CASE REPORT
JOP. J Pancreas (Online) 2010 Sep 6; 11(5):474-476.
Symbiotic Bacteria Induced Necrotizing Pancreatitis
Rajanshu Verma1, Radhika Dhamija2, Stephen C Ross1, Donald H Batts1, Mark E Loehrke1
1Department of Internal Medicine, Michigan State University/KCMS. Kalamazoo, MI, USA. 2Department of Neurology, Mayo Clinic. Rochester, MN, USA
ABSTRACT
Context Intestinal flora and anaerobes are frequently implicated in causing infectious necrotizing pancreatitis however Bifidobacterium and Veillonella have rarely been isolated as the causative agents. Bifidobacterium and Veillonella are commensal anaerobes which reside in gastrointestinal tract and help deconjugate bile acids. Bifidobacterium is also frequently used in probiotics. Case report We present a 68-year-old man who initially presented with gallstone pancreatitis but eventually developed Bifidobacterium and Veillonella species induced necrotizing pancreatitis and pseudocyst formation. Conclusion Under rare circumstances commensal gut flora can turn pathogenic which can lead to life-threatening morbidity and may even result in mortality.
INTRODUCTION
Reports of pancreatitis caused by commensal bacteria are uncommon [1, 2]. Veillonella and Bifidobacterium are anaerobic commensal organisms which reside in human intestines and oral mucosa. Bifidobacterium is also marketed as a probiotic. We report a rare case of necrotizing pancreatitis caused by these commensal bacteria in a man.
CASE REPORT
A 68-year-old Caucasian man presented with complaints of epigastric abdominal pain and distention, poor oral intake and oliguria for past several days. He had an episode of gallstone pancreatitis two months ago which was complicated with pancreatic pseudocyst formation. Elective cholecystectomy was planned but not performed at that time due to patient’s unstable medical condition. Past medical history was significant for hypertension, atrial fibrillation, gout, chronic kidney disease stage 3 and dyslipidemia. He denied any history of drinking alcohol or smoking. Prescription medications included warfarin, amlodipine, atenolol and pancrelipase (pancreatic enzymes). On physical exam he appeared weak, tachycardic and pale without any scleral icterus. Lungs showed decreased breath sounds on left side. Heart sounds were irregular. Abdomen was distended and mildly tender in epigastric and right upper quadrant. Extremities showed 1+ pedal edema. Neurologic exam was non-focal and unremarkable.
Labs and chemistries: sodium 125 mEq/L (reference range: 135-145 mEq/L), potassium 4.8 mEq/L (reference range: 3.5-5.3 mEq/L), chloride 86 mEq/L (reference range: 98-108 mEq/L), bicarbonate 18 mEq/L (reference range: 23-32 mEq/L), urea nitrogen 130 mg/dL (reference range: 6-23 mg/dL), creatinine 4.7 mg/dL (reference range: 0.7-1.3 mg/dL). Anion gap was 21 and white cell count was elevated (20,000 mm-3; reference range: 4,000-11,000 mm-3), as well as ALT (77 U/L; reference range: 6-37 U/L), alkaline phosphatase (228 U/L; reference range: 39-190 U/L), and lipase (136 U/L; reference range: 16-63 U/L). Lactic acid, triglycerides, cardiac enzymes and other electrolytes were normal. Prothrombin time 60 sec (reference range: 9.9-12.0 sec) and INR was 6.6. Blood and urine cultures were negative.
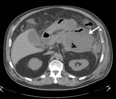
A CT abdomen and pelvis was obtained which showed inflammation about the pancreas and a very prominent 9.0x9.3 cm pseudocyst with air-fluid levels in the tail of pancreas (Figure 1). A smaller air-filled fluid collection was seen in head of pancreas too. In addition, moderate left sided pleural effusion was also present. A diagnosis of infected necrotizing pancreatitis with fluid collection was made. Empiric coverage with piperacillin-tazobactam was started. Warfarin coagulopathy was reversed with fresh frozen plasma. Hemodialysis and total parenteral nutrition was then initiated. CT guided drainage of pancreatic pseudocyst drained 330 mL of purulent cloudy fluid which was sent for analysis. Gram stain of pseudocyst revealed beaded gram positive rods. Acid fast bacillus and fungal cultures were negative. Antibiotics were now changed to penicillin and trimethoprim/sulfamethoxazole for presumptive actinomyces and/or nocardia infection. Anaerobic culture of previously drained pancreatic fluid using pre-reduced brucella blood plate, brain-heart infusion and chopped meat broth grew Veillonella and Bifidobacterium species after four weeks. Due to technical limitations, referral laboratory could not subspeciate or perform antibiotic susceptibilities on these anaerobic organisms. A diagnosis of commensal bacteria induced necrotizing pancreatitis with fluid collection was made. Patient underwent elective open cholecystectomy, pancreatic bed debridement and feeding jejunostomy tube placement before being discharged to a rehabilitation facility. Surgery revealed black necrotic foul-smelling body and tail of pancreas with 4 liters of ascitic fluid. In addition, thick white purulent necrotic debris was seen along right hepatic flexure. Patient had an uneventful course (4 weeks) at the rehabilitation facility with serial abdominal CT scans showing resolution of peripancreatic fluid collection and inflammation. He was seen two weeks after discharge from rehabilitation facility at infectious diseases clinic with resolution of his symptoms and back to his usual state of health. Total duration of antibiotic therapy was 12 weeks from the time of admission to hospital.

|
Figure 1. CT abdomen showing necrotizing pancreatitis with air-fluid levels (arrow). |
|
|
DISCUSSION
Pseudocysts occur as a complication in 10% of patients with pancreatitis. Though largely asymptomatic, they can cause abdominal pain, abscess or pseudoaneurysm formation, ascites and pleural effusion. Necrotizing pancreatitis which has high mortality associated with it develops in 20% of patients [3]. It is often accompanied by fluid collection with necrotic debris in and around the pancreas. Probiotics are widely used as adjuncts for treatment of diarrhea, inflammatory bowel disease, irritable bowel, atopic dermatitis, eczema and Helicobacter pylori eradication; however, there is scant literature on pathologic states caused by them [4].
Bifidobacterium is a gram positive filamentous anaerobic bacillus marketed as a probiotic in yogurts and colon cleansers in United States. It forms a part of normal flora of mouth, gastrointestinal tract and vagina and helps deconjugate bile acids. Bifidobacterium has previously been implicated in causing abscesses, peritonitis, septicemia and aspiration pneumonia [4, 5, 6, 7]. A recent randomized controlled trial done to assess efficacy of probiotics (containing Bifidobacterium) in preventing infectious complications of acute pancreatitis showed increased mortality in the probiotic treatment group [8]. In another retrospective study done on microbiology of pancreatic abscesses, Bifidobacterium was responsible for causing 2.5% of anaerobic pancreatic abscesses [2].
Veillonella is a gram negative anaerobic coccus which forms up to 15% of human tongue flora. It is also found in mouth, colon and vagina. Veillonella helps in dehydroxylation of bile acids. It too has been implicated in causing abscesses, bacteremia, ventilator associated pneumonia and endocarditis [9, 10, 11]. The same retrospective study reported above found 7.4% of anaerobic pancreatic abscesses due to Veillonella species [2].
Necrotic pancreatic bed acts as a safe haven for bacteria as it is an inaccessible zone for antibiotics. As a result, prolonged treatment with antibiotics may be required. Tissue necrosis and poor blood supply lowers oxidation-reduction potential and favors anaerobic growth. Anaerobic infections are frequently polymicrobial and include a combination of anaerobic, facultative anaerobic or microaerophilic bacteria. However, it is difficult to obtain and grow anaerobic cultures. Antibiotic prophylaxis in necrotizing pancreatitis though recommended is still considered controversial [12]. Symptomatic necrotic pancreatic fluid collections in the setting of infectious pancreatitis should be percutaneously, endoscopically or surgically drained to prevent morbidity and mortality [13]. Symbiotic bacteria used in probiotics (e.g. Bifidobacterium) may turn pathogenic in patients with prolonged illness or weakened immune system. Our case adds to the pool of evidence that caution should be exercised while using probiotics in immunocompromized individuals or in patients with severe sepsis as under rare circumstances symbiotic bacteria can result in significant morbidity or mortality.
Received July 10th, 2010 - Accepted July 21st, 2010
Key words Bifidobacterium; Pancreatic Pseudocyst; Pancreatitis, Acute Necrotizing; Probiotics; Veillonella
Conflict of interest The authors have no potential conflict of interest
Correspondence
Rajanshu
Verma
Department of Internal Medicine
Michigan State University/KCMS
1000 Oakland Dr
Kalamazoo
Michigan 49048
USA
Phone: +1-269.337.6365
Fax: +1-269.337.6222
E-mail: rverma@kcms.msu.edu
References
1. Tabata M, Nakayama F. Bacteria and gallstones. Etiological significance. Dig Dis Sci 1981; 26:218-24. [PMID 7238247]
2. Brook I, Frazier EH. Microbiological analysis of pancreatic abscess. Clin Infect Dis 1996; 22:384-5. [PMID 8838210]
3. Banks PA, Freeman ML; Practice Parameters Committee of the American College of Gastroenterology. Practice guidelines in acute pancreatitis. Am J Gastroenterol 2006; 101:2379-400. [PMID 17032204]
4. Ohishi A, Takahashi S, Ito Y, Ohishi Y, Tsukamoto K, Nanba Y, et al. Bifidobacterium septicemia associated with postoperative probiotic therapy in a neonate with omphalocele. J Pediatr 2010; 156:679-81. [PMID 20303445]
5. Civen R, Väisänen ML, Finegold SM. Peritonsillar abscess, retropharyngeal abscess, mediastinitis, and nonclostridial anaerobic myonecrosis: a case report. Clin Infect Dis 1993; 16:S299-303. [PMID 8324135]
6. Cryan B, Azadian BS, Dunwoody GW, Richards PG. Epidural abscess due to Streptococcus milleri and Bifidobacterium species. J Infect 1991; 23:214-5. [PMID 1753128]
7. Green SL. Case report: fatal anaerobic pulmonary infection due to Bifidobacterium eriksonii. Postgrad Med 1978; 63:187-8. [PMID 628649]
8. Besselink MG, van Santvoort HC, Buskens E, Boermeester MA, van Goor H, Timmerman HM, et al. Probiotic prophylaxis in predicted severe acute pancreatitis: a randomised, double-blind, placebo-controlled trial. Lancet 2008; 371:651-9. [PMID 18279948]
9. Marik PE, Careau P. The role of anaerobes in patients with ventilator-associated pneumonia and aspiration pneumonia: a prospective study. Chest 1999; 115:178-83. [PMID 9925081]
10. Boo TW, Cryan B, O'Donnell A, Fahy G. Prosthetic valve endocarditis caused by Veillonella parvula. J Infect 2005; 50:81-3. [PMID 15603847]
11. Brook I. Microbiology of intracranial abscesses associated with sinusitis of odontogenic origin. Ann Otol Rhinol Laryngol 2006; 115:917-20. [PMID 17214267]
12. Villatoro E, Mulla M, Larvin M. Antibiotic therapy for prophylaxis against infection of pancreatic necrosis in acute pancreatitis. Cochrane Database Syst Rev 2010; 5:CD002941. [PMID 20464721]
13. van Santvoort HC, Besselink MG, Bakker OJ, Hofker HS, Boermeester MA, Dejong CH, et al. A step-up approach or open necrosectomy for necrotizing pancreatitis. N Engl J Med 2010; 362:1491-502. [PMID 20410514]