CASE SERIES
JOP. J Pancreas (Online) 2010 Jul 5; 11(4):369-372.
Acute Pancreatitis with Normal Serum Lipase: A Case Series
Anish M Shah1, Rodney Eddi2,3, Shivangi T Kothari2,3, Charbel Maksoud2,3, William Scott DiGiacomo3, Walid Baddoura2,3
1Department of Internal Medicine and 2Division of Gastroenterology, Saint Joseph’s Regional Medical Center. Paterson, NJ, USA. 3Seton Hall University School of Health and Medical Sciences. South Orange, NJ, USA
ABSTRACT
Context Acute pancreatitis is diagnosed on the basis of clinical features, biochemical tests and imaging studies. Normal serum amylase level has been reported in the setting of acute pancreatitis but normal serum lipase level in acute pancreatitis is extremely rare. Case report Herein, we present a case series of acute pancreatitis with normal serum lipase levels along with a review of the topic. Conclusion In appropriate clinical setting, the diagnosis of acute pancreatitis should be entertained even with normal serum amylase and lipase levels.
INTRODUCTION
Acute pancreatitis is one of the most common causes for hospitalization in the United States, accounting for around 220,000 cases per year [1]. Among the new cases, 80% are interstitial and 20% are necrotizing. Acute pancreatitis carries an overall mortality of around 5% and as high as 47% in patients with multi-organ failure [2]. Necrotizing pancreatitis is responsible for almost all mortalities attributed to acute pancreatitis. Alcohol use, gallstones, hypertriglyceridemia, hypercalcemia, medications, endoscopic retrograde cholangiopancreatography and trauma account for most cases of acute pancreatitis; however, approximately 20% remain idiopathic [3]. The role of pancreas divisum and sphincter of Oddi dysfunction is controversial. Clinical manifestations range from mild epigastric discomfort to critical illness and death. Occasional cases are only diagnosed at autopsy. Diagnosis is based on clinical features, biochemical tests and imaging studies. Guidelines by the American College of Gastroenterology state that the diagnosis of acute pancreatitis requires the presence of the two of the following three criteria: 1) characteristic abdominal pain; 2) serum amylase and/or lipase more than 3 times the upper limit of normal; and 3) computed tomography (CT) scan findings compatible with acute pancreatitis [4]. Serum amylase and lipase levels threefold or more than normal are seen in acute pancreatitis and, in the appropriate clinical setting, used for diagnosis [5]. Normal serum amylase levels have been reported in some cases of acute pancreatitis, but serum lipase levels are usually elevated [6]. Normal serum lipase in the setting of acute pancreatitis is an extremely rare occurrence. In our literature review, we found only two case reports of clinical and radiological evidence of acute pancreatitis with a normal serum lipase level [7, 8].
We present this case series of acute pancreatitis (diagnosed on clinical, radiological or autopsy grounds) with normal serum lipase levels.
CASE REPORTS
Case #1
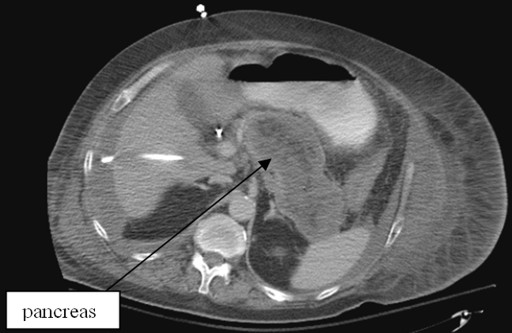
A 66-year-old Caucasian male was admitted with fever, malaise, generalized ill-defined abdominal discomfort and emesis. Past medical history was significant for diabetes mellitus, hypertension and coronary artery disease. The patient denied any history of hepatitis, pancreatitis or alcohol use. On examination, he was icteric with diffuse abdominal tenderness. Laboratory tests revealed leukocytosis (15,500 cells/mm3, reference range: 4,500-11,000 cells/mm3), ketosis, INR 2.2, creatinine 3.0 mg/dL (reference range: 0.7-1.2 mg/dL), abnormal liver enzymes (total bilirubin 9.1 mg/dL, reference range; 0.4-2.0 mg/dL; alkaline phosphatase 341 U/L, reference range; 38-126 U/L; AST 83 U/L, reference range; 12-42 U/L; ALT 40 U/L, reference range; 14-54 U/L), and normal triglycerides (106 mg/dL, reference range: 0-160 mg/dL). Serum amylase and lipase levels were 33 U/L (reference range: 36-128 U/L) and 15 U/L (reference range: 8-57 U/L), respectively. Ultrasound of the abdomen revealed a common bile duct diameter of 1.3 cm, cholelithiasis, ascites, an edematous pancreas and a diffusely echogenic liver. Abdominal CT scan with intravenous contrast confirmed the ultrasonographic findings showing ascites, diffuse pancreatitis and gallbladder distension with stones (Figure 1). Patient was hemodynamically unstable for surgical intervention. The hospital course was complicated by septic shock, worsening azotemia, and respiratory failure requiring fluids, vasopressors, broad-spectrum antibiotics, percutaneous cholecystostomy, mechanical ventilation and dialysis. The patient’s condition deteriorated over 3 weeks ending with his demise. Serum amylase and lipase levels throughout the hospitalization remained normal. Autopsy revealed severe acute necrotizing pancreatitis with centrilobular hemorrhagic necrosis of the liver and cholestasis.

|
Figure 1. CT scan of the abdomen with contrast (Case #1). |
|
|
Case #2
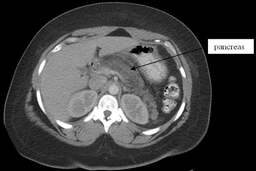
A 37-year-old African-American female was admitted with complaints of epigastric pain and emesis for one day. She denied any change in bowel habits, fever, cough or hematemesis; however she did admit to alcohol ingestion two days prior to admission. She related a history of moderate alcohol consumption and an episode of pancreatitis three years prior. There was epigastric tenderness on physical examination. Laboratory tests showed WBC 9,800 cells/mm3, normal liver enzymes (AST 22 U/L; ALT 16 U/L; alkaline phosphatase 55 U/L; total bilirubin 0.6 mg/dL), normal serum triglyceride level (54 mg/dL); amylase and lipase were 95 U/L and 31 U/L, respectively. CT scan of the abdomen with intravenous contrast showed swelling of the head and body of the pancreas with peripancreatic inflammatory changes consistent with acute pancreatitis (Figure 2). Abdominal ultrasound revealed a common bile duct diameter of 3 mm, no gallbladder wall thickening or gallstones. The patient was treated with intravenous fluids and analgesics. Amylase and lipase levels remained normal throughout the admission. Three days after admission, she was discharged home with complete resolution of symptoms.

|
Figure 2. CT scan of the abdomen with contrast (Case #2). |
|
|
Case #3
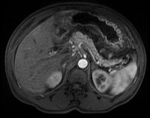
A 59-year-old African-American man was admitted with abdominal pain of three-day duration, associated with emesis and hiccups. Past medical history was significant for diabetes mellitus. He admitted to alcohol use once to twice a month. On examination, there was mild epigastric tenderness. Laboratory studies showed leukocytosis (15,700 cells/mm3); hematocrit was 45.4% (reference range: 36.0-46.0%), serum creatinine was 1.4 mg/dL; transaminases were mildly elevated (AST 89 U/L, ALT 65 U/L); alkaline phosphatase and bilirubin were normal. Amylase and lipase were 108 U/L and 35 U/L, respectively. CT scan of the abdomen with intravenous contrast showed stranding around the head of the pancreas suggestive of acute pancreatitis. Ultrasound of the abdomen showed a common bile duct diameter of 9 mm, no gallstones, and heterogeneous pancreatic head consistent with pancreatitis versus a mass lesion. MRI of the abdomen with contrast showed prominent inflammatory changes surrounding the pancreas, with no necrosis or pseudocyst formation (Figure 3). The hepatitis profile was negative. Patient was treated with intravenous fluids, insulin and antiemetics. Repeated measurements of amylase and lipase were normal. Patient had an uneventful recovery and was discharged home on day 6.

|
Figure 3. MRI of the abdomen with contrast (Case #3). |
|
|
DISCUSSION
The pathogenesis of acute pancreatitis includes increased conversion of trypsinogen to trypsin, which leads to pancreatic injury and an inflammatory response [3]. Additionally, amylase and lipase are released from pancreatic acinar cells. Serum trypsinogen activation peptide and trypsinogen-2 are more specific early markers for pancreatitis but are expensive and not readily available [9, 10]. Serum amylase and lipase are also found in other organs like salivary glands and extrapancreatic abdominal organs. Following the initial onset of acute pancreatitis, serum amylase level increases rapidly over 3 to 6 hours, with a half-life of 10-12 hours; it remains elevated for 3 to 5 days [6] and is excreted by the kidneys. Serum lipase level increases in 3 to 6 hours, peaks in 24 hours and remains elevated for one to two weeks [7]. Serum lipase, unlike amylase, is reabsorbed by the kidney tubules and hence remains elevated for prolonged period which may be helpful in late presenting patients [11]. Several studies have reported a negative predictive value of serum lipase in diagnosing acute pancreatitis to be between 94 and 100 percent [7, 10]. Serum amylase can be normal in acute on chronic pancreatitis, hypertriglyceridemia-induced pancreatitis or in late presentations [6]. However, a normal blood lipase level in acute pancreatitis is a rare event; to our knowledge only two cases have been reported in the English literature. Cartier et al. reported acute pancreatitis diagnosed on CT scan with normal lipase levels in a patient presenting with abdominal pain and vomiting for 24 hours [7]. Mayersak et al. reported a case of pancreatitis diagnosed on CT scan in a post-operative patient with normal serum amylase, lipase and urinary amylase [8].
Our three patients presented with complaints of abdominal pain and emesis. Two of the patients had diabetes mellitus; the third had history of pancreatitis in the distant past. Two had elevated WBC count on presentation. One had pancreatitis of the head, the second of the head and body while the third had diffuse pancreatitis. Two patients had gallstone pancreatitis; the other was alcohol-induced. One had severe necrotizing pancreatitis with systemic complications and death; the other two had an uneventful recovery. CT scan diagnosed acute pancreatitis in all cases. Patient #2 did not have any more episodes of acute pancreatitis on one-year follow-up while patient #3 was diagnosed with pancreatic head cancer a few months later. Thus, acute pancreatitis may be the first manifestation of a pancreatic cancer. The normal enzyme levels in the first patient may be due to late presentation of the patient and/or pancreatic necrosis leading to decrease in the levels of amylase and lipase.
Helical contrast-enhanced CT scan is considered the ‘gold standard’ for diagnosis and evaluation of patients with acute pancreatitis [12]. Although some experts criticize the use of early imaging in the presence of other supporting evidence of pancreatitis, it may be helpful in establishing the diagnosis when biochemical markers are not compatible with the clinical suspicion. Additionally, it may identify other pathology and/or complications. Ultrasound has a limited role in diagnosing acute pancreatitis. Bowel gas due to ileus makes visualization of the pancreas difficult, but it may help identify gallstones and choledocholithiasis.
MRI/magnetic resonance cholangiopancreatography (MRCP) is more expensive, requires more patient cooperation and takes longer, but it is as sensitive as CT scan to detect acute pancreatitis and its complications, and can be used in patients allergic to iodinated contrast media [13]. Endoscopic Ultrasound (EUS) can detect small stones in the common bile duct and is the most accurate test to identify cholelithiasis as cause of acute pancreatitis. It is especially useful when standard imaging modalities do not detect cholelithiasis or microlithiasis. Endoscopic retrograde cholangiopancreatography (ERCP) along with endoscopic sphincterotomy helps in extraction of common bile duct stones and drain infected bile in acute pancreatitis [14]. EUS has a sensitivity of 91% for detecting choledocholithiasis as compared with 50% with transabdominal ultrasound [15].
Acute pancreatitis can have a variable presentation. It may be mild, self-limiting or can be severe, fulminant type. The treatment of mild type is supportive while severe form needs close monitoring in intensive care unit with surgical and/or radiological intervention [15]. The treatment of acute pancreatitis consists of fluid resuscitation, pain management, and nutritional support. Oral feeding can be started within 24-72 hours of disease onset in mild pancreatitis. Prophylactic antibiotic use is not recommended in patients with acute pancreatitis. Carbapenem antibiotic should be given in patients with pancreatic necrosis with organ failure as well as septic appearing patients. Debridement of the infected necrotic pancreas is the treatment of choice. This could be done surgically but lately direct endoscopic necrosectomy through an opening in the stomach is being used [2].
In conclusion, we suggest that in the appropriate clinical setting, diagnosis of acute pancreatitis should be entertained even with normal amylase and lipase levels, and further investigated utilizing appropriate imaging modalities.
Received December 1st, 2009 - Accepted June 3rd, 1020
Key words Amylases; Lipase; Pancreatitis, Acute Necrotizing
Conflict of interest The authors have no potential conflict of interest
Correspondence
Anish M Shah
Department of Internal Medicine
Saint Joseph’s Regional Medical Center
703, Main Street
Paterson, NJ
USA 07503
Phone: +1-973.754.2000
Fax: +1-973.754.3376
E-mail: anishshah21@gmail.com
References
1. DeFrances CJ, Hall MJ, Podgornik MN. Advance Data From Vital and Health Statistics. No. 359. 2003 National Hospital Discharge Survey. Centers for Disease Control and Prevention. Atlanta, GA 30333, USA. National Center for Health Statistics, 2005.
2. Talukdar R, Vege SS. Recent developments in acute pancreatitis. Clin Gastroenterol Hepatol 2009; 7(11 Suppl):S3-9. [PMID 19896095]
3. Whitcomb DC. Value of genetic testing in management of pancreatitis. Gut 2004; 53:1710-7. [PMID 15479696]
4. Banks PA, Freeman ML, Practice Parameters Committee of the American College of Gastroenterology. Practice guidelines in acute pancreatitis. Am J Gastroenterol 2006;101:2379-400. [PMID 17032204]
5. Cotton PB, Lehman G, Vennes J, Geenen JE, Russell RC, Meyers WC, et al. Endoscopic sphincterotomy complications and their management: an attempt at consensus. Gastrointest Endosc 1991; 37:383-93. [PMID 2070995]
6. Clavien PA, Robert J, Meyer P, Borst F, Hauser H, Herrmann F, et al. Acute pancreatitis and normoamylasemia. Not an uncommon combination. Ann Surg 1989; 210:614-20. [PMID 2479346]
7. Cartier T, Sogni P, Perruche F, Meyniard O, Claessens YE, Dhainaut JF, Der Sahakian G. Normal lipase serum level in acute pancreatitis: a case report. Emerg Med J 2006; 23:701-2. [PMID 16921084]
8. Mayersak JS, Viviano CJ, Babiarz JW. Computed axial tomography pancreatitis: an atypical asymptomatic postoperative disease without serum or urinary enzyme evaluation. Wis Med J 1997; 96:25-8. [PMID 9128430]
9. Kylänpää-Bäck M, Kemppainen E, Puolakkainen P, Hedström J, Haapiainen R, Perhoniemi V, et al. Reliable screening for acute pancreatitis with rapid urine trypsinogen-2 test strip. Br J Surg 2000; 87:49-52. [PMID 10606910]
10. Al-Bahrani AZ, Ammori BJ. Clinical laboratory assessment of acute pancreatitis. Clin Chim Acta 2005; 362:26-48. [PMID 16024009]
11. Sternby B, O'Brien JF, Zinsmeister AR, DiMagno EP. What is the best biochemical test to diagnose acute pancreatitis? A prospective clinical study. Mayo Clin Proc 1996; 71:1138-44. [PMID 8945483]
12. Fernández-del Castillo C, Rattner DW, Warshaw AL. Acute pancreatitis. Lancet 1993; 342:475-9. [PMID 8102434]
13. Maher MM, Lucey BC, Gervais DA, Mueller PR. Acute pancreatitis: the role of imaging and interventional radiology. Cardiovasc Intervent Radiol 2004; 27:208-25. [PMID 15024494]
14. Whitcomb DC. Clinical practice. Acute pancreatitis. N Engl J Med 2006; 354:2142-50. [PMID 16707751]
15. Koo BC, Chinogureyi A, Shaw AS. Imaging acute pancreatitis. Br J Radiol 2010; 83:104-112. [PMID 20139261]