CASE SERIES
JOP. J Pancreas (Online) 2010 Nov 9; 11(6):604-609.
Isolated Supraclavicular Lymph Node Metastasis in Pancreatic Adenocarcinoma: A Report of Three Cases and Review of the Literature
Arundhati D Soman1, Joseph M Collins2, Giovanni DePetris3, G Anton Decker4, Alvin Silva2, Adyr Moss5, Wendy Greer1, Jonathan Ashman6, Matthew Callister6, Mitesh J Borad1
Departments of 1Hematology/Oncology, 2Radiology, 3Pathology, 4Gastroenterology, 5Transplant and Surgery, and 6Radiation Oncology; Mayo Clinic Arizona. Scottsdale, AZ, USA
ABSTRACT
Context Supraclavicular lymph nodes represent a rare site of metastasis in pancreatic cancer. We report three cases of pancreatic adenocarcinoma with metastases to supraclavicular lymph nodes. Case report A 51-year-old male was diagnosed with locally advanced pancreatic adenocarcinoma on computed tomography (CT) scan. He was recommended neoadjuvant chemotherapy followed by chemoradiation therapy. However, positron emission tomography (PET)/CT scans and subsequent fine needle aspiration cytology showed supraclavicular lymph node metastasis. The patient received systemic chemotherapy for metastatic pancreatic adenocarcinoma. The second patient, a 66-year-old female with pancreatic adenocarcinoma, underwent pancreaticoduodenectomy and was found to have peripancreatic lymph node involvement. She received adjuvant chemotherapy and was followed-up with surveillance CT scans, which did not reveal any metastasis. However, the patient complained of neck swelling. PET/CT scan and biopsy revealed supraclavicular lymph node metastasis from a pancreatic adenocarcinoma primary. The third patient, a 79-year-old male with a past history of thyroid carcinoma who was treated with partial thyroidectomy, developed neck swelling 4 years after his surgery. Fine needle aspiration cytology was consistent with known papillary thyroid carcinoma. Staging evaluations revealed a pancreatic mass for which he underwent subtotal pancreatectomy and splenectomy. Histopathology revealed grade 3 pancreatic adenocarcinoma. Excisional biopsy of a supraclavicular lymph node showed metastatic pancreatic adenocarcinoma. PET/CT results were consistent with these findings. Conclusion In patients with pancreatic adenocarcinoma, supraclavicular lymph node metastasis represents an uncommon, but clinically significant finding that can lead to changes in treatment planning. PET imaging represents a valuable tool in the detection and follow up of these patients.
INTRODUCTION
Supraclavicular lymph node metastases are a common occurrence in breast cancer, lung cancer, gastroesophageal cancer and lymphoma [1]. Pancreatic cancer represents an unusual primary for supraclavicular lymph node metastases. The liver and peritoneal cavities are common sites of metastases in pancreatic cancer. The lungs, bones and the brain are less commonly involved [2]. Unusual sites of metastases such as muscle, skin, heart, pleura, stomach, umbilicus, kidney, appendix, spermatic cord and prostate have also been reported in pancreatic cancer [3, 4, 5, 6, 7, 8, 9, 10, 11, 12].
Supraclavicular metastasis from pancreatic cancer has thus far been considered an infrequent occurrence. A review of the literature reveals only six cases of supraclavicular metastasis from pancreatic adenocarcinoma [13, 14, 15, 16]. Five of these cases were identified from three studies done to assess efficacy of positron emission tomography/computed tomography (PET/CT) or PET scans in detection of distant metastasis in pancreatic adenocarcinoma [13, 14, 16]. The incidence and prevalence of metastatic pancreatic cancer to distant lymph nodes in the head/neck/cervical region has not been well defined. One study done to assess role of PET/CT in detection of occult metastasis in pancreatic adenocarcinoma showed a 2.4% prevalence (2 out of 82 cases) of supraclavicular metastasis in pancreatic adenocarcinoma [13]. In this report, we present three additional cases of pancreatic adenocarcinoma with supraclavicular lymph node metastasis leading to an alteration of staging and subsequent treatment plans.
CASE REPORTS
Case #1
A 51-year-old Caucasian male presented with a history of progressive jaundice, loss of weight, acholic stools, and bilirubinuria. He was found to have a pancreatic head mass on a transabdominal ultrasound and CT scan of the abdomen. Fine needle aspiration cytology (FNAC) of the pancreatic mass confirmed well-differentiated ductal adenocarcinoma. The patient had unresectable disease given that the tumor encased approximately 180 degrees of the superior mesenteric artery. The initial CT scan of the abdomen showed nodules in the liver that were suspicious but not confirmatory for metastasis. Therefore, PET/CT scan was performed where no liver metastases were noted. CT scan of the neck did not demonstrate any evidence of supraclavicular metastasis (Figure 1). However, there was uptake of 18-fluorodeoxyglucose (FDG) with a standard uptake value (SUV) of 4.3-4.7 in the medial left supraclavicular region that was suspicious for nodal metastasis (Figures 2 and 3). FNAC of the left supraclavicular lymph node showed poorly differentiated metastatic adenocarcinoma consistent with a pancreatic primary. Therefore, the final clinical staging was stage IV (T4NXM1, Table 1).


|
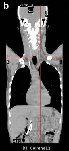
Figure 1. CT scans of Patient #1 before (a.) and after (b.) chemotherapy. CT scans do not demonstrate presence of supraclavicular metastasis in Patient #1. |


|
Figure 2. PET scans of Patient #1 before (a.) and after (b.) chemotherapy showing supraclavicular metastasis. |


|
Figure 3. PET/CT scans of Patient #1 before (a.) and after (b.) chemotherapy showing supraclavicular metastasis. After 5 cycles of chemotherapy, PET/CT scan (b.) shows favorable response to therapy with decrease in SUV of supraclavicular lymph nodes from 4.3-4.7 (baseline, a.) to 2.4 (b.). |
Table 1. Patient characteristics.
|
|
Patient #1 |
Patient #2 |
Patient #3 |
|
Age (years) |
51 |
68 |
80 |
|
Sex |
Male |
Female |
Male |
|
Race |
Caucasian |
Caucasian |
Caucasian |
|
Baseline ECOG performance status |
1 |
0 |
1 |
|
Grade of primary tumor (scale of 1-4) |
1 |
3 |
3 |
|
Location of primary tumor |
Head |
Head and ampulla |
Tail |
|
Stage prior to detection of supraclavicular metastases |
IIB (T2N1M0) |
IIB (T3N1M0) |
IIA (T3N0M0) |
|
Stage after detection of supraclavicular metastases |
IV (T2N1M1) |
IV (T3N1M1) |
IV (T3N0M1) |
|
Symptomatic vs. asymptomatic |
Asymptomatic |
Symptomatic |
Symptomatic |
|
Time between initial diagnosis and diagnosis of supraclavicular metastases (days) |
22 |
441 |
18 |
|
Sites of other metastases: |
|
|
|
|
Baseline CA 19-9 (U/mL; reference range: 0-55 U/mL) |
962 |
7 |
1,099 |
|
Baseline PET uptake in supraclavicular region (SUV) |
4.3-4.7 |
2.5-2.6 |
3.2 |
After confirmation of metastatic disease, the patient was started on gemcitabine 1,000 mg/m2 and nab-paclitaxel 100 mg/m2, both intravenously (i.v.) on days 1, 8, and 15 with cycles repeated every 28 days. At the most recent presentation, the patient had completed five cycles of systemic chemotherapy with gemcitabine and nab-paclitaxel. His CA 19-9 level had declined from 962 U/mL at baseline to 444 U/mL (reference range: 0-55 U/mL) and his PET/CT and CT scans demonstrated a favorable response to therapy. Notably, his PET/CT scan showed a decrease in SUV in the left supraclavicular nodal metastasis from 4.3-4.7 at baseline to 2.4 (Figure 3).
Case #2
A 66-year-old Caucasian female presented with jaundice and scleral icterus (Table 1). CT scans demonstrated a “double duct” sign with a malignant stricture of the pancreatic duct and the common bile duct in the head of the pancreas. The patient eventually underwent a pancreaticoduodenectomy and was found to have grade 3 out of 4 [17] ductal adenocarcinoma with a 3 cm mass involving the head of the pancreas and ampulla with margins extending into the peripancreatic adipose tissue. The tumor invaded the duodenal wall at the ampulla with involvement of multiple peripancreatic lymph nodes.
Adjuvant therapy with single agent gemcitabine was initiated post-operatively. The patient received 6 cycles of gemcitabine 1,000 mg/m2 (days 1, 8, 15 every 28 days) and was followed with surveillance CT scans of the chest, abdomen and pelvis every 6 months. Tumor markers were not used for surveillance given that the patient was a non-secretor of both CA 19-9 and CEA.
Nine months after the completion of adjuvant therapy the patient complained of swelling in the left side of the neck. The patient did not have any fever, chills, night sweats, recent unintentional weight loss, abdominal pain, nausea, vomiting, jaundice, or changes in bowel or bladder habits. It was initially felt that this was of infectious or benign inflammatory etiology. The patient had a PET/CT scan given that the swelling in the left supraclavicular region persisted despite treatment with antibiotics and ongoing observation. PET/CT scan demonstrated uptake in the left supraclavicular region with SUV of 2.5-2.6.
FNAC of the 1.7 cm left supraclavicular lymph node showed metastatic adenocarcinoma compatible with a pancreatic primary. After confirmation of metastatic disease, the patient was started on systemic chemotherapy with gemcitabine 800 mg/m2 on days 1 and 8 and everolimus 5 mg three times per week with cycles being 21 days in duration, in the setting of a clinical trial. Her supraclavicular lymph node decreased to 1.4 cm after 6 cycles of treatment. Currently, the patient has received 9 cycles of gemcitabine and everolimus and maintains stable disease per Response Evaluation Criteria In Solid Tumors (RECIST) criteria [18]. However, PET-CT scan conducted after 9 cycles of gemcitabine and everolimus, demonstrated complete resolution of the hypermetabolic activity within the supraclavicular lymph node.
Case #3
A 79-year-old Caucasian male with past history significant for follicular papillary thyroid carcinoma was treated with partial thyroidectomy. Four years after surgery, he presented with left sided supraclavicular lymphadenopathy associated with swelling of his neck. FNAC of a left supraclavicular lymph node showed an atypical population of cells characteristic of, but not specific for, papillary carcinoma. Given the patient’s history of thyroid cancer, this was felt to be the most consistent with recurrent papillary thyroid carcinoma. An ultrasound of the head and neck also demonstrated a left sided lobulated, irregular supraclavicular lymph node. The patient was recommended to undergo complete thyroidectomy with thyroid replacement and radioactive iodine treatment given the presumption that he had recurrent, metastatic papillary thyroid cancer.
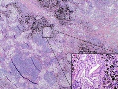
Additional staging evaluations for presumed recurrent thyroid cancer included a CT chest/abdomen, and a mass suspicious for pancreatic cancer was incidentally identified in the pancreatic tail. A CA 19-9 was obtained and found to be 1,099 U/mL. Given the high likelihood of the pancreatic mass representing a separate primary, the patient underwent subtotal pancreatectomy and splenectomy. The mass was confirmed to be a 3.5 cm ductal-type adenocarcinoma invading the peripancreatic adipose tissue with lymphatic vascular invasion, negative nodes and clear margins. The initial staging for pancreatic cancer appeared to be pT3pN0M0 with resected stage IIA disease (Table 1). The patient was scheduled to initiate adjuvant chemotherapy with single agent gemcitabine. However, prior to initiation of adjuvant therapy, excisional biopsy of the left supraclavicular nodes showed metastatic mucinous adenocarcinoma characteristic of metastatic pancreatic adenocarcinoma (Figure 4). PET/CT scan also showed focal areas of increased uptake in the left supraclavicular region. No other sites of metastatic disease were identified on CT scan or PET/CT scan.

|
Figure 4. Microphotograph of a left supraclavicular lymph node of Patient #3. Malignant glands (magnified in inset 200x) are present in lymphoid tissue with anthracotic pigment (50x magnification; hematoxylin & eosin stain). |
After determination that the patient indeed had metastatic pancreatic carcinoma, the patient was initiated on systemic chemotherapy with gemcitabine 1,000 mg/m2 i.v. infusion on days 1,8,15 and an investigational hypoxia activated alkylating pro-drug, TH-302 340 mg/m2 i.v. on days 1, 8, 15 with cycles repeated every 28 days. An MRI of the face and neck conducted after 2 cycles of systemic chemotherapy showed complete response per RECIST criteria with complete resolution of the left supraclavicular lymph adenopathy. A PET/CT scan also demonstrated improvement in FDG activity in the left supraclavicular region from an SUV of 3.2 to 1.8. His CA 19-9 normalized to 20 U/mL.
Currently, the patient remains on therapy after 8 cycles with maintenance of his complete response to therapy.
DISCUSSION
Pancreatic cancer has been known to metastasize to both local and distant lymph nodes. The exact mechanisms for such spread have not been elucidated. These may include permeation, embolization and retrograde spread in the lymphatic system [19]. The incidence of supraclavicular metastasis secondary to pancreatic adenocarcinoma is unknown. A total of six cases of supraclavicular metastasis have previously been reported in the literature, and our report adds three additional cases (Table 2). Based on our experience of 155 patients of pancreatic adenocarcinoma treated at Mayo Clinic in Arizona from February 2008 to May 2010, the prevalence can be estimated to be 1.9%. This is consistent with the prior literature. PET or PET/CT scans have not routinely been used in staging of pancreatic adenocarcinoma. Standard CT scanning of the chest and abdomen may not image the entire supraclavicular or cervical neck. Moreover, non-enlarged lymphadenopathy in the head and neck region in a patient with pancreatic cancer would not routinely involve further evaluation with biopsies and other diagnostic investigations. Therefore, detection and reporting of supraclavicular metastasis in pancreatic adenocarcinoma is very low. Supraclavicular lymph node metastasis in pancreatic cancer can be symptomatic or asymptomatic. Two of the three cases outlined in this report presented with neck swelling. However, such distant lymph node involvement in pancreatic adenocarcinoma may go unnoticed in the absence of symptoms and appropriate imaging modalities.
Table 2. Summary of literature review of supraclavicular metastasis in pancreatic cancer.
|
Authors |
Number of cases of supraclavicular metastasis |
Cytological/histologic confirmation |
Method of detection |
Change in management |
Side of metastasis |
|
Farma et al. [13] |
2 |
1 yes; 1 no |
PET/CT |
Yes |
1 left; 1 NS |
|
Nishiyama et al. [14] |
1 |
Yes |
PET |
Yes |
NS |
|
Matsuda et al. [15] |
1 |
NS |
NS |
NS |
Left |
|
Park et al. [16] |
2 |
NS |
PET/CT |
NS |
NS |
NS: not specified
The role of PET/CT in staging of pancreatic cancer has not yet been clearly defined. It has been reported that PET/CT may serve as an adjunct to standard imaging by increasing detection of occult metastases [13]. The sensitivity of PET/CT scans in the detection of pancreatic cancer is reported to be 89% [20]. However, use of PET/CT scans in pancreatic cancer for routine staging and surveillance is still controversial and is not a standard practice.
In all of the three cases reported in this article, PET/CT scans detected supraclavicular lymph node involvement that was not identified by the standard imaging protocol, CT scan of the chest and abdomen, for pancreatic cancer. Of note, CT scans, which are the de facto surveillance imaging modality, failed to detect metastasis in all three cases (Figure 1). Of course, this was predominantly due to the fact that CT scans of the neck would not be part of a routine surveillance algorithm for patients with pancreatic cancer.
Previous studies also showed that detection of distant metastases with PET/CT altered the decision making for the overall treatment plan for patients with pancreatic cancer [13, 20]. Similarly, management of all three of our patients was altered due to the detection of supraclavicular lymph node involvement with pancreatic cancer. Interestingly, all three patients presented with left-sided lymph node involvement. Coupled with the two other cases where side of involvement has been described [13, 15], all the cases have left-sided involvement. Left sided supraclavicular nodes, also termed Virchow’s nodes, represent a well characterized site of metastatic involvement, especially in the setting of gastrointestinal malignancies. The eventual drainage of lymphatic fluid into the thoracic duct and its left sided anatomical location is the postulated reason for a predilection for favoring of the left side. Notably, all three of our cases had isolated supraclavicular lymph node metastasis without spread to usual sites of metastasis in pancreatic cancer such as the liver and lungs.
In summary, supraclavicular lymph nodes represent an uncommon but clinically significant site of metastasis in pancreatic adenocarcinoma. PET/CT can provide valuable information in the detection and follow up of these patients. It should be considered as an adjunct imaging modality for patients with pancreatic cancer. However, given the higher cost of PET scan compared to conventional CT scans at this time, a cost-benefit analysis should be conducted before these finding can have wider utility beyond centers where these imaging modalities are in routine use. Detailing economic benefit by way of avoidance of treatment for local therapies such as surgery and radiation that could be avoided through use of PET/CT scan in the detection of distant metastasis would be critical in the context of such a cost benefit analysis as the cost savings from avoidance of these procedures would have to offset the fact that only one in every 50 patients (about 2%) would have supraclavicular metastases detected via PET/CT scans. The declining costs of PET/CT scans as they garner wider use would also confer a more favorable cost to benefit advantage over time and should be factored into any cost benefit discussion. Detection of distant metastases of this nature can alter the prognosis and treatment course drastically. As such, evaluation of abnormalities found in distant lymph nodes on PET/CT scan and other imaging modalities and any symptomatic distant lymphadenopathy, especially in a left supraclavicular node, should include recurrent/metastatic pancreatic cancer in the differential diagnosis.
Received September 14th, 2010 - Accepted October 11th, 2010
Keywords Lymphatic Metastasis; Pancreatic Neoplasms; Positron-Emission Tomography; Tomography, Emission-Computed; Tomography, X-Ray Computed
Abbreviations RECIST: Response Evaluation Criteria In Solid Tumors
Conflict of interest The authors have no potential conflict of interest
Correspondence
Mitesh
J Borad
Division of Hematology/Oncology
Mayo Clinic Arizona
13400 East Shea Blvd
Scottsdale, AZ 85259
USA
Phone: +1-480.301.8335
Fax: +1-480.301.4657
E-mail: borad.mitesh@mayo.edu
References
1. Fultz PJ, Harrow AR, Elvey SP, Feins RH, Strang JG, Wandtke JC, et al. Sonographically guided biopsy of supraclavicular lymph nodes: a simple alternative to lung biopsy and other more invasive procedures. AJR Am J Roentgenology 2003; 180:1403-9. [PMID 12704059]
2. Borad MJ, Saadati H, Lakshmipathy A, Campbell E, Hopper P, Jameson G, et al. Skeletal metastases in pancreatic cancer: a retrospective study and review of the literature. Yale J Biol Med 2009; 82:1-6. [PMID 19325940]
3. Otegbayo JA, Oluswasola OA, Akere A, Yakubu A, Daramola OO, Ogun GO. Pancreatic carcinoma presenting as cutaneous nodules in a diabetic Nigerian male. West Afr J Med 2005; 24:180. [PMID 16092324]
4. Takamori H, Kanemitsu K, Tsuji T, Kusano S, Chikamoto A, Okuma T, et al. Metastatic gastric tumor secondary to pancreatic adenocarcinoma. J Gastroenterol 2005; 40:209-12. [PMID 15770407]
5. Turiaf J, Battesti JP, Basset F, Degos JD. Metastatic pleurisy in pancreatic cancer with the presence of considerable quantities of amylase in the pleural effusion and a major paraneoplastic peripheral neurologic syndrome. Ann Med Interne (Paris) 1969; 120:449-58. [PMID 4309013]
6. Crescentini F, Deutsch F, Sobrado CW, Araújo S. Umbilical mass as the sole presenting symptom of pancreatic cancer: a case report. Rev Hosp Clin Fac Med Sao Paulo 2004; 59:198-202. [PMID 15361985]
7. Martino L, Martino F, Coluccio A, Mangiarini MG, Chioda C. Renal metastases from pancreatic adenocarcinoma. Arch Ital Urol Androl 2004; 76:37-9. [PMID 15185821]
8. Filik L, Ozdal-Kuran S, Cicek B, Zengin N, Ozyilkan O, Sahin B. Appendicular metastases from pancreatic adenocarcinoma. Int J Gastrointest Cancer 2003; 34:55-8. [PMID 15235136]
9. Bandyopadhyay D, Kapadia CR, Da Costa PE. Pancreatic carcinoma: report of two cases presenting with unusual metastases. Indian J Gastroenterol 2005; 24:75-6. [PMID 15879657]
10. Merseburger AS, Muller CC, Merseburger Schonborn CT, Ostertag H, Kuczyk MA. A rare case of isolated prostate metastasis from primary pancreatic cancer. Urologe A 2005; 44:527-9. [PMID 15739061]
11. Wafflart E, Gibaud H, Lerat F, de Kersaint-Gilly A, Leborgne J. Muscular metastases of cancer of the pancreas. J Chir (Paris) 1996; 133:167-70. [PMID 8761070]
12. Robinson BW, Lewis RR. Myocardial metastases from carcinoma of pancreas presenting as acute myocardial infarction. J R Soc Med 1982; 75:560-2. [PMID 7086811]
13. Farma JM, Santillan AA, Melis M, Walters J, Belinc D, Chen DT, et al. PET/CT fusion scan enhances CT staging in patients with pancreatic neoplasms. Ann Surg Oncol 2008; 15:2465-71. [PMID 18551347]
14. Nishiyama Y, Yamamoto Y, Yokoe K, Monden T, Sasakawa Y, Tsutsui K, et al. Contribution of whole body FDG-PET to the detection of distant metastasis in pancreatic cancer. Ann Nucl Med 2005; 19:491-7. [PMID 16248386]
15. Matsuda M, Watanabe G, Hashimoto M. A case of salvage chemotherapy with gemcitabine hydrochloride and nedaplatin for gemcitabine-refractory pancreatic cancer. Gan To Kagaku Ryoho 2008; 35:137-9. [PMID 18195544]
16. Park SS, Lee KT, Lee KH, Lee JK, Kim SH, Choi JY, et al. Diagnostic usefulness of PET/CT for pancreatic malignancy. Korean J Gastroenterol 2009; 54:235-42. [PMID 19844143]
17. American Joint Committee on Cancer. AJCC Cancer Staging Manual, 6th Edition. New York, NY, USA: Springer, 2002. [ISBN 978-0387952710]
18. Eisenhauer EA, Therasse P, Bogaerts J, Schwartz LH, Sargent D, Ford R, et al. New response evaluation criteria in solid tumours: Revised RECIST guideline (version 1.1). Eur J Cancer 2009; 45:228-47. [PMID 19097774]
19. Horino K, Hiraoka T, Kanemitsu K, Tsuji T, Inoue K, Tanabe D, et al. Subcutaneous metastases after curative resection for pancreatic carcinoma: A case report and review of the literature. Pancreas 1999; 19:406-8. [PMID 10547202]
20. Heinrich S, Goerres GW, Schäfer M, Sagmeister M, Bauerfeind P, Pestalozzi BC, et al. Positron emission tomography/computed tomography influences on the management of resectable pancreatic cancer and its cost-effectiveness. Ann Surg 2005; 242:235-43. [PMID 16041214]