION
Choledochal cysts are benign congenital cystic dilatations of the common bile duct, having an incidence ranging from one in 13,000 to one in 2 million live births [1]. It has a female predominance and a higher prevalence in Asians. Though seen in both children and adults, more than 50% present in the first decade of life. A choledochal cyst is usually associated with pancreatobiliary malunion and can be associated with long-term complications, such as recurrent cholangitis, cystolithiasis, pancreatitis, cirrhosis, portal hypertension and carcinoma of the bile duct.
CASE REPORTS
We report three consecutive cases of choledochal cysts associated with chronic pancreatitis with their presentation and management. The choledochal cysts were classified according to the Alonso-Lej classification with Todani modifications, based on radiographic and operative findings [2, 3, 4]. Chronic pancreatitis was defined using the Marseille criteria (1984) [5].
Case #1
A 33-year-old chronic alcoholic presented with a history of severe abdominal pain of eight months duration radiating to the back. He was diagnosed as having diabetes mellitus four months previously but had no exocrine insufficiency. Liver function tests showed total bilirubin 0.3 mg/dL (reference range: 0.3-1.2 mg/dL) and alkaline phosphatase 216 IU/L (reference range: 0-117 IU/L). Upper gastrointestinal endoscopy showed erosions in the body and antrum. Contrast-enhanced CT of the abdomen showed a dilated pancreatic duct and a bulky head with parenchymal calcifications. T2 weighted MRCP revealed a type I choledochal cyst with a dilated main pancreatic duct and side branches. An abnormal pancreaticobiliary duct junction was not present. Intraoperative findings included a hard atrophic pancreas with a dilated duct and a type I choledochal cyst. Coring of the head of the pancreas along with a longitudinal pancreaticojejunostomy and excision of the choledochal cyst was performed. The patient developed a biochemical pancreatic leak (amylase rich drain fluid) and the drain was removed on postoperative day 10. All symptoms were relieved and the patient was doing well at a 13 month follow-up.
Case #2
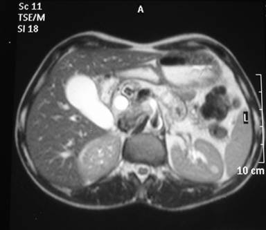
A 39-year-old male presented with upper abdominal pain and obstructive jaundice of three months and one month duration, respectively. At admission, he had cholangitis, which was treated with antibiotics. His bilirubin was 24.6 mg/dL, alkaline phosphatase 836 IU/L, SGOT 96 IU/L (reference range: 0-40 IU/L) and SGPT 55 IU/L (reference range: 0-35 IU/L). Two attempts at biliary stenting failed due to failure to cannulate the common bile duct. MRI of the abdomen with MRCP showed a dilated main pancreatic duct (1.6 cm) with multiple signal voids suggestive of calculi and a type I choledochal cyst (Figures 1 and 2). An abnormal pancreaticobiliary duct junction was not present. There was no evidence of a stricture at the lower end of the common bile duct and a 10F feeding tube could easily be passed through. He underwent a Frey’s procedure along with excision of the choledochal cyst. There were no postoperative complications and the patient was discharged on postoperative day 7. At a 6-month follow-up, he developed abdominal pain associated with vomiting. A barium study showed a stricture at the second part of the duodenum. Endoscopy confirmed the stricture with overlying normal mucosa. As the patient could not tolerate liquids, he underwent a gastrojejunostomy. The postoperative period was uneventful. At a 6-week follow-up, he was doing well.

|
Figure 1. MRCP showing a type I choledochal cyst with a dilated main pancreatic duct having multiple calculi in head and body. |

|
Figure 2. MRI T2 weighted image showing a dilated common bile duct in the intrapancreatic portion with calculi in the pancreatic duct. |
Case #3
A 23-year-old female presented having had recurrent episodes of abdominal pain since childhood. She had also had two self-limiting episodes of jaundice three years previously. Physical examination and liver function tests were normal. There was no exocrine or endocrine insufficiency. Esophagogastroscopy revealed the presence of a small hiatus hernia. MRI of the abdomen with MRCP showed the presence of an atrophic pancreas with a dilated main pancreatic duct consistent with chronic pancreatitis along with the presence of a type IV-A choledochal cyst with stones. The gallbladder was normal with no stones. She underwent a Partington Rochelle longitudinal pancreaticojejunostomy along with excision of the choledochal cyst and a Roux-en-Y hepaticojejunostomy. The same Roux limb was used for both the hepaticojejunostomy and the pancreaticojejunostomy. Operative findings included an atrophic pancreas with ductal calcification and a dilated pancreatic duct (1 cm). There was fusiform dilatation of the common bile duct and the intrahepatic ducts consistent with a choledochal cyst type IV-A along with multiple bilirubinate stones. Her postoperative recovery was uneventful. She is doing well and was pain free at an 11-month follow up.
DISCUSSION
The association between recurrent acute pancreatitis and the presence of a choledochal cyst is well recognized and is usually related to the presence of a ‘common’ pancreaticobiliary channel. An abnormal pancreaticobiliary duct junction, defined as a common channel exceeding 15 mm in length, occurs in a high percentage of choledochal cyst patients [6]. Regurgitation of the pancreatic juice into the bile duct due to the higher pressure of pancreatic secretion exposes the duct to the harmful effects of pancreatic enzymes. This could possibly lead to cystic dilatation of the bile ducts. The stagnant mixture of bile and pancreatic juices could injure the pancreatic ducts and induce inflammatory change in the pancreatic parenchyma. Indeed, there are several case reports where patients with a choledochal cyst first presented with acute pancreatitis. The association of a choledochal cyst with chronic pancreatitis is extremely rare, with only a few cases reported in the literature.
In 1980, Yamaguchi [7] reported six cases of pancreatitis of unspecified type in a series of 1,433 patients from Japan. In 1991, Jalleh and Williamson [8] first reported a case of a choledochal cyst with recurrent acute pancreatitis leading to chronic pancreatitis. They treated their patient with a pylorus-preserving pancreaticoduodenectomy.
Pancreatitis is associated with all types of choledochal cysts and is not related to either gender or race. An association of pancreatitis with the size of the choledochal cyst has been reported. In a study by Swisher et al., 90% of the patients with choledochal cysts having a diameter equal to, or greater than, 5 cm developed pancreatitis as compared to only 9% of patients having a choledochal cyst less than 5 cm [9]. The incidence of pancreatitis is higher in children as compared to adults [10].
The incidence of pancreatitis has also been reported to be significantly higher in patients with a long (more than 21 mm) and wide common channel (greater than the size of pancreatic duct) [11].
Whether chronic pancreatitis in a patient with a choledochal cyst is the outcome of recurrent attacks of acute pancreatitis is not known. The young female in our study, who had had recurrent episodes of abdominal pain since childhood, could have had recurrent subclinical pancreatitis leading to chronic pancreatitis. Whether the cause of chronic pancreatitis in one of our patients is alcohol related or secondary to a choledochal cyst is speculative. Whether an abnormal pancreaticobiliary duct junction predisposes to both a choledochal cyst and chronic pancreatitis with the risk of pancreatitis being increased in alcoholics is not known. One study reported that patients with a choledochal cyst associated with an anomalous pancreaticobiliary ductal junction can have a more serious clinical course than those having a choledochal cyst alone [12]. An abnormal pancreaticobiliary duct junction was not seen in any of our cases on MRCP.
The clinical features of such patients include abdominal pain with or without jaundice. All patients had abdominal pain but only one had jaundice. It is difficult to ascertain the cause of abdominal pain in patients who present with both a choledochal cyst and chronic pancreatitis. Liver function tests and MRI/MRCP are helpful in differentiating chronic pancreatitis with a choledochal cyst from biliary dilatation secondary to biliary stricture. The presence of normal liver function tests, the absence of lower end stricture with typical dilatation of the common biliary duct and no intrahepatic biliary radical dilatation suggest the presence of a choledochal cyst with chronic pancreatitis.
The ideal management of these patients is not known. Patients with a choledochal cyst who present with recurrent acute pancreatitis may be cured with cyst excision alone. Whether symptoms are related to both pathologies and whether ductal drainage is required along with the excision of the choledochal cyst is not known. Given the low morbidity of the drainage procedures it is probably wise to drain the duct and excise the choledochal cyst. The prompt relief of pain in all three of our patients exemplifies the fact that ductal drainage along with cyst excision may be curative.
CONCLUSIONS
The association of a choledochal cyst with chronic pancreatitis may be etiologically related. Excision of the cyst with a lateral pancreaticojejunostomy can be performed safely and is usually curative.
Received July 25th, 2010 - Accepted September 29th, 2010
Key words Choledochal Cyst; Cholestasis; Pancreatitis, Chronic
Competing interests The authors declare that they have no competing interests
Correspondence
Sundeep
Singh Saluja
Department of Gastrointestinal Surgery
Room No 224 - Academic Block
GB Pant Hospital
6, Jawaharlal Nehru Marg
New Delhi 110002
India
Phone: +91-971.859.9259
E-mail: sundeepsaluja@yahoo.co.in
References
1. Karrer FM, Hall RJ, Stewart BA, Lilly JR. Congenital biliary tract disease. Surg Clin North Am 1990; 70:1403-18. [PMID 2247822]
2. Alonso-Lej F, Rever WB JR, Pessagno DJ. Congenital choledochal cyst, with a report of 2, and an analysis of 94, cases. Int Abstr Surg 1959; 108:1-30. [PMID 13625059]
3. Todani T, Watanabe Y, Toki A, Morotomi Y. Classification of congenital biliary cystic disease: special reference to type Ic and IVA cysts with primary ductal stricture. J Hepatobiliary Pancreat Surg 2003; 10:340-4 [PMID 14598133]
4. Todani T, Watanabe Y, Narusue M, Tabuchi K, Okajima K. Congenital bile duct cysts: Classification, operative procedures, and review of thirty-seven cases including cancer arising from choledochal cyst. Am J Surg 1977; 134:263-9. [PMID 889044]
5. Sarles H. Revised classification of pancreatitis--Marseille 1984. Dig Dis Sci 1985; 30:573-4. [PMID 3996160]
6. Babbitt DP, Starshak RJ, Clemett AR. Choledochal cyst: a concept of etiology. Am J Roentgenol Radium Ther Nucl Med 1973; 119:57-62. [PMID 4744730]
7. Yamaguchi M. Congenital choledochal cyst. Analysis of 1,433 patients in the Japanese literature. Am J Surg 1980; 140:653-7. [PMID 6776832]
8. Jalleh RP, Williamson RC. Choledochal cyst and chronic pancreatitis-treated by proximal pancreatectomy. HPB Surg 1991; 4:245-50. [PMID 1681890]
9. Swisher SG, Cates JA, Hunt KK, Robert ME, Bennion RS, Thompson JE, et al. Pancreatitis associated with adult choledochal cysts. Pancreas 1994; 9:633-7. [PMID 7809018]
10. Komuro H, Makino SI, Yasuda Y, Ishibashi T, Tahara K, Nagai H. Pancreatic complications in choledochal cyst and their surgical outcomes. World J Surg 2001; 25:1519-23. [PMID 11775184]
11. Irie H, Honda H, Jimi M, Yokohata K, Chijiiwa K, Kuroiwa T, et al. Value of MR cholangiopancreatography in evaluating choledochal cysts. AJR Am J Roentgenol 1998; 171:1381-5. [PMID 9798883]
12. Song HK, Kim MH, Myung SJ, Lee SK, Kim HJ, Yoo KS, et al. Choledochal cyst associated the with anomalous union of pancreaticobiliary duct (AUPBD) has a more grave clinical course than choledochal cyst alone. Korean J Intern Med 1999; 14:1-8. [PMID 10461418]