CASE REPORT
JOP. J Pancreas (Online) 2010 Sep 6; 11(5):446-452.
Pancreas-Preserving Duodenal Resections with Bile and Pancreatic Duct Replantation for Duodenal Dystrophy. Two Case Reports
Viacheslav Ivanovich Egorov1, Alexander Cezarevich Butkevich2, Alexander Viacheslavovich Sazhin3, Nina Ivanovna Yashina1, Sergei Nikolaievich Bogdanov2
1The Vishnevsky Institute of Surgery; 2Main Hospital of the Russian Federal Security Service; 3Russian State Medical University, Pediatric Faculty, Chair of General Surgery. Moscow, Russia
ABSTRACT
Context Duodenal dystrophy is a rare disease, characterized by the chronic inflammation of the aberrant pancreatic tissue in the duodenal wall. Case reports Two middle-aged men were admitted with upper abdominal pain of several months duration, periodic nausea and vomiting after meals, intermittent jaundice and weight loss. A diagnosis of cystic dystrophy of the vertical part of the duodenum without chronic inflammation of the orthotopic pancreas was established in both cases by multi-detector computed tomography, magnetic resonance imaging and endosonography. Both patients were successfully treated by two modifications of pancreas-preserving duodenal resections with reimplantation of the bile and pancreatic ducts into the neoduodenum. Conclusion These cases are a good example of a pancreas-preserving approach to duodenal dystrophy treatment and can be an alternative to the Whipple procedure in cases of mild changes of the orthotopic gland.
INTRODUCTION
Duodenal dystrophy, which is the chronic inflammation of the aberrant pancreatic tissue in the duodenal wall, is a relatively rare disease [1, 2, 3, 4, 5, 6, 7, 8, 9, 10, 11, 12, 13] despite the fact that heterotopic pancreatic tissue is found in the duodenum in 25-35% of all cases of pancreatic ectopia in the digestive tract [11, 12, 13, 14, 15]. The heterotopic pancreas is usually functioning and acute or chronic pancreatitis is more probable in the ectopic tissue than in the orthotopic gland as a result of an underdeveloped duct system [8, 11, 12]. The progression of ectopic pancreatitis associated with increasing cystic formation could result in a blockade of the major or minor duodenal papilla and consequent chronic pancreatitis in the (orthotopic) pancreas proper [10, 11, 12, 13, 14, 15]. Furthermore, malignant transformation of the aberrant pancreas is not a rare occurrence [16, 17]. It makes a timely diagnosis of this condition vital as it may determine the choice of the surgical procedure [3, 4, 5, 6, 9, 10, 12, 13].
Duodenal dystrophy management remains a topic of discussion and pancreaticoduodenectomy is currently the method of choice when conservative treatment fails [3, 4, 5, 6, 9, 10, 11, 12, 13]. The purpose of this report was to show the possibility of preserving the orthotopic pancreas in cases of cystic dystrophy in the heterotopic gland located in the region of the papilla of Vater.
Case #1
A 32-year-old man was admitted to the 4th Clinical Hospital, Moscow, Russia, after two months of upper abdominal pain, periodic nausea and vomiting after meals and weight loss. The patient had a short history of alcohol and tobacco abuse and, a few months previously, he had been treated for bleeding from an ulcer in the vertical duodenal branch. A physical examination revealed no cardiac, respiratory or urinary disorders. His pulse was 72 beats/min, sinus rhythm, and his blood pressure was 120/80 mmHg. There was slight tenderness in the right upper abdomen quadrant without a distinct palpable mass.
Hematological and biochemical blood tests did not show any considerable shifts, including bilirubin, alanine and aspartate aminotransferase, gamma GT levels and oncological markers. Serum amylase was mildly elevated to 350 U/mL (reference range: 60-100 U/mL) and biochemical signs of hepatitis C minimal activity were revealed. The pH of the urine was 7 and relative density was 1.016. The sediment contained 1-2 white cells per high-power field.
An upper GI endoscopy revealed deformation and infiltration of the second portion of the duodenum, mainly at the expense of an ulcerated medial wall. The main papilla was involved in the infiltrated tissue, but the bile flow was preserved. A biopsy of the duodenal mucosa detected moderate inflammation. A barium meal revealed mild evacuation disorders due to a narrowing of the second part of the duodenum.
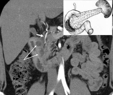
Abdominal ultrasonography did not reveal any significant changes. Contrast multi-detector computed tomography and magnetic resonance imaging showed a fibrous parietal thickening and a large ovoid mass (4.2x2.5 cm) of fluid density, divided by the septa, in the medial wall of the second portion of the duodenum. The pancreatic head, body and tail were unchanged in size and structure. The gastroduodenal artery was shifted notably forward and to the left (Figure 1).

|
Figure 1. Arterial phase of multi-detector computed tomography (Case #1). Deformation and hardening of the medial wall of the duodenum with a septated cystic structure (double arrow). The gastroduodenal artery is shifted forward and to the left, lying in the groove between the pancreatic head and the duodenal wall involved (short arrow). The scheme of the lesion and the unaffected pancreas is in the upper right corner. |
|
|
The diagnosis of cystic duodenal dystrophy was confirmed by an endosonography examination which revealed an ovoid septated cystic structure of the same size (4.2x2.5 cm) located in the submucosa and muscularis propria, associated with infiltration and sclerosis of the second portion of the duodenal wall (Figure 2). There were no signs of tumor growth in the duodenum, common bile duct, pancreas or the peripancreatic lymph nodes.

|
Figure 2. Endosonography (Case #1). Large ovoid septated cystic structure in the submucosa and muscularis of the diffusely thickened duodenal wall. |
|
|
The patient was operated on seven days later, after preoperative treatment. The hepatic flexure of the colon was deflected through a midline incision, and the duodenum and the head of the pancreas were extensively mobilized from the retroperitoneum well to the left of the midline. The stomach was dilated due to the stenosis of the second part of the duodenum. A cholecystectomy was performed and the papilla was stented by a Dogliotti probe through the cystic duct. The proximal jejunum was transected 15 cm below the Treitz ligament, detached from its mesentery and transferred to the right behind the superior mesenteric vessels. The duodenum was transected 1.5 cm distal to the pylorus in the unaffected zone. The second, third and fourth portions of the duodenum were detached from the pancreas by the division and ligature of the short vessels and removed with the main papilla after transection of the common bile and the main pancreatic ducts; a pancreas-preserving subtotal duodenectomy was performed (Figure 3). The proximal jejunum was passed through the mesocolon, and the bile and pancreatic ducts were implanted in the shifted jejunum 4 cm below the future duodenojejunal anastomosis using a single layer of interrupted 5/0 absorbable sutures. An end-to-end duodenoenterostomy was performed with a single layer of 4/0 absorbable continuous suture (Figure 4) and a microdrain was placed through the cystic duct stump into the common bile duct.

|
Figure 3. Scheme of the subtotal duodenectomy: the parts of the duodenum to be removed are shown in black (Case #1). |
|
|

|
Figure 4. Scheme of the completed pancreas-preserving subtotal duodenectomy (Case #1). The common bile duct stent has been omitted. |
|
|
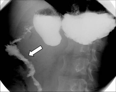
The postoperative course was uneventful. Cholangiography and a barium meal (Figure 5) on the 6th postoperative day revealed no leaks and good functioning of the neoduodenum and choledocho-pancreaticojejunostomy. The bile drain was removed 3 weeks later. Throughout the ensuing six-month follow-up, the patient had no complaints and gained 4 kg.

|
Figure 5. X-ray barium meal examination six days after the pancreas-preserving subtotal duodenectomy (Case #1). No leaks and good functioning of the doudenojejunostomy (arrow). |
|
|
Case #2
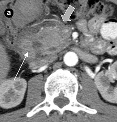
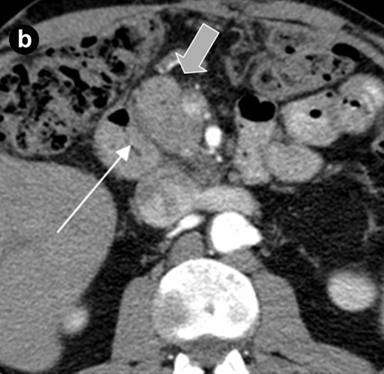
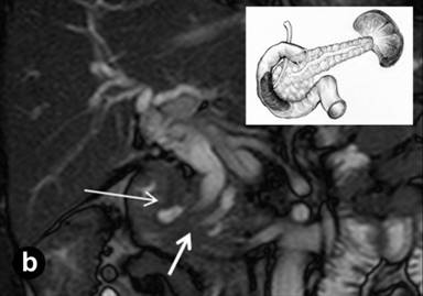
A 43-year-old man with abdominal pain of a one year duration, nausea, vomiting, weight loss and intermittent jaundice was referred to the Hospital of the Russian Federal Security Service, Moscow, Russia, with a clinical diagnosis of chronic pancreatitis. The patient had a history of previous extensive small bowel resection; one year previously he had been operated on for acute pancreatitis with abdominal draining and a cholecystectomy. The epigastrium was mildly sensitive on physical examination. The laboratory findings were normal, except for a slight increase in the bilirubin level (40 µmol/L; reference range: 3.5-19.0 µmol/L). Abdominal US showed diffuse changes of the liver and pancreas. On computed tomography (Figure 6) and magnetic resonance imaging (Figure 7), a thick-walled cystic lesion 4x4.5 cm which had infiltrated the medial wall of the second part of the duodenum was observed against the background of the minimally changed pancreatic structure with pancreatic and common bile duct dilation,. Endosonography revealed a solid and septated cystic lesion mainly located in the submucosa of the narrowed second portion of the duodenal wall.


|
Figure 6. Arterial phase of multi-detector computed tomography before (a.) and 6 months after (b.) the pancreas-preserving resection of the second portion of the duodenum with the jejunal interposition (Case #2). a. There is a septated cystic structure (thin arrow) in the medial duodenal wall with prominent inflammation and fibrosis around the duodenum and pancreatic head (thick arrow). b. Neoduodenum (thin arrow) and pancreatic head (thick arrow) without signs of inflammation or fibrosis. |
|
|


|
Figure 7. Magnetic resonance imaging (Case #2). (a.) Magnetic resonance cholangiopancreatography; (b.) Balanced turbo field echo (B-TFE). A septated cyst is located in the medial wall of the second part of the duodenum (long arrows) causing biliary and pancreatic hypertension (large arrow). Stenosis of the terminal parts of the common and the main pancreatic ducts (short white arrow). Scheme of the lesion and unaffected pancreas is in the upper right corner. |
|
|
The patient was operated on with a diagnosis of "chronic inflammation of the aberrant pancreatic tissue in the duodenal wall (duodenal dystrophy), bile and pancreatic hypertension". Exploration and an extensive Kocher’s maneuver were performed through a midline incision. The stomach and the first portion of the duodenum were dilated due to the intraluminal mass of the second part of the duodenum connected to its medial wall. The gallbladder (14x7 cm) and common bile duct (13 mm) were tense and dilated. After the cholecystectomy, the papilla was stented using a Dogliotti probe, the tip of which was found exactly at the low pole of the intraluminal mass. Taking into consideration the shortness of the small bowel, we decided to save as much of its length as possible. The duodenum was transected 2 cm below the pylorus and 3 cm below the main papilla. Following the transection of the common bile and the main pancreatic ducts, and detachment of the duodenum from the pancreatic head, the whole of its second part, including the main papilla, was removed (Figure 8). Fifty centimeters below the Treitz ligament, a 10 cm segment of the proximal jejunum, supplied by the artery and vein, was cut out and passed through the mesocolon (Figure 9). The shifted segment was interposed between the first and the third parts of the duodenum and jejuno-jejuno- and distal duodeno-jejuno-anastomoses were performed. The bile and pancreatic ducts were sutured together and implanted in the neoduodenum 4 cm below the final proximal duodeno-jejuno-anastomosis. All the bowel anastomoses were end-to-end and carried out using a single layer continuous 4/0 absorbable suture. The choledocho-pancreaticojejunostomy was carried out with a single layer of interrupted 5/0 absorbable sutures (Figure 10). The procedure was completed by drainage of the common bile duct through the cystic duct stump and drainage of the right abdominal cavity.

|
Figure 8. The resected specimen of the second part of the duodenum (Case #2). A large scarry-sided cyst in the medial duodenal wall is shown (arrow). A forceps was introduced into the duodenum to show the absence of communication between the cystic and duodenal lumen. |
|
|

|
Figure 9. Scheme of the pancreas-preserving resection of the second portion of the duodenum (Case #2). The second part of the duodenum, including the main papilla, is removed and the segment of the proximal jejunum supplied by the artery and vein is cut out and prepared for transposition between the 1st and 3rd portions of the duodenum. |
|
|

|
Figure 10. Scheme of the pancreas-preserving resection of the second portion of the duodenum (Case #2). The shifted segment is interposed between the 1st and the 3rd parts of the duodenum. Jejuno-jejuno- and duodeno-jejuno-anastomoses are performed. The bile and the pancreatic ducts were implanted in the neodudenum 4 cm below the proximal duodeno-jejuno-anastomosis. The common bile duct stent has been omitted. |
|
|
The postoperative course was uneventful. Cholangiography and a barium meal (Figure 11) on the 7th postoperative day revealed no leaks and good functioning of the neoduodenum and choledocho-pancreaticojejunostomy. The bile drain was removed 4 weeks later. During the subsequent five-month follow-up, the patient had no symptoms, returned to work and gained 6 kg.

|
Figure 11. X-ray barium meal examination seven days after the pancreas-preserving resection of the second portion of the duodenum (Case #2). No leaks and good functioning of the interposed jejunal segment (arrow). |
|
|
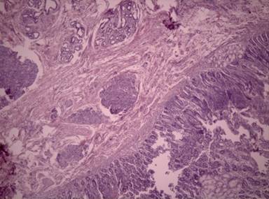
In both cases, the diagnosis was confirmed macroscopically (Figure 8) and histopathologically (Figures 12 and 13) after detecting pancreatic tissue in the duodenal wall which was fully isolated from the pancreas proper.

|
Figure 12. Microscopy (Case #1; H&E, x50). The fragment of pancreatic tissue heterotopia presented mainly by ductal structures in the submucosa of the duodenum. |
|
|
|
Figure 13. Microscopy (Case #2; H&E, x400). The fragment of the dilated ectopic pancreatic duct with PanIN-2 changes (arrows) in the submucosa and muscularis propria of the duodenal wall. |
|
|
DISCUSSION
Both cases were characterized by cystic dystrophy surrounded by inflammation and fibrosis in the heterotopic pancreas located in the duodenal wall; in both cases, the diagnosis was established by computed tomography and confirmed by magnetic resonance imaging and endosonography. Although similar lesions are frequently associated with chronic inflammation of the orthotopic pancreas [8, 9, 10, 11], in these cases, the changes of the pancreas proper were minimal. The main symptoms in both cases were abdominal pain, nausea and vomiting, attributed to inflammatory changes as well as to duodenal, bile and pancreatic duct stenoses.
The choice of a pancreas-sparing procedure instead of the conventional Whipple procedure [3, 4, 5, 6, 9, 10, 11, 12, 13] was determined by the absence of heavy scarry changes in the pancreatic head and duodenum, which usually present in the event of associated "orthotopic" chronic pancreatitis. These conditions usually lead to an unnecessary excessive procedure, such as a pancreaticoduodenectomy.
A pancreas-preserving procedure is theoretically the optimal modality for the treatment of duodenal dystrophy due to the removal of the pathologic tissue and the preservation of the exocrine and endocrine pancreatic functions. The aim of this report was to describe the possibility of such surgery for duodenal dystrophy which, in our opinion, clearly demonstrates the essence of the desirable therapy. We did not come across any reports in the literature regarding a pancreas-preserving duodenectomy for duodenal dystrophy [18, 19, 20, 21, 22, 23, 24, 25, 26, 27, 28, 29, 30, 31, 32, 33, 34, 35, 36, 37] nor did we find any information about the resection of the second duodenal portion with the main papilla followed by the reconstruction with bowel interposition [19, 20, 21, 22, 23, 24, 25, 26, 27, 28, 29, 30, 31, 32, 33, 34, 35, 36, 37, 38, 39]. We believe that both types of pancreas-preserving procedures are better choices than a pancreaticoduodenectomy for duodenal dystrophy or for any other non-malignant condition of the duodenum; the former is easier to perform and the latter is preferable in selected cases of concomitant short bowel when direct duodeno-duodeno-anastomosis [38, 39] is risky because of excessive tension.
In our opinion, the risk of such a procedure is the same as that of a pancreaticoduodenectomy and experience with a total duodenectomy for familial polyposis has shown that mortality and morbidity in specialized departments after pancreas-preserving procedures were comparable with those after a pancreaticoduodenectomy which is still considered the primary therapeutic choice in duodenal dystrophy [34, 35, 37].
The Whipple procedure is a major operation with a high risk of diabetes, exocrine insufficiency and significant mortality (1-5%) and we feel that both pancreaticoduodenectomies and pancreas-preserving procedures should be performed only in specialized departments. Comparison of the efficacy of these procedures will only be possible after the assessment of long-term results of a sufficient number of cases.
Received March 20th, 2010 - Accepted June 27th, 2010
Key words Duodenal Diseases; Duodenal Obstruction; Pancreaticoduodenectomy; Pancreatitis
Acknowledgments We thank Prof. AI Schegolev and Dr. HA Dubova for their valuable assistance with the histopathological samples. Drawings by VV Maslennikov
Conflict of interest The authors have no potential conflict of interest
Correspondence
Viacheslav
I Egorov
Department of Hepatopancreatobiliary Surgery
The Vishnevsky Institute of Surgery
Bolshaya Serpukhovskaya str., 27
117997, Moscow
Russia
Phone: +7-495.237.9226
Fax: +7-495.236.6130
E-mail: v.egorov61@gmail.com
References
1. Potet F, Duclert N. Dystrophie kystique sur pancreas aberrant de la paroi duodenale. (Cystic dystrophy on aberrant pancreas of the duodenal wall). Arch Fr Mal App Dig 1970; 59:223. [PMID 5419209]
2. Pang LC. Pancreatic heterotopia: a reappraisal and clinicopathologic analysis of 32 cases. South Med J 1988; 81:1264-75. [PMID 3051429]
3. Ponchon T, Napoleon B, Hedelius F, Bory R. Traitement endoscopique de la dystrophie kystique de la paroi duodénale. Gastroenterol Clin Biol 1997; 21:A63.
4. Rubay R, Bonnet D, Gohy P, Laka A, Deltour D. Cystic dystrophy in heterotopic pancreas of the duodenal wall: medical and surgical treatment. Acta Chir Belg 1999; 99:87-91. [PMID 10352740]
5. Bittar I, Cohen Solal JL, Cabanis P, Hagege H. Cystic dystrophy of an aberrant pancreas. Surgery after failure of medical therapy. Presse Med 2000; 29:1118-20. [PMID 10901787]
6. Basili E, Allemand I, Ville E, Laugier R. Lanreotide acetate may cure cystic dystrophy in heterotopic pancreas of the duodenal wall. Gastroenterol Clin Biol 2001; 25:1108-11. [PMID 11910994]
7. Glaser M, Roskar Z, Skalincky M, Krajnc I. Cystic dystrophy of the duodenal wall in a heterotopic pancreas. Wien Klin Wochenschr 2002; 114:1013-6. [PMID 12635471]
8. Adsay NV, Zamboni G. Paraduodenal pancreatitis: a clinico-pathologically distinct entity unifying 'cystic dystrophy of heterotopic pancreas', 'para-duodenal wall cyst', and 'groove pancreatitis'. Semin Diagn Pathol 2004; 21:247-5. [PMID 16273943]
9. Egorov VI, Kubyshkin VA, Karmazanovskiĭ GG, Shchegolev AI, Kozlov IA, Iashina NI, et al. Heterotopy of pancreatic tissue as a cause of chronic pancreatitis. Typical and rare cases. Khirurgiia (Mosk) 2006; 11:58-62. [PMID 17183774]
10. Fléjou JF, Potet F, Molas G, Bernades P, Amouyal P, Fékété F. Cystic dystrophy of the gastric and duodenal wall developing in heterotopic pancreas: an unrecognized entity. Gut 1993; 34:343-7. [PMID 8097180]
11. Kloppel G. Chronic pancreatitis, pseudotumors and other tumor-like lesions. Mod Pathol 2007, 20(Suppl 1):113-31. [PMID 17486047]
12. Rebours V, Lévy P, Vullierme MP, Couvelard A, O'Toole D, Aubert A, et al. Clinical and morphological features of duodenal cystic dystrophy in heterotopic pancreas. Am J Gastroenterol 2007; 102:871-9. [PMID 17324133]
13. Jovanovic I, Alempijevic T, Lukic S, Knezevic S, Popovic D, Dugalic V, et al. Cystic dystrophy in heterotopic pancreas of the duodenal wall. Dig Surg 2008; 25:262-8. [PMID 18663311]
14. Ravitch MM. Anomalies of the pancreas. In: Cary LC, ed. The Pancreas. St.Louis: C.V. Mosby, 1973.
15. Skandalakis JE, Skandalakis LJ, Colborn GL. Congenital anomalies and variations of the pancreas and pancreatic and extrahepatic bile ducts. In: Beger HG, Warshaw AL, Büchler MW, Carr-Locke DL, Neoptolemos JP, Russell C, et al., eds. The Pancreas, Oxford, Blackwell Science, 1998:28-30.
16. Jeng KS, Yang KC, Kuo SH. Malignant degeneration of heterotopic pancreas. Gastrointest Endosc 1991; 37:196-8. [PMID 2032610]
17. Tanimura A., Yamamoto H., Shibata H., Sano E. Carcinoma in hetrotopic gastric pancreas. Acta Pathol Japan 1979, 29:251-7. [PMID 552797]
18. Marmorale A, Tercier S, Peroux JL, Monticelli I, Mc Namara M, Huguet C. Dystrophie kystique du deuxième duodénum sur pancréas aberrant. Un cas de traitement chirurgical conservateur. (Cystic dystrophy in heterotopic pancreas of the second part of the duodenum. One case of conservative surgical procedure). Ann Chir 2003; 128:180-4. [PMID 12821087]
19. Chung RS, Church JM, vanStolk R. Pancreas-sparing duodenectomy: indications,surgical technique and results. Surgery 1995; 117:254-9. [PMID 7878529]
20. Maher MM, Yeo CJ, Lillemoe KD, Roberts JR, Cameron JL. Pancreas-sparing duodenectomy for infra-ampullary duodenal pathology. Am J Surg 1996; 171:62-7. [PMID 8674384]
21. Tsiotos GG, Sarr MG. Pancreas-preserving total duodenectomy. Dig Surg 1998; 15:398-403. [PMID 9845621]
22. Nagai H, Hyodo M, Kurihara K, Ohki J, Yasuda T, Kasahara K, et al. Pancreas-sparing duodenectomy: classification, indication and procedures. Hepatogastroenterology 1999; 46:1953-8. [PMID 10430376]
23. Sarmiento JM, Thompson GB, Nagorney DM, Donohue JH, Farnell MB. Pancreas-sparing duodenectomy for duodenal polyposis. Arch Surg 2002; 137:557-62. [PMID 11982469]
24. Kalady MF, Clary BM, Tyler DS, Pappas TN. Pancreas-preserving duodenectomy in the management of duodenal familial adenomatous polyposis. J Gastrointest Surg 2002; 6:82-7. [PMID 11986022]
25. Lundell L, Hyltander A, Liedman B. Pancreas-sparing duodenectomy: technique and indications. Eur J Surg 2002; 168:74-7. [PMID 12113274]
26. Eisenberger CF, Knoefel WT, Peiper M, Yekebas EF, Hosch SB, Busch C, Izbicki JR. Pancreas-sparing duodenectomy in duodenal pathology: indications and results. Hepatogastroenterology 2004; 51:727-31. [PMID 15143902]
27. Yadav TD, Kaushik R. Pancreas-sparing duodenectomy for trauma. Trop Gastroenterol 2004; 25:34-5. [PMID 15303470]
28. Köninger J, Friess H, Wagner M, Kadmon M, Büchler MW. Technique of pancreas-preserving duodenectomy. Chirurg 2005; 76:273-81. [PMID 15668807]
29. Mackey R, Walsh RM, Chung R, Brown N, Smith A, Church J, Burke CJ. Pancreas-sparing duodenectomy is effective management for familial adenomatous polyposis. J Gastrointest Surg 2005; 9:1088-93. [PMID 16269379]
30. Imamura M, Komoto I, Doi R, Onodera H, Kobayashi H, Kawai Y. New pancreas-preserving total duodenectomy technique. World J Surg 2005; 29:203-7. [PMID 15650799]
31. Egorov VI, Karmazanovsky GG, Schegolev AI, Yashina NI, Stepanova JA, Solodinina EN, et al. Importance of preoperative imaging of duodenal gastrointestinal stromal tumors for the choice of a surgical procedure. Eur J Radiol Extra 2007; 63:29-34.
32. Konishi M, Kinoshita T, Nakagohri T, Takahashi S, Gotohda N, Ryu M. Pancreas-sparing duodenectomy for duodenal neoplasms including malignancies. Hepatogastroenterology 2007; 54:753-7. [PMID 17591055]
33. Tison C, Regenet N, Meurette G, Mirallié E, Cassagnau E, Frampas E, Le Borgne J. Cystic dystrophy of the duodenal wall developing in heterotopic pancreas: report of 9 cases. Pancreas 2007; 34:152-6. [PMID 17198198]
34. Al-Sarireh B, Ghaneh P, Gardner-Thorpe J, Raraty M, Hartley M, Sutton R, Neoptolemos JP. Complications and follow-up after pancreas-preserving total duodenectomy for duodenal polyps. Br J Surg 2008; 95:1506-11. [PMID 18991295]
35. de Castro SM, van Eijck CH, Rutten JP, Dejong CH, van Goor H, Busch OR, Gouma DJ. Pancreas-preserving total duodenectomy versus standard pancreatoduodenectomy for patients with familial adenomatous polyposis and polyps in the duodenum. Br J Surg 2008; 95:1380-6. [PMID 18844249]
36. Imamura M, Komoto I. Surgical treatment of the gastrinoma. In: Beger HG, Matsuno S, Cameron JL, eds. Diseases of the Pancreas. Current Surgical Therapy. Berlin-Heidelberg: Springer, 2008, 723-34.
37. Müller MW, Dahmen R, Köninger J, Michalski CW, Hinz U, Hartel M, et al. Is there an advantage in performing a pancreas-preserving total duodenectomy in duodenal adenomatosis? Am J Surg 2008; 195:741-8. [PMID 18436175]
38. Ryu M, Kinoshita T, Konishi M, Kawano N, Arai Y, Tanizaki H, Cho MH. Segmental resection of the duodenum including the papilla of Vater for focal cancer in adenoma. Hepatogastroenterology 1996; 43:835-8. [PMID 8884299]
39. Imaizumi T, Ishii M, Tobita K, Douwaki S, Makuuchi H. Cancer of the duodenum: surgical treatment. In: Beger HG, Matsuno S, Cameron JL, eds. Diseases of the Pancreas. Current Surgical Therapy. Berlin-Heidelberg: Springer, 2008: 817-26.