CASE REPORT
JOP. J Pancreas (Online) 2010 Nov 9; 11(6):610-613.
Gastric Involvement in Autoimmune Pancreatitis: MDCT and Histopathologic Features
Juan C Baez1, Matthew J Hamilton2, Andrew Bellizzi3, Koenraad J Mortelé1
Departments of 1Radiology, 2Medicine, and 3Surgical Pathology, Brigham and Women’s Hospital, Harvard Medical School. Boston, MA, USA
ABSTRACT
Context Autoimmune pancreatitis is a relatively rare, yet well described cause of chronic pancreatitis. Extrapancreatic findings are now recognized as important manifestations of this entity and viewed as part of a larger disease process tentatively named “IgG4-associated sclerotic disease”. Case report We herein report a case of autoimmune pancreatitis with histopathologically proven gastric involvement. We also describe and illustrate the multidetector-row computed tomography appearance of gastric involvement in IgG4-associated sclerotic disease. Conclusion Autoimmune pancreatitis is increasingly recognized as a multi-systemic disease whose early recognition dramatically affects patient management. Knowledge of the computed tomography appearance of gastric involvement in autoimmune pancreatitis can aid in diagnosis.
INTRODUCTION
Since its first description by Yoshida et al. in 1995, autoimmune pancreatitis has been increasingly recognized as a rare but global cause of chronic pancreatitis [1]. Though early reports described extrapancreatic manifestations of the disease, recent work and diagnostic criteria have increasingly emphasized the importance of these findings [2]. With the increasing use of IgG4 serum and immunohistochemical markers, some authors now categorize autoimmune pancreatitis as part of a broader spectrum of IgG4-associated disease [2, 3].
Radiologic descriptions of pancreatic involvement in autoimmune pancreatitis are widely available [4, 5]. A few case reports and case series also describe extrapancreatic manifestations including cholangitis, sialadenitis, renal lesions, and peripancreatic as well as periaortic soft tissue involvement [5]. Within the endoscopic literature, involvement of the gastrointestinal tract has also been established [6]. To the best of our knowledge, however, no radiologic descriptions of gastric involvement in autoimmune pancreatitis exist in the English language literature. We herein present a case of autoimmune pancreatitis with gastric involvement illustrated on multidetector-row computed tomography (MDCT) that was proven to be secondary to IgG4-associated sclerotic disease.
CASE REPORT
A 58-year-old male with a history of multiple episodes of diverticulitis and a previous left submandibular salivary gland mass resection presented to an outside hospital with an unintentional 13.6 kg weight loss in 3 months associated with early satiety, diarrhea, and generalized abdominal pain. MDCT and endoscopic ultrasound (EUS) performed at the outside institution showed an enlarged and heterogenous pancreas. An esophagogastroduodenoscopy (EGD) with gastric body biopsy was notable for mucosa demonstrating extensive atypical cellular infiltration suggestive of mastocytosis. Tests for serum tryptase, urine prostaglandin and histamine, as well as a bone marrow evaluation were all negative for mastocytosis.
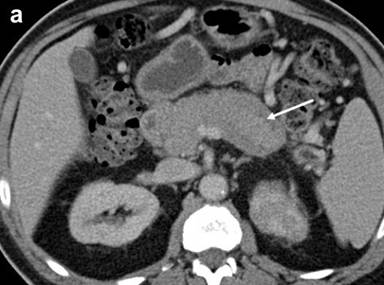
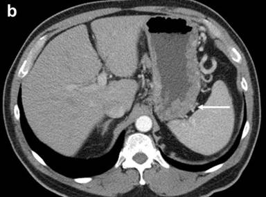
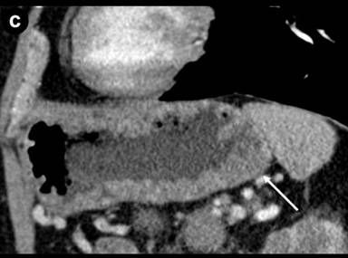
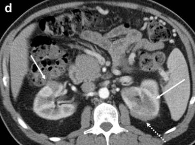
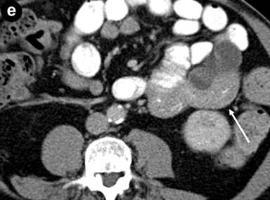
The patient was referred to our institution for consultation where he underwent repeat multiplanar MDCT with the use of 100 mL intravenous (iopromide; Ultravist® 300, Bayer, NJ, USA) contrast material delivered at 3 mL/s and imaged with a 70 s delay. Nine hundred mL oral (water) contrast was also utilized. Images were obtained at 120 kVp and 200 mAs and reconstructed at 5 mm. The pancreas was universally enlarged with a distinct rim of hypoattenuation (Figure 1). The wall of the gastric body and fundus, predominantly posteriorly, was diffusely thickened, measuring up to 1.4 cm, and had a nodular appearance (Figure 1). The gastric wall thickening spared the antrum. No hyperenhancement of the gastric wall was noted. There were additionally noted several hypodense lesions in both kidneys that were surrounded by hypovascular soft tissue (Figure 1) as well as focal jejunal wall thickening without hyperenhancement (Figure 1).





|
Figure 1. a. Axial MDCT image of the abdomen with intravenous and oral contrast demonstrates a thickened, “sausage-like” pancreas with a hypodense rim of tissue (arrow). b. Axial MDCT image of the abdomen with intravenous and oral contrast demonstrates a thickened and nodular appearance of the stomach wall at the level of the gastric body measuring up to 1.4 cm (arrow). c. Sagittally reformatted MDCT image of the abdomen shows the thickened and nodular gastric body wall, most pronounced posteriorly (arrow). d. Axial MDCT image demonstrates bilateral renal lesions (arrows) with a soft tissue attenuation within and immediately adjacent to the left kidney (dotted arrow). e. Axial MDCT image demonstrates focal jejunal wall thickening. |
Given the clinical history and imaging findings, the presumed diagnosis was autoimmune pancreatitis with extrapancreatic involvement. Serum IgG was elevated (3,700 mg/dL) (reference range: 700-1,600 mg/dL), but IgG4 was within normal levels (58 mg/dL; reference range: 4-86 mg/dL). EGD was repeated and demonstrated gastric wall edema with mild thickening of the folds that was biopsied (Figure 2) and an enlarged and edematous duodenal papilla.



|
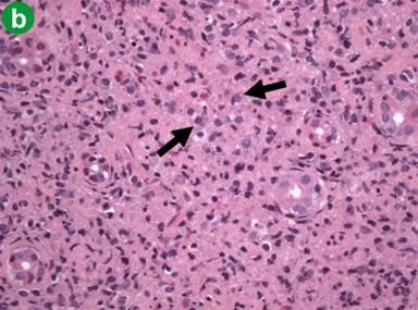
Figure 2. a. Endoscopic image demonstrates non-erosive gastric inflammation characterized by wall edema and mildly thickened folds. b. Hematoxylin-eosin stain of the gastric mucosa demonstrates a crushed infiltrate effacing the normal architecture with numerous plasma cells (arrows) (400x). c. Immunohistochemistry demonstrates IgG4 positivity (arrows) (400x). |
Histopathological evaluation demonstrated marked lymphocytes and plasma cells as well as scattered KIT-positive mast cells (Figure 2). Extensive IgG and IgG4 immunostaining was noted in the stomach consistent with mucosal involvement of IgG4-associated sclerotic disease (Figure 2). Immunohistochemical staining of his previously excised submandibular salivary gland also demonstrated IgG4-positivity. The patient subsequently underwent treatment with a 2 month course of prednisone (40 mg daily) which was then tapered upon symptomatic improvement.
DISCUSSION
Autoimmune pancreatitis refers to a chronic inflammatory condition mediated by an autoimmune mechanism consisting of lymphocytes and plasma cells [4]. Consequently, the term lymphoplasmacytic sclerosing pancreatitis has also been used to describe the same process [4]. Though autoimmune pancreatitis occurs in both sexes, it is most prevalent in men over the age of 50 years. Initially described in Japan, it is now recognized as a global disease [7]. Approximately 5% of all patients with chronic pancreatitis are estimated to have an autoimmune etiology [4]. Autoimmune pancreatitis has been associated with other autoimmune diseases including Sjogren’s syndrome, retroperitoneal fibrosis, primary sclerosing cholangitis, rheumatoid arthritis, and inflammatory bowel disease [1, 8]. The coexistence of pancreatic cancer with autoimmune pancreatitis has also been described though the link has not been established or explained [9].
A characteristic finding in patients with autoimmune pancreatitis is the heavy predominance of IgG4-positive plasma cells. Up to 91% of patients demonstrate elevated IgG4 levels either on serology or immunohistochemistry [10, 11]. Recent research has demonstrated the extension of IgG4-associated autoimmune disease to organs other than the pancreas [10]. Though the imaging characteristics of autoimmune pancreatitis have been well established in the radiologic literature, descriptions of extrapancreatic involvement are sparse [5]. To the best of our knowledge, associated changes within the gastrointestinal tract have only been described endoscopically and histopathologically.
Kamisawa et al. studied the endoscopic and histological findings throughout the gastrointestinal tract in patients with autoimmune pancreatitis and observed foci of pale, thickened mucosa with loss of vascular patterns in these organs [12]. No specific findings were seen in the stomach, but the mucosal changes were thought secondary to infiltration by IgG4-positive plasma cells [12]. Other case reports have demonstrated gastric involvement. Kaji et al. reported a case of autoimmune pancreatitis where the patient was found to have multiple IgG4 positive gastric polyps [13]. Gastric ulcers in relation to autoimmune pancreatitis have also been described in the literature [14].
In our report, we illustrate the MDCT findings in conjunction with the endoscopic appearance of a histopathology-proven case of gastric wall involvement in IgG4-associated sclerotic disease. Endoscopically, the gastric mucosa had the appearance of non-erosive gastritis with mildly thickened folds. The nonspecific MDCT finding of gastric wall thickening without hyperenhancement suggests a large differential diagnosis that includes other diseases such as lymphoma or gastric carcinoma. However, the coexistence of “sausage-like” enlargement of the pancreas with a well defined rim of low attenuation soft tissue, as in our case, should alert the astute radiologist to the unifying diagnosis of autoimmune pancreatitis with associated gastric IgG4 disease.
As a relatively new diagnosis, autoimmune pancreatitis or systemic IgG4-associated sclerotic disease is not often recognized on initial presentation. Accurate diagnosis is essential because this entity can be effectively managed non-invasively with the use of corticosteroids [5, 6, 15]. Surgery is not indicated in the treatment of this condition and the prognosis for both pancreatic and extra-pancreatic manifestations is generally favorable with medical management alone [15].
The diagnosis of the disease, however, remains an area of contention. Radiologic imaging in isolation cannot make the diagnosis, though it can strongly suggest it. Pathologic diagnosis alone is also insufficient as the nonspecific findings of a lymphoplasmacytic infiltrate, fibrosis, and obliterative phlebitis are seen in a whole range of chronic inflammatory processes [10]. The large number of IgG4-positive plasma cells within our patient’s gastric wall biopsy specimen exceeded the number that would be typically seen in other chronic inflammatory processes and was most characteristic of IgG4-associated disease, especially given the clinical context. The use of IgG4 immunohistochemical markers provides compelling evidence for the diagnosis, but might not be included as part of the standard procedure unless suggested by the ordering clinicians.
In our case, additional clues both suggested and supported the diagnosis. The salivary and lacrimal glands are often involved in IgG4-associated disease. Review of the patient’s previously excised submandibular salivary gland confirmed the presence of IgG4-positive plasma cells within a lymphoplasmacytic infiltrate containing dense bands of fibrosis. Renal lesions that have previously been described in conjunction with this entity were also observed in this patient. Though the sigmoid colon was noted to have IgG4-positive plasma cells on biopsy, it did not demonstrate any radiologic abnormality. The small bowel, however, had focal areas of wall thickening likely associated with this entity, although no biopsies were taken in this area.
The HISORt criteria for the diagnosis of autoimmune pancreatitis proposed by Chari et al. rely on a combination of Histology, Imaging, Serology, Other organ involvement, and Response to steroid therapy [16]. These criteria emphasize the importance of extrapancreatic involvement and, indeed, the diagnostic criteria proposed by others also include extrapancreatic involvement [17]. Some authors have even suggested that the diagnosis can be made in the absence of a pancreas biopsy by using IgG4 immunostains of appropriate extrapancreatic tissue [18]. Our understanding of this disease process is still evolving and it may come to bear that previously described associations with autoimmune pancreatitis such as sclerosing cholangitis may all be different appearances of the same multisystem disease [10].
The evolving definition of autoimmune pancreatitis and IgG4-associated sclerotic disease and its increasingly frequent recognition make it essential that the practicing radiologist be aware of its existence and manifestations. As gastric wall thickening is non-specific, this finding in isolation does not imply the diagnosis of IgG4-associated sclerotic disease, and other more common entities should be ruled out first. In the context of an appropriate clinical history and additional associated radiologic manifestations, however, the constellations of findings should suggest the diagnosis. Early and accurate diagnosis of this entity can profoundly alter patient management and prognosis. In our case, the patient was initially misdiagnosed with mastocytosis. Three months after establishing the correct diagnosis of IgG4-associated sclerotic disease and starting the patient on prednisone, however, the patient reported a marked improvement in symptoms. Repeat imaging three months after diagnosis showed a decrease in the pancreatic thickening, gastric wall thickening, and perinephric infiltration.
Received July 20th, 2010- Accepted August 9th, 2010
Key words Endoscopy, Digestive System; Immunoglobulin G; Pancreas; Pancreatitis; Radiology; Stomach
Conflict of interest The authors have no potential conflict of interest
Correspondence
Koenraad J Mortele
Division of Abdominal Imaging and Intervention
Department of Radiology
Brigham and Women’s Hospital
75 Francis Street
Boston MA 02115
USA
Phone: +1-617.732.7624
Fax: +1-617.732.6317
E-mail: kmortele@partners.org
References
1. Yoshida K, Toki F, Takeuchi T, Watanabe S, Shiratori K, Hayashi N. Chronic pancreatitis caused by an autoimmune abnormality. Proposal of the concept of autoimmune pancreatitis. Dig Dis Sci 1995; 40:1561-8. [PMID 7628283]
2. Takuma K, Kamisawa T, Anjiki H, Egawa N, Igarashi Y. Metachronous extrapancreatic lesions in autoimmune pancreatitis. Intern Med 2010; 49:529-33. [PMID 20228586]
3. Kamisawa T, Okamoto A. IgG4-related sclerosing disease. World J Gastroenterol 2008; 14:3948-55. [PMID 18609677]
4. Kawamoto S, Siegelman SS, Hruban RH, Fishman EK. Lymphoplasmacytic sclerosing pancreatitis (autoimmune pancreatitis): evaluation with multidetector CT. Radiographics 2008; 28:157-70. [PMID 18203936]
5. Sahani DV, Kalva SP, Farrell J, Maher MM, Saini S, Mueller PR, et al. Autoimmune pancreatitis: imaging features. Radiology 2004; 233:345-52. [PMID 15459324]
6. Kamisawa T, Egawa N, Nakajima H. Tsuruta K, Okamoto A. Extrapancreatic lesions in autoimmune pancreatitis. J Clin Gastroenterol 2005; 39:904-7. [PMID 16208116]
7. Kim KP, Kim MH, Lee SS, Seo DW, Lee SK. Autoimmune pancreatitis: it may be a worldwide entity. Gastroenterology 2004; 126:1214. [PMID 15057766]
8. Zamboni G, Lüttges J, Capelli P, Frulloni L, Cavallini G, Pederzoli P, et al. Histopathological features of diagnostic and clinical relevance in autoimmune pancreatitis: a study on 53 resection specimens and 9 biopsy specimens. Virchows Arch 2004; 445:552-63. [PMID 15517359]
9. Kamisawa T, Horiguchi SI, Hayashi Y, Yun X, Yamaguchi T, Tsuruta K, Sasaki T. K-ras mutation in the major duodenal papilla and gastric and colonic mucosa in patients with autoimmune pancreatitis. J Gastroenterol 2010; 45:771-8. [PMID 20157749]
10. Deheragoda M, Church N, Rodriguez-Justo M, Munson P, Sandanayake N, Seward E, et al. The use of immunoglobulin G4 immunostaining in diagnosing pancreatic and extrapancreatic involvement in autoimmune pancreatitis. Clin Gastroenterol Hepatol 2007; 5:1229-34. [PMID 17702660]
11. Kamisawa T, Okamoto A, Funata N. Clinicopathological features of autoimmune pancreatitis in relation to elevation of serum IgG4. Pancreas 2005; 31:28-31. [PMID 15968244]
12. Kamisawa T, Egawa N, Nakajima H, Tsuruta K, Okamoto A, Hayashi Y, Funata N. Gastrointestinal findings in patients with autoimmune pancreatitis. Endoscopy 2005; 37:1127-30. [PMID 16281144]
13. Kaji R, Okabe Y, Ishida Y, Takedatsu H, Kawahara A, Aino H, et al. Autoimmune pancreatitis presenting with IgG4-positive multiple gastric polyps. Gastrointest Endosc 2010; 71:420-2. [PMID 19846081]
14. Chang MC, Chang YT, Wei SC, Kuo CH, Liang PC, Wong JM. Autoimmune pancreatitis associated with high prevalence of gastric ulcer independent of Helicobacter pylori infection status. Pancreas 2009; 38:442-6. [PMID 19276869]
15. Kamisawa T, Okazaki K, Kawa S, Shimosegawa T, Tanaka M. Working members of Research Committee for Intractable Pancreatic Disease and Japan Pancreas Society. Japanese consensus guidelines for management of autoimmune pancreatitis: III. Treatment and prognosis of AIP. J Gastroenterol 2010; 45:471-7. [PMID 20213336]
16. Chari ST, Smyrk TC, Levy MJ, Topazian MD, Takahashi N, Zhang L, et al. Diagnosis of autoimmune pancreatitis: the Mayo Clinic Experience. Clin Gastroenterol Hepatol 2006; 4:1010-6. [PMID 16843735]
17. Finkelberg DL, Sahani D, Deshpande V, Brugge WR. Autoimmune pancreatitis. N Engl J Med 2006; 355:2671-6. [PMID 17182992]
18. Kamisawa T. Diagnostic criteria for autoimmune pancreatitis. J Clin Gastroenterol 2008; 42:404-7. [PMID 18277897]