CASE REPORT
JOP. J Pancreas (Online) 2010 Nov 9; 11(6):625-629.
Hemosuccus Pancreaticus Associated with Segmental Arterial Mediolysis Successfully Treated by Transarterial Embolization
Itaru Naitoh1, Tomoaki Ando1, Masashi Shimohira2, Takahiro Nakazawa1, Kazuki Hayashi1, Fumihiro Okumura1, Katsuyuki Miyabe1, Michihiro Yoshida1, Hiroyuki Togawa1, Shigeru Sasaki2, Yuta Shibamoto2, Takashi Joh1
Departments of 1Gastroenterology and Metabolism and 2Radiology, Nagoya City University Graduate School of Medical Sciences. Nagoya, Japan
ABSTRACT
Context Hemosuccus pancreaticus, a rare cause of intermittent upper gastrointestinal bleeding, is usually caused by the rupture of an aneurysm associated with chronic pancreatitis. Segmental arterial mediolysis is a rare non-arteriosclerotic, non-inflammatory vascular disease characterized by vacuolization and lysis of the arterial smooth muscle cells. Segmental arterial mediolysis often causes intra-abdominal hemorrhage through aneurysm rupture. To our knowledge, hemosuccus pancreaticus associated with segmental arterial mediolysis has not previously been reported. Case report A 59-year-old man had suffered from recurrent episodes of epigastric pain and melena. Laboratory data showed mild anemia and an elevated serum amylase level. Upper gastrointestinal endoscopy revealed bloody pancreatic juice exuding from the papilla of Vater. There were no findings suggestive of chronic pancreatitis, such as pancreatic calcification, irregularity of the pancreatic duct and atrophy of the pancreas. Contrast-enhanced computed tomography revealed a large fusiform aneurysm of the middle-distal splenic artery, and dissection of the proximal splenic artery and celiac artery. Leakage of contrast medium from the aneurysm into the main pancreatic duct was also evident. Angiography clearly revealed a fusiform aneurysm of the splenic artery. This was managed successfully by transarterial coil embolization and the patient has subsequently shown no recurrence of epigastric pain or melena. Conclusion Segmental arterial mediolysis is a very rare cause of hemosuccus pancreaticus not associated with chronic pancreatitis. Transcatheter arterial embolization is useful for treatment of ruptured aneurysm associated with segmental arterial mediolysis.
INTRODUCTION
Hemosuccus pancreaticus, defined as bleeding from the papilla of Vater, is a rare cause of intermittent upper gastrointestinal bleeding. The term was originally proposed by Sandblom in 1970 [1]. It is most commonly caused by the rupture of a pseudoaneurysm into the main pancreatic duct and is associated with acute or chronic pancreatitis [2]. Other infrequent causes of hemosuccus pancreaticus are pancreatic lithiasis and pancreatic cancer. Transcatheter arterial embolization is usually carried out because of its lower degree of invasiveness, and most cases can be managed by embolization [3, 4].
Segmental arterial mediolysis is a rare non-arteriosclerotic, non-inflammatory vascular disease characterized by vacuolization and lysis of the arterial smooth muscle cells [5]. The lesions of segmental arterial mediolysis are most commonly observed in the branches of the celiac artery and superior mesenteric artery, exhibiting a “skip” pattern [6]. Most patients with segmental arterial mediolysis present with intra-abdominal hemorrhage caused by rupture of the aneurysm; bowel infarction due to arterial occlusion is a less frequent complication [7, 8]. Aneurysm rupture or bowel infarction require surgical or interventional radiological therapy. Recently, transcatheter embolization has been performed following angiography because it is less invasive if the source of the hemorrhage can be detected by arteriography [9, 10].
To our knowledge, hemosuccus pancreaticus associated with segmental arterial mediolysis has not previously been reported. We herein present the first reported case of hemosuccus pancreaticus associated with segmental arterial mediolysis for which transcatheter arterial coil embolization was a useful intervention.
CASE REPORT
A 59-year-old man was referred to our hospital for evaluation of melena. He had suffered three episodes of melena following sudden epigastric pain during the previous six months. Emergency upper gastrointestinal endoscopy and colonoscopy had been performed on two previous occasions at another hospital, but the cause of the melena had not been revealed. A scintigraphic bleeding study with 99mTc-tagged red blood cells revealed no abnormalities. Capsule endoscopy and transoral double balloon endoscopy carried out at our hospital showed no causes of gastrointestinal bleeding. The patient was followed up as an outpatient, and trans-anal double balloon endoscopy was scheduled.
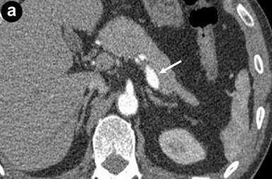
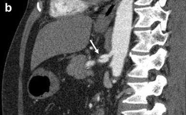
However, he was again admitted to our hospital because of epigastric pain and melena. On admission, he was hemodynamically stable. Physical examination revealed tenderness in the epigastrium. Laboratory data on admission showed mild anemia (hemoglobin 9.8 g/dL; reference range: 13.2-17.2 g/dL), an elevated white cell count (10,300 mm-3; reference range: 3,600-9,600 mm-3) and an elevated serum amylase level (1,246 U/L; reference range: 37-125 U/L). Contrast-enhanced computed tomography (CECT) demonstrated a large fusiform aneurysm (maximum diameter 10 mm) of the middle-distal splenic artery (Figure 1a), and dissection of the proximal splenic artery and celiac artery (Figure 1b). The false lumen of the dissected proximal splenic artery was partially thrombosed, and the true lumen was extremely narrow (Figure 1c). Mild enlargement of the pancreas was observed. However, no elevation of the fat density level around the pancreas was evident. There were no findings suggestive of chronic pancreatitis, such as pancreatic calcification, irregularity of the pancreatic duct and atrophy of the pancreas. CECT showed no signs of any pancreatic cyst or tumor. We made a tentative diagnosis of hemosuccus pancreaticus due to rupture of a splenic arterial aneurysm induced by acute pancreatitis.



|
Figure 1. a. Contrast-enhanced computed tomography (CECT) revealing a large fusiform aneurysm of the middle-distal splenic artery (arrow). b. Sagittal section of CECT showing dissection of the celiac artery (arrow). c. 3D-CT angiography showing dissection of the celiac artery (arrow head), narrowing of the proximal splenic artery (small arrow) and a fusiform aneurysm of the middle-distal splenic artery (large arrow). |
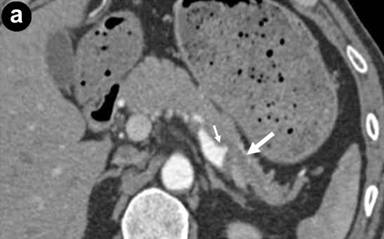
Bleeding from the papilla of Vater was not evident with upper gastrointestinal endoscopy on the day of admission. Conservative treatment was performed for the acute pancreatitis because the patient was hemodynamically stable. The epigastric pain and the serum amylase level improved after conservative treatment. During hospitalization, however, the patient developed the same epigastric pain as that usually experienced before melena, and the serum amylase level was found to be 243 U/L. We performed emergency upper gastrointestinal endoscopy to confirm the diagnosis of hemosuccus pancreaticus. Bloody pancreatic juice was observed exuding from the papilla of Vater (Figure 2). We concluded that the recurrent episodes of epigastric pain and melena had been caused by hemosuccus pancreaticus. There were no clinical or laboratory findings suggestive of arteriosclerosis or vasculitis, and diagnostic imaging showed no evidence of chronic pancreatitis or pancreatic pseudocyst. We therefore considered that the splenic aneurysm was due to segmental arterial mediolysis. We planned transcatheter arterial coil embolization for the splenic aneurysm, and the patient was discharged. However, he was re-admitted before the scheduled embolization because of sudden epigastric pain and, when tested, his serum amylase level was found to be 631 U/L. CECT revealed leakage of contrast medium into the main pancreatic duct from the aneurysm, along with dilatation of the upstream main pancreatic duct (Figure 3ab).

|
Figure 2. Upper gastrointestinal endoscopy revealing bloody pancreatic juice from the papilla of Vater. |


|
Figure 3. a. Contrast-enhanced computed tomography (CECT) revealing a leakage of contrast medium into the main pancreatic duct from a fusiform aneurysm of the middle-distal splenic artery (small arrow), along with dilatation of the upstream main pancreatic duct (large arrow). b. 3D-CT angiography showing a leakage of contrast medium from a fusiform aneurysm of the middle-distal splenic artery (arrow). |
An emergency intervention was then carried out. Angiography clearly revealed a fusiform aneurysm of the middle-distal splenic artery and narrowing of the proximal splenic artery (Figure 4a). All parts of the splenic artery were successfully coil-embolized (Figure 4b). Twenty days later, intervention for dissection of the celiac artery was performed. The celiac artery including the false lumen was successfully coil-embolized (Figure 4c). The patient has since shown no recurrence of the epigastric pain or melena.



|
Figure 4. a. Angiography of the celiac artery clearly showing the narrowing of the proximal splenic artery (small arrow) and a fusiform aneurysm of the middle-distal splenic artery (large arrow). b. Angiography of the celiac artery showing that all parts of the splenic artery were successfully coil-embolized. c. Lateral angiography of the celiac artery showing that the celiac artery including the false lumen was successfully coil-embolized. |
DISCUSSION
Hemosuccus pancreaticus is defined as bleeding from the papilla of Vater via the pancreatic duct, and is a rare cause of acute and intermittent upper gastrointestinal bleeding. Hemosuccus pancreaticus is difficult to diagnose, and follow-up is often carried out because of gastrointestinal bleeding of unknown origin. The difficulty of diagnosis lies in its rarity and the location of the papilla of Vater, through which blood flows easily into the small intestine [11]. In the present case, bloody pancreatic juice was observed only once among the four sessions of endoscopy. It was evident when the patient had epigastric pain before melena but, after melena, it was too late to examine the bloody pancreatic juice. We considered that the bleeding stopped when melena appeared. Intermittent epigastric pain followed by hematochezia, melena or hematemesis within 30-40 minutes is characteristic, and is reported to be very specific and almost pathognomonic [12]. Elevation of the pancreatic enzyme levels is also helpful for diagnosis. In the present case, epigastric pain followed by hematochezia and melena was evident at each recurrent episode, and elevation of the serum amylase level was the first diagnostic clue.
Hemosuccus pancreaticus is commonly caused by the rupture of a splenic arterial aneurysm [13]. The most common cause of an aneurysm is a pancreatic pseudocyst associated with acute relapsing or chronic pancreatitis [1]. Atherosclerosis, trauma, mycosis, fibromuscular dysplasia, segmental arterial mediolysis and systemic vasculitis are other causes of aneurysm. Other uncommon causes are pancreatic lithiasis and various pancreatic tumors. In the present case, there were no imaging findings suggestive of chronic pancreatitis, such as pancreatic calcification and diffuse dilatation of the main pancreatic duct. Neither a pancreatic pseudocyst nor a tumor was observed, and there were no clinical or laboratory findings suggestive of atherosclerosis, trauma, mycosis or systemic vasculitis. Fibromuscular dysplasia mostly affects the renal and carotid arteries [14]. Furthermore, fusiform aneurysm and dissection, which are usually present in segmental arterial mediolysis, were observed. We therefore considered that, in this case, the cause of the splenic arterial aneurysm and dissection was segmental arterial mediolysis.
The concept of segmental arterial mediolysis was first proposed as segmental mediolytic arteritis by Slavin and Gonzales-Vitale [7] in 1976, and the term “segmental arterial mediolysis” has now become accepted [8]. Lysis and the disappearance of the medial smooth muscle cells is a characteristic pathological feature of segmental arterial mediolysis. Segmental arterial mediolysis usually affects large abdominal arteries and their branches in the form of skip lesions. Segmental arterial mediolysis commonly presents as intra-abdominal hemorrhage due to aneurysm rupture; bowel infarction caused by arterial occlusion resulting from dissection or thrombus is sometimes seen, but is not frequent. In our patient, the rupture of a splenic arterial aneurysm associated with segmental arterial mediolysis communicating with the main pancreatic duct had caused hemosuccus pancreaticus. To our knowledge, this is the first case reported of its kind.
Segmental arterial mediolysis should be diagnosed histopathologically. Recently, however, segmental arterial mediolysis has been treated by interventional radiology because of its lower degree of invasiveness, and it has become difficult to obtain surgical specimens for histopathological diagnosis. Therefore, segmental arterial mediolysis needs to be diagnosed clinically. It is necessary to distinguish other causes of aneurysms, such as atherosclerosis, trauma, mycosis, fibromuscular dysplasia and systemic vasculitis on the basis of clinical and laboratory findings. Heritz et al. [15] were the first to report that the typical features of segmental arterial mediolysis revealed by digital subtraction angiography were focal aneurysms, beading and narrowing of the splanchnic and renal arteries which otherwise had a normal vascular appearance. Michael et al. [9] reported that CT angiography was also able to visualize the features of segmental arterial mediolysis, similarly to digital subtraction angiography. In the present study, the characteristic features of segmental arterial mediolysis, such as fusiform aneurysm and dissection, were visualized clearly by both CT angiography and digital subtraction angiography.
A ruptured aneurysm and splanchnic infarction caused by arterial occlusion are conditions which require emergency treatment. Rupture of an aneurysm often causes hypotension or shock, with a reported mortality rate reaching 50% [16]. Previously, surgical treatment was indicated. Now, however, transcatheter arterial embolization can be performed instead because it is less invasive, and most cases can be managed by embolization. Surgical treatment is required in patients with recurrent bleeding or in whom embolization has failed [4]. Shimohira et al. [10] reported the usefulness of transcatheter arterial embolization in four patients with segmental arterial mediolysis. However, the management of asymptomatic segmental arterial mediolysis is debatable. The natural course of segmental arterial mediolysis is unknown, and the lesion is usually multifocal. Cases of segmental arterial mediolysis in which an aneurysm appeared, followed by complete or partial regression during the clinical course, have been reported [9, 10]. There is the possibility that the vascular morphology of segmental arterial mediolysis may undergo transformation. Therefore, patients with segmental arterial mediolysis who undergo arterial embolization should be monitored at short intervals [10]. There is a need to evaluate the natural course of segmental arterial mediolysis to determine the indications in cases which are asymptomatic.
In summary, we have described a case of hemosuccus pancreaticus associated with segmental arterial mediolysis. Hemosuccus pancreaticus should be included in the differential diagnosis of upper gastrointestinal bleeding. The symptoms of recurrent epigastric pain and melena, imaging finding suggestive of chronic pancreatitis and elevated levels of pancreatic enzymes are the first diagnostic clues. Segmental arterial mediolysis is a very rare cause of hemosuccus pancreaticus not associated with chronic pancreatitis. Transcatheter arterial embolization is useful for treatment of an aneurysm rupture associated with segmental arterial mediolysis.
Received August 20th, 2010 - Accepted September 18th, 2010
Key words Aneurysm; Angiography; Embolization, Therapeutic; Gastrointestinal Hemorrhage
Conflict of interest The authors have no potential conflict of interest
Correspondence
Takahiro
Nakazawa
Department
of Gastroenterology and Metabolism
Nagoya City University Graduate School of Medical Sciences
1
Kawasumi, Mizuho-cho, Mizuho-ku
Nagoya 467-8601
Japan
Phone: +81-52.853.8211
Fax: +81-52.852.0952
E-mail: tnakazaw@med.nagoya-cu.ac.jp
References
1. Sandblom P. Gastrointestinal hemorrhage through the pancreatic duct. Ann Surg 1970; 171:61-6. [PMID 5308032]
2. Wagner WH, Cossman DV, Treiman RL, Foran RF, Levin PM, Cohen JL. Hemosuccus pancreaticus from intraductal rupture of a primary splenic artery aneurysm. J Vasc Surg 1994; 19:158-64. [PMID 8301728]
3. Toyoki Y, Hakamada K, Narumi S, Nara M, Ishido K, Sasaki M. Hemosuccus pancreaticus: problems and pitfalls in diagnosis and treatment. World J Gastroenterol 2008; 14:2776-9. [PMID 18461665]
4. Lermite E, Regenet N, Tuech JJ, Pessaux P, Meurette G, Bridoux V, et al. Diagnosis and treatment of hemosuccus pancreaticus: development and endovascular management. Pancreas 2007; 34:229-32- [PMID 17312462]
5. Slavin RE, Saeki K, Bhagavan B, Maas AE. Segmental arterial mediolysis; a precursor to fibromuscular dysplasia? Mod Pathol 1995; 8:287-94. [PMID 7617656]
6. Sakano T, Morita K, Imaki M, Ueno H. Segmental arterial mediolysis studied by repeated angiography. Br J Radiol 1997; 70:656-8. [PMID 9227264]
7. Slavin RE, Gonzales-Vitale JC. Segmental mediolytic arteritis: a clinical pathological study. Lab Invest 1976; 35:23-9. [PMID 940319]
8. Slavin RE, Cafferty L, Cartwright J Jr. Segmental mediolytic arteritis: A clinicopathologic and ultrastructural study of two cases. Am J Surg Pathol 1989; 13:558-68. [PMID 2660608]
9. Michael M, Widmer U, Wildermuth S, Barghorn A, Duewell S, Pfammatter T. Segmental arterial mediolysis: CTA findings at presentation and follow-up. AJR Am J Roentgenol 2006; 187:1463-9. [PMID 17114538]
10. Shimohira M, Ogino H, Sasaki S, Ishikawa K, Koyama M, Watanabe K, Shibamoto Y. Transcatheter arterial embolization for segmental arterial mediolysis. J Endovasc Ther 2008; 15:493-7. [PMID 18729557]
11. Massani M, Bridda A, Caratozzolo, Bonariol L, Antoniutti M, Bassi N. Hemosuccus pancreaticus due to primary splenic artery aneurysm: a diagnostic and therapeutic challenge. JOP. J Pancreas (Online) 2009; 10:48-52. [PMID 19129615]
12. Peroux JL, Arput JP, Saint-Paul MC, Dumas R, Hastier P, Caroli FX, et al. Wirsungorrhagia complicating chronic pancreatitis associated with a neuroendocrine tumor of the pancreas. Gastroenterol Clin Biol 1994; 18:1142-5. [PMID 7750689]
13. Cahow CE, Gusberg RJ, Gottlieb LJ. Gastrointestinal hemorrhage from pseudoaneurysms in pancreatic psedocysts. Am J Surg 1983; 145:534-41. [PMID 6601464]
14. Begelman SM, Olin JW. Fibromuscular dysplasia. Curr Opin Rheumatol 2000; 12:41-7. [PMID 10647953]
15. Heritz DM, Butany J, Johnston KW, Sniderman KW. Intraabdominal hemorrhage as a result of segmental mediolytic arteritis of an omental artery: case report. J Vasc Surg 1990; 12:561-5. [PMID 2231968]
16. EI Hamel A, Parc R, Adda G, Bouteloup PY, Huguet C, Malafosse M. Bleeding pseudocysts and pseudoaneurysms in chronic pancreatitis. Br J Surg 1991; 78:1059-63. [PMID 1933185]