CASE REPORT
JOP. J Pancreas (Online) 2010 Nov 9; 11(6):617-619.
Cystic Lymphangioma of the Pancreas: Diagnostic and Therapeutic Challenges
Hossein Fahimi1, Maziar Faridi1, Seemin Gholamin3, Sharareh Molanaee2, Maziar Khorsandi4
Departments of 1Surgery and 2Pathology, Iran Mehr Hospital; 3Beheshti University. Tehran, Iran. 4Western General Hospital. Edinburgh, United Kingdom
ABSTRACT
Context Cystic lymphangiomas originate as benign masses which occur mostly in children especially in the head and neck region and/or the groin. Although abdominal lymphangiomas are rare, they are most commonly reported in adults. In addition, pancreatic involvement is rare. Lymphatic malformation with blockage of the lymphatic flow is the most common etiology leading to the formation of lymphangiomas. Cystic lymphangiomas should always be included in the differential diagnosis of abdominal masses which present with mass effect signs and symptoms. Due to its rarity, it forms a diagnostic and therapeutic challenge for the clinician. Case report We herein report the case of a 43-year-old man with a cystic lymphangioma detected in the head of the pancreas and describe the surgical procedure utilized as the therapeutic medium. Conclusion To remove this mass, we utilized a modified approach to a classic pancreaticoduodenectomy. This technique involved resection of the head of the pancreas while preserving the upper 2nd portion of the duodenum and the ampulla of Vater. The result of our 30-month follow-up of this patient has been very satisfactory with no complications.
INTRODUCTION
Cystic lymphangiomas are benign cystic tumors [1, 2]. The etiology of these tumors is thought to be due to congenital lymphatic malformations causing obstruction of the lymphatic flow leading to lymphangiectasis. These tumors most commonly occur in the neck, the axilla and the mediastinum in the pediatric age group [1], very rarely occurring in the pancreas or in adults [2, 3]. Pancreatic cystic lymphangiomas may clinically mimic pancreatic carcinoma and should be considered as a differential diagnosis in any patient found to have an abdominal mass. En bloc resection of the tumor is said to be the treatment of choice [3]. We herein report the case of a 43-year-old man with a cystic lymphangioma detected in the head of the pancreas and describe the surgical procedure utilized as the therapeutic medium.
CASE REPORT
A 43-year-old man presented with epigastric pain and nausea of one month duration prior to his admission. He also had a history of some weight loss, which was insignificant. Physical examination was unremarkable and laboratory investigations showed no derangements.
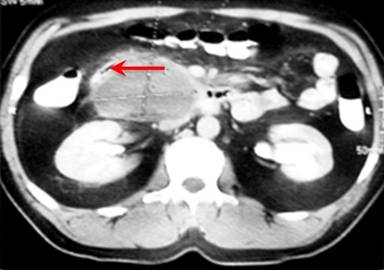
An abdominal computed tomography (CT) scan illustrated a 9x8 cm, solid, septated, cystic mass in the head of the pancreas (Figure 1). The mass had not invaded any adjacent organs. There was no evidence of lymphadenopathy on the CT scan. Furthermore, the level of the CA 19-9 tumor marker was within the normal range which made the diagnosis of malignancy less likely.

|
Figure 1. Abdominal CT scan. A large cystic lesion was located in the head of pancreas and had displaced the duodenum laterally (arrow). (Courtesy of Dr. Moradi). |
We then performed a diagnostic laparoscopy to evaluate the peritoneal cavity and the mass. Laparoscopy showed a normal peritoneum; however, it confirmed the presence of a large mass. This mass was suspected to be either a metastatic lesion or involve the lymph nodes Excellent access was provided to the pancreas by means of an upper midline laparotomy. The tumor was revealed. The mass was located in the processus uncinatus, infiltrating and displacing the distal portion of the second and third parts of the duodenum (Figure 2). Considering the risk of malignancy and seeding, we avoided biopsy and puncture. We therefore decided to perform a modified pancreaticoduodenectomy. The pancreatic and bile ducts were preserved. The mass and duodenum distal from the ampulla of Vater were resected en bloc. An end-to-end jejunoduodenostomy re-established gastrointestinal continuity (Figure 3).

|
Figure 2. A schematic presentation of the cystic mass located in the caudal aspect of the pancreatic head. This lesion had infiltrated the duodenum and had displaced it laterally. |

|
Figure 3. A schematic presentation illustrating the end-to-end jejunoduodenostomy just distal to the ampulla of Vater which was performed on this patient following the en bloc resection of the mass and the distal duodenum. |
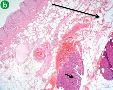
Macroscopically, the mass had a cystic and lobulated appearance (Figure 4). The microscopic findings of the mass are shown in Figure 5. Furthermore, the diagnosis of a cystic lymphangioma of the pancreas was confirmed by immunohistochemistry which showed CD3 and factor VIII positivity for cells lining the dilated channels in a sample of the head of the pancreas.

|
Figure 4. The cystic lesion had firmly adhered to the duodenum (small arrow); the lesion contained serous fluid and solid components (long arrow). |


|
Figure 5 a. Aggregates of lymphoid cells (short arrow) adjacent to closely packed lymphatic channels (long arrow). (H&E staining; low power magnification: x10). b. Pancreatic tissue (short arrow) and lymphatic channels (long arrow). The background is formed by mesodermal tissue. (H&E staining; low power magnification: x10). |
The postoperative course was uneventful with no anastomotic leak. Oral feeding was commenced on the 3rd postoperative day and was very well tolerated. The patient was discharged from the hospital on the 6th post-operative day. The patient was assessed 10 days after discharge at our outpatient clinic; his general condition was satisfactory and he had no further complaints.
The 30-month follow-up of the patient is now complete. He is still doing well with a good quality of life and no complaints.
DISCUSSION
Lymphangiomas are benign cystic tumors, resulting from congenital malformations of the lymphatics. They most commonly occur in the neck, axilla and mediastinum in the pediatric age group [4].
Pancreatic lymphangiomas are very rare. To our knowledge, only 15 cases of pancreatic head lymphangiomas have previously been reported in the literature [5]. These tumors appear to originate from the extra-lobular connective tissue, which supports malformations of the lymphatics of the dorsal duodenum.
Clinically, these tumors may mimic pancreatic neoplasms [6]. The patients are mostly asymptomatic. When complicated, anemia, pain, hemorrhage, nausea, hydronephrosis and/or infection may also be present. Ultrasonography and CT imaging are essential diagnostic tools in diagnosing such abnormalities although it is difficult to differentiate lymphangiomas from other cystic pancreatic lesions by means of imaging per se. Pseudocysts, mucinous and serous cystadenomas, congenital cysts and ductal carcinomas should be considered as differential diagnoses [7].
Our patient presented with transient upper abdominal pain and nausea. He also had some weight loss, which was not significant. Ultrasonography and CT imaging revealed a large septated cystic lesion in the head of the pancreas, suggesting a probable neoplastic lesion, such as a cystic adenoma. The patient gave no history of pancreatitis nor did he have any signs and symptoms of infection. Therefore, we could safely rule out the possibility of this lesion being a pancreatic pseudocyst.
We performed a diagnostic laparoscopy to evaluate the peritoneal cavity. We were looking for signs of invasive malignancy, namely ascites, peritoneal lesions, lymph nodes and involvement of the adjacent peripancreatic organs, all of which were ruled out during this procedure.
In conclusion, as the role of diagnostic laparoscopy becomes more and more prominent in the staging of the pancreatic tumors, we suggest considering a similar approach in patients with pancreatic mass lesions. Resection of the lesions located in the head of the pancreas may lead to a classic pancreaticoduodenectomy. This is a major undertaking which may cause significant derangement of the normal anatomy and, to some degree, the normal physiology of the upper gastrointestinal tract. In order to avoid an extensive procedure, we performed an en bloc resection of the tumor while preserving the upper portion of the second part of the duodenum and the ampulla of Vater. To our knowledge, this modification has not previously been reported in the literature in reports of elective pancreatic head resections.
Received July 26th, 2010 - Accepted August 24th, 2010
Key words Lymphangioma; Lymphangioma, Cystic; Pancreas; Pancreaticoduodenectomy
Acknowledgements We acknowledge the key support of Dr. Seemin Moradi (Senior Radiologist; Department of Radiology, Iran Mehr Hospital - Tehran, Iran) and Dr. Shekoufeh Hosseini (Senior Pathologist; Department of Pathology, Iran Mehr Hospital - Tehran, Iran) in helping us to prepare this case report.
Conflict of interest The authors have no potential conflict of interest
Correspondence
Maziar
Khorsandi
Western General Hospital
Flat 3F4, 29 Lauriston Street
Edinburgh EH3 9DQ
Scotland, United Kingdom
Phone: +44-131.478.3060
Fax: +44-131.537.1873
E-mail: m.khorsandi@sms.ed.ac.uk
References
1. Colovic RB, Grubor NM, Micev MT, Rankovic VI, Jagodic MM. Cystic lymphangioma of the pancreas. World J Gastroenterol 2008; 14:6873-5. [PMID 19058318]
2. Koenig TR, Loyer EM, Whitman GJ, Raymond AK, Charnsangavej C. Cystic lymphangioma of the pancreas. AJR Am J Roentgenol 2001; 177:1090. [PMID 11641176]
3. Lyngdoh TS, Konsam R, Th B, Marak B. Giant cystic lymphangioma of pancreas. ANZ J Surg 2008; 78:673-4. [PMID 18796026]
4. Gray G, Fried K, Iraci J. Cystic lymphangioma of the pancreas: CT and pathologic findings. Abdom Imaging 1996; 23:78-80. [PMID 9437068]
5. Igarashi A, Maruo Y, Ito T, Ohsawa K, Serizawa A, Yabe M, et al. Huge cystic lamphangioma of the pancreas: Report of a case. Surg Today 2001; 31:743-6. [PMID 11510617]
6. Khandelwal M, Lichtenstein GR, Morris JB, Furth EE, Long WB. Abdominal lymphangioma masquerading as a pancreatic cystic neoplasm. J Clin Gastroenterol 1995; 20:142-4. [PMID 7769196]
7. Kullendorff CM, Malmgren N. Cystic abdominal lymphangioma in children. Case report. Eur J Surg 1993;159:499-501. [PMID 8274560]