MULTIMEDIA ARTICLE - Clinical Imaging
JOP. J Pancreas (Online) 2010 Sep 6; 11(5):480-481.
A Bizarre Abdominal Cystic Lesion
Giorgia Zucchini1, Raffaele Pezzilli1, Claudio Ricci2, Riccardo Casadei2, Donatella Santini3, Lucia Calculli4, Roberto Corinaldesi1
1Department of Digestive Diseases and Internal Medicine, 2Department of Surgery, 3Department of Pathology, 4Department of Radiology, Sant'Orsola-Malpighi Hospital, University of Bologna. Bologna, Italy
Summary
In spite of careful intraoperative precautions and gauze counts, mistakes can still occur during surgery. In the case reported, a retained gauze leaved during a surgical approach for removing a solid-cystic papillary tumor localized in the pancreatic tail, caused both persistent abdominal discomfort and the presence of an abdominal cystic lesion at imaging techniques. When a previous operative history is present, a foreign body should be taken into account in the differential diagnosis of a patient with an intra-abdominal cystic mass. Finally, radio-opaque marker should be routinely used by surgeons in order to reach a correct diagnosis in operated patients having retained gauze.
Case report
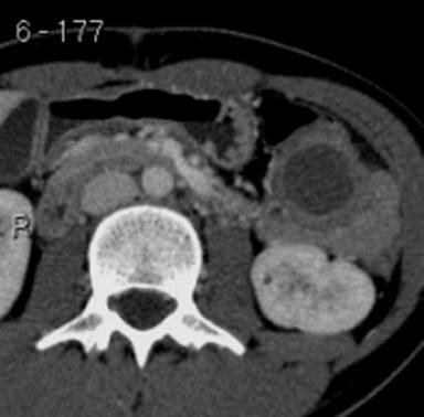
A 25-year-old woman was admitted to the hospital because of a three months persistence of abdominal discomfort localized in the upper left quadrant without any relationship with the food ingestion. The abdominal discomfort appeared immediately after an enucleoresection for a solid-cystic papillary tumor localized in the pancreatic tail; this tumor was found incidentally at an ultrasonographic examination carried out for dyspeptic symptoms. Surgery was carried out in a hospital outside Italy. She denied a history of alcohol consumption; she was no smoker and was no drug addict. On admission, the patient had painful at the deep palpation of the abdominal left upper quadrant without signs of peritoneal irritation. The arterial pressure was 115/70 mmHg and the cardiac rate was 72 beats per minute. Electrocardiography was normal and laboratory investigations were unremarkable. An abdominal computer tomography was performed (Image 1) and this examination showed a cystic lesion of 4.5x3.5 cm in size localized near the tail of the pancreas with a thick wall with poor contrast enhancement; the remaining pancreatic parenchyma was normal.

|
Image 1. |
|
|
The pathological review of the surgical specimen of the previous hospitalization (Image 2) revealed that the margins of the tumor were not free of neoplasia and, according to our practice [1], the non-aggressive behavior of the tumor suggested us to perform radical resection of the pancreatic tail. Therefore, we decide to treat surgically also the cyst localized near the tail of the pancreas because the suspicion that the lesion was a pseudocyst due to a pancreatic fistula secondary to the enucleoresection of the tumor. At laparotomy the cyst was visualized: it was located out of the pancreas, between the transverse colon and the first loop of jejunum. Its aspiration showed that the content of the lesion was constituted of purulent material (Image 3). The cyst was then opened and a no radio-opaque surgical gauze leaved during the previous surgical approach was found (Image 4). The surgical procedure was completed by spleen preserving distal pancreatectomy. The postoperative course was uneventful and the patient is now in good clinical condition.

|
Image 2. |
|
|

|
Image 3. |
|
|

|
Image 4. |
|
|
Conclusions
In spite of careful intraoperative precautions and gauze counts, mistakes can still occur during surgery. These errors seem most frequent in general surgery, followed by gynecology and obstetrics, and orthopedics [2]. In most instances, the retained foreign body induces an inflammatory reaction. The forgotten aseptic gauze can become a granuloma or even a pseudotumor without causing severe symptoms as in our patient [3].
In conclusion, when a previous operative history is present, a foreign body pseudotumor should be taken into account in the differential diagnosis of a patient with an intra-abdominal cystic mass. Finally, radio-opaque marker should be routinely used by surgeons in order to reach a correct diagnosis in operated patients having retained gauze.
Received June 23rd, 2010 - Accepted July 8th, 2010
Key words Abdominal Abscess; Abdominal Pain; Surgical Sponges; Tomography, Spiral Computed
Conflict of interest The authors declare that they have no conflicts of interest
Correspondence
Raffaele
Pezzilli
Department of Digestive Diseases and Internal Medicine
Sant’Orsola-Malpighi Hospital
Via Massarenti 9
40138 Bologna
Italy
Phone: +39-051.636.4148
Fax: +39-051.636.4148
E-mail: raffaele.pezzilli@aosp.bo.it
References
1. Casadei R, Santini D, Calculli L, Pezzilli R, Zanini N, Minni F. Pancreatic solid-cystic papillary tumor: clinical features, imaging findings and operative management. JOP. J Pancreas (Online) 2006; 7(1 Suppl.):137-44. [PMID 16407636]
2. Alotti N, Kecskes G, Simon J, Tomcsanyi J, Papp L. Gauze swabs left intrapericardially following cardiac surgery. J Cardiovasc Surg 1999; 40:825-7. [PMID 10776712]
3. Fujita K, Ichikawa T. Encapsulated paravesical foreign body. J Urol 1990; 143:1004-5. [PMID 2184250]