CASE REPORT
JOP. J Pancreas (Online) 2010 Nov 9; 11(6):633-637.
Middle-Preserving Pancreatectomy for Multifocal Metastatic Renal Cell Carcinoma Located in the Head, Body and Tail of the Pancreas. A Case Report
Hiroki Ohzato, Tameyoshi Yamamoto, Mutsumi Fukunaga, Hiroshi Imamura, Hiroshi Furukawa
Department of Surgery, Sakai Municipal Hospital. Osaka, Japan
ABSTRACT
Context Postoperative endocrine and exocrine insufficiencies following traditional pancreatectomies might cause a deterioration of the quality of life and surgical outcome. Parenchyma-sparing pancreatectomies have been utilized in benign lesions and low-grade malignancies. Case report A 67-year-old female with a past history of right nephrectomy for renal cell carcinoma 20 years earlier was referred to our institute with obstructive jaundice and multiple nodules in the pancreas. Computed tomography demonstrated five well-demarcated, strongly enhanced nodules with diameters of 5.5 cm in the head, 2.0 and 1.8 cm in the body, and 1.2 and 1.0 cm in the tail. Fluorine-18 fluorodeoxyglucose positron emission tomography did not demonstrate any extrapancreatic uptake. A middle-preserving pancreatectomy was performed after ultrasonography had confirmed arterial perfusion in the middle segment. A histological study demonstrated metastatic clear cell renal carcinoma. To date, the patient has remained without recurrence for two and a half years since surgery. A minimal administration of insulin has been necessary; however, C-peptide is detectable and nutritional status is comparatively good. Conclusion A middle-preserving pancreatectomy is a useful procedure in a parenchyma-sparing pancreatectomy for resecting multifocal lesions in the head, body and tail of the pancreas.
INTRODUCTION
Sarr et al. [1] reported that a total pancreatectomy does not have as good a survival benefit when compared to a Whipple resection for pancreatic ductal adenocarcinoma. This observation suggested that the loss of endocrine and exocrine function following a total pancreatectomy causes a deterioration of the surgical outcome. A subtotal pancreatectomy is generally performed, even for a very large tumor involving the head, body and tail of the pancreas. The diabetic state arising after a subtotal pancreatectomy can easily be managed as compared to brittle diabetes after a total pancreatectomy [2, 3, 4]. In order to preserve pancreatic function, a parenchyma-sparing pancreatectomy has recently become a surgical option for benign and borderline neoplasms.
Multiple pancreatic neoplasms are occasionally encountered. Multicentre pancreatic adenocarcinoma is rare. Pancreatic endocrine tumors might be multifocal, especially in patients with multiple endocrine neoplasia type 1 [5]. Metastatic pancreatic tumors arise from various kinds of malignancies. Metastasis from renal cell carcinoma has led to resection with a comparatively good 5-year survival rate [6, 7]. Approximately one-third to one-half of patients with this type of metastasis demonstrate multiple metastases. Intraductal pancreatic mucinous neoplasms have malignant potential and multicentricity [8]. These types of neoplasms occasionally require a pancreatectomy. A parenchyma-sparing pancreatectomy should be considered in order to avoid a total pancreatectomy, even if multicentre neoplasms involve all segments of the pancreas.
We herein introduce a middle-preserving pancreatectomy for metastatic pancreatic tumors from renal cell carcinoma which involve all segments of the pancreas.
CASE REPORT
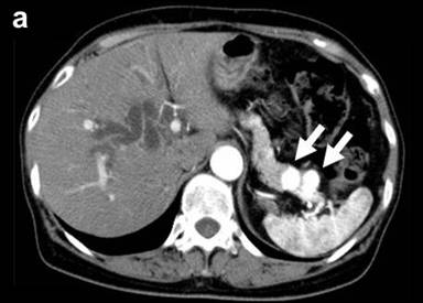
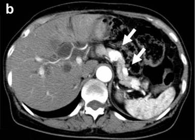
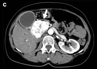
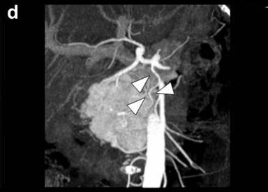
A 67-year-old female was referred to our hospital, complaining of jaundice, appetite loss and 3 kg of body weight loss over one month. She had undergone a thyroidectomy for a thyroid adenoma and a right oophorectomy for an ovarian tumor at 41 years of age and a right nephrectomy for renal cell carcinoma at 47 years of age. Laboratory data demonstrated mild liver dysfunction due to obstructive jaundice without elevation of plasma CEA and CA 19-9 levels. Computed tomography (CT) demonstrated a remarkably enhanced tumor measuring 55x40 mm in diameter in the head, two tumors measuring 2.0 and 1.8 cm in the body, and two tumors measuring 1.2 and 1.0 cm in the tail with a similar enhancing effect (Figure 1abc). CT angiography did not demonstrate any abnormalities of the arteries and the dorsal pancreatic artery branching from the origin of the splenic artery (Figure 1d). Magnetic resonance imaging demonstrated obstruction on the intrapancreatic bile duct due to a pancreatic head tumor and a slight dilatation of the main pancreatic duct in the body and tail of the pancreas. Fluorine-18 fluorodeoxyglucose positron emission tomography detected an elevated uptake in the isolated multifocal metastatic pancreatic tumors without any extrapancreatic uptake. A biliary drainage tube was inserted endoscopically. Cytology of the pancreatic juice was negative. The patient was diagnosed with isolated pancreatic metastases from renal cell carcinoma. The huge tumor located in the head was resected by a pancreaticoduodenectomy and the four tumors located in the body and in the tail of the pancreas were resected by a distal pancreatectomy, preserving the cervical portion. Intraoperative confirmation of arterial perfusion in the middle segment was necessary. In other cases, a total pancreatectomy should be done. Enucleation was not considered due to the risk of main pancreatic duct injury.




|
Figure 1. Preoperative computed tomography. Pancreatic metastatic tumors were detected as being demarcated enhanced tumors in the tail (a.) and body (b.) of the pancreas. A very large tumor occupied the entire head of the pancreas (c.). The common bile duct was compressed by the tumor located in the head of the pancreas (d.). |
The procedure was carried out in October 2008. Under general anesthesia, a laparotomy was initiated via an upper midline incision and exploration was carried out. There were no distant metastases or peritoneal dissemination. A Kocher maneuver was performed to mobilize the head of the pancreas. The right side of the greater omentum was mobilized from the transverse colon. The porta hepatis was dissected. The common hepatic duct was divided after ligation of the common bile duct. The right gastric artery and the gastroduodenal artery were ligated and divided. The gastric antrum, 3 cm proximal to the pylorus, and the jejunum, 10 cm distal to the Treitz ligament, were transected with linear staplers. The pancreatic neck was transected to the surface of the superior mesenteric vein (Figure 2a). The drainage veins from the pancreatic head were ligated and divided. A pancreaticoduodenectomy was carried out. The spleen and the pancreatic tail were then mobilized from the retroperitoneum. Intraoperative ultrasonography was performed to determine the location of the tumors in the body and tail of the pancreas. The splenic artery was dissected 2 cm distal to its origin. After clamping the splenic artery and ligation of the tail of the pancreas, arterial perfusion to the middle pancreas was examined (Figure 2b). After Doppler ultrasonography demonstrated arterial signal in that segment, the splenic artery and the splenic vein were ligated and divided. The pancreatic body was transected with a linear stapler (Figure 2c). The pancreatic resection margin was histologically negative. Ultrasonography also demonstrated that there was no other lesion in the remnant pancreas. A two-layer, end-to-side, duct-to-mucosa retrocolic pancreaticojejunostomy and a one-layer, end-to-side, hepaticojejunostomy were performed. A two-layer end-to-side gastrojejunostomy and a two-layer side-to-side jejunojejunostomy were carried out (Figure 2d).




|
Figure 2. Schema of procedure for a middle-preserving pancreatectomy. a. Transection of the pancreas above the portal vein. b. Confirmation of arterial perfusion in the middle segment after clamping the splenic artery and the body of the pancreas. c. Preservation of the middle segment of the pancreas. d. Reconstruction following a middle-preserving pancreatectomy. |
Postoperative bleeding occurred from the stump of the middle pancreas two days after surgery. During re-operation, the bleeding was managed with a suture on the stump of the remnant pancreas. Histological examination of the surgical specimen demonstrated pancreatic metastases of clear cell type renal cell carcinoma. The patient was followed up with a blood test every month and CT every three months. Without any digestive enzymes, her nutritional condition was good with normal plasma levels of albumin and total cholesterol. Thirty months after resection, the patient is disease free and requires only a minimal administration of insulin to maintain good glucose tolerance (HbA1c level of 6.3%).
DISCUSSION
Advances in X-ray examination techniques have facilitated the diagnosis of several types of pancreatic neoplasms and have shown that the anatomical relationship between tumors and adjacent structures must be clarified preoperatively. A parenchyma-preserving pancreatectomy was proposed since traditional pancreatectomies result in pancreatic exocrine and endocrine insufficiency.
Resection of the uncinate process [9] or a middle segmentectomy [10] have been reported in the literature as anatomical parenchyma-preserving pancreatectomies. Cases undergoing the former have had postoperative complications including injury or necrosis of the biliary or pancreatic duct because of anatomical complexity while the latter procedure has shown a minimal risk of surgical complications and good postoperative glycemic control. For a middle segment pancreatectomy, a simple surgical technique might be required and a small amount of pancreatic parenchyma is removed.
Enucleation is a non-anatomical parenchyma-preserving pancreatectomy [11]. It has been applied to insulinomas and the other small benign tumors. Recently, low grade malignancies or metastatic tumors have been enucleated. Pancreatic fistulas sometimes occur due to injury to the main pancreatic duct or its branches. To prevent pancreatic leakage, invagination has been performed to cover the cut surface [12].
A middle-preserving pancreatectomy involves the resection of a large amount of pancreatic parenchyma. This procedure is applicable to a limited number of patients, but should be considered as an approach to a parenchyma-preserving pancreatectomy. A middle-preserving pancreatectomy was first reported in 1999 by Siassi et al. [13] who described a patient undergoing a distal pancreatectomy for adenocarcinoma followed by a pylorus-preserving pancreaticoduodenectomy for an adenocarcinoma. Miura et al. [14] first performed a simultaneous pancreaticoduodenectomy (for ampullary carcinoma) and a distal pancreatectomy (for an intraductal papillary mucinous neoplasm). Twelve patients who underwent a middle-preserving pancreatectomy have been reported [13, 14, 15, 16, 17]. Pancreatic and ampullary cancers were shown in two patients each, respectively while the remaining eight patients underwent this procedure for benign lesions; intraductal papillary mucinous neoplasm, endocrine tumors, chronic pancreatitis, etc.
The gastroduodenal artery, splenic artery, and inferior pancreaticoduodenal artery are divided when a middle-preserving pancreatectomy is performed. The dorsal pancreatic artery is the main feeding artery of the remnant middle pancreas. The dorsal pancreatic artery arises most frequently from the initial splenic artery but may also arise from the celiac trunk or common hepatic artery [18]. Whichever vessel the dorsal pancreatic artery originates from, it should run cranial or dorsal to the middle pancreas. Lymph nodes should be carefully dissected. In our patient, ultrasonographic examination was performed after clamping the splenic artery and the tail of the pancreas on the transectional line. Doppler examination showed an arterial flow signal in the middle pancreas.
In humans, pancreaticoduodenectomy for malignancies results in diabetes in 10-15% of patients [19, 20, 21]. The incidence of diabetes due to a distal pancreatectomy for chronic pancreatitis ranges from 25 to 90% [20, 22]. A pancreatectomy involving more than 80% of the organ does not markedly influence plasma glucose levels [21]. These clinical observations suggest that, even if a remnant pancreas with a length of 4 to 5 cm is left, good glucose tolerance may be maintained postoperatively. If it is not, it might be easier to manage the glucose level with minimal medical intervention, as in our patient. Six of the twelve patients who underwent a middle-preserving pancreatectomy maintained good glucose tolerance without insulin administration. Morbidity, including bleeding from the margin of the distal pancreatectomy, occurred in two of the twelve patients. In our case, bleeding from the cut margin of the distal pancreatectomy might have been a technical issue related to the transection device rather than a blood flow issue. There were no deaths among the patients in the study. A middle-preserving pancreatectomy seems to be comparatively safe and is useful as a parenchyma-preserving pancreatectomy.
In conclusion, a parenchyma-preserving pancreatectomy should be considered in order to preserve pancreatic endocrine and exocrine function. A middle-preserving pancreatectomy might be an option for multicentric tumors, including intraductal pancreatic mucinous neoplasms, endocrine tumors, metastatic tumors, etc. For a middle-preserving pancreatectomy, it is important to preserve the dorsal pancreatic artery. Ultrasonographic examination is useful in confirming arterial perfusion from the dorsal pancreatic artery to the middle pancreas.
Received September 2nd, 2010 - Accepted September 23rd, 2010
Key words Carcinoma, Renal Cell; Neoplasm Metastasis; Pancreatectomy; Pancreatic Neoplasms
Conflict of interest The authors have no potential conflict of interest
Correspondence
Hiroki
Ohzato
Department of Surgery
Sakai Municipal Hospital
1-1-1, Minamiyasui-cho, Sakai-ku
Sakai
Osaka, 590-0064
Japan
Phone: +81-(0)72.221.1700
Fax: +81-(0)72.221.3303
E-mail: oosato-h@sakai-hospital.jp
References
1. Sarr MG, Behrns KE, van Heerden JA. Total pancreatectomy: an objective analysis of its use in pancreatic cancer. Hepatogastroenterology 1993; 40:418-21. [PMID 7903658]
2. Sun AM, Coddling JA, Haist RE. A study of glucose tolerance and insulin response in partially depancreatized dogs. Diabetes 1974; 23:424-32. [PMID 4598091]
3. Mizumoto R, Kawarada Y, Goshima H, Tamaki H, Sekiguchi T, Tomikawa I. Carbohydrate metabolism and endocrine function in the pancreas remnant after major pancreatic resection. Am J Surg 1982; 143:237-43. [PMID 7036771]
4. Seaquist ER, Kahn SE, Clark PM, Hales CN, Porte D Jr, Robertson RP. Hyperproinsulinemia is associated with increased beta cell demand after hemipancreatectomy in humans. J Clin Invest 1996; 97:455-60. [PMID 8567967]
5. Skogseid B. Multiple endocrine neoplasia type I. Br J Surg 2003; 90:383-5. [PMID 12673737]
6. Zerbi A, Ortolano E, Balzano G, Borri A, Beneduce AA, Di Carlo V. Pancreatic metastasis from renal cell carcinoma: which patients benefit from surgical resection? Ann Surg Oncol 2008; 15:1161-8. [PMID 18196343]
7. Sellner F, Tykalsky N, De Santis M, Pont J, Klimfinger M. Solitary and multiple isolated metastases of clear cell renal carcinoma to the pancreas. Ann Surg Oncol 2006; 13:78-85. [PMID 16372157]
8. Salvia R, Crippa S, Falconi M, Bassi C, Guarise A, Scarpa A, Pederzoli P. Branch-duct intraductal papillary mucinous neoplasms of the pancreas: to operate or not to operate? Gut 2007; 56:1086-90. [PMID 17127707]
9. Takada T, Amano H, Ammori BJ. A novel technique for multiple pancreatectomies: removal of uncinate process of the pancreas combined with medial pancreatectomy. J Hepatobiliary Pancreat Surg 2000; 7:49-52. [PMID 10982591]
10. Warshaw AL, Rattner DW, Fernandez-del Castillo C, Z'graggen K. Middle segment pancreatectomy. A novel technique for conserving pancreatic tissue. Arch Surg 1998; 133:327-31. [PMID 9517749]
11. Crippa S, Bassi C, Salvia R, Falconi M, Butturini G, Pederzoli P. Enucleation of pancreatic neoplasms. Br J Surg 2007; 94:1254-9. [PMID 17583892]
12. Deguchi Y, Shimada K, Nara S, Esaki M, Sakamoto Y, Kosuge T, Hiraoka N. Pancreaticojejunostomy with invagination of the punched pancreatic remnant after medial pancreatectomy and enucleation for multiple metastases of renal cell carcinoma: report of a case. Surg Today 2009; 39:1086-90. [PMID 19997808]
13. Siassi M, Klein P, Hohenburger W. Organ-preserving surgery for multicentric carcinoma of the pancreas. Eur J Surg Oncol 1999; 25:548-50. [PMID 10527608]
14. Miura F, Takada T, Amano H, Yoshida M, Toyota N, Wada K. Middle-segment-preserving pancreatectomy. J Am Coll Surg 2007; 204:720-2. [PMID 17382235]
15. Partelli S, Boninsegna L, Salvia R, Bassi C, Pederzoli P, Falconi M. Middle-preserving pancreatectomy for multicentric body-sparing lesions of the pancreas. Am J Surg 2009; 198:e49-53. [PMID 19716880]
16. Sperti C, Polizzi ML, Moro M, Beltrame V, Pedrazzoli S. Middle-preserving pancreatectomy: an interesting procedure for pancreas-sparing resection. JOP. J Pancreas (Online) 2010; 11:258-61. [PMID 20442523]
17. Matsubayashi H, Uesaka K, Kanemoto H, Sugiura T, Mizuno T, Sasaki K, et al. Multiple endocrine neoplasms and serous cysts of the pancreas in a patient with von Hippel-Lindau disease. J Gastrointest Cancer 2010; Feb 6. [PMID 20140653]
18. Uflacker R. Atlas of Vascular Anatomy: An Angiographic Approach. Lippincott Williams & Wilkins 1997. [ISBN 978-0-7817-6081-2]
19. Frey CF, Child CG III, Fry W. Pancreatectomy for chronic pancreatitis. Ann Surg 1976; 184:403-14. [PMID 1015887]
20. Jalleh RP, Williamson RC. Pancreatic exocrine and endocrine function after operations for chronic pancreatitis. Ann Surg 1992; 216:656-62. [PMID 1466619]
21. Slezak LA, Anderson DK. Pancreatic resections: effects on glucose metabolism. World J Surg 2001; 25:452-60. [PMID 11344398]
22. Hutchins RR, Hart RS, Pacifico M, Bradley NJ, Williamson RC. Long-term results of distal pancreatectomy for chronic pancreatitis in 90 patients. Ann Surg 2002; 236:612-8. [PMID 12409667]