LETTER
JOP. J Pancreas (Online) 2010 Nov 9; 11(6):648-649.
Management of Pain in Chronic Pancreatitis with Home Elemental Diet Ingestion
Tetsuhide Ito1, Hisato Igarashi1, Yusuke Niina1, Masayuki Hijioka1, Susumu Matsuo1, Yuzo Shimokawa1, Michitaka Yonekura2, Kazuhiko Nakamura1, Ryoichi Takayanagi1
1Department of Medicine and Bioregulatory Science, Graduate School of Medical Sciences, Kyushu University; 2Hara Yoko Clinic Hospital. Fukuoka, Japan
Dear Sir,
Abdominal pain in chronic pancreatitis patients is mostly induced by a fatty diet, overeating or alcohol consumption [1, 2, 3]. Chronic pancreatitis patients who experience repeated pain episodes often require inpatient management which may affect the patients’ social life and decrease their quality of life. The guidelines of the American Gastroenterological Association recommend a low-fat diet, non-narcotic analgesics and no alcohol consumption for pain management in chronic pancreatitis [4]. We herein report two cases of calcified chronic pancreatitis with repeated pain episodes which could be alleviated, at home, by the oral administration of a low-fat elemental diet used for enteral nutrition [5, 6] at the convalescent stage of acute pancreatitis.
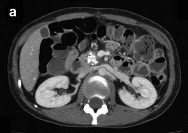
In case #1, the patient was a 38-year-old woman who was diagnosed with alcoholic calcified chronic pancreatitis 8 years ago. She experienced repeated pain episodes which had persisted for the previous three years. The pain was judged untreatable by conservative medical therapy and, therefore, she had undergone a celiac plexus block and pancreaticojejunostomy. Her condition had thereafter improved and she had refrained from drinking for a while. However, she started to experience the pain after resuming drinking two years previously. Abdominal CT revealed a relatively large pancreatic stone in the main pancreatic duct in the pancreatic head (Figure 1a) as well as small diffuse stones in the pancreas (Figure 1b). Although she was advised to stay in the hospital, she refused to be hospitalized because she thought that she would lose her job. Therefore, oral administration of an elemental diet was started at home.




|
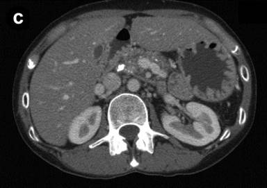
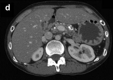
Figure 1. Abdominal enhanced CT in two patients with calcified chronic pancreatitis. a. b. Case #1. c. d. Case #2. |
In case #2, the patient was a 34-year-old woman who was diagnosed with alcoholic calcified chronic pancreatitis and a pancreatic pseudocyst six years ago. An infectious pancreatic pseudocyst was treated with pancreatic tail resection. Subsequently, she showed satisfactory improvement. However, the pain reappeared after she resumed drinking two years previously. Abdominal CT revealed a relatively large pancreatic stone in the main pancreatic duct in the pancreatic head (Figure 1c) as well as small diffuse stones in the pancreatic body (Figure 1d). She was started on an oral elemental diet at home.
The formula for both patients was a commercially available brand (Elental®; Ajinomoto Pharmaceutical Ltd., Tokyo, Japan) which contains amino acids, very little fat, vitamins and trace elements; its major energy source is dextrin [7]. One pack contains 80 g of powdered elemental diet which is dissolved in warm water to give 300 mL of solution for oral ingestion. The calorie density was 1 kcal/mL. It contains added flavors to make it more palatable. Both patients were instructed to continuously take 2-3 packs a day (600-900 kcal/day) for 3-7 days when they started experiencing pain.
Pain disappeared within 5 days after both patients started taking the elemental diet. They are now socially active, with a good quality of life maintained without inpatient management. Nutritional deterioration has not been observed. Both patients stopped drinking entirely. Subsequently, they have been taking the elemental diet as required whenever they experience abdominal pain. The elemental diet alone has been sufficient for the relief of pain after they stopped drinking.
Limiting the intake of fatty foods is the basic dietary therapy for chronic pancreatitis patients with repeated pain episodes. The elemental diet used in our cases is, as mentioned above, a low-fat elemental diet which does not require intraluminal digestion. The fat content in 100 kcal is as low as 0.17 g (http://www.ajinomoto-seiyaku.co.jp/medicalexpert/sosei/keicho01.html). The use of this product resulted in pain alleviation, and hence, inpatient management was not required. Until now, sufficient scientific evidence has not been reported, but, at present, in clinical practice, a stepwise strategy is recommended starting with life style modifications, such as a low fat diet [4, 8]. Our experience suggested that oral intake of a specific elemental diet may be a useful option for managing pain in chronic pancreatitis. However, additional clinical evidence will have to be collected through clinical trials to verify our findings.
Received August 19th, 2010 - Accepted September 6th, 2010
Key words Abdominal Pain; Food, Formulated; Pancreatitis, Chronic
Acknowledgements This study was supported by the Research Committee of Intractable Pancreatic Diseases (Principal Investigator: Dr. Tooru Shimosegawa) provided by the Ministry of Health, Labour, and Welfare of Japan
Conflicts of interest The authors have no potential conflicts of interest
Correspondence
Tetsuhide
Ito
Department of Medicine and Bioregulatory Science
Graduate School of Medical Sciences
Kyushu University
3-1-1 Maidashi, Higashi-ku
Fukuoka 812-8582
Japan
Phone: +81-92.642.5285
Fax: +81-92.642.5287
E-mail: itopapa@intmed3.med.kyushu-u.ac.jp
References
1. Otsuki M. Chronic pancreatitis in Japan: epidemiology, prognosis, diagnostic criteria, and future problems. J Gastroenterol 2003; 38:315-26. [PMID 12743770]
2. Ito T, Otsuki M, Itoi T, Shimosegawa T, Funakoshi A, Shiratori K, et al. Pancreatic diabetes in a follow-up survey of chronic pancreatitis in Japan. J Gastroenterol 2007; 42:291-7. [PMID 17464458]
3. Shimosegawa T, Kataoka K, Kamisawa T, Miyakawa H, Ohara H, Ito T, et al. The revised Japanese clinical diagnostic criteria for chronic pancreatitis. J Gastroenterol 2010; 45:584-91. [PMID 20422433]
4. American Gastroenterological Association Medical Position Statement: treatment of pain in chronic pancreatitis. Gastroenterology 1998; 115:763-4. [PMID 9721174]
5. Abou-Assi S, Craig K, O'Keefe SJ. Hypocaloric jejunal feeding is better than total parenteral nutrition in acute pancreatitis: results of a randomized comparative study. Am J Gastroenterol 2002; 97:2255-62. [PMID 12358242]
6. Hirota M, Takada T, Kitamura N, Ito T, Hirata K, Yoshida M, et al. Fundamental and intensive care of acute pancreatitis. J Hepatobiliary Pancreat Sci 2010; 17:45-52. [PMID 20012652]
7. Yamamoto T, Nakahigashi M, Umegae S, Kitagawa T, Matsumoto K. Impact of elemental diet on mucosal inflammation in patients with active Crohn's disease: cytokine production and endoscopic and histological findings. Inflamm Bowel Dis 2005; 11:580-8. [PMID 15905706]
8. Gachago C, Draganov PV. Pain management in chronic pancreatitis. World J Gastroenterol 2008; 14:3137-48. [PMID 18506917]