MULTIMEDIA ARTICLE - Clinical Imaging
JOP. J Pancreas (Online) 2010 Nov 9; 11(6):642-643.
Pancreaticojejunostomy: Images of an Invagination Technique
Offir Ben-Ishay, Zaki Assi, Yoram Kluger
Department of General Surgery, Rambam Health Care Campus. Haifa, Israel
Introduction
Pancreaticoduodenectomy is the treatment of choice for resectable periampullary tumors. Anastomosis between the remnant of the pancreas and the intestine can be fashioned by various methods. An anastomotic leak can result in sepsis and even death. The rate of these complications is reported to be 10-28.5% [1]. Two widely used techniques for fashioning a pancreatic anastomosis are practiced: end to side duct to mucosa anastomosis or telescopic invagination of the pancreas into the lumen of the bowel. Some authors have suggested that the invagination technique reduces the rate of anastomotic leaks and the rate of pancreatic fistula formation [2]. These complications directly correlate with morbidity and mortality after a Whipple procedure [3].
We would like to share with the readers interesting computerized tomography (CT) images of a pancreaticojejunostomy fashioned by a telescopic invagination anastomosis between the remnant of the pancreas and a loop of the small bowel.
Case Description
A 62-year-old female presented to her general practitioner complaining of epigastric pain. Physical examination was unremarkable and her blood tests were all within normal limits. Ultrasonography of the upper abdomen revealed a 3 cm well-defined mass in the head of the pancreas. A CT scan revealed dishomogeneity of the head of the pancreas with a 2.6 cm mass. CA 19-9 levels were normal. Endoscopic ultrasound delineated the aforementioned mass, and a fine needle aspirate revealed it to be a neuroendocrine tumor. The patient was operated on and a Whipple procedure was performed.
Anatomical reconstruction was performed on an isolated jejunal loop; the pancreatic anastomosis was achieved by fashioning a telescopic invagination of the proximal stump of the pancreas into the end of the jejunal loop. On the 4th postoperative day, the patient developed abdominal pain and a high fever. A CT scan of the abdomen revealed no intra-abdominal pathology but notable pneumonia in the right lower lobe was revealed as the cause of the fever.
We would like to share with the readers the spectacular tomography images of the telescopic pancreatic invagination.
Image 1 is a double-contrast CT scan carried out during the arterial phase, showing a coronal slice of the pancreaticojejunostomy with a silicon cannula in the duct of Wirsung. The proximal end of the remnant pancreas (A) was invaginated in a loop of the small bowel (B). Some haziness of the surrounding fat and a small amount of free fluid is also depicted which is compatible with the postoperative phase.

|
Image 1 |
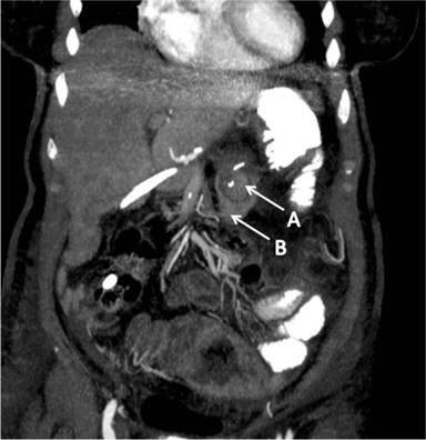
Image 2 presents a sagittal view of the pancreaticojejunostomy, with the pancreatic stump (A) invaginated with the bowel loop (B) and its mesentery.

|
Image 2 |
The patient’s fever was resolved with antibiotic treatment and intensive respiratory physiotherapy, and she was discharged after an uneventful recovery. A final pathology report revealed a well-differentiated pancreatic neuroendocrine tumor, a Ki67proliferation index less than 1%; no mitosis, necrosis nor atypia were seen. All lymph nodes were negative for metastasis and the tumor was resected with negative margins.
The patient was followed in the outpatient clinic; the immediate postdischarge period was uneventful and follow-up has been unremarkable in the two months after surgery.
Received August 9th, 2010 - Accepted September 10th, 2010
Key words Intussusception; Jejunostomy; Pancreas
Conflicts of interest The authors have no potential conflicts of interest
Correspondence
Offir
Ben-Ishay
Department of General Surgery
Rambam Health Care Campus
POB 9602
Haifa, 31096
Israel
Phone: +972-50.206.3177
Fax: +972-4.854.7228
E-mail: o_ben-ishay@rambam.health.gov.il
References
1. Bassi C, Butturini G, Molinari E, Mascetta G, Salvia R, Falconi M, et al. Pancreatic fistula rate after pancreatic resection. The importance of definitions. Dig Surg 2004; 21:54-9 [PMID 14707394]
2. Berger AC, Howard TJ, Kennedy EP, Sauter PK, Bower-Cherry M, Dutkevitch S, et al. Does type of pancreaticojejunostomy after pancreaticoduodenectomy decrease rate of pancreatic fistula? A randomized, prospective, dual-institution trial. J Am Coll Surg 2009; 208:738-47. [PMID 19476827]
3. Trede M, Schwall G. The complications of pancreatectomy. Ann Surg 1988; 207:39-47 [PMID 3276272]