CASE REPORT
JOP. J Pancreas (Online) 2010 Nov 9; 11(6):630-632.
Spontaneous Resolution of Pulmonary Nodules in Autoimmune Pancreatitis
Paul J Goldsmith, Andrew J Cockbain, Andrew M Smith
Department of Hepatopancreaticobiliary Surgery, St James’s University Hospital. Leeds, United Kingdom
ABSTRACT
Context Autoimmune pancreatitis is a rare benign disorder that can be confused with pancreatic cancer and the treatment pathway differs dramatically. Case report We present a unique case of pulmonary nodules associated with autoimmune pancreatitis, that was initially confused for pancreatic cancer which resolved spontaneously. Herein we describe the case and subsequent management and discuss the ever increasing incidence of autoimmune pancreatitis. Conclusion Pulmonary nodules associated with equivocal CT findings of primary pancreatic cancer should be treated with suspicion that the primary diagnosis may be incorrect and other differential diagnoses should be explored.
INTRODUCTION
Autoimmune pancreatitis is a rare benign fibroinflammatory cause of chronic pancreatitis. It most commonly presents with obstructive jaundice from narrowing of the intrapancreatic bile duct due to focal or diffuse enlargement of the pancreas. Diagnosis is a combination of histological features, imaging and serum markers. Differential diagnosis includes pancreatic or biliary cancer. Autoimmune pancreatitis is a multifocal systemic disease. The most common pulmonary involvement is hilar lymphadenopathy occurring in up to 83% of cases. Pulmonary nodules have also been described [1].
We present a case of autoimmune pancreatitis that is unique due to the spontaneous resolution of pulmonary lesions prior to treatment for the autoimmune pancreatitis.
CASE REPORT
A 62-year-old previously healthy man presented with epigastric pain and pruritus. He had pale stools and dark urine. There was no relevant past medical history and physical examination was unremarkable. Serum bilirubin (81 µmol/L; reference range: 9-21 µmol/L), alkaline phosphatase (1,722 IU/L; reference range: 150-300 IU/L) and CA 19-9 (45 IU/L; reference range: 0-33 IU/L) were all elevated. Computerised tomography (CT) revealed a mass in the head of pancreas and multiple lung nodules, thought at the time to be consistent with metastatic pancreatic cancer. This was presumed to be inoperable, the patient underwent endoscopic retrograde cholangiopancreatography (ERCP) with insertion of a metal stent into the bile duct. Cytology taken at the time of ERCP showed small intestinal type mucosa fragments with chronic inflammatory changes, but no evidence of malignancy. Subsequent endoscopic ultrasound revealed coeliac lymphadenopathy, but fine needle aspiration was again negative for malignancy.
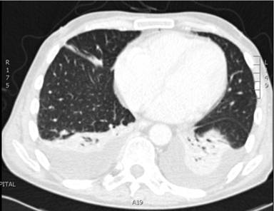
In addition to the multiple pulmonary nodules seen on CT, bilateral lower lobe collapse associated with plural effusions was identified (Figure 1). This was investigated by the respiratory physicians and was managed conservatively in the first instance as the patient was asymptomatic. A repeat CT scan six weeks later demonstrated that both the areas of lower lobe collapse and effusion and pulmonary nodules had resolved spontaneously. This raised questions over the presumptive diagnosis of metastatic pancreatic carcinoma.

|
Figure 1. Pulmonary nodules on computerised tomography. |
The patient was then referred for continuing management. Review of the imaging showed that the pancreas was initially globally oedamatous. The repeat CT scan has shown that this had improved. A diagnosis of autoimmune pancreatitis was therefore considered. IgG4 was elevated at 15.6 g/L (reference range: 0.08-1.4 g/L), supporting the diagnosis of autoimmune pancreatitis.
At the same time the patient developed ascending cholangitis, secondary to stent occlusion. A repeat ERCP failed and the patient was consented for a hepaticojejunostomy. At surgery tru-cut biopsies of the head of the pancreas were taken and histopathology confirmed the diagnosis of autoimmune pancreatitis. Analysis of the biopsy demonstrated intense inflammatory cell infiltration with plasma cells and neutrophils, there was no evidence of neoplasia. Post-operatively the patient was commenced on 40 mg prednisolone, with a tapering dose of 5 mg per week for the now presumed diagnosis of autoimmune pancreatitis. Post-operative magnetic resonance cholangiopancreatography (12 weeks) demonstrated resolution of the pancreatic mass, with improvement in IgG4 levels. At 30 months the patient remains well.
DISCUSSION
Autoimmune pancreatitis is rare cause of pancreatitis with overall incidence reported to be from 1.9 to 6.6% [2]. Extrapancreatic signs and symptoms occur in up to 49% of cases [3], which include biliary strictures, sclerosing cholangitis, hilar or abdominal lymphadenopathy and interstitial nephritis. The most common pulmonary lesion associated with autoimmune pancreatitis is hilar lymphadenopathy. Other pulmonary complications described include interstitial fibrosis, honeycomb changes and discrete pulmonary nodules [1, 4].
The presence of obstructive jaundice with biliary stricture and a focal mass often leads the clinician towards a diagnosis of pancreatic or biliary cancer. Pancreatic cancer is often diagnosed on radiological appearances, without histological backup. In a series of 442 cases, where resection was performed for pancreatic cancer based on radiology alone, 2.5% of the resected cases were actually diagnosed as autoimmune pancreatitis on histology [5]. In our case two attempts were made to obtain histology, unsuccessfully, and in the setting of pulmonary ‘metastases’ a presumed diagnosis of advanced pancreatic cancer was made.
In our case questions over the diagnosis were raised when the discrete pulmonary nodules spontaneously resolved without systemic steroid treatment. Spontaneous resolution of other extrapancreatic pathology has been reported. Schmassmann et al. reported complete resolution of sclerosing cholangitis without the need for steroids [6].
Histologically autoimmune pancreatitis is characterised by lymphoplasmacytic inflammatory cell infiltrates with fibrosis around large and medium sized interlobular ducts [7], differentiating it from other causes of pancreatitis and pancreatic cancer.
Diagnostic criterion combining histology, serum markers and radiological features were first proposed by the Japanese [8] in an attempt to differentiate pancreatic cancer from benign causes of pancreas pathology. These criterions have developed over time, and now include response to steroid therapy [9].
Treatment with corticosteroids can often be dramatic with symptom control of pancreatic and extra pancreatic manifestations within weeks and radiological improvement over the same time period [10]. Treatment is recommended to commence at 40 mg and tapered at 5 mg a week. In some cohorts maintenance steroids may be required. A poor response to corticosteroids may suggest another diagnosis.
In summary, in patients who present with pancreatic lesions, with extrapancreatic features, autoimmune pancreatitis should be considered, based on a combination of investigations. A correct diagnosis can prevent unnecessary intervention and potential morbidity and mortality from an operation. In those cases where diagnosis is uncertain a trial of steroids may be helpful to see if there is any response in signs and symptoms. However, as in our case, extrapancreatic lesions may resolve without the use of steroids.
Received September 13th, 2010 - Accepted September 20th, 2010
Key words Autoimmune Diseases; Multiple Pulmonary Nodules; Pancreatic Neoplasms; Remission, Spontaneous
Financial Support Nil
Conflict of interest The authors have no potential conflict of interest
Correspondence
Andrew
M Smith
Department of Hepatopancreaticobiliary Surgery
St James’s University Hospital
Beckett Street
Leeds, LS9 7TF
United Kingdom
Phone: +44-113.206.4719
Fax: +44-113.244.8182
E-mail: andrewm.smith@leedsth.nhs.uk
References
1. Tsushima K, Tanabe T, Yamamoto H, Koizumi T, Kawa S, Hamano H, et al. Pulmonary involvement of autoimmune pancreatitis. Eur J Clin Invest 2009; 39:714-22. [PMID 19496802]
2. Deshpande V, Mino-Kenudson M, Brugge W, Lauwers GY. Autoimmune pancreatitis: more than just a pancreatic disease? A contemporary review of its pathology. Arch Pathol Lab Med. 2005 Sep;129(9):1148-54. [PMID 16119989]
3. Chari ST, Smyrk TC, Levy MJ, Topazian MD, Takahashi N, Zhang L, et al. Diagnosis of autoimmune pancreatitis: the Mayo Clinic experience. Clin Gastroenterol Hepatol 2006; 4:1010-6; [PMID 16843735]
4. Hirano K, Kawabe T, Komatsu Y, Matsubara S, Togawa O, Arizumi T, et al. High-rate pulmonary involvement in autoimmune pancreatitis. Intern Med J 2006; 36:58-61. [PMID 16409315]
5. Krasinskas AM, Raina A, Khalid A, Tublin M, Yadav D. Autoimmune pancreatitis. Gastroenterol Clin North Am 2007 Jun;36(2):239-57, [PMID 17533077]
6. Schmassmann A, Zehnder P, Gebbers JO, Wildisen A. Severe self limiting sclerosing cholangitis after pancreaticoduodenectomy due to autoimmune pancreatitis. Gut 2006; 55:1361-2 [PMID 16905703]
7. Notohara K, Burgart LJ, Yadav D, Chari S, Smyrk TC. Idiopathic chronic pancreatitis with periductal lymphoplasmacytic infiltration: clinicopathologic features of 35 cases. Am J Surg Pathol 2003; 27:1119-27. [PMID 12883244]
8. Members of the Criteria Committee for Autoimmune Pancreatitis of the Japan Pancreas Society. Diagnostic criteria for autoimmune pancreatitis by the Japan Pancreas Society. J Japan Pancreas Society 2002; 17:585-7.
9. Levy MJ, Wiersema MJ, Chari ST. Chronic pancreatitis: focal pancreatitis or cancer? Is there a role for FNA/biopsy? Autoimmune pancreatitis. Endoscopy 2006; 38(Suppl 1):S30-5. [PMID 16802220]
10. Kojima E, Kimura K, Noda Y, Kobayashi G, Itoh K, Fujita N. Autoimmune pancreatitis and multiple bile duct strictures treated effectively with steroid. J Gastroenterol 2003; 38:603-7. [PMID 12856677]