CASE REPORT
JOP. J Pancreas (Online) 2010 Nov 9; 11(6):638-641.
Total Pancreaticoduodenectomy and Segmental Resection of Superior Mesenteric Vein-Portal Vein Confluence with Autologous Splenic Vein Graft in Mucinous Cystadenocarcinoma of the Pancreas
Sung Hoon Choi1,2, Ho Kyoung Hwang1,2,3, Chang Moo Kang1,2,3, Woo Jung Lee1,2
1Division of Biliopancreas, Department of Surgery, Yonsei University College of Medicine; 2Pancreatobiliary Cancer Clinic, Institute of Gastroenterology, Yonsei University Health System; 3Young Yonsei Pancreatic Tumor Study Group. Seoul, Korea
ABSTRACT
Context Mucinous cystic tumors occur almost exclusively in middle-aged women and in the body or tail of the pancreas. Mucinous cystadenocarcinoma, a malignant sub-type of mucinous cystic tumors, in the head of the pancreas and in a middle-aged man is extraordinary, and the prognosis and proper management of mucinous cystadenocarcinoma has not been well documented. Case report A 52-year-old male patient with a mucinous cystadenocarcinoma approximately 5.5 cm in size in the head of the pancreas underwent a total pancreaticoduodenectomy and segmental resection of the superior mesenteric vein-portal vein confluence with an autologous splenic vein graft due to tumor invasion. His postoperative course was uneventful and he received adjuvant chemotherapy. He has been followed-up periodically for more than 30 months after surgery without evidence of recurrence. Conclusion Mucinous cystadenocarcinoma in the head of the pancreas in a middle-aged man is an extremely rare case. Because mucinous cystadenocarcinomas have a relatively good prognosis, an aggressive approach with major vascular resection is warranted in well-selected patients. Splenic vein interposition grafting could be used in cases which undergo total pancreaticoduodenectomy with segmental resection of the superior mesenteric vein-portal vein confluence if the splenic vein is healthy.
INTRODUCTION
Compagno and Oertel first differentiated between microcystic tumors (glycogen-rich serous cystic neoplasms) and macrocystic tumors (mucin-producing neoplasms) in 1978 [1]. The World Health Organization (WHO) classification (1996) [2] and the Armed Forces Institute of Pathology (AFIP) classification (1997) [3] defined and differentiated mucin-producing neoplasms into two types: mucinous cystic tumors and intraductal papillary mucinous tumors (IPMTs) [4]. According to the WHO and AFIP classifications, mucinous cystic tumors are characterized by the presence of ovarian-like stroma [4]. This ovarian-type stroma helps explain the difference between mucinous cystic tumors and other pancreatic cystic neoplasms, and their high prevalence in females. According to previous reports, mucinous cystic tumors occur almost exclusively in middle-aged women and in the body or tail of the pancreas [4, 5]. In addition, despite the fact that mucinous cystadenocarcinoma (high-grade dysplasia), one of the several sub-types of mucinous cystic tumors, is regarded as malignant, its recurrence rate and incidence of metastasis is unpredictable and reported with a wide range [5, 6, 7]. Therefore, the prognosis and proper management of mucinous cystadenocarcinomas has not been well documented. We herein report an extraordinary case of mucinous cystadenocarcinoma in the head of the pancreas in a middle-aged man. The patient underwent a total pancreaticoduodenectomy and segmental resection of the superior mesenteric vein-portal vein confluence with an autologous splenic vein graft for a margin-negative resection.
CASE REPORT
A 52-year-old male patient was admitted for abdominal discomfort and weight loss over the previous year. He was a heavy consumer of alcohol and was hospitalized with suspicion of a pancreatic pseudocyst with chronic pancreatitis without tenderness or palpable mass in his abdomen and diabetes mellitus. The results of his laboratory investigations were unremarkable except for his serum levels of glucose (169 mg/dL; reference range: 70-110 mg/dL), carcinoembryonic antigen (5.37 ng/mL; reference range: 0-5.00 ng/mL) and carbohydrate antigen (CA) 19-9 (210 U/mL; reference range: 0-37 U/mL) which were all elevated. Computed tomography (CT) revealed aggravation of the cystic lesion (about 5.5 cm in size) and diffuse inflammation around the pancreatic parenchyma with pancreatic duct dilatation (Figure 1a). A magnetic resonance cholangiopancreatography (MRCP) demonstrated a large unilocular cyst at the head without communication with the main pancreatic duct (Figure 1b). Magnetic resonance imaging (MRI) revealed a stenosis of the superior mesenteric vein-portal vein junction (Figure 1c). Positron emission tomography (PET) showed hypermetabolism at the pancreatic head area, suggesting pancreatic cancer (Figure 1d). Endoscopic ultrasound (EUS) with fine-needle aspiration of the cyst was then performed. Histopathological analysis of the cystic fluid revealed an atypical epithelium with intracytoplasmic mucin, suggestive of mucinous adenocarcinoma (Figure 1e). In addition, immunohistochemical analysis of the fluid showed that amylase (1,927 U/L reference range: 30-115 U/L), lipase (13,688 U/L reference range: 5-60 U/L), carcinoembryonic antigen (925 ng/mL) and CA 19-9 (more than 20,000 U/mL) levels were all extremely high. Based on these findings, we diagnosed it as a mucinous cystadenocarcinoma involving the pancreatic head and body with superior mesenteric vein-portal vein invasion; we then decided to perform a total pancreaticoduodenectomy with a possible superior mesenteric vein-portal vein confluence resection.

|
Figure 1. Preoperative studies. a. CT revealed aggravation of the cystic lesion (about 5.5 cm size) and diffuse inflammation around the pancreatic parenchyma with pancreatic duct dilatation. b. MRCP demonstrated a large unilocular cyst at the head without communication with the main pancreatic duct. c. MRI revealed stenosis of the superior mesenteric vein-portal vein junction (arrow). d. PET showed hypermetabolism at the pancreatic head area, suggesting pancreatic cancer. e. Histopathological analysis of the cystic fluid revealed an atypical epithelium with intracytoplasmic mucin, suggestive of mucinous adenocarcinoma. |
The patient underwent a total pancreaticoduodenectomy with splenectomy. The mass seemed to invade the superior mesenteric vein-portal vein confluence (Figure 2a). Therefore, approximately 8 cm of the superior mesenteric vein-portal vein segment needed to be resected for a margin-negative resection (Figure 2b). The gap between the end of the portal vein and the superior mesenteric vein was too wide for a direct end-to-end anastomosis. An autologous graft of the healthy splenic vein was harvested (Figure 2c) and vascular reconstruction was carried out using the 4 cm long segment of the harvested splenic vein (Figure 2d). The total operating time was 14 hours and blood loss was 1,650 mL.

|
Figure 2. Operative findings. a. The mass seemed to invade the superior mesenteric vein-portal vein (SMV/PV) confluence. b. Approximately 8 cm of the superior mesenteric vein-portal vein segment needed to be resected for a margin-negative resection. c. Autologous graft of the healthy splenic vein was harvested. d. Vascular reconstruction was made using the 4 cm long segment of the harvested splenic vein. PV: portal vein; RV: renal vein; SMA: superior mesenteric artery; SV: splenic vein |
The patient returned to an oral diet on the 4th postoperative day. The postoperative course was uneventful and the patient was discharged on day 14 in generally good condition. The permanent pathologic report revealed an invasive mucinous cystadenocarcinoma with invasion to the common bile duct wall and peripancreatic soft tissue with regional lymph node metastasis (metastasis of 5 lymph nodes out of the 55 lymph nodes harvested) (Figure 3). He received UFT (tegafur) plus gemcitabine combination adjuvant chemotherapy and he is still alive. A follow-up CT at the 31st postoperative month showed a patent graft and no evidence of recurrence (Figure 4).

|
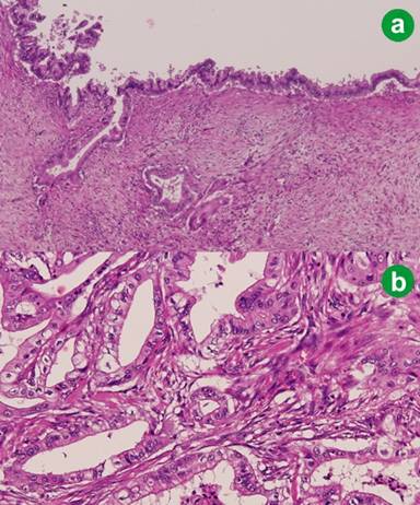
Figure 3. The permanent pathologic report revealed an invasive mucinous cystadenocarcinoma. a. Proliferating single layer of columnar epithelium with ovarian-like stroma. b. Infiltrating irregular dysplastic glands with stromal desmoplasia and irregular cell nests. (H&E; original magnification: a. x100; b. x200) |

|
Figure 4. A follow-up CT at the 31st postoperative month showed a patent graft (arrow) and no evidence of recurrence. |
DISCUSSION
Mucinous cystadenocarcinoma is a malignant form of a mucinous cystic neoplasm and is defined as high-grade dysplastic mucin-producing columnar epithelium [8]. Several findings suggest the premalignant potential of mucinous cystadenoma to mucinous cystadenocarcinoma. First, mucinous cystic tumors occurr as several sub-types, classified as mucinous cystadenoma (mild epithelial dysplasia), mucinous cystic borderline tumors (moderate epithelial dysplasia), and mucinous cystadenocarcinomas (high-grade dysplasia) [9]. Second, some Authors have reported that the long-term follow-up of benign mucinous cystic tumors show malignant transformation [10]. Third, mucinous cystadenocarcinomas tend to occur in patients approximately 15 years older than those with mucinous cystadenomas [11]. Finally, the coexistence of benign and malignant epithelia in the resected tumors was observed [12].
Mucinous cystadenocarcinomas show less female predominance and occur in the head in 46% of cases, according to an analysis of 156 cases with mucinous cystadenocarcinomas [10]. Communication with the pancreatic duct in mucinous cystadenocarcinomas has been reported in several studies [10, 13]. These paradoxical features as related to the developmental process are difficult to explain.
Despite the remarkable advancement in technology, preoperative imaging studies do not permit a differential diagnosis of mucinous cystadenocarcinoma from other pancreatic cyst neoplasms, especially pseudocysts. Some cytologic and biologic investigations can help the diagnosis. Cytologic examination can reveal atypical epithelial cells containing mucin, but they are frequently uninformative [10]. High levels of CEA (greater than 400 ng/mL) and CA 19-9 (greater than 50,000 U/mL) in aspirated cystic fluid show good specificity [10]. In our case, the levels of CEA and CA 19-9 in the aspirates were 925 ng/mL and greater than 20,000 U/mL, respectively. The high levels of amylase and lipase in the aspirates, such as in our case, suggest the presence of communication with the pancreatic duct, although all other studies have failed to reveal this evidence. Some argue the possible risk of tumor cell seeding during fine-needle aspiration. However, no tumor cell seeding has been reported and the misdiagnosis of a pseudocyst can lead to inappropriate treatment of mucinous cystadenocarcinoma [10]. In this regard, exhaustive efforts are necessary in order to reach the exact diagnosis.
After the establishment of a diagnosis, aggressive and complete surgical approaches are warranted since mucinous cystadenocarcinomas show a better prognosis than the more common pancreatic ductal adenocarcinomas. The 5-year survival rate reaches 50-72% for resected mucinous cystadenocarcinomas [10, 14, 15]. However, unless a mucinous cystadenocarcinoma is resected, the prognosis is as dismal as that for unresected ductal adenocarcinoma [7, 12]. And lymph node involvement is less common for mucinous cystadenocarcinoma (36%) than for ductal adenocarcinoma (69%) [16]. Finally, the curative resection rate is as high as 65-74% in several surveys [10, 15]. According to Sarr et al. mucinous cystadenocarcinomas tend to grow by pushing adjacent structures rather than by invading them [17]. However, as in our case, the tumor can invade the surrounding structures and, even in such circumstances, an aggressive resection including the structures invaded is warranted [10].
In particular, a more aggressive en-bloc pancreaticoduodenectomy including superior mesenteric vein-portal vein resection has recently been performed with decreased surgical complications due to improvement in the surgical technique and postoperative management [18]. The resected portal tract can be reconstructed with a direct end-to-end anastomosis when the length of resection is adequate to provide a tension-free anastomosis. But larger segments of resection need a graft for reconstruction with a saphenous vein, an iliac vein, an internal jugular vein or a synthetic vascular prosthesis [18, 19]. In our case, we used splenic vein interposition grafting exclusively because there was no evidence of tumor invasion into the splenic vein and it was already included in the specimen.
In summary, even though mucinous cystadenocarcinomas can have diverse clinicopathological features, its presence in male patients and in the pancreatic head is extremely rare. Therefore, it is important to make an exact diagnosis in order to determine and provide the proper management. Since mucinous cystadenocarcinoma has a relatively good prognosis, an aggressive surgical approach with major vascular resection is warranted in well-selected patients. Splenic vein interposition grafting could be used in the cases which undergo a total pancreaticoduodenectomy with resection of superior mesenteric vein-portal vein confluence, if the splenic vein is healthy.
Received August 2nd, 2010 - Accepted September 23rd, 2010
Key words Cystadenocarcinoma, Mucinous; Head; Male
Abbreviations AFIP: Armed Forces Institute of Pathology
Conflict of interest The authors have no potential conflict of interest
Correspondence
Chang Moo Kang
Department of Surgery
Yonsei University College of Medicine
250 Seongsanno, Seodaemun-gu
120-752 Seoul
Republic of Korea
Phone: +82-2.2228.2135
Fax: +82-2.313.8289
E-mail cmkang@yuhs.ac
References
1. Compagno J, Oertel JE. Microcystic adenomas of the pancreas (glycogen-rich cystadenomas): a clinicopathologic study of 34 cases. Am J Clin Pathol 1978; 69:289-98. [PMID 637043]
2. Kloppel G, Solcia E, Longnecker DS, Capella C, Sobin LH. World Health Organization international classification of tumours. Histological typing of tumors of the exocrine pancreas. 2nd ed. Berlin Heidelberg New York: Springer 1996; 1-61. [ISBN 3-540-60280-1]
3. Solcia E, Capella C, Kloppel G. Tumors of the pancreas. In: Atlas of Tumor Pathology. Fascicle 20. 3rd Series. Armed Forces Institute of Pathology. Washington, DC, USA: 1997. [ISBN 1-881041-29-8]
4. Goh BK, Tan YM, Chung YF, Chow PK, Cheow PC, Wong WK, Ooi LL. A review of mucinous cystic neoplasms of the pancreas defined by ovarian-type stroma: clinicopathological features of 344 patients. World J Surg 2006; 30:2236-45. [PMID 17103100]
5. Sarr MG, Carpenter HA, Prabhakar LP, Orchard TF, Hughes S, van Heerden JA, DiMagno EP. Clinical and pathologic correlation of 84 mucinous cystic neoplasms of the pancreas: can one reliably differentiate benign from malignant (or premalignant) neoplasms? Ann Surg 2000; 231:205-12. [PMID 10674612]
6. Wilentz RE, Albores-Saavedra J, Zahurak M, Talamini MA, Yeo CJ, Cameron JL, et al. Pathologic examination accurately predicts prognosis in mucinous cystic neoplasms of the pancreas. Am J Surg Pathol 1999; 23:1320-7. [PMID 10555000]
7. Warshaw AL, Compton CC, Lewandrowski K, Cardenosa G, Mueller PR. Cystic tumors of the pancreas. New clinical, radiologic, and pathologic observations in 67 patients. Ann Surg 1990; 212:432-43. [PMID 2171441]
8. Hara T, Kawashima H, Ishigooka M, Kashiyama M, Takanashi S, Yamazaki S, Hosokawa Y. Mucinous cystic tumors of the pancreas. Surg Today 2002; 32:965-9. [PMID 12444432]
9. Jeurnink SM, Vleggaar FP, Siersema PD. Overview of the clinical problem: facts and current issues of mucinous cystic neoplasms of the pancreas. Dig Liver Dis 2008; 40:837-46. [PMID 18499541]
10. Le Borgne J, de Calan L, Partensky C. Cystadenomas and cystadenocarcinomas of the pancreas: a multiinstitutional retrospective study of 398 cases. French Surgical Association. Ann Surg 1999; 230:152-61. [PMID 10450728]
11. Brenin DR, Talamonti MS, Yang EY, Sener SF, Haines GK, Joehl RJ, Nahrwold DL. Cystic neoplasms of the pancreas. A clinicopathologic study, including DNA flow cytometry. Arch Surg 1995; 130:1048-54. [PMID 7575115]
12. Fernandez-del Castillo C, Warshaw AL. Cystic tumors of the pancreas. Surg Clin North Am 1995; 75:1001-16. [PMID 7660245]
13. Bartsch D, Bastian D, Barth P, Schudy A, Nies C, Kisker O, et al. K-ras oncogene mutations indicate malignancy in cystic tumors of the pancreas. Ann Surg 1998; 228:79-86. [PMID 9671070]
14. Crippa S, Salvia R, Warshaw AL, Dominguez I, Bassi C, Falconi M, et al. Mucinous cystic neoplasm of the pancreas is not an aggressive entity: lessons from 163 resected patients. Ann Surg 2008; 247:571-9. [PMID 18362619]
15. Ridder GJ, Maschek H, Klempnauer J. Favourable prognosis of cystadeno- over adenocarcinoma of the pancreas after curative resection. Eur J Surg Oncol 1996; 22:232-6. [PMID 8654602]
16. Yeo CJ, Cameron JL, Sohn TA, Lillemoe KD, Pitt HA, Talamini MA, et al. Six hundred fifty consecutive pancreaticoduodenectomies in the 1990s: pathology, complications, and outcomes. Ann Surg 1997; 226:248-57. [PMID 9339931]
17. Sarr MG, Prabhakar LP, Loftus Jr EV. The spectrum of cystic neoplasms including mucinous ductal ectasia. In: Dervenis DG, Ed. Advances in Pancreatic Disease. Molecular Biology, Diagnosis and Treatment. New York, NY, USA: Thieme 1996; 352-70. [ISBN 3-13-104331-8]
18. Bachellier P, Nakano H, Oussoultzoglou PD, Weber JC, Boudjema K, Wolf PD, Jaeck D. Is pancreaticoduodenectomy with mesentericoportal venous resection safe and worthwhile? Am J Surg 2001; 182:120-9. [PMID 11574081]
19. Fuhrman GM, Leach SD, Staley CA, Cusack JC, Charnsangavej C, Cleary KR, et al. Rationale for en bloc vein resection in the treatment of pancreatic adenocarcinoma adherent to the superior mesenteric-portal vein confluence. Pancreatic Tumor Study Group. Ann Surg 1996; 223:154-62. [PMID 8597509]