CASE REPORT
JOP. J Pancreas (Online) 2010 Sep 6; 11(5):464-466.
Pancreatic Heterotopia in the Gallbladder Associated with Chronic Cholecystitis: A Rare Combination
Mubarak Al-Shraim1, Mohammad Ezzedien Rabie2, Howaida Elhakeem3, Ahmad Kandeel4, Mian Tahir Shah2, Salim Jamil3
1Department of Pathology, College of Medicine, King Khalid University. Abha, Saudi Arabia. Departments of 2Surgery, 3Pathology and 4Radiology, Armed Forces Hospital, Southern Region. Khamis Mushayt, Saudi Arabia
ABSTRACT
Context Pancreatic heterotopia is a rare pathologic entity, previously reported in the stomach, duodenum and jejunum. It is mostly asymptomatic and rarely gives rise to complications. Localization of pancreatic heterotopia in the gallbladder is extremely rare and can be associated with cholecystitis or cholecystolithiasis. Case report We herein describe a case of a 39-year-old man who presented with biliary type pain with ultrasonographic evidence of a gallbladder polyp. Laparoscopic cholecystectomy was performed with uneventful recovery. Pathologic examination of the gallbladder detected a heterotopic focus of pancreatic tissue in its wall, associated with chronic cholecystitis with no gallstones. Conclusion Pancreatic heterotopia of the gallbladder is a very rare entity with unknown clinical significance. Awareness of this condition may facilitate its recognition which may shed more light on its clinical significance.
INTRODUCTION
Pancreatic heterotopia is a rare anomaly characterized by aberrantly located pancreatic tissue not having continuity with the pancreas. The usual sites involved include the gastric antrum, duodenum, jejunum, Meckel’s diverticulum, colon and ampulla of Vater [1] while the rarest is the gallbladder.
CASE REPORT
A 39-year-old man presented with repeated attacks of right hypochondriac pain referred to the back and right shoulder, especially after fatty meals. His past history was unremarkable.
On examination, the patient looked well. His pulse rate was 68 min-1, temperature 36.5°C, respiratory rate 20 min-1 and blood pressure 119/63 mmHg. The chest and heart were clinically normal and the abdomen was soft with no tenderness or organomegaly.
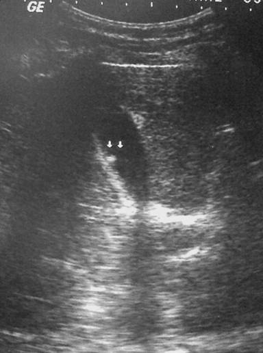
Blood examination, including liver and renal function, was within normal range. Abdominal ultrasound scan showed a small well-defined non-mobile echogenic structure attached to the wall of the gallbladder with no posterior shadowing. The features were suggestive of a gallbladder polyp (Figure 1), but no gallstones were detected.

|
Figure 1. An echogenic non-mobile structure attached to the gallbladder wall (small arrows) with no posterior shadowing. Features suggestive of a polyp. |
|
|
The presence of recurrent attacks of biliary-type pain and ultrasonic findings prompted a laparoscopic cholecystectomy. Intraoperatively, the gallbladder was covered with omental adhesions along the entire peritoneal surface. The gallbladder was removed after careful dissection of the adhesions.
Postoperatively, the patient convalesced well and was discharged for follow-up in the outpatient clinic.
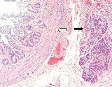
On gross examination, the gallbladder measured 6x3x2 cm and wall thickness varied from 0.3 to 0.5 cm. No gallstones were seen in the lumen. On microscopic examination, a prominent mucosal fold was identified, but no distinct polyp was found. There was mixed chronic inflammation in the lamina propria, submucosa and muscular wall, associated with mild fibrosis and muscular hypertrophy. A microscopic focus of pancreatic acinar and ductular tissue was identified on the serosal aspect of the gallbladder wall (Figure 2).

|
Figure 2. Photomicrograph showing features of chronic cholecystitis (white arrow) and pancreatic heterotopic tissue (black arrow) (original magnification x40; H&E stain). |
|
|
DISCUSSION
Pancreatic heterotopia of the gallbladder is an extremely rare entity which can be detected by careful histopathological examination of cholecystectomy specimens. The majority of cases are reported in the stomach (25-60%) and duodenum (25-35%). Other anatomical regions include the esophagus, terminal ileum, colon, Meckel’s diverticulum, omentum, mesentery, spleen, liver, papilla of Vater, urinary bladder, lung and lymph nodes [1, 2]. Pancreatic heterotopia is discovered incidentally in 2% of autopsies. As stated by Poppi, the first reported case of pancreatic heterotopia localized in the gallbladder was published by Otschkin in 1916 [1, 3, 4, 5, 6, 7]. Until now, only 28 papers presenting cases of pancreatic heterotopia of the gallbladder have been reported in the medical literature published in English, as shown by the database of medical search engines: PubMed (http://www.ncbi.nlm.nih.gov/pubmed/) and OVID (http://www.ovid.com/site/index.jsp) [1, 4, 5, 6, 7, 8, 9, 10, 11, 12, 13, 14, 15, 16, 17, 18, 19, 20, 21, 22, 23, 24, 25, 26, 27, 28, 29, 30].
The etiology of ectopic pancreatic tissue is not yet clear, but it is believed to result from early separation of the pancreas during rotation of the gastrointestinal tract in the embryonic period [31]. The size of these lesions can vary from a microscopic focus to several centimeters [1, 32]. Histologically, it can be complete heterotopia, composed of acini, duct and islets of Langerhans, or incomplete heterotopia if it lacks the islets of Langerhans.
Pancreatic heterotopia can affect all ages, and men are usually affected three times more than women [1]. The majority of cases are asymptomatic; but it can be associated with obstruction of the bile duct, cholelithiasis, acute or chronic pancreatitis, hyperinsulinism, intussusception and gastrointestinal hemorrhage. In addition, heterotopic pancreatic tissue is prone to different pathologic changes, such as cyst or abscess formation, acute pancreatitis and calcification. Most cases of pancreatic heterotopia have biologically benign behavior; however, only a few reports have described malignant degeneration [33, 34]. Moreover, islet cell tumors, cystic tumors and pancreatic intraepithelial neoplasia, a precursor of pancreatic ductal carcinoma, can arise from heterotopic pancreatic tissue [24]. Therefore, incidentally discovered pancreatic heterotopia should be completely excised to avoid such adverse events.
In our case, the finding of heterotopic pancreatic tissue was revealed only after microscopic examination of the gallbladder. The discovery of omental adhesions during surgery indicated the occurrence of acute inflammatory episodes in the past. In the absence of gallstones, the initiating factor might have been the heterotopic pancreatic tissue. It has previously been reported that heterotopic pancreatic tissue may impede free drainage of bile from the gallbladder by encroaching on the cystic duct lumen [5, 19]. This was not observed in our case and the relationship between the cholecystitis and the heterotopic pancreatic tissue is unclear.
The differential diagnosis of aberrant pancreatic heterotopia includes adenomyoma, leiomyoma and lymphoma. Unfortunately, imaging studies including ultrasound and computed tomography are usually nonspecific and the number of reported cases is not enough to characterize the features of this rare entity endoscopically or radiologically.
Microscopically, this tumor-like lesion can be misinterpreted as a neuroendocrine tumor; however, an accurate diagnosis can be reached by pathologists who are aware of this condition. In the case presented, the pancreatic tissue showed no islets of Langerhans; it was therefore subtyped as incomplete pancreatic heterotopia. For pancreatic heterotopia of the gallbladder, cholecystectomy is curative. In our case, the patient was symptom-free post-cholecystectomy and remains so on follow-up. We believe this is the second report of pancreatic heterotopia of the gallbladder from Saudi Arabia [20].
CONCLUSION
Pancreatic heterotopia of the gallbladder is a very rare entity and its clinical significance is still undetermined. It is usually detected as an incidental microscopic finding in a gallbladder specimen removed by cholecystectomy. Awareness of this under-reported condition may facilitate its recognition when encountered and this, in turn, may shed more light on its clinical significance.
Note regarding the first reported case of pancreatic heterotopia localized in the gallbladder It should be pointed out that, in 1935, Poppi [3; Full-text] presented an accurate review of the first 300 cases of aberrant pancreas published until that time, showing that the first case of pancreatic heterotopia localized in the gallbladder was presented by Otschkin at the Meeting of the Scientific Society of Russian Surgeons in Moscow (December 20, 1915) and this case was subsequently published in 1916 [35; Full-text]. (This note was added on September 17th, 2010)
Received June 7th, 2010 - Accepted June 29th, 2010
Key words Choristoma; Gallbladder; Pancreas
Conflict of interest The authors have no potential conflict of interest
Acknowledgement The Authors are grateful to Antonella Fioravanti (JOP Editorial Assistant) for her contribution to the bibliographic search as well as to Dr. Viacheslav I Egorov (The Vishnevsky Institute of Surgery; Moscow, Russia) and Dr. Raffaele Pezzilli (Sant’Orsola-Malpighi Hospital; Bologna, Italy) for having provided and checked the full text of the papers of Otschkin [35; Full-text] and Poppi [3; Full-text], respectively. (This note was added on September 17th, 2010)
Correspondence
Mohammad
Ezzedien Rabie
Department of Surgery
Armed Forces Hospital, Southern Region
P.O. Box 101
Khamis Mushayt
Saudi Arabia
Mobile phone: +966-50775.3692
Fax: +966-7251.1949
E-mail: ezzedien@hotmail.com
References
1. Neupert G, Appel P, Braun S, Tonus C. Heterotopic pancreas in the gallbladder. Diagnosis, therapy, and course of a rare developmental anomaly of the pancreas. Chirurg 2007; 78:261-4. [PMID 16775679]
2. Huang YC, Chen HM, Jan YY, Huang TL, Chen MF. Ectopic pancreas with gastric outlet obstruction: report of two cases and literature review. Chang Gung Med J 2002; 25:485-90. [PMID 12350037]
3. Poppi A. Sui pancreas aberranti. Archivio Italiano delle Malattie dell'Apparato Digerente 1935; 4(6):534-579. [Full-text]
4. Kondi-Paphiti A, Antoniou AG, Kotsis T, Polimeneas G. Aberrant pancreas in the gallbladder wall. Eur Radiol 1997; 7:1064-6. [PMID 9265676]
5. Elpek GO, Bozova S, Küpesiz GY, Oğüş M. An unusual cause of cholecystitis: Heterotopic pancreatic tissue in the gallbladder. World J Gastroenterol 2007; 13: 313-5. [PMID 17226916]
6. Mboti F, Maassarani F, De Keuleneer R. Cholecystitis associated with heterotopic pancreas. Acta Chir Belg 2003; 103:110-2. [PMID 12658890]
7. Mrak K, Eberl T, Tschmelitsch J, Langner C. Heterotopic pancreatic tissue in the cystic duct: complicating factor or coexisting pathology. South Med J 2010; 103:471-3. [PMID 20375939]
8. Weppner JL, Wilson MR, Ricca R, Lucha PA Jr. Heterotopic pancreatic tissue obstructing the gallbladder neck: a case report. JOP. J Pancreas (Online) 2009; 10:532-4. [PMID 19734631]
9. Pilloni L, Cois A, Uccheddu A, Ambu R, Coni P, Faa G. Complete pancreatic heterotopia of gallbladder with hypertrophic duct simulating an adenomyoma. World J Gastroenterol 2006; 12:1786-7. [PMID 16586554]
10. Qizilbash AH. Acute pancreatitis occurring in heterotopic pancreatic tissue in the gallbladder. Can J Surg 1976; 19:413-4. [PMID 974927]
11. Jarde O, Barrat JP, Degardin P, Maingueux P, Tardif B. Aberrant pancreas in the gallbladder. J Chir (Paris) 1989; 126:476-7. [PMID 2808566]
12. Herzog A. Heterotopic pancreas tissue in the gallbladder wall. Zentralbl Chir 1985; 110(17):1071-4. [PMID 4060909]
13. el Mezni F, Jebali A, Najeh N, Ben Jilani S. Pancreatic heterotopia in the gallbladder. Report of a case. Ann Pathol 1993; 13:271-2. [PMID 8280305]
14. Inceoglu R, Dosluoglu HH, Kullu S, Ahiskali R, Doslu FA. An unusual cause of hydropic gallbladder and biliary colic-heterotopic pancreatic tissue in the cystic duct: report of a case and review of the literature. Surg Today 1993; 23:532-4. [PMID 8358197]
15. Kodama T, Yokoyama T. Heterotopic tissues in the gallbladder, heterotopic gastric mucosa, heterotopic intestinal epithelium, heterotopic pancreatic tissue and ectopic liver in the gallbladder. Ryoikibetsu Shokogun Shirizu 1996;:360-2. [PMID 8705503]
16. Jan GM, Shah P. Pancreatic heterotopia in gall bladder. Indian J Pathol Microbiol 1995; 38:203-4. [PMID 8919111]
17. Hadzi-Nikolov D, Resl M, Herzig B, Svĕtlík M. Heterotopic pancreatic tissue in the wall of the gallbladder. Cesk Patol 1997; 33:146-8. [PMID 9501654]
18. Murakami M, Tsutsumi Y. Aberrant pancreatic tissue accompanied by heterotopic gastric mucosa in the gall-bladder. Pathol Int 1999; 49(6):580-2. [PMID 10469405]
19. Bhana BD, Chetty R. Heterotopic pancreas: an unusual cause of cholecystitis. S Afr J Surg 1999; 37:105-7. [PMID 10701341]
20. Meshikhes AW, Al-Jaroof AH, Atassi R. Hetrotopic pancreas of the gall bladder. Saudi Med J 2003; 24:907-8. [PMID 12939684]
21. Elfving G. Heterotopic pancreatic tissue in the gall bladder wall: report of a case. Acta Chir Scand 1959; 118:32-6. [PMID 13819898]
22. Jaervi O, Meurman L. Heterotopic gastric mucosa and pancreas in the gall-bladder with reference to the question of heterotopias in general. Ann Acad Sci Fenn A 1964; 106(Suppl 22):1-42. [PMID 14188064]
23. Collard P, Mazy V, Jardon-Jeghers C, Focan C. Local tumefaction of the gallbladder wall due to pancreatic heterotopia. J Belge Radiol 1989; 72:471-3. [PMID 2695519]
24. Shiwani MH, Gosling J. Heterotopic pancreas of the gallbladder associated with chronic cholecystitis. JOP. J Pancreas (Online) 2008; 9:30-2. [PMID 18182740]
25. Ben-Baruch D, Sandbank Y, Wolloch Y. Heterotopic pancreatic tissue in the gallbladder. Acta Chir Scand 1986; 152:557-8. [PMID 3788403]
26. Bahadir B, Ozdamar SO, Gun BD, Bektas S, Numanoglu KV, Kuzey GM. Ectopic pancreas associated with choledochal cyst and multiseptate gallbladder. Pediatr Dev Pathol 2006; 9:312-5. [PMID 16944990]
27. Beltrán MA, Barría C. Heterotopic pancreas in the gallbladder: the importance of an uncommon condition. Pancreas 2007; 34:488-91. [PMID 17446856]
28. Heer C, Pförtner M, Hamberger U, Raute-Kreinsen U, Hanraths M, Bartsch DK. Heterotopic pancreatic tissue in the bifurcation of the bile duct: rare diagnosis mimicking a Klatskin tumour. Chirurg 2010; 81:151-4. [PMID 19234682]
29. Beltrán MA, Barría C, Naquira C, Almonacid J, Cruces KS. Pancreatic choristoma in the gallbladder: report of two cases. Rev Med Chil 2007; 135:1318-22. [PMID 18180840]
30. Martinez LO, Gregg M. Aberrant pancreas in the gallbladder. J Can Assoc Radiol 1973; 24:234-5. [PMID 4752074]
31. Skandalakis JE, Gray SW. Embryology for Surgeons: The Embryological Basis for the Treatment of Congenital Anomalies. 2nd ed. Williams Wilkins; 2009, 366-87. [ISBN 978-0683077568]
32. Hlavaty T, Lukac L, Vyskocil M, Galbavy S. Heterotopic pancreas in gastric antrum with macroscopic appearance of gastric polyp. Bratisl Lek Listy 2002; 103:117-20. [PMID 12190044]
33. Halkic N, Nordback P. Soft-tissue images. Malignant degeneration of heterotopic pancreas. Can J Surg 2001; 44:407. [PMID 11764870]
34. Jeng KS, Yang KC, Kuo SH. Malignant degeneration of heterotopic pancreas. Gastrointest Endosc 1991; 37:196-8. [PMID 2032610]
35. Otschkin AD. Meeting of the Scientific Society of Russian Surgeons. Moscow, December 20, 1915. Wratschebnaya Gazeta 1916; 23(7):113-4. [Full-text]