ORIGINAL ARTICLE
JOP. J Pancreas (Online) 2010 Jul 5; 11(4):365-368.
Pancreatic Involvement in Melioidosis
Vui Heng Chong1, Kian Soon Lim2, Faizal Sharif2
1Gastroenterology and Hepatology Unit, Department of Medicine; 2Department of Radiology; Raja Isteri Pengiran Anak Saleha (RIPAS) Hospital. Bandar Seri Begawan, Brunei Darussalam
ABSTRACT
Context Melioidosis is endemic to tropical regions and, despite the common occurrence of intra-abdominal abscesses, pancreatic involvement in melioidosis has not previously been reported. Objective We report our experience with pancreatic melioidosis. Patients All 65 patients treated for melioidosis who had computed tomography (CT) scans were identified from prospective databases and were retrospectively reviewed. Main outcome measures A detailed review of cases with pancreas involvement was carried out. Results There were four cases (three males and one female; median age 29.5 years, range: 25-48 years) with pancreatic melioidosis, giving a prevalence of 6.2%. All had predisposing conditions (two had poorly controlled diabetes mellitus and two had thalassemia) for melioidosis. Fever (100%), anorexia (100%), weight loss (100%), rigor (75%) and abdominal pain (75%) were the most common symptoms at presentation and the median duration of symptoms before presentation was six weeks (range: 2-8 weeks). All pancreatic abscesses were detected on CT scan. Multiple foci involvement was common (3 to 6 sites): blood (4 patients), liver (3 patients), psoas muscle (2 patients), spleen (2 patients), infected ascites (2 patients) and lung (1 patient). Pancreatic involvement ranged from multi-focal micro-abscesses to focal large abscesses and involved all parts of the pancreas (body 100%, head 75% and tail 50%). Associated pancreatic findings included splenic vein thrombosis, peripancreatic inflammation and peripancreatic fat streaking. All the pancreatic abscesses were resolved with antibiotics without requiring pancreatic abscess drainage (including one patient who died from disseminated melioidosis). Conclusion Pancreatic involvement typically occurs as part of multi-organ involvement and commonly manifests as multifoci micro-abscesses. Associated pancreatic abnormalities were also common. All responded to treatment without requiring drainage.
INTRODUCTION
Melioidosis, also known as "Whitmore disease" or "Nightcliff Gardener’s disease", is an infective disease caused by Burkholderia pseudomallei (B. pseudomallei), a gram-negative, bipolar, aerobic, motile rod-shaped bacterium [1]. Melioidosis is particularly endemic to tropical regions, especially Thailand and northern Australia [1]. Patients with immune compromised conditions, such as poorly controlled diabetes mellitus, end stage renal failure or immune suppression therapies are particularly at risk [1]. Melioidosis is still associated with a high mortality rate, especially the septicemic form. Most clinicians are unaware or unfamiliar with this disease as it is only endemic to tropical regions. Importantly, an increasing number of reports now exists of cases imported to regions where this infection had not previously been reported [2, 3, 4, 5, 6]. Despite the common occurrence of intra-abdominal abscesses in melioidosis, pancreatic involvement has not previously been reported. We report our experience with pancreatic involvement in patients with confirmed melioidosis treated in a tertiary referral center in Brunei Darussalam, a developing Southeast Asia nation.
METHODS
Patients who were diagnosed and treated for melioidosis (January 2003 to December 2008) in RIPAS Hospital were identified from both a clinician’s personal prospective database and the Department of Microbiology’s prospective database and were retrospectively reviewed. For this study, only patients who had a definite diagnosis of melioidosis (isolation of B. pseudomallei from blood, pus or fluid cultures) and had undergone a computed tomography (CT) scan of the abdomen were included in this study. During the study period, there were a total of 65 patients who fulfilled the criteria.
In our center, all patients with deep seated melioidosis abscesses were treated with our standard antibiotic regime following our National Hospital Antibiotic Guidelines, Ministry of Health Brunei Darussalam. These regimes consisted of four to six weeks of a combination of intravenous ceftazidime 1-2 g three times daily and amoxicillin-clavulanic acid 1.2 g three times daily as a first choice or intravenous carbepenem 1-2 g three times daily as a second choice. This was followed by either a combination of amoxicillin-clavulanic acid 625 mg twice daily plus doxycycline 200 mg daily, ciprofloxacin 500 mg twice daily or mono-therapy with co-trimoxazole (sulfamethoxazole/trimethoprim) 960 mg twice daily given for up to six months. The patients were usually monitored clinically and with laboratory parameters (complete cell counts and inflammatory markers, such as serum C reactive protein (CRP) and erythrocyte sedimentation rate (ESR), and radiological imaging. Antibiotics will be stopped if there is no evidence of ongoing infection and patients will be monitored for relapse. For those patients who have a relapse of melioidosis, treatment will be continued for another four to six months and the process of stopping the medication will be repeated.
Relevant details, including demographic data, comorbid conditions and risk factors for melioidosis, clinical presentations, radiological findings and treatment outcomes were extracted using a predefined proforma. All the CT images were retrieved and retrospectively reviewed by two radiologists independently from the first author. Both radiologists were unaware of the patients’ details, clinical presentations and the initial CT reports. Information on the type of pancreatic involvement (focal or multi-focal and micro or macro-abscess), locations of involvement (head, body or tail), peri-pancreatic features and extra-pancreatic involvement were collected.
RESULTS
The incidence of pancreatic involvement was 4/65 (6.2%). There were three males and one female with a median age of 29.5 years (range 25-48 years) and all had risk factors for melioidosis (two had poorly controlled diabetes mellitus and two had thalassemia and post-splenectomy). Fever, anorexia, weight loss, rigor and abdominal pain were the most common symptoms at presentation and the median duration of symptoms before presentation was six weeks (range: 2-8 weeks). The profiles and details of presentation are shown in Table 1.
|
Table 1. Profile of patients and organs involved. |
||||
|
Case |
Age/Sex |
Risk factors |
Symptoms |
Organs of involvement |
|
#1 |
32/F |
Thalassemia, splenectomy |
Fever, flank pain, lower back pain, loss of appetite, weight loss |
Pancreas, blood, psoas muscle |
|
#2 |
48/M |
Diabetes mellitus |
Fever, rigor, abdominal pain, loss of appetite, weight loss |
Pancreas, blood, lung, spleen, liver |
|
#3 |
25/M |
Thalassemia, splenectomy |
Fever, rigor, abdominal pain, loss of appetite, weight loss |
Pancreas, blood, liver, ascites |
|
#4 |
27/M |
Diabetes mellitus |
Fever, rigor, bloating, loss of appetite, weight loss |
Pancreas, blood, liver, spleen, psoas, ascites |
The biochemical profiles of the four patients are reported in Table 2. All patients had elevated serum inflammatory markers while serum albumin was depressed. All patients were anemic whereas the median total white cell count was within the reference range. None of our patients had a history of or risk factors for pancreatitis or trauma, and serum amylase on admission and during the duration of the hospitalization were normal.
|
Table 2. Biochemical profile of the four patients. |
|||
|
|
Median (range) |
Unit |
Reference range |
|
C reactive protein |
8.6 (5.2-11.9) |
mg/dL |
0-0.5 |
|
Erythrocyte sedimentation rate |
65 (27-136) |
mm/h |
3-15 |
|
Serum albumin |
22.0 (9.2-27.0) |
g/dL |
35-40 |
|
Serum
hemoglobin |
8.5 (7.6-11.9) |
g/dL |
|
|
White cell count |
9.2 (8.3-30.6) |
x109/L |
4.0-11.0 |
All our patients had an ultrasound scan (US) of the abdomen, on the same day as or one day after admission. Only two patients had any abnormalities detected on US: splenic abscesses and liver abscesses with ascites. Interestingly, none of the patients had a pancreatic abscess detected on US. CT scans were carried out at a median of 10 days (range: 5-10 days) from the US. The number of foci affected ranged from three to six with the liver, spleen and psoas muscles most commonly affected.
The most commonly affected part of the pancreas was the body region (100%; Figure 1), followed by the head (75%; Figure 2) and tail (50%; Figure 3). The involvement was typically multi-focal (75%; Figures 1 and 2) and in the form of micro-abscesses. Only one patient (25%) had a large focal solitary abscess (Figure 1), affecting the body of the pancreas. Other associated pancreatic findings included splenic vein thrombosis (Figure 2), peripancreatic inflammations and peri-pancreatic fat streaking. Extra-pancreatic manifestations included blood (4 patients), liver abscesses (3 patients; multiple micro-abscesses (Figures 3 and 4) or large ‘honeycomb’-like abscesses), ascites (2 patients; Figures 3 and 4), splenic abscesses (2 patients; Figures 2 and 4) (which also has the ‘honeycomb’ appearance), psoas abscesses (2 patients) and lung (1 patient).
One patient died from disseminated sepsis. Repeat imaging showed that all patients had resolution of the pancreatic abscesses with antibiotic therapy without requiring any drainage procedures, including the patient who died.

|
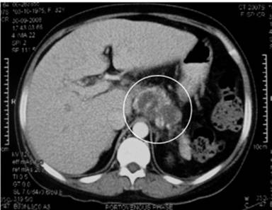
Figure 1. Axial tomography image showing a large multi-loculated pancreatic abscess (circle) affecting the body of the pancreas (Case #1). |
|
|

|
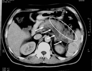
Figure 2. Axial computed tomography image showing multiple abscesses (hypoechoic lesions) in the body and tail regions of the pancreas (oval), splenic vein thrombosis (long tubular hypoechoic structure) indicated by white arrows and splenic micro-abscesses (dotted circle). Follow-up scan showed resolution of the abscesses and recanalization of the splenic vein (Case #2). |
|
|

|
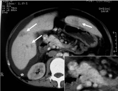
Figure 3. Axial computed tomography image showing multiple pancreatic micro-abscesses visualized in the pancreatic head in association with ascites (asterisk) and multiple hepatic abscesses (arrows) in both lobes. This patient also had micro-abscesses in the body and tail region (Case #3). Insert show a magnified view of the image showing the micro-abscesses. |
|
|

|
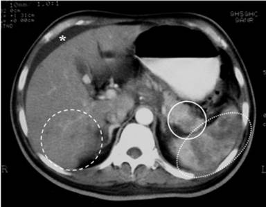
Figure 4. Axial computed tomography image showing hypoechoic lesions in the tail of the pancreas consistent with pancreatic abscesses (circle), splenic abscess (dotted oval), micro-abscesses in the liver (dashed circle) and ascites (asterisk) (Case #4). |
|
|
DISCUSSION
Intra-abdominal abscesses are common manifestations of melioidosis but pancreatic involvement is surprisingly rare and has not previously been reported [7, 8]. Even in large studies from endemic regions of Thailand and northern Australia, there had been no previous reports of pancreatic melioidosis [8, 9]. However, our incidence of 6.2% shows that pancreatic involvement in melioidosis may not be as rare as previously thought. Interestingly, the pancreatic involvement in our patients was only detected after CT scan. However, there was a median of ten days delay between the US and the CT scan and, during this time, lesions might have appeared or might have become more evident. In the Thai and Australian studies, it is possible that cases of pancreatic involvement could have been missed. The Thai study had only used US as the imaging modality for visceral abscess detection whereas not all the patients had undergone CT imaging in the Australian study [8, 9]. Even in a later study regarding genitourinary melioidosis, when studying prostate abscesses from endemic northern Australia using routine CT scanning, no patients were diagnosed with pancreatic involvement [10]. Alternatively, it is possible that pancreatic involvement in melioidosis is actually uncommon in these regions [8, 9]. Studies from Thailand and northern Australia have shown some differences in the clinical manifestations of melioidosis. Prostate involvement is particularly common in Australia where kava and excess alcohol use are risk factors but is uncommon in other regions. In contrast, the pneumonic form is very common in Thailand [10, 11]. These differences may account for the overall low incidence of pancreatic melioidosis in these regions. However, the exact reasons for these differences are unknown.
In agreement with previous reports, multiple foci of infection are common and, in our study, the number of foci involved ranged from three to six [9, 10, 11]. Multi-organ involvement is not unexpected as the diffusion of B. pseudomallei usually occurs via a hematogenous route or local extension and, in such cases, from the adjacent affected spleen. The most commonly affected organs are the liver and spleen. Therefore, primary isolated pancreatic melioidosis is probably very rare.
Among our patients, the manifestations of pancreatic melioidosis ranged from focal to multi-focal abscesses. Three of our patients had multi-focal micro-abscesses and one had a focal large abscess. Apart from the abscesses, other abnormalities observed included peripancreatic fat streaking or inflammation and splenic vein thrombosis. These findings are features commonly associated with pancreatitis. However, none of our patients had evidence of pancreatitis based on serum amylase. Imaging findings, such the ‘honeycomb’ appearance of the large liver and even of the splenic abscesses has been described to be characteristics of melioidosis [7, 12]. Therefore, findings such as multi-foci involvement, multi-focal micro-abscesses and honeycomb appearance of hepatic or spleen abscesses should provide useful clues and should be investigated for melioidosis.
The management of pancreatic melioidosis is slightly different from that of primary abscesses associated with other organisms or those associated with pancreatitis. In primary pancreatic abscess, a six-week course of antibiotic therapy may be adequate whereas, in post-pancreatitis secondary abscesses, surgical debridement may also be required [13]. In pancreatic melioidosis, the pancreatic involvement is often discovered incidentally and, in our experience, all pancreatic involvement regressed with appropriate antibiotics for the treatment of disseminated melioidosis. In contrast to other melioidosis abscesses, especially large liver abscesses, drainage may be required. However in melioidosis, the duration of treatment required is longer. A six-month course of antibiotic therapy is generally recommended.
In conclusion, despite the lack of reports in the literature, pancreatic involvement in melioidosis may not be as rare as previously thought. All parts of the pancreas can be involved and the abscesses may be focal or multi-focal, but are typically micro-abscesses. Pancreatic involvement usually occurs as a part of a multi-foci infection. Most can be treated without requiring any drainage.
Received February 22nd, 2010 - Accepted June 7th, 2010
Key words Abdominal Abscess; Burkholderia pseudomallei; Melioidosis; Pancreas
Conflict of interest The authors have no potential conflict of interest
Correspondence
Vui
Heng Chong
Raja Isteri Pengiran Anak Saleha (RIPAS) Hospital
Bandar Seri Begawan BA 1710
Brunei Darussalam
Phone: +673-877.8218
Fax: +673-224.2690
E-mail: chongvuih@yahoo.co.uk
References
1. White NJ. Melioidosis. Lancet 2003; 361:1715-22. [PMID 12767750]
2. Cahn A, Koslowsky B, Nir-Paz R, Temper V, Hiller N, Karlinsky A, et al. Imported melioidosis, Israel, 2008. Emerg Infect Dis 2009; 15:1809-11. [PMID 19891871]
3. Frangoulidis D, Schwab D, Scholz H, Tomaso H, Hogardt M, Meyer H, et al. 'Imported' melioidosis in Germany: relapse after 10 years. Trans R Soc Trop Med Hyg 2008; 102(Suppl 1):S40-1. [PMID 19121684]
4. Ezzedine K, Heenen M, Malvy D. Imported cutaneous melioidosis in traveler, Belgium. Emerg Infect Dis 2007; 13:946-7. [PMID 17582903]
5. Centers for Disease Control and Prevention (CDC). Imported melioidosis. South Florida, 2005. MMWR Morb Mortal Wkly Rep 2006; 55:873-6. [PMID 16915220]
6. Currie BJ, Dance DA, Cheng AC. The global distribution of Burkholderia pseudomallei and melioidosis: an update. Trans R Soc Trop Med Hyg 2008; 102(Suppl 1):S1-4. [PMID 19121666]
7. Lim KS, Chong VH. Radiological manifestations of melioidosis. Clin Radiol 2010; 65:66-72. [PMID 20103424]
8. Dhiensiri T, Eua-Ananta Y. Visceral abscess in melioidosis. J Med Assoc Thai 1995; 78:225-31. [PMID 7561544]
9. Currie BJ, Fisher DA, Howard DM, Burrow JN, Lo D, Selva-Nayagam S, et al. Endemic melioidosis in tropical northern Australia: a 10-year prospective study and review of the literature. Clin Infect Dis 2000; 31:981-6. [PMID 11049780]
10. Morse LP, Moller CC, Harvey E, Ward L, Cheng AC, Carson PJ, Currie BJ. Prostatic abscess due to Burkholderia pseudomallei: 81 cases from a 19-year prospective melioidosis study. J Urol 2009; 182:542-7. [PMID 19524969]
11. Dhiensiri T, Puapairoj S, Susaengrat W. Pulmonary melioidosis: clinical-radiologic correlation in 183 cases in northeastern Thailand. Radiology 1988; 166:711-5. [PMID 3340766]
12. Apisarnthananarak P, Apisarnthanarak A, Mundy LM. Computed tomography characteristics of Burkholderia pseudomallei-associated liver abscess. Clin Infect Dis 2006; 43:1618-20. [PMID 17109298]
13. Srikanth G, Sikora SS, Baijal SS, Ayyagiri A, Kumar A, Saxena R, Kapoor VK. Pancreatic abscess: 10 years experience. ANZ J Surg 2002; 72:881-6. [PMID 12485225]