LETTER
JOP. J Pancreas (Online) 2010 Sep 6; 11(5):486-488.
Zollinger-Ellison Syndrome with Subsequent Association of Insulinoma
Tarun Rustagi1, Robert D Siegel2
1Department of Internal Medicine, University of Connecticut. Farmington, CT, USA. 2Division of Hematology and Oncology, Hartford Hospital. Hartford, CT, USA
Dear Sir,
A 64-year-old woman was admitted to our hospital in 2000 for evaluation of severe epigastric pain, chronic diarrhea and a 11.5 kg weight loss over last few years. Past medical and family history were unrevealing for any endocrine tumors. Esophagogastroduodenoscopy showed severe duodenitis and an atypical post-bulbar ulcer. Because of the classic presentation, atypical peptic ulcer disease and chronic diarrhea with weight loss, we pursued a work-up for Zollinger-Ellison syndrome. Her serum gastrin level was elevated (198 pg/mL; reference range: 0-42 pg/mL). CT scan of the abdomen and endoscopic retrograde cholangiopancreatography showed a 3 cm mass in the head of the pancreas compressing the main pancreatic duct. Subsequent octreotide scan revealed an octreotide positive mass in head of the pancreas suggestive of a neuroendocrine tumor. Serum insulin, glucagon, somatostatin and vasointestinal polypeptide (VIP) levels were within normal range. She underwent a Whipple procedure in 2000 with resection of the mass that proved to be a 2.8 cm gastrinoma with focal venous and perineural invasion (Figure 1). All resected lymph nodes were negative on H&E and immunostaining (Figure 2). Immunohistochemically, tumor cells were diffusely positive for gastrin, and focally positive for chromogranin-A, synaptophysin and insulin (Figure 3). Tumor cells were negative for glucagon, VIP or somatostatin. Post-operatively, follow-up serum gastrin level was suppressed (18 pg/mL). She received no adjuvant chemotherapy or radiotherapy.

|
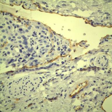
Figure 1. Immunohistochemical staining for CD31 highlights the endothelial cells of this small vein with tumor invasion. Note endothelization of the surface of the invasive tumor nodule (immunoperoxidase, original magnification 200x). |
|
|

|
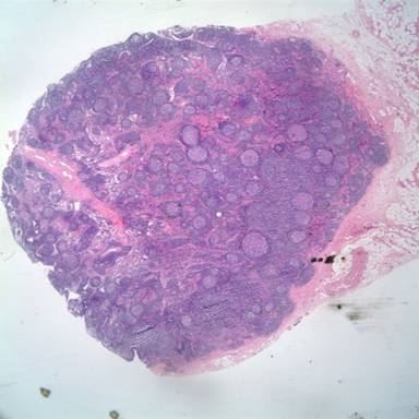
Figure 2. Hematoxylin and eosin staining of all seventeen resected lymph nodes displayed reactive follicular hyperplasia with no tumor metastasis (original magnification 20x). |
|
|


|
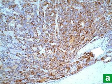
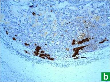
Figure 3. Immunohistochemistry demonstrates diffusely positive staining for gastrin (a.), and focally positive for insulin (b.). |
|
|
She was well until 2002, when she again developed peptic symptoms including epigastric discomfort and recurrent bleeding gastric ulcers. Serum gastrin level was found to be elevated (205 pg/mL), though octreotide scan was negative. In 2003, she had an emergent laparotomy because of a perforated marginal ulcer and underwent revision of Roux-en-Y gastrojejunostomy and vagotomy. Serum gastrin level was 261 pg/mL. A few months later she presented with abdominal pain and laboratory investigations revealed elevated liver enzymes (AST 149 U/L, reference range: 9-36 U/L; ALT 135 U/L, reference range: 7-49 U/L; alkaline phosphatase 671 U/L, reference range: 32-104 U/L). CT scan of the abdomen demonstrated a new area of low attenuation in the right lobe of the liver with a 3 cm ring-enhancing mass at the periphery. Repeat octreotide scan showed at least 4 octreotide-avid hepatic lesions involving both the lobes (largest measuring 2.5 cm in size) suggestive of metastatic neuroendocrine to liver. Serum gastrin level was 949 pg/mL. She was treated with depot-octreotide and proton-pump inhibitors with some symptomatic improvement but ultimately underwent chemoembolization (cisplatin 100 mg, doxorubicin 15 mg, mitomycin-C 30 mg) in 2004 for progressive disease, as evidenced by increase in number and size of hepatic metastases seen on CT scan. A follow-up CT scan showed post-embolization changes and reduction in size (3.5 to 2.5 cm; 3.8 to 3.0 cm; 2.2 to 1.9 cm) of the hepatic metastases suggestive of effective chemoembolization. Depot-octreotide was discontinued without worsening of her symptoms. She developed small liver abscesses several weeks later, as a complication of chemoembolization, which were successfully treated with broad spectrum antibiotics and percutaneous drainage. However, the patient continued to have evidence of hypergastrinemia on interval follow-up with gastrin levels of more than 1,000, 3,694, 5,321, 6,786, 4,965 in December 2004, July 2005, November 2005, May 2006, and October 2006, respectively. Follow-up serial CT imaging showed minimal increase in size (by 1-2 mm) of multiple hepatic lesions.
She remained clinically stable until 2007 when she developed recurrent episodes of diaphoresis, shakiness and syncope associated with hypoglycemia (blood glucose levels: 47, 25, 51 mg/dL; reference range: 70-105 mg/dL). Interestingly, she also noted weight gain of 2.3 kg over last 3-4 months. It was thought that she has an insulinoma or that her hepatic metastatic lesions are producing insulin rather than or along with gastrin causing appearance of these new symptoms. Repeat CT-scan of the abdomen showed multiple (n=10) richly peripherally-enhancing vascular metastatic nodular lesions in the liver, all of which had grown in size since last imaging. Extensive evaluation of syncopal episodes revealed fasting hypoglycemia (25 mg/dL) with elevated insulin (29 µU/mL, reference range: 0-17 µU/mL), proinsulin (422 pmol/L, reference range: 0-18.8 pmol/L), insulin-like growth factor II (897 ng/mL, reference range: 0-90 ng/mL) and C-peptide (3.8 ng/mL, reference range: 0.8-3.0 ng/mL) levels consistent with a functioning insulinoma. She was treated with depot-octreotide and diazoxide with poor control of her hypoglycemic episodes. Subsequently, she underwent hepatic embolization with complete resolution of her hypoglycemic symptoms, and requires no medications other than proton-pump inhibitors. Follow-up imaging has shown stable hepatic metastatic disease without localization of pancreatic or extra-pancreatic insulinoma as source of her hyperinsulinemia-hypoglycemia. Patient has remained asymptomatic and is doing well on follow-up till date.
Discussion
We report a patient having Zollinger-Ellison syndrome who later developed insulinoma with hypoglycemia. Islet cell tumors often produce multiple hormones, but they do not always present clinical symptoms. Concurrent appearance of two-hormone syndrome is relatively rare in patients with islet cell tumor, though simultaneous increases of two gastrointestinal hormones in plasma are not so rare [1, 2, 3]. There have been only few reports of patients with endocrine pancreatic tumors that secrete a second or even a third hormone with subsequent development of new clinical symptoms [1, 3]. The presence of both a symptomatic gastrointestinal and non-gastrointestinal hormone syndromes has been recorded in only 2-7% of patients [4, 5]. Among them, gastrinoma concomitant with glucagonoma are most common (63%) followed by glucagonoma with VIPoma [4, 5]. A second hormone syndrome involving insulin secretion is extremely rare. Clearly however these tumors retain the ability to secrete a variety of peptides over time. The development of a second hormone syndrome often occurs in multiple endocrine neoplasia type 1 [3]. However, in our patient, there was no endocrinological, biochemical or histological evidence of multiple endocrine neoplasia type 1, though MENIN gene mutation analysis was not performed.
It is unclear why a particular tumor suddenly changes its secretory pattern. Secondary endocrine syndromes tend to occur in advanced stages, usually with liver metastases [6]. The present patient with Zollinger-Ellison syndrome presented with symptoms of insulinoma after multiple liver metastases. Philippe et al. [7] suggested that well-differentiated islet tumor cells producing a single hormone were transformed to less differentiated cancer cells, which may produce another hormone associated with clinical syndrome. Another explanation is that cancer cells might be composed of both exocrine and endocrine cells on the first admission, but endocrine tumor cells were unable to secrete hormone sufficient to induce clinical symptoms. Following multiple liver metastases, a subset of the tumor cells is further differentiated to secrete second hormone. Also, it is difficult to explain the absence of hypoglycemia symptoms when liver metastases were visualized or progressed (2003-2005) and its presence only in 2007. Occasionally, tumors may be capable of synthesizing a product (hormone, tumor marker) but not effectively secreting it. On immunohistochemistry, tumor cells might stain for specific tumor markers without a measurable serum level. Tumors in turn mutate and may acquire an ability to secrete without having been able to do it previously. This patient is an example of the unpredictability of mutational events within hormone secreting tumors. One cannot assume that a tumor’s pattern of secretion at the onset of disease will remain unchanged.
In our case, hepatic directed therapies have proven effective in providing palliation. Initially chemoembolization was utilized in the treatment of the metastatic gastrinoma while bland hepatic embolization was employed with success in the treatment of the insulin secreting tumor cells. Chemoembolization (or embolization) is the best palliation for unresectable liver metastases from neuroendocrine tumors. However, there is a greater risk of liver abscess with chemoembolization in patients with a bilioenteric anastomosis, which is manageable with percutaneous drainage and antibiotics, as occurred in our patient after the first chemoembolization in 2004. The risk/benefit ratio in someone with smaller hepatic lesions is favorable for chemoembolization. The biliary necrosis and persistent cholangitis are extremely rare complications, and has not been seen in our experience with hundreds of procedures.
Received March 7th, 2010 - Accepted July 19th, 2010
Key words Gastrinoma; Insulinoma; Pancreatic Neoplasms; Zollinger-Ellison Syndrome
Abbreviations VIP: vasointestinal polypeptide
Acknowledgement The authors thank Dr. Jesse Hart, MD, Department of Pathology, Hartford Hospital, for providing pathology images, their description, and for all his help and time spent assisting in this work
Conflict of interest The authors have no potential conflicts of interest
Correspondence
Tarun
Rustagi
Department of Internal Medicine
University of Connecticut
263 Farmington Avenue
Farmington, CT 06032
USA
Phone: +1-860.221.4034
Fax: +1-860.679.4613
E-mail: trustagi@resident.uchc.edu
References
1. Hammond PJ, Polak JM, Bloom SR. Miscellaneous tumors of the pancreas. In: Go VLW, DiMagno EP, Gardner JD, eds. The Pancreas. 2nd ed. New York, NY, USA: Raven Press, 1993: 997-1007.
2. Solcia E, Capella C, Kloppel G. Tumors of the endocrine pancreas. In: Atlas of Tumor Pathology. 3rd series. Fascicle 20. Tumors of the Pancreas. Armed Forces Institute of Pathology, Washington DC, 1997: 145-209.
3. Metz DC, Jensen RT. Endocrine tumors of the pancreas. In: Haubrich WS, Schaffner F, Berk JE, eds. Bockus Gastroenterology. 5th ed. Philadelphia, PA, USA: W.B. Saunders Company, 1995: 3002-34.
4. Wynick D, Williams SJ, Bloom SR. Symptomatic secondary hormone syndromes in patients with established malignant pancreatic endocrine tumors. N Engl J Med 1988; 319:605-7. [PMID 2842676]
5. Chiang HC, O'Dorisio TM, Huang SC, Maton PN, Gardner JD, Jensen RT. Multiple hormone elevations in Zollinger-Ellison syndrome. Prospective study of clinical significance and of the development of a second symptomatic pancreatic endocrine tumor syndrome. Gastroenterology 1990; 99:1565-75. [PMID 2227272]
6. Maton PN, Gardner JD, Jensen RT. Cushing's syndrome in patients with the Zollinger-Ellison syndrome. N Engl J Med 1986; 315:1-5. [PMID 2872593]
7. Philippe J, Powers AC, Mojsov S, Drucker DJ, Comi R, Habener JR. Expression of peptide hormone genes in human islet cell tumors. Diabetes 1988; 37:1647-51. [PMID 2903836]