CASE REPORT
JOP. J Pancreas (Online) 2010 Nov 9; 11(6):620-624.
Idiopathic Hyperammonemia in a Patient with Total Pancreatectomy and Islet Cell Transplantation
Udayakumar Navaneethan, Preethi GK Venkatesh
Digestive Disease Institute, Cleveland Clinic Foundation. Cleveland, OH, USA
ABSTRACT
Context Idiopathic hyperammonemia is characterized by elevated serum ammonia associated with neurological deterioration of no other obvious etiology associated with relatively normal liver function tests and normal amino-acid levels. Case report We report a case of a 32-year-old woman who presented with acute mental status changes with a pelvic abscess approximately a year following her total pancreatectomy and islet cell transplant surgery. Her ammonia level was elevated to 425 μg/dL. Traditional ammonia-reducing therapies were initiated, but proved ineffective. Metabolic, pharmacologic, microbial, and autoimmune causes for hyperammonemia were excluded. The patient ultimately required continuous veno-venous hemofiltration to decrease her ammonia. Ammonia levels decreased following continuous veno-venous hemofiltration and the patient’s mental status gradually returned to baseline. Conclusion Idiopathic hyperammonemia in the setting of total pancreatectomy and islet cell transplantation has not been reported before. We propose that malnutrition following total pancreatectomy resulting in repressed urea cycle enzyme synthesis may have predisposed for this hyperammonemia.
INTRODUCTION
Idiopathic hyperammonemia is characterized by elevated serum ammonia associated with neurological deterioration of no other obvious etiology associated with relatively normal liver function tests and in the absence of inborn errors of metabolism or other identifiable causes [1, 2]. Idiopathic hyperammonemia has been reported following treatment of acute leukemia [2, 3, 4], and following allogenic or autologous bone marrow transplantation for malignant and non-malignant diseases and following orthotopic lung transplantation [5, 6, 7, 8]. However, to our knowledge, there are no previous reports of hyperammonemia following total pancreatectomy and islet cell transplantation. This case report describes an uncommon setting in which hyperammonemia occurred a year following total pancreatectomy and islet cell transplantation. The patient had malnutrition following her islet cell transplant which required enteral nutrition through tube feeds. Repressed urea cycle enzyme synthesis secondary to malnutrition and the catabolic stress secondary to infection may have contributed to hyperammonemia in this patient.
CASE REPORT
A 32-year-old woman was admitted to the hospital with acute onset confusion and lethargy. Per reported by the husband, the patient did not have any fevers, but did complain of diffuse abdominal pain. The patient had undergone a total pancreatectomy with islet cell transplant one year earlier in our institution for the treatment of idiopathic chronic small duct pancreatitis with debilitating abdominal pain. The patient had removal of the entire pancreas a long with the spleen, duodenum, and distal common bile duct. Gastrointestinal reconstruction involved either a side-to-side two-layer gastrojejunostomy. Bile duct continuity was usually restored by an end-to-side hepaticojejunostomy just proximal to the gastrojejunostomy All the genetic work up for pancreatitis including serine protease inhibitor Kazal type 1, protease serine 1 (cationic trypsinogen), cystic fibrosis transmembrane regulator mutations were negative at that time. The patient’s postoperative course was subsequently complicated by persistent nausea, vomiting, and abdominal pain necessitating several hospitalizations for dehydration and was diagnosed with gastroparesis. She had a percutaneous jejunal tube placement for malnutrition secondary to nausea and vomiting three months before the current hospitalization through which she was receiving tube feeds at night time. Her past medical history was significant for a congenital bladder abnormality for which she had undergone a bladder reconstruction procedure as a child in addition to her history of pancreatitis. Her physical examination did not reveal any stigmata or evidence of chronic liver disease. There was no family history of liver disease or biochemical genetic disorders, particularly those associated with hyperammonemia.
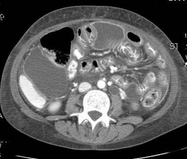
A complete blood count revealed a hemoglobin of 10.1 g/dL (reference range: 11.7-15.5), while the white blood cell count and differential and the platelet count, serum glucose, electrolytes, including serum bicarbonate, renal function (blood urea nitrogen 5 mg/dL, reference range: 7-20 mg/dL; creatinine 0.7 mg/dL reference range: 0.5-1.2 mg/dL) and urine output were all normal. Lactic acid levels were elevated at 8.5 mmol/L (reference range: 0.3-1.3 mmol/L). Spot urine for ketones was negative. Liver panel showed - alanine aminotransferase (ALT, 34 U/L; reference range: 3-45 U/L), aspartate aminotransferase (AST, 35 U/L; reference range: 3-35 U/L), alkaline phosphatase (131 U/L; reference range: 44-160 U/L), total bilirubin (1.6 mg/dL; reference range: 0.2-1.0 mg/dL), direct bilirubin (0.3 mg/dL; reference range: 0-0.3 mg/dL) - was unremarkable, as were the serum amylase (11 U/L; reference range: 28-100 U/L) and lipase (<10 U/L; reference range: 10-300 U/L). Serum albumin was low (1.6 g/dL; reference range: 3.5-5.5 g/dL) and international normalized ratio was mildly elevated (1.5; reference range: 0.9-1.1). A creatine kinase level (42 U/L; reference range: 10-160 U/L) and echocardiogram were normal. Serum and urine toxicology screening was negative. Her ammonia levels were elevated at 146 μg/dL (reference range: 15-45 μg/dL). Computerized tomography (CT) imaging of the abdomen showed multiple loculated fluid collections in the sub hepatic space measuring 8.6x5.0 cm extending into the paracolic gutter. There was also a rim-enhanced collection anterior to the rectum measuring 7.4x4.0 cm (Figure 1). Several other rim-enhancing collections were identified within the anterior abdomen and within the left paracolic region. It also showed diffuse bowel wall thickening involving small bowel and left colon. There was also diffuse low hepatic attenuation in the liver suggestive of fatty change. The patient underwent percutaneous drainage of two of the loculated fluid collections with aspiration of 700 mL of murky brown fluid and placement of 10-F locking pigtail catheters. The patient continued to deteriorate with worsening hypoxia and was intubated and was taken to the operating room for an exploratory laparotomy. There was no evidence of any necrosis or tissue ischemia around the jejunostomy tube and the rest of the small bowel and stomach appeared normal. The liver was noted to be yellowish orange and a wedge biopsy of the liver was obtained. There was no remaining fluid collection around the percutaneous drainage catheter. A small amount of purulent fluid from the pelvis was aspirated and was sent for culture and a Jackson-Pratt drain was placed into the fluid collection. Fluid cultures grew Escherichia coli and the patient was started on ceftriaxone. Blood cultures were negative. Repeat CT abdomen imaging showed residual small loculated collections along the left paracolic gutter and a percutaneous, 10-F locking pigtail catheter into a left paracolic gutter abscess was placed by interventional radiology.

|
Figure 1. CT abdomen showing multiple loculated fluid collections in the sub hepatic space. |
The patient continued to have worsening mental status following her surgery with elevation of ammonia levels. She was deeply comatose, with a score on the Glasgow coma scale of 5. Her pupils were equal and reactive to light, and an upward right gaze deviation was noted. Deep tendon reflexes were present, and an increased muscular tone and rigidity were noted. A lumbar puncture was done which showed clear cerebrospinal fluid, with 3 cells/high-power field (reference range: 0-3 cells/high-power field), a protein level of 38 mg/dL (reference range: 10-40 mg/dL), and a glucose level of 61 mg/dL (reference range: 50-80 mg/dL). An electroencephalogram was done which did not show any seizure activity, but did show evidence of generalized slowing suggestive of a metabolic cause of encephalopathy. A CT scan of the brain showed no evidence of cerebral ischemia or hemorrhage with normal attenuation of the brain parenchyma. Magnetic resonance spectroscopy showed diffuse abnormality demonstrating a significant increase in glutamine/glutamate peaks as well as reduction of the choline/creatine and myoinositol/creatine ratios suggestive of hepatic encephalopathy.
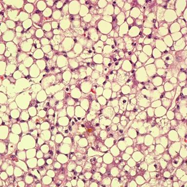
Analysis of serum amino acids revealed elevated levels of glutamine, alanine and proline. In addition, lysine, ornithine and arginine were mildly elevated. Citrulline, cystine and rest of the amino acids including carnitine levels were normal. Results of microbiologic testing, including PCR-based testing for herpes simplex, varicella zoster and Epstein-Barr virus in the cerebrospinal fluid, and India ink preparation for Cryptococcus and other fungi were negative. The liver biopsy showed prominent diffuse macrovesicular steatosis with moderate signs of cholestasis (Figures 2 and 3).

|
Figure 2. Liver biopsy showing diffuse macrovesicular steatosis. |

|
Figure 3. Liver biopsy showing signs of cholestasis with pericentral and pericellular fibrosis. |
The patient was administered thiamine, lactulose, and rifaximin. Hepatitis A, B, and C serologies were negative. Iron studies showed an iron of 30 μg/dL (reference range: 50-150 μg/dL), ferritin of 118 ng/mL (reference range: 50-300 ng/mL), total iron binding capacity of 177 μg/dL (reference range: 250-450 μg/dL) and transferring saturation of 17% (reference range: 20-50%) suggestive of anemia of chronic disease and a serum alpha1-antitrypsin level were normal. The patient’s muscle wasting, marked weight loss, and abnormal serologic analyses, including albumin (1.6 g/dL), prealbumin (8.1 mg/dL; reference range: 17-34 mg/dL), transferrin (80 mg/dL; reference range: 200-374 mg/dL), and retinol binding protein (1.2 mg/dL; reference range: 2.8-6.9 mg/dL), all suggested severe malnutrition. Her previous ultrasound abdomen in the past had been normal without any evidence of fatty change.
Total parenteral nutrition utilizing a calorically dense formula containing an amino acid profile rich in branched chain amino acids and low in aromatic and ammoniagenic amino acid was initiated. Although the patient did not demonstrate carnitine deficiency, oral levocarnitine (330 mg three times daily) was initiated along with sodium benzoate and sodium phenylacetate. In spite of treatment for hyperammonemia with these agents, the ammonia levels continued to increase and peaked at 429 μg/dL. Continuous veno-venous hemofiltration was begun and two sessions were completed and the patient became more responsive and ammonia levels continued to trend down to normalize to 49 μg/dL in the next two days. The patient was extubated, continuous veno-venous hemofiltration was discontinued, and her mental status returned to baseline. Jackson-Pratt drain was removed at the time of discharge and the patient was resumed on supplemental jejunostomy feeds at night time. Follow-up genetic sequencing was done for urea cycle enzyme defects one month after her hospitalization and the gene sequencing were all normal. Her follow-up ammonia levels were 22 μg/dL and she continues to do well three months after hospital discharge.
DISCUSSION
Hyperammonemia is well established cause of encephalopathy and coma. In our patient, hyperammonemia progressed to coma with no previous history of liver disease. Hyperammonemia can be primarily seen with hereditary defects in urea cycle enzyme function or can be seen secondary to acute or chronic liver disease, organic acidemias, carnitine deficiency, Reye’s syndrome, infections with urea-splitting organisms, such as Proteus mirabilis and iatrogenic causes including transjugular intrahepatic portosystemic shunting, total parenteral nutrition, and adverse drug effects from valproate, carbamazepine or asparaginase [9, 10, 11, 12, 13, 14, 15, 16]. It has also been described following bone marrow transplantation, lung transplantation or after chemotherapy for leukemia [5, 6, 7, 8]. In the present case, there was no evidence of underlying liver disease or acute hepatitis. Although fluid cultures were positive for Escherichia coli, blood cultures were negative and patient continued to worsen in spite of treatment of infection. The patient was not on any drugs that have been implicated in hyperammonemia. Although the patient had elevations of certain serum amino acids, elevations were inconsistent with any specific urea cycle defect and gene sequencing following recovery of the patient did not reveal any urea cycle defect. The presence of normal urine organic levels eliminated the possibility of methylmalonic, propionic, or isovaleric acidemia as well as primary carnitine deficiency and other defects in fatty acid oxidation as etiologic factors for this hyperammonemia. However, the patient had severe malnutrition and had co-existing intra-abdominal infection at the time of her presentation with hyperammonemia. Also the liver biopsy showed prominent diffuse macrovesicular steatosis with moderate signs of cholestasis (Figures 2 and 3). Our patient most probably fits the profile of “idiopathic hyperammonemia” which is defined based on a plasma ammonia level greater than twice the upper limit of normal, with relatively normal other liver function tests, and in the absence of inborn errors of metabolism or other identifiable causes. Although Reye’s syndrome can mimic idiopathic hyperammonemia, it is rare in adults and our patient had no prodromal viral symptoms or history of aspirin ingestion to support the diagnosis. Also the absence of significant elevation of lysine makes Reye’s syndrome less likely [3].
Idiopathic hyperammonemia is a diagnosis of exclusion and all other causes needs to be ruled out. Reports of idiopathic hyperammonemia were reported initially in patients who receive chemotherapy for acute leukemia. They have been subsequently reported in patients who received allogenic or autologous bone marrow transplantation for malignant and non-malignant diseases and following orthotopic lung transplantation [5, 6, 7, 8].
Idiopathic hyperammonemia is characterized by acute and progressive signs of central nervous system dysfunction with alterations in mental status. Patients with idiopathic hyperammonemia appear to have a poor prognosis with a mortality rate of around 80% [1, 2]. The pathogenesis of idiopathic hyperammonemia is unclear. Multiple hypotheses have been proposed including infections and sepsis, gastrointestinal bleeding, protein catabolism and use of total parenteral nutrition. Cerebral edema is commonly seen in autopsies of idiopathic hyperammonemia patients due to the osmotic effect of intracellular accumulation of glutamine, the major metabolite of ammonia in the brain.
Hyperammonemia can be secondary to overproduction of nitrogen products because of increased catabolism overwhelming the hepatic urea synthesis or from defective delivery of nitrogen to the intact liver because of anatomical or biochemical problems or due to defective function of urea cycle enzymes despite having normal levels of activity [8]. In our patient, hyperammonemia was accompanied by elevation of glutamine. This elevation of glutamine represents the conversion of nitrogen waste products to non-essential amino acids like glutamine. However, the observed glutamine elevation may be inadequately elevated given the degree of hyperammonemia. In our patient, the presence of macrovesicular steatosis and inflammation on liver pathology may point towards liver dysfunction, although the liver function tests were normal. These pathological changes could have been secondary to elevated arterial ammonia levels or unknown toxins [17]. Thus defective nitrogen handling by the liver secondary to hyperammonemia could have contributed to the worsening mental status and progression of hyperammonemia.
Although our patient had elevation of glutamine and mild elevation of arginine, the absence of elevation of citrulline levels suggested that the liver urea cycle flux was not reduced. Although urea cycle enzyme defects present in infancy usually, they can also be seen in adults and ornithine transcarbamylase deficiency in particular is the most common urea cycle disorder presenting in adulthood. Female carriers may be affected due to a skewed inactivation pattern of the enzyme allele in the liver and can happen particularly during periods of metabolic stress, such as pregnancy, the postpartum period, infections, or parenteral nutrition [18, 19]. However we did not observe any consistent elevations of amino acids suggestive of a urea cycle disorder. Thus there were no clear biochemical defects to explain the hyperammonemia.
Also in the absence of other identifiable etiologies of hyperammonemia, and in light of the patient’s severely malnourished state, the question of whether malnutrition can cause hyperammonemia was raised. Our patient exhibited signs of severe malnutrition, which ultimately leads to protein malabsorption and a generalized catabolic state. Poor oral intake secondary to gastroparesis and nausea and vomiting could have also been contributing factors causing hyperammonemia. It is important to note that her hyperammonemia may be completely unrelated to her islet cell transplantation and any form of upper gastrointestinal surgery on this patient altering the anatomy would have resulted in a similar result with severe gastroparesis. The mechanism by which malnutrition contributes to hyperammonemia is unclear. Malnutrition was shown to be a risk factor for hyperammonemia secondary to valproate toxicity [20]. Also in a study of hyperammonemia in marasmic children, neither defective hepatic function nor enzymatic blockade in the urea cycle was demonstrated [21]. Thus the probable reason could be because of the fact that skeletal muscle is an important site for ammonia metabolism, particularly in patients with relative impairment of liver function. Normal skeletal muscle cells do not possess the enzymatic machinery of the urea cycle but do contain glutamine synthetase. However, the muscle wasting accompanying malnutrition may potentiate hyperammonemia and could have contributed in our patient.
Although malnutrition can cause hypocarnitinemia and impaired carnitine biosynthesis [16], our patient had normal carnitine levels. Also greater than 90% of carnitine is synthesized by the liver from lysine and methionine [22]; our patient had normal methionine levels. Although there are a number of potential exacerbating factors that may have contributed to the mental status changes observed in this patient, including thiamine deficiency and micronutrient insufficiencies like zinc, the presence of significant elevation of ammonia makes all of these less likely.
In summary, a combination of malnutrition, intra-abdominal infection with resultant catabolic state and presence of fatty change with impaired removal of nitrogen load could have contributed to hyperammonemia in our patient. The etiology is unknown, although it is probably multifactorial. Future studies evaluating hyperammonemia in patients with chronic pancreatitis and malnutrition needs to be evaluated.
Received July 25th, 2010 - Accepted September 7th, 2010
Key words Hyperammonemia, total pancreatectomy, islet cell transplantation, coma, malnutrition
Conflict of interest No potential conflict of interest
Correspondence
Udayakumar
Navaneethan
Digestive Disease Institute
Cleveland Clinic Foundation
9500 Euclid Ave
Cleveland, Ohio 44118
USA
Phone: +1-216.502.0981
Fax: +1-513.558.0852
E-mail: navaneu@ccf.org
References
1. Davies SM, Szabo E, Wagner JE, Ramsay NK, Weisdorf DJ. Idiopathic hyperammonemia: a frequently lethal complication of bone marrow transplantation. Bone Marrow Transplant 1997 -> [PMID 8807124]
2. Mitchell RB, Wagner JE, Karp JE, Watson AJ, Brusilow SW, Przepiorka D, et al. Syndrome of idiopathic hyperammonemia after high-dose chemotherapy: review of nine cases. Am J Med 1988; 85:662-7. [PMID 3189370]
3. Watson AJ, Chambers T, Karp JE, Risch VR, Walker WG, Brusilow SW. Transient idiopathic hyperammonaemia in adults. Lancet 1985; 326:1271-4. [PMID 2866337]
4. del Rosario M, Werlin SL, Lauer SJ. Hyperammonemic encephalopathy after chemotherapy. Survival after treatment with sodium benzoate and sodium phenylacetate. J Clin Gastroenterol 1997; 25:682-4. [PMID 9451687]
5. Ho AY, Mijovic A, Pagliuca A, Mufti GJ. Idiopathic hyperammonemia syndrome following allogenic peripheral blood progenitor cell transplantation (allo-PBPCT). Bone Marrow Transplant 1997; 20:1007-8. [PMID 9422485]
6. Tse N, Cederbaum S, Glaspy JA. Hyperammonemia following allogeneic bone marrow transplantation. Am J Hematol 1991; 38:140-1. [PMID 1951305]
7. Snyder MJ, Bradford WD, Kishnani PS, Hale LP. Idiopathic hyperammonemia following an unrelated cord blood transplant for mucopolysaccharidosis I. Pediatr Dev Pathol 2003; 6:78-83. [PMID 12481230]
8. Lichtenstein GR, Kaiser LR, Tuchman M, Palevsky HI, Kotloff RM, O'Brien CB, et al. Fatal hyperammonemia following orthotopic lung transplantation. Gastroenterology 1997; 112:236-40. [PMID 8978364]
9. Samtoy B, Debeukelaer MM. Ammonia encephalopathy secondary to urinary tract infection with Proteus mirabilis. Pediatrics 1980; 65:294-7. [PMID 6444460]
10. Stanley CA. New genetic defects in mitochondrial fatty acid oxidation and carnitine deficiency. Adv Pediatr 1987; 34:59-88. [PMID 3318304]
11. Glasgow AM, Cotton RB, Dhiensiri K. Reye's syndrome. I. blood ammonia and consideration of the non-histologic diagnosis. Am J Dis Child 1972; 124:827-33. [PMID 4639217]
12. Nott L, Price TJ, Pittman K, Patterson K, Fletcher J. Hyperammonemia encephalopathy: an important cause of neurological deterioration following chemotherapy. Leuk Lymphoma 2007; 48:1702-11. [PMID 17786705]
13. Fine P, Adler K, Gerstenfeld D. Idiopathic hyperammonemia after high-dose chemotherapy. Am J Med 1989; 86:629. [PMID 2712077]
14. Coulter DL, Allen RJ. Hyperammonemia with valproic acid therapy. J Pediatr 1981; 99:317-9. [PMID 6788925]
15. Grazer RE, Sutton JM, Friedstrom E, McBarron FD. Hyperammonemia encephalopathy due to essential amino acid hyperalimentation. Arch Intern Med 1984; 144:2278-9. [PMID 6437358]
16. Limketkai BN, Zucker SD. Hyperammonemic encephalopathy caused by carnitine deficiency. J Gen Intern Med 2008; 23:210-3. [PMID 18080167]
17. Brusilow SW, Horwich AL. Urea cycle enzymes. In: Scriver CR, Valle D, Beaudet AL, et al, eds. The Metabolic and Molecular Basis of Inherited Disease. 7th ed. New York: McGraw Hill, 1995: 1187-1232. [ISBN 978-0079130358]
18. Felig DM, Brusilow SW, Boyer JL. Hyperammonemic coma due to parenteral nutrition in a woman with heterozygous ornithine transcarbamylase deficiency. Gastroenterology 1995; 109:282-4. [PMID 7797025]
19. Gilchrist JM, Coleman RA. Ornithine transcarbamylase deficiency: adult onset of severe symptoms. Ann Intern Med 1987; 106:556-8. [PMID 3826955]
20. Carr RB, Shrewsbury K. Hyperammonemia due to valproic acid in the psychiatric setting. Am J Psychiatry 2007; 164:1020-7. [PMID 17606652]
21. Morsy MR, Madina H, Sharaf SA, Soliman AT, Elzalabany MM, Ramadan MA. Hyperammonemia in Marasmic children. J Trop Pediatr 1994; 40:97-9. [PMID 8015039]
22. Rebouche CJ. Kinetics, pharmacokinetics, and regulation of L-carnitine and acetyl-L-carnitine metabolism. Ann N Y Acad Sci. 2004; 1033:30-41. [PMID 15591001]