LETTER
JOP. J Pancreas (Online) 2010 Sep 6; 11(5):482-483.
Primary Pancreatic Lymphoma or Secondary Involvement: What Is the Difference?
Taylan Kav1, Aynur G Soyuoz2, Kadri Altundag3, Yusuf Bayraktar1
Departments of 1Gastroenterology, 2Internal Medicine and 3Oncology, Hacettepe University Faculty of Medicine. Ankara, Turkey
Dear Sir,
Primary pancreatic lymphoma is a very rare disease. On the other hand, secondary involvement of the pancreas from nearby lymph node disease is a common form of involvement. Whether primary pancreatic lymphoma or secondary involvement, this disease can present as a mass mimicking pancreatic carcinoma [1].
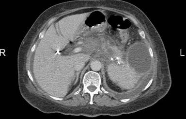
A 75-year-old woman presented with a three-month history of abdominal pain radiating to the back, nausea, vomiting and weight loss. Her past history was unremarkable except for diabetes of 5 years duration which was regulated with diet alone. Her laboratory tests upon admission were as follows: white blood cell count 20,700 mm-3 (reference range: 4,000-11,000 mm-3), hemoglobin 8.5 g/dL (reference range: 11.7-15.5 g/dL), lactate dehydrogenase 501 U/L (reference range: 240-480 U/L), glucose 216 mg/dL (reference range: 70-110 mg/dL), total protein 5.95 g/dL (reference range: 6.4-8.3), albumin 2.6 g/dL (reference range: 3.4-4.8 g/dL), beta-2-microglobulin 10,355 ng/mL (reference range: 609-2,366 ng/mL). The tumor marker levels of AFP, CEA; CA 125, CA 15-3 and CA 19-9 were all within the normal range. Abdominal computed tomography (Figure 1) revealed a mass in the pancreatic tail which could not be distinguished from the pancreas parenchyma and nearby surrounding soft tissues, with encasement of the splenic artery and vein, accompanied by splenic infarct and lymphadenopathies located at the portal hilus, para-aortic region and left renal hilus. To differentiate the origin of the pancreatic mass as an endocrine or an exocrine tumor, serotonin, 3-methoxytiramine, metanephrine, normetanephrine, vanyl mandelic acid, 5 hydroxy indole acetic acid and dopamine tests were performed and were found to be within normal levels. Percutaneous ultrasonography-guided biopsy of the suspicious peripancreatic node confirmed the diagnosis. Immunohistochemical studies of the biopsied tissue demonstrated large atypical lymphoid cells which were positive for CD20 with a Ki-67 index of 30%. The final diagnosis was diffuse large B cell lymphoma. Bone marrow aspiration and biopsy did not show any involvement of disease.

|
Figure 1. Abdominal computed tomography shows a mass of the pancreas invading the nearby surrounding soft tissues. |
|
|
The term extranodal lymphoma refers to non-Hodgkin lymphoma or Hodgkin disease in sites other than the lymphatic organs (spleen, thymus, etc.), which may represent up to 30-40% of all non-Hodgkin lymphoma cases [1, 2]. Extranodal lymphoma is classified as primary if the involvement is confined to a single organ and the adjacent lymph nodes whereas it is classified as secondary if there is involvement of nodes other than those in close proximity to the primary organ or the involvement of more than one extranodal site [2]. The stomach and the small intestine are the most common gastrointestinal sites for extranodal involvement. Secondary involvement of the pancreas from adjacent organs or peripancreatic lymph nodes is the prevalent presentation. Primary pancreatic lymphoma is a rare disease comprising less than 0.5% of pancreatic tumors. Primary pancreatic lymphoma can present as an isolated mass mimicking pancreatic carcinoma [1, 3]. This tumor shows a strong male preponderance and is usually seen in the 5th or 6th decade of life. The majority of patients present with vague abdominal complaints, such as dyspepsia, nausea and pain. Obstructive jaundice is less common than pancreatic cancer [1]. The classic B symptoms are not common in primary pancreatic lymphoma [1]. The head of the pancreas is the most common location for primary pancreatic lymphoma, but the entire organ may be affected. The majority of cases of primary pancreatic lymphoma are of the B-cell type, but some cases of T-cell pancreatic lymphoma have been described in a Japanese series [4].
Information from the literature has shown that the majority of cases of primary pancreatic lymphoma required laparotomy to be diagnosed [5]. Since primary pancreatic lymphoma responds well to chemotherapy, non-operative management of pancreatic masses can avoid the necessity of invasive surgery. Percutaneous or endoscopic ultrasound-guided biopsies are helpful for diagnosing the underlying pathology, although an experienced cytopathologist is needed to confirm a diagnosis of primary pancreatic lymphoma. As in our case, immunohistochemical staining was needed. However, difficulty in obtaining enough tissue to perform staining is always a problem. Two different morphologic patterns of pancreatic involvement are seen in patients with primary pancreatic lymphoma: localized or diffuse disease. Furthermore, some radiological findings can be beneficial in differentiating primary pancreatic lymphoma from other pancreatic tumors.
Diffuse involvement of lymphoid cells causes organ enlargement and irregular peripancreatic fat infiltration and it may resemble acute pancreatitis on imaging. Imaging features that help differentiate pancreatic lymphoma from carcinoma are a bulky pancreatic head mass with little duct dilatation and lymph node enlargement below the level of the renal veins. Encasement of the adjacent vessels without signs of obstruction is suggestive of lymphoma [2].
Elevated levels of CA 19-9 are rarely reported and they can be seen in cases of both biliary and pancreatic ductal obstruction due to an expanding mass. Lactate dehydrogenase and beta-2-microglobulin are the helpful markers for the diagnosis of lymphoma. Bone marrow biopsy should be carried out for every patient who is suspect in order to complete the staging [1].
Diagnostic criteria for primary pancreatic lymphoma include: no lymph node enlargement of superficial or mediastinal lymph nodes, a normal leukocyte count in the peripheral blood, main mass in the pancreas with lymph nodal involvement confined to the peripancreatic region, and no hepatic or splenic involvement [1]. This patient fulfilled these three criteria. We believe that this patient had stage 4A disease because of the diffuse involvement of the pancreas with infiltration to the peripancreatic area. No nearby infiltrating adenopathies or tumors of the other organs were noted.
In conclusion, although primary pancreatic lymphoma is a rare disease, it should be suspected in every case of a large pancreatic mass causing minimal symptomatology. Lactate dehydrogenase and beta-2-microglobulin should be included in the diagnostic workup of such cases. Imaging findings could be included in the diagnostic criteria in order to direct patients to either percutaneous or endosonographic sampling.
Received May 4th, 2010 - Accepted June 5th, 2010
Key words beta 2-Microglobulin; Lymphoma; Lymphoma, Non-Hodgkin; Pancreas
Conflict of interest The authors have no potential conflict of interest
Correspondence
Taylan
Kav
Hacettepe University Faculty of Medicine
Department of Gastroenterology
Sihhiye, Ankara
Turkey 06100
Phone: +90-312.305.1712
E-mail: tkav@hacettepe.edu.tr
References
1. Saif MW. Primary pancreatic lymphomas. JOP. J Pancreas (Online) 2006; 7:262-73. [PMID 16685107]
2. Leite NP, Kased N, Hanna RF, Brown MA, Pereira JM, Cunha R, Sirlin CB. Cross-sectional imaging of extranodal involvement in abdominopelvic lymphoproliferative malignancies. Radiographics 2007; 27:1613-34. [PMID 18025507]
3. Mortenson MM, Katz MH, Tamm EP, Bhutani MS, Wang H, Evans DB, Fleming JB. Current diagnosis and management of unusual pancreatic tumors. Am J Surg 2008; 196:100-13. [PMID 18466869]
4. Mulkeen AL, Yoo PS, Cha C. Less common neoplasms of the pancreas. World J Gastroenterol 2006; 12:3180-5. [PMID 16718837]
5. Grimison PS, Chin MT, Harrison ML, Goldstein D. Primary pancreatic lymphoma - pancreatic tumours that are potentially curable without resection, a retrospective review of four cases. BMC Cancer 2006; 6:117. [PMID 16674812]