CASE REPORT
JOP. J Pancreas (Online) 2010 Sep 6; 11(5):470-473.
Gastric Duplication Cyst with Macroscopic Serosal Heterotopic Pancreas
Anindita Sinha1, Sundeep S Saluja2, Shivanand Gamanagatti1
Departments of 1Radiodiagnosis and 2Gastrointestinal Surgery, All India Institute of Medical Sciences. New Delhi, India
ABSTRACT
Context Gastric duplication cysts are often associated with microscopic evidence of ectopic pancreatic tissue on their submucosal surface and, less commonly, on the subserosal surface. Case report We present an unusual case of a gastric duplication cyst with finger-like projections and a large heterotopic pancreas on the serosal surface of the cyst in a 30-year-old female. Conclusion We point out the unusual imaging findings which helped in the preoperative diagnosis.
INTRODUCTION
Gastric duplication cysts are often associated with ectopic pancreatic tissue [1]. When present, symptoms can be due to the cyst itself or to the ectopic tissue. A preoperative diagnosis of pancreatic ectopia is rare as it is most often microscopic.
Macroscopic pancreatic ectopia, commonly present in the submucosa, is often small and may not be reliably distinguished from a submucosal gastric tumor on cross-sectional imaging [2]. When present along with a duplication cyst, it may mimic a pancreatic pseudocyst or cystic malignancy. Endoscopic ultrasound is useful in cases of submucosal lesions [3]. Specific atypical imaging features such as finger-like projections in the cyst and soft tissue with similar attenuation or enhancement, such as that of the pancreas, may help in predicting the correct nature of the lesion on CT and MRI.
CASE REPORT
A 30-year-old woman presented with recurrent episodes of dull aching non-radiating abdominal pain of a 6 month duration which was localized in the epigastric region and was non colicky in nature with no relation to meals. It was associated with occasional non-bilious vomiting. There was no history of jaundice, gastrointestinal bleeding, melena, weight loss or altered bowel habits. There was no history of diabetes mellitus, tuberculosis, hypertension or cardiac disease. On examination, she was anicteric, had no pallor and no palpable lumps or tenderness. At admission, her hemoglobin was 11.9 g/dL (reference range: 12.0-14.0 g/dL), total leukocyte count 6,700 mm-3 (reference range: 4,000-9,000 mm-3), serum total bilirubin 0.6 mg/dL (reference range: 0.3-1.3 mg/dL), aspartate transaminase 18 IU/L (reference range: 7-41 IU/L), alanine transaminase 16 IU/L (reference range: 12-38 IU/L), alkaline phosphatase 201 IU/L (reference range: 80-290 IU/L), and serum amylase 112 IU/L (reference range: 22-80 IU/L). A contrast-enhanced CT scan showed a cystic lesion with finger-like projections abutting the pylorus and the antrum of the stomach with an adjacent stippled fat density lesion (Figures 1 and 2). Ultrasound of the abdomen showed an anechoic cystic structure with an inner hyperechoic layer and an outer hypoechoic layer which was contiguous with the muscle layer of the stomach (Figure 3), confirming the diagnosis of a duplication cyst.

|
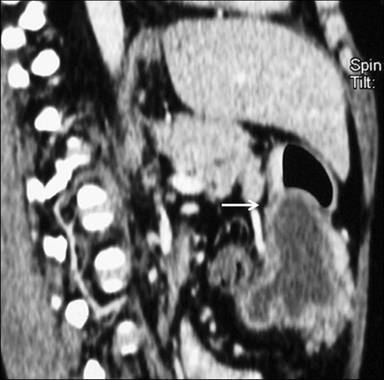
Figure 1. Contrast-enhanced CT (sagittal multiplanar reconstruction) of the abdomen shows a hypodense cystic lesion indenting the stomach wall (arrow). Finger-like projections are seen along the inferior aspect of the cyst. |
|
|

|
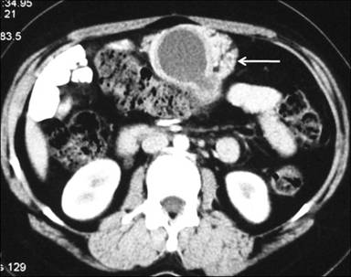
Figure 2. Contrast-enhanced CT (axial sections) of the abdomen showing a well-defined cystic lesion surrounded, on its anterior and lateral walls, by an enhancing soft tissue mass with stippled fat density areas within (arrow), similar to pancreatic tissue. The cyst wall has a two layered appearance, with an inner thin hypodense layer and an outer enhancing layer. |
|
|

|
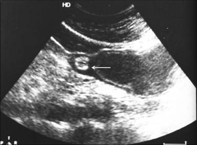
Figure 3. A two-layered pattern of the wall of the duplication cyst is visible on ultrasound of the abdomen. The inner layer (mucosa) is hyperechoic and the outer layer (muscular layer) is hypoechoic. The hypoechoic muscular layer of the cyst is continuous with the muscular layer of the antral portion of the stomach (arrow). |
|
|
Magnetic resonance imaging of the abdomen showed a hypointense lesion with surrounding soft tissue of intensity similar to that of the pancreas abutting the lesion (Figure 4). A 99mTechnetium pertechnetate scan did not show any ectopic gastric mucosa. Upper gastrointestinal endoscopy showed a normal esophagus, an extrinsic bulge over the antrum with overlying normal mucosa and a normal duodenum. At laparotomy, there was a cystic lesion along the greater curvature of the stomach adherent to the antrum with overlying pancreatic tissue. The entire pancreas was seen in its normal location. The cyst was excised along with a sleeve resection of the stomach. The cyst wall had a normal mucosal lining with no communication to the stomach. Histology confirmed a duplication cyst with pancreatic tissue on the serosal surface of the cyst.

|
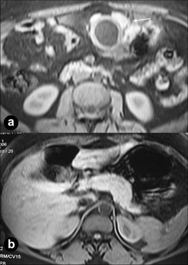
Figure 4. Axial fat-saturated T- weighted MR image (time of repetition/time of echo/flip angle 206/4.8/70) shows a hypointense cystic lesion with surrounding hyperintense soft tissue (a. arrow). The entire pancreas was in the normal location (b.). The signal intensity of the soft tissue is similar to that of the pancreas. |
|
|
DISCUSSION
A gastric duplication cyst is one of the uncommon congenital anomalies involving the gastrointestinal tract. Duplication cysts of the stomach are the rarest type accounting for 7% of intestinal duplications [4]. Morphologically, they are classified as cystic and tubular [1]. The majority of patients (70%) present in infancy or childhood [5]. A duplication cyst in the adult age group is often asymptomatic and is, for the most part, detected incidentally. Patients may present with pain, a palpable mass, partial or complete pyloric obstruction, recurrent infection, rupture of the cyst or gastrointestinal hemorrhage [1].
Bremer proposed a "diverticular theory" to explain the formation of duplication cysts. This theory suggests that an intestinal diverticulum gradually increases in size to form a cyst, but may remain attached to the intestinal lumen via a peduncle [6]. This would explain the imaging finding of a cyst with finger-like projections in our case. Camoglio et al. noted similar findings in a post-operative specimen in an infant and suggested that the blind finger-like appendage may have been the primitive communication between the lumen of the stomach and the cyst, which subsequently underwent involution [7].
Heterotopic tissue is present in 37% of gastric duplication cysts, most commonly pancreatic tissue [4]. Heterotopia or pancreatic rest is defined as the presence of pancreatic tissue in an abnormal location with no anatomic or vascular continuity with the tissue in its normal location [8]. The entire pancreas was seen in its normal location in our patient. There was no communication between the normal and the heterotopic pancreatic tissue. The vascular and ductal systems of the pancreas in their normal locations were also separate from the heterotopic tissue.
Heterotopic pancreatic tissue is most commonly seen in the stomach and duodenum. Other locations which have been reported are the esophagus, mediastinum, lung, gall bladder, extrahepatic bile duct, omentum, liver, spleen, jejunum, ileum, Meckel’s diverticulum, lymph nodes and fallopian tubes [1, 9, 10].
A preoperative diagnosis of heterotopic pancreas by imaging, or even at surgery, is rare as the lesion is generally microscopic in size; therefore, it is generally diagnosed histologically [9].
Heterotopic tissue is most commonly present in the submucosa of a duplication cyst. Heterotopia can also occur in the serosa where they may present as nodules [11]. However, such a large serosal heterotopic pancreas as in the present case is extremely rare.
Even when present on a macroscopic scale, reports of preoperative diagnosis are extremely rare as the lesion is uncommon and is either mistaken for a mitotic growth [12] or a cystic lesion, based on imaging appearance [13].
The imaging appearance of a heterotopic pancreas varies according to the size and the presence or absence of a ductal system. Heterotopic pancreatic tissue in the stomach has a central umbilication on double contrast studies or endoscopic sonography representing the ductal system [13]. Heterotopic pancreas per se can present as a cystic mass, probably due to cystic dystrophy [13, 14].
In our case, the heterotopic tissue had an imaging appearance similar to a normal pancreas on CT scan and had a signal intensity similar to the normal pancreas on MRI. The heterotopic tissue was not discernible on abdominal or endoscopic sonography.
Diagnostic confusion between a pancreatic pseudocyst and cystic degeneration of a gastric tumor may arise. The absence of inflammation of the pancreas or a solid-cystic component and the presence of finger-like projections and sonographic features of a layered pattern should help in a correct diagnosis. CT and MRI may also show a layered pattern as in our case, where the cyst wall had a clear inner hypodense layer and an outer enhancing layer (Figures 2 and 4). Ultrasound can reliably diagnose a duplication cyst when the typical alternating hyperechoic and hypoechoic bowel signal pattern is seen [1]. The presence of ectopic pancreatic rests is less reliably diagnosed on transabdominal ultrasound. Endoscopic ultrasound is a more sensitive modality for detecting and characterizing small submucosal pancreatic rests [3]. However, exophytic serosal pancreatic rests may be detected only by CT and MRI.
CONCLUSION
This case represents a collection of rare and unusual anomalies in an unusual age group. Although ultrasound is the modality of choice in confirming a duplication cyst with an inner hyperechoic mucosal layer and an outer hypoechoic muscle layer, the presence of finger-like tubular projections in a cystic structure on CT or MRI should alert the radiologist to the likelihood of the structure being a duplication cyst. The presence of macroscopic pancreatic heterotopia in a duplication cyst is extremely rare. Soft tissue arising exophytically from a cystic lesion in the stomach should be carefully evaluated and compared with normal pancreatic tissue on cross-sectional imaging, such as CT or MRI, to avoid being misdiagnosed as a neoplasm.
Received July 3rd, 2010 - Accepted July 20th, 2010
Keywords Abdomen; Congenital Abnormalities; Gastrointestinal Tract; Magnetic Resonance Imaging; Pancreas; Stomach; Tomography, X-Ray Computed; Ultrasonography
Conflict of interest The authors have no potential conflict of interest
Correspondence
Anindita
Sinha
Department of Radiology
NEIGRIHMS
Mawdiangdiang
Shillong-793018, Meghalaya
India
Phone: +91-943.670.0986
Fax: +91-364.253.8080
E-mail: dranindita@gmail.com
References
1. Levine MS. Benign tumors of the stomach and duodenum. In: Gore RM, Levine MS, eds. Textbook of Gastrointestinal Radiology. Philadelphia, PA: Saunders Co.; 2000: 575 -600.
2. Cho JS, Shin KS, Kwon ST, Kim JW, Song CJ, Noh SM, et al. Heterotopic pancreas in the stomach: CT findings. Radiology 2000; 217:139-44. [PMID 11012436]
3. Rubbia-Brandt L, Huber O, Hadengue A, Frossard JL. An unusual case of gastric heterotopic pancreas. JOP. J Pancreas (Online) 2004; 5:484-7. [PMID 15536286]
4. Macpherson RI. Gastrointestinal tract duplications: clinical, pathologic, etiologic, and radiologic considerations. Radiographics 1993; 13:1063-80. [PMID 8210590]
5. Wieczorek RL, Seidman I, Ranson JH, Ruoff M. Congenital duplication of the stomach: case report and review of the English literature. Am J Gastroenterol 1984; 79:597-602. [PMID 6465107]
6. Bremer JL. Diverticula and duplications of the intestinal tract. Arch Pathol 1944; 38:132-40.
7. Camoglio FS, Forestieri C, Zanatta C, Capelli P, Pecori S, Marcolongo A, M, et al. Complete pancreatic ectopia in a gastric duplication cyst: a case report and review of the literature. Eur J Pediatr Surg 2004; 14:60-2. [PMID 15024682]
8. Ayantunde AA, Pinder E, Heath DI. Symptomatic pyloric pancreatic heterotopia: report of three cases and review of the literature. Med Sci Monit 2006; 12:CS49-52. [PMID 16733487]
9. Pang LC. Pancreatic heterotopia: a reappraisal and clinicopathologic analysis of 32 cases. South Med J 1988; 81:1264-75. [PMID 3051429]
10. de Krijger RR, Albers MJ, Bogers AJ, Mooi WJ. Heterotopic pancreatic tissue presenting as a solid and cystic lung lesion: a very unusual bronchopulmonary foregut malformation. Pediatr Dev Pathol 2004; 7:204-9. [PMID 15179963]
11. Barbosa JC, Dockerty M, Waugh JM. Pancreatic heterotopia. Review of the literature and report of 41 authenticated surgical cases of which 25 were clinically significant. Surg Gynecol Obstet 1946; 82:527-42.
12. Wall I, Shah T, Tangorra M, Li JJ, Tenner S. Giant heterotopic pancreas presenting with massive upper gastrointestinal bleeding. Dig Dis Sci 2007; 52:956-9. [PMID 17342389]
13. Yen HH, Soon MS, Soon A. Heterotopic pancreas presenting as gastric submucosal cyst on endoscopic sonography. J Clin Ultrasound 2006; 34:203-6. [PMID 16615055]
14. Lopez-Pelaez MS, Hoyos FB, Isidro MG, Unzurrunzaga EA, Lopez Ede V, Collazo YQ. Cystic dystrophy of heterotopic pancreas in stomach: radiologic and pathologic correlation. Abdom Imaging 2008; 33:391-4. [PMID 17632748]