CASE REPORT
JOP. J Pancreas (Online) 2010 Sep 6; 11(5):477-479.
Pancreatic Actinomycosis as a Cause of Retroperitoneal Fibrosis in a Patient with Chronic Pancreatitis. Case Report and Literature Review
Samir John Sahay, Hector Daniel Gonzalez, Tu Vinh Luong, Sakhawat Hussain Rahman
Centre for HPB Surgery and Liver Transplantation, Royal Free Hospital. London, United Kingdom
ABSTRACT
Context Chronic alcoholic pancreatitis is a debilitating disease that is often complicated by pseudotumoral changes of the pancreas, retroperitoneal fibrosis, and pancreatic cancer. Actinomycosis is an uncommon intra-abdominal infection and its association with chronic pancreatitis has been rarely reported. Case report We present a case of a patient with progressive long standing chronic pancreatitis who develops pseudo-tumoural changes and retroperitoneal fibrosis associated with actinomycosis. Conclusion This is a rare presentation of actinomycosis, posing a diagnostic challenge to the clinician, with important therapeutic implications.
INTRODUCTION
Actinomycosis is an uncommon intra-abdominal infection and its association with chronic pancreatitis has been rarely reported. We present a case of a patient with progressive long standing chronic pancreatitis who develops pseudotumoral changes and retroperitoneal fibrosis associated with actinomycosis.
CASE REPORT
A 50-year-old male with a 14-year history of alcohol related chronic pancreatitis presented on several occasions with abdominal pain poorly responsive to opiate analgesics.
Salient past surgical history includes a cholecystectomy and cystogastrostomy shortly after the onset of his disease for suspected gallstone aetiology and a pseudocyst complicating an exacerbation of an attack of acute-on-chronic pancreatitis. Ten years later the patient underwent a lateral pancreaticojejunostomy for chronic calcific pancreatitis complicated by multiple pancreatic ductal calculi. At such point in time, the patient became an insulin dependant diabetic having previously managed with oral hypoglycemic agents. He was also regularly taking opiate based analgesia.
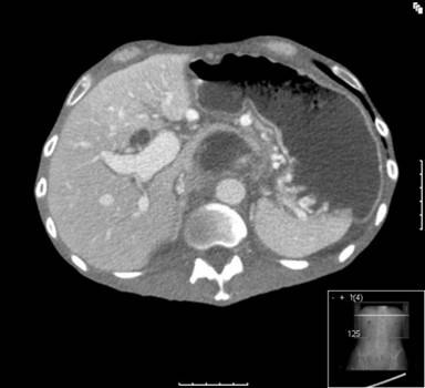
A contrast enhanced pancreatic protocol CT from November 2008 demonstrated ductal irregularities and pancreatic parenchymal calcification associated with a possible superior mesenteric vein thrombosis. He was readmitted in March 2009 for an exacerbation of abdominal pain and weight loss. He was treated with pancreatic rest, nutritional support, and analgesia. His serum biochemistry demonstrated an elevated CA 19-9 (1,000 IU/mL; reference range: 0-34 IU/mL) and CEA (17 µg/L; reference range: 0-4 µg/L) and an urgent abdominal CT scan demonstrated a 3.5x5.0 cm solid/cystic mass associated with the head of pancreas (Figure 1). The portal vein appeared severely attenuated at its origin for approximately 2 cm but remained patent. The findings were suggestive of malignant change in a background of chronic pancreatitis. His serum IgG4 levels were normal, and he subsequently underwent an EUS guided biopsy of the mass in the head of pancreas.

|
Figure 1. CT scan showing pseudotumoral cystic lesion in head of pancreas. |
|
|
Almost 48 hours post-biopsy he developed abdominal ascites and leucocytosis (white cell count 17,000 x109 L-1; reference range: 3.5-11.0 x109 L-1). Abdominal CT demonstrated large volumes of intra-peritoneal fluid and disappearance of a cyst in the head of pancreas. Although the initial concern was an iatrogenic rupture of a pancreatic cyst in the head of pancreas and pancreatic ascites, percutaneous drainage demonstrated normal amylase levels, leukocytosis, and high protein levels indicative of a chylous ascites.
He was initially commenced on total parenteral nutrition and somatostatin analogues and later converted to enterally administered feed based on medium chain triglycerides. The ascitic fluid had no evidence of malignancy on cytological analysis and culture was negative. Over the subsequent 72 hours, he developed bilateral leg and scrotal oedema. He had a normal 99Tc lymphatic drainage scan suggesting that the lower limb oedema was not caused by lymphatic obstruction.
A further CT scan suggested narrowing of the suprarenal inferior vena cava. Percutaneous transfemoral venography confirmed presence of a suprarenal infrahepatic stenosis of the inferior vena cava, with some drainage into retroperitoneal collateral veins. Venous pressure above the stenosis was 7 mmHg, and below was 19 mmHg (pressure difference: 12 mmHg). A 16x60 mm wall stent was inserted, across the stenosis. Following the procedure, there was a good venographic result, with post-procedure venous pressures above the stenosis of 10 mmHg and below of 12 mmHg (pressure difference: 2 mmHg).
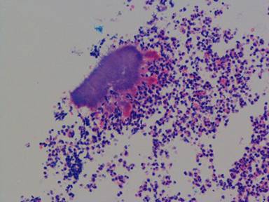
Histopathological analysis of the EUS guided biopsy demonstrated chronic fibrosis and the presence of actinomycosis (Figure 2). No organisms were isolated on culture. He responded well clinically following a course of intravenous antibiotics (tazocin for 30 days) to treat the suspected abdominal actinomycosis. This antibiotic was chosen in accordance with hospital policy. His chylous ascites settled after 2 weeks on home enteral nutrition. His lymphedema subsided and his tumor markers normalized over the subsequent two months. A repeat CT scan at 2 months showed resolution of his portal vein and superior mesenteric narrowing and marked improvement in the caliber of his inferior vena cava (Figure 3). He is on 6 monthly follow-up and is currently symptom free.

|
Figure 2. H&E staining showing a basophilic spherical mass with a radiating border of eosinophilic clubs, surrounded by a dense neutrophilic infiltrate, compatible with actinomyces. |
|
|

|
Figure 3. CT scan done at 2 months showing complete resolution of pancreatic lesion and showing a metallic stent in place in the inferior vena cava. |
|
|
DISCUSSION
Chronic calcifying pancreatitis is invariably related to alcoholism [1]. The earliest finding is precipitation of pertinacious material in the pancreatic ducts that subsequently calcify. Many of the small pancreatic ductules dilate, while others are obliterated by fibrosis. About 50% of patients with chronic calcific pancreatitis have pancreatic cysts of varying sizes (several millimeters to 5 cm). Peripancreatic fibrosis is usually a late finding and may involve the portal and/or splenic veins [2]. Peripancreatic fibrosis causes stenosis or occlusion of retroperitoneal lymph channels and ascites may complicate chronic calcific pancreatitis as a result of portal hypertension or lymphatic obstruction in 1-2% patients [3, 4]. Our patient had progressive disease over a 14-year period culminating in what appeared to be malignant change in the background of alcohol induced chronic pancreatitis. Occlusion of the superior mesenteric vein at its origin had been present for almost a year, although there had been no evidence of more extensive fibrosis. Lymphangiography failed to demonstrate occlusive lymphatic disease that may have lead to the large volume chylous ascites, and its sudden onset post-endoscopic biopsy may suggest direct iatrogenic injury to the lymphatic channels around the head of the pancreas, although lymphatic tissue was not present in the biopsy specimen. Of interest was the finding of actinomycosis in the histopathological specimen, and the question remains of whether this had been introduced at the time of previous surgery, or a contaminant of the EUS biopsy needle. This is theoretically possible because it represents a break in the mucosal barrier but this contamination will not explain the fibrotic reaction present in our patient.
Actinomycosis is a rare subacute-to-chronic bacterial infection caused by filamentous, gram-positive, non-acid-fast, anaerobic-to-microaerophilic bacteria. It is characterized by contiguous spread, suppurative and granulomatous inflammation, and formation of multiple abscesses and sinus tracts that may discharge sulfur granules [5]. The most common clinical forms of actinomycosis are cervicofacial, thoracic, and abdominal. The history of the patient may involve among others poor oral hygiene, and alcoholism [6].
Actinomycetes are common and non virulent among the normal flora of the oral cavity but less prominent in the lower gastrointestinal tract and female genital tract. They require a break in the integrity of the mucous membranes to invade deeper body structures and to cause human illness. The inflammatory response that follows may lead to fibrosis [7]. Infection typically spreads contiguously, invading surrounding tissues or organs. Hematogenous dissemination to distant organs may occur in any stage of actinomycosis; lymphatic dissemination is unusual. Actinomycosis of the abdomen and pelvis accounts for 10-20% of reported cases and the pancreatic involvement is even rarer, with only anecdotal cases reported and in those cases the CT scan image is difficult to distinguish from malignancy. Typically, these patients have a history of recent or remote bowel surgery (e.g., perforated acute appendicitis, perforated colonic diverticulitis, abdominal trauma) or ingestion of foreign bodies [8].
We suggest that the actinomycosis infection perhaps is related to the second operation (the pancreaticojejunostomy) representing a brake of the intestinal wall barrier that allowed the bacteria to pass from the intestine to the pancreas. Though we acknowledge the possible role of diabetes in any bacterial infection, we found only anecdotal references in the literature linking actinomycosis to diabetes [9, 10]. The clinical presentation of an abdominal actinomycosis would include low-grade fever, weight loss, fatigue, change in bowel habits, vague abdominal discomfort, nausea, vomiting and sensation of a mass, but all these symptoms were considered in our patient to be due to his chronic pancreatitis mainly. It was after the head of the pancreas biopsy (mandatory because of the pseudotumoral changes and the elevated levels of the tumor markers) that we obtained the diagnosis of a granulomatous infection of the head of the pancreas.
In most cases of actinomycosis, antimicrobial therapy is the only treatment required, although surgery can be adjunctive in selected cases. High-dose penicillin G, over a prolonged period (6 months to 1 year) is the cornerstone of therapy for actinomycosis, but good results were also reported with short term treatments, indicating that the treatment should be tailored to every patient according to the clinical and radiological response [11]. When actinomycosis is well diagnosed and treated, the prognosis is excellent. In more spread and complicated forms, however, death can occur despite such therapy.
CONCLUSION
In patients with pancreatic tumor, especially if there is history of surgery that breaks the intestinal mucosal barrier, actinomycosis must be added to the list of differential diagnoses.
Received July 7th, 2010 - Accepted July 18th, 2010
Key words Actinomycosis; Pancreatitis, Chronic; Retroperitoneal Fibrosis
Conflict of interest The authors have no potential conflict of interest
Correspondence
Sakhawat
Hussain Rahman
Centre for HPB Surgery and Liver Transplantation
Royal Free Hospital
Pond Street
London NW3 2QG
United Kingdom
Phone: +44-(0)20.7794.0500
Fax: +44-(0)20.7472.6226
E-mail: zak.rahman@royalfree.nhs.uk
References
1. Etemad B, Whitcomb D.C. Chronic pancreatitis: diagnosis, classification, and new genetic developments. Gastroenterology 2001; 120:682-707. [PMID 11179244]
2. Clain JE, Pearson RK. Diagnosis of chronic pancreatitis: is a gold standard necessary? Surg Clin North Am 1999; 79:829-45. [PMID 10470330]
3. Milam MR, Schultenover SJ, Crispens M, Parker L. Retroperitoneal fibrosis secondary to actinomycosis with no intrauterine device. Obstet Gynecol 2004; 104:1134-6. [PMID 15516426]
4. Cintron JR, Del Pino A, Duarte B, Wood D. Abdominal actinomycosis: report of two cases and review of the literature. Dis Colon Rectum 1996; 39:105-8. [PMID 8601346]
5. Garner JP, Macdonald M, Kumar PK. Abdominal actinomycosis. Int J Surg 2007; 5:441-8. [PMID 18078685]
6. Wagenlehner FM, Mohren B, Naber KG, Männl HF. Abdominal actinomycosis. Clin Microbiol Infect 2003; 9:881-5. [PMID 14616714]
7. Akbulut S, Cakabay B, Sezgin A, Ozmen CA, Isen K, Bakir C. Retroperitoneal fibrosis and hydronephrosis due to actinomycosis. J Gynecol Surg 2009; 25:79-82.
8. Corcione F, Bianco A, Fusco E, Fusco F, Fusco C, Pisaniello D, De Blasio F. Abdominal actinomicosis and retroperitoneal fibrosis. Considerations on a clinical case. Chir Ital 2001; 53:893-8. [PMID 11824069]
9. Samant S, Sandoe J, High A, Makura ZG. Actinomycosis mimicking a tonsillar neoplasm in an elderly diabetic patient. Br J Oral Maxillofac Surg 2009; 47:417-8. [PMID 19054599]
10. Chemsi M, Gisserol O, Cremades S, Bernard P, De Jaurequiberry JP. Prostatic actinomycosis in diabetic patient. Rev Med Interne 2007; 28:424-5. [PMID 17320248]
11. Sudhakar SS, Ross JJ. Short-term treatment of actinomycosis: two cases and a review. Clin Infect Dis 2004; 38:444-7. [PMID 14727221]