CASE REPORT
JOP. J Pancreas (Online) 2010 Sep 6; 11(5):460-463.
Magnetic Resonance Cholangiography with Mangafodipir Trisodium in Caroli's Disease with Pancreas Involvement
Simone Maurea, Carmine Mollica, Massimo Imbriaco, Mario Fusari, Luigi Camera, Marco Salvatore
Department of Biomorphological and Functional Sciences (DSBMF), University Federico II of Napoli (UNINA), Biostructures and Bioimmages Institution (IBB), National Research Council (CNR); SDN Foundation (IRCCS). Naples, Italy
ABSTRACT
Context Caroli’s disease is a rare congenital disorder first described by Caroli in 1958. This abnormality consists of non-obstructive, saccular or fusiform dilation of the intrahepatic bile ducts resulting in cystic lesions; similar abnormalities may also occur in the kidneys and pancreas. Case report We illustrate the role of enhanced mangafodipir trisodium magnetic resonance imaging in a patient with sporadic non-hereditary Caroli’s disease associated with pancreatic involvement in which mangafodipir trisodium magnetic resonance imaging characterized part of the cystic liver lesions as saccular dilations of the intrahepatic bile ducts of the left lobe, allowing diagnosis of the disease. Conclusion We strongly recommend hepatobiliary magnetic resonance imaging with mangafodipir trisodium in such patients.
INTRODUCTION
Caroli’s disease is a rare congenital disorder first described by Caroli in 1958 [1]. This abnormality consists of non-obstructive saccular or fusiform dilation of the intrahepatic bile ducts resulting in cystic lesions; similar abnormalities may also occur in the kidneys and pancreas. Therefore, non-invasive imaging characterization of such lesions is required; in this regard, the characterization of cystic focal liver lesions as well as of pancreatic cystic masses has always been a challenge in diagnostic imaging. The ability to differentiate all types of cystic tumors is extremely important because the clinical implications as well as the therapeutic strategies vary on the basis of their nature [2, 3, 4]. In particular, the recent advances in imaging techniques, mainly represented by dynamic multi-slice computed tomography (CT) and fast-dedicated magnetic resonance (MR) modalities, have provided imaging criteria to characterize cystic focal liver lesions. However, many overlapping features have been shown to be present in different cystic neoplasms; therefore, there is still the need for additional imaging parameters to differentiate cystic liver masses.
In this report, we illustrate the specific role of enhanced mangafodipir trisodium MR imaging (MRI) in a patient with Caroli’s disease and pancreatic involvement in whom mangafodipir trisodium MRI clearly characterized part of the cystic liver lesions as saccular dilatations of the intrahepatic bile ducts of the left lobe, allowing diagnosis of the disease.
CASE REPORT
A 27-year-old female underwent a cholecystectomy for lithiasis. The patient was successively evaluated for diffuse and recurrent abdominal pain; no alcohol and/or smoking habits were reported. Laboratory measurements of total bilirubin and pancreatic amylases were unremarkable. Abdominal ultrasound was carried out which showed multiple hepatic and pancreatic cystic lesions; a dynamic enhanced CT scan confirmed the presence of multiple liver and pancreatic cystic lesions, but, in particular, the differentiation between simple hepatic cysts and cystic ectasia of the biliary ducts suggestive of Caroli’s disease was not reached. Therefore, MRI was requested to characterize the liver lesions and it was performed acquiring T1- and T2-weighted sequences integrated with T2-hydrographic images to specifically evaluate the biliary tract in axial and coronal views. MR cholangiography after intravenous administration of mangafodipir trisodium (Teslascan®, Nycomed, Amersham, Oslo, Norway), was also performed using T1-weighted sequences. Turbo spin echo T2-weighted images in axial and coronal views showed multiple hyperintense focal lesions in the left lobe of the liver, typical of cystic lesions, as well as multiple pancreatic cysts of the tail and saccular ectasia of the main biliary duct (Figure 1). T2-hydrographic dedicated images confirmed these findings, but certain imaging signs for a differential diagnosis between simple hepatic cysts and biliary cysts were not identified (Figure 2). However, the enhanced mangafodipir trisodium T1-weighted MRI clearly showed that some of the liver cysts concentrated mangafodipir trisodium contrast medium, thus demonstrating that these enhanced cystic lesions were in communication with the biliary ducts providing imaging criteria consistent with a diagnosis of Caroli’s disease (Figure 3). A segmental hepatectomy specimen demonstrated dilated simil-cystic intrahepatic ducts of the IV segment corresponding to a diagnosis of Caroli’s disease.




|
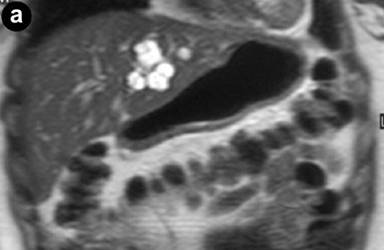
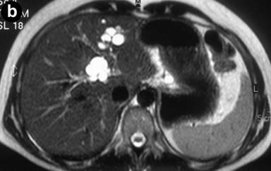
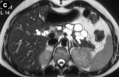
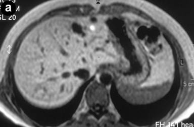
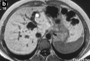
Figure 1. Conventional turbo spin echo T2-weighted axial (a., b. and c.) and coronal (d.) MR views show multiple cystic lesions in the left liver lobe as well as in the pancreatic tail. Saccular ectasia of the main biliary duct is also depicted. |
|
|

|
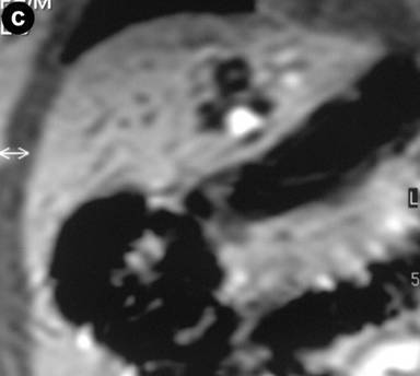
Figure 2. On hydrographic imaging, the MR cholangiopancreatography sequence confirmed the results of conventional turbo spin echo T2-weighted acquisitions. |
|
|




|
Figure 3. Enhanced mangafodipir trisodium T1-weighted axial (a. and b.) and coronal (c. and d.) MR views show that some of the liver cysts of the left lobe concentrate mangafodipir trisodium contrast medium as well as the fact that the main biliary duct has saccular dilatation. |
|
|
DISCUSSION
Caroli’s disease is a rare congenital disorder first described by Caroli in 1958 [1]. This abnormality consists of non-obstructive, saccular or fusiform dilation of the intrahepatic bile ducts involving the entire liver or only a lobe or a single segment. Two forms of the disease have been identified: the non-hereditary form (Type 1) also known as the "sporadic pure type", which is often limited to one hepatic lobe (usually the left lobe) and the hereditary form (Type 2) which involves the entire liver. Pancreatic involvement by Caroli’s disease is described, but rarely occurs. In this study, we report a case of Caroli’s disease with pancreatic involvement in whom MRI performed after intravenous administration of mangafodipir trisodium allowed diagnosis of the disease.
Direct bile duct opacification by endoscopic retrograde cholangiopancreatography or percutaneous transhepatic cholangiography is the most sensitive diagnostic approach for investigating bile duct abnormalities and demonstrating communication between the cystic liver lesions and the bile ducts; however, both techniques are invasive and carry the risk of complications, including sepsis and bleeding [5]. To overcome these limitations, dynamic CT and fast MR or dedicated MR cholangiopancreatography show the morphofunctional features of the majority of cystic liver lesions. CT imaging typically shows hypoattenuating dilated cystic structures of varying sizes which seem to communicate with the biliary tree. The presence of tiny dots with strong contrast enhancement during the portal phase within the dilated intrahepatic bile ducts ("the central dot sign") is considered a diagnostic hallmark on CT for Caroli’s disease and corresponds to intraluminal portal vein radicals [6]. On MRI, the dilated and cystic biliary ducts appear as hypointense focal lesions on T1-weighted sequences and markedly hyperintense on T2-weighted acquisition [5, 7, 8]; after intravenous contrast administration, the intraluminal portal vein radicals become strongly enhanced [9]. In the absence of the central dot sign, MR cholangiopancreatography (MRCP) can be helpful in detecting cystic dilated and non-obstructed intrahepatic bile ducts appearing as cystic focal lesions, but an exact imaging demonstration of the communication between the cystic lesions and the biliary tree is not usually provided by conventional T1- or T2-weighted images or by MRCP scans.
In this report, we describe a patient with Caroli’s disease in which T1-weighted MRI images acquired after intravenous mangafodipir trisodium administration characterized part of the cystic liver lesions as communicating with the bile ducts, allowing the diagnosis of Caroli’s disease. Cystic liver lesions which occur in Caroli’s disease are classified as developmental lesions together with simple hepatic cysts and bile duct hamartoma; the specific characteristics of Caroli’s cysts consist of communication with the biliary tree, and the presence of internal septae as well as of central portal vein radicals. In our patient, CT scans showed multiple cystic focal liver lesions in the left lobe, but the "central dot sign" was not observed in these lesions. Conventional T1- and T2-weighted as well as the T1-weighted MR sequence performed after the administration of mangafodipir trisodium contrast material was diagnostic for Caroli’s disease, demonstrating the transit of mangafodipir trisodium into some of the cystic focal lesions; these findings are explained on the basis of the biological distribution of mangafodipir trisodium. In this regard, mangafodipir trisodium is a paramagnetic MRI hepatobiliary contrast agent which consists of manganese bound to dipyridoxyl diphosphate, a vitamin B6 analog; this compound provides clear functional and anatomic evaluation of the biliary tree, increasing signal intensity on T1-weighted images and offering diagnostic information similar to hepatobiliary scintigraphy. After the intravenous administration of mangafodipir trisodium, the contrast accumulates within the liver cells and is mainly excreted via bile accurately demonstrating the intra- and extra-hepatic biliary ducts [10]. Of note, another MR contrast agent with similar characteristics might be used for the same purpose; this compound consists of a gadolinium chelate, gadobenate dimeglumine, which shows extra-cellular, hepatobiliary and blood pool behavior [11, 12]. The mechanism of action of gadobenate dimeglumine is similar to that of gadolinium chelates, such as gadopentetate dimeglumine, but with two key differences, such as transient and weak binding with serum albumin in the intravascular space; thus, it is taken up by the hepatocytes and excreted in the bile (up to 5% of the dose administered).
In conclusion, this is one of the few cases of Caroli’s disease with pancreatic involvement reported in the literature in which MRI with mangafodipir trisodium allowed diagnosis of the disease showing the direct communication between some cystic liver lesions and the biliary ducts using a paramagnetic contrast agent with hepatobiliary excretion. Therefore, hepatobiliary MRI with dedicated contrast agents is strongly recommended in patients with Caroli’s disease when characterization of cystic liver lesions is required.
Received May 7th, 2010 - Accepted June 22nd, 2010
Keywords Caroli Disease; Cholangiopancreatography, Magnetic Resonance; N,N'-bis(pyridoxal-5-phosphate)ethylenediamine-N,N'-diacetic acid; Pancreas
Conflict of interest The authors have no potential conflict of interest
Correspondence
Simone
Maurea
Via Ernesto Murolo n. 5
80123 Napoli
Italy
Phone: +39-81.746.3560/2039
Fax: +39-81.545.7081
E-mail: maurea@unina.it
References
1. Taylor AC, Palmer KR. Caroli's disease. Eur J Gastroenterol Hepatol 1998; 10:105-8. [PMID 9581983]
2. Mortelè KJ, Ros PR. Cystic focal liver lesions in the adult: differential CT and MR imaging features. Radiographics 2001; 21:895-910. [PMID 11452064]
3. Brancatelli G, Federle Mp, Vilgrain V, Vullierme MP, Marin D, Lagalla R. Fibropolycystic liver disease; CT and MR imaging findings. Radiographics 2005; 25:659-70. [PMID 15888616]
4. Dhumeaux D. Congenital cystic diseases of the intra- and extrahepatic bile ducts. Gastroenterol Clin Biol 2005; 29:878-82. [PMID 16294162]
5. Guy F, Cognet F, Dranssart M, Cercueil JP, Conciatori L, Krausè D. Caroli's disease: magnetic resonance imaging features. Eur Radiol 2002; 12:2730-6. [PMID 12386765]
6. Choi BI, Yeon KM, Kim SH, Han MC. Caroli disease: central dot sign in CT. Radiology 1990; 174:161-3. [PMID 2294544]
7. Zaugger P, Grossholz M, Mentha G, Lemoine R, Graf JD, Terrier F. MRI findings in Caroli's disease and intrahepatic pigmented calculi. Abdom Imaging 1995; 20:361-4. [PMID 7549744]
8. Pavone P, Laghi A, Catalano C, Materia A, Basso N, Passariello R. Caroli's disease evaluation with MR cholangiopancreatography (MRCP). Abdom Imaging 1996; 21:117-9. [PMID 8661756]
9. Luciani A, Kobeiter H, Zegai B, Anglade MC, Deux JF, Malhaire C, Rahmouni A. Imaging in congenital fibrocystic disease of the liver. Gastroenterol Clin Biol 2005; 29:870-4. [PMID 16294160]
10. Glockner JF. Hepatobiliary MRI: Current concepts and controversies. J Magn Reson Imaging 2007; 25:681-95. [PMID 17352396]
11. Kirchin MA, Pirovano GP, Spinazzi A. Gadobenate dimeglumine (Gd-BOPTA): an overview. Invest Radiol 1998; 33:798-809. [PMID 9818314]
12. Lim JS, Kim MJ, Jung YY, Kim KW. Gadobenate dimeglumine as an intrabiliary contrast agent: comparison with mangafodipir trisodium with respect to non-dilated biliary tree depiction. Korean J Radiol 2005; 6:229-34. [PMID 16374080]