CASE REPORT
JOP. J Pancreas (Online) 2010 Jul 5; 11(4):373-376.
Choledochal Cysts with Chronic Pancreatitis in Adults: Report of Two Cases with a Review of the Literature
Biswanath P Gouda1, Devendra C Desai2, Philip Abraham2, Anand Joshi2, Sudeep R Shah1
Divisions of 1Surgical Gastroenterology and 2Gastroenterology, P.D. Hinduja National Hospital and Medical Research Center. Mahim West, Mumbai, India
ABSTRACT
Context Choledochal cysts, rarely present with chronic calcific pancreatitis. We report two patients with choledochal cysts who had concomitant chronic pancreatitis. Case report #1 A 27-year-old female with a history of recurrent abdominal pain, fever and jaundice presented with a type I choledochal cyst with calcifications in the uncinate process of the pancreas on CT scan. Her magnetic resonance cholangiopancreatogram (MRCP) revealed calcifications in the region of the uncinate process of the pancreas, the presence of a type I choledochal cyst with dilatation of the right and left hepatic ducts at their confluence suggesting an anomalous pancreaticobiliary ductal junction. She underwent choledochal cyst excision with a Roux-en-Y hepaticojejunostomy. Case report #2 A 35-year-old male with colicky abdominal pain of four months duration whose CT scan was suggestive of an atrophic pancreas with a 1 cm dilatation of the pancreatic duct and a calculus in the pancreatic duct near the ampulla. MRCP showed significant atrophy of the pancreas with an isointense filling defect seen in the pancreatic duct at its distal end near the ampulla. A diagnosis of chronic calcific pancreatitis with type I choledochal cyst was made. He underwent choledochal cyst excision with a cholecystectomy, hepaticojejunostomy (end-to-side) and side-to-side pancreaticojejunostomy. Conclusion Chronic calcific pancreatitis is a rare occurrence in patients with choledochal cysts and only six cases have been reported in the literature. Our two patients with choledochal cysts associated with chronic pancreatitis were treated surgically.
INTRODUCTION
Choledochal cysts are benign congenital cystic dilatations of the extrahepatic and/or intrahepatic biliary tree. The classical presentation of choledochal cysts is a triad of abdominal pain, jaundice and a palpable lump seen in 13 to 63% of patients [1]. Calcific pancreatitis is a rare complication in the setting of a choledochal cyst [2, 3, 4, 5, 6, 7, 8, 9, 10, 11]. We report two patients with choledochal cysts with chronic pancreatitis and discuss their surgical management.
CASE REPORT #1
A 27-year-old female presented with a history, since childhood, of recurrent dull non-radiating upper abdominal pain, usually lasting for 2-3 days, occurring every 2-3 months and relieved with pain medications. She had been taking proton pump inhibitors, prokinetic agents and enzyme supplements for the previous 4 years. The current attack of abdominal pain was accompanied by fever and jaundice. Her total bilirubin was 14 mg/dL (reference range: 0.2-1.0 mg/dL), AST 100 IU/L (reference range: 15-48 IU/L), ALT 150 IU/L (reference range: 10-40 IU/L) and alkaline phosphatase was 280 IU/L (reference range: 40-120 IU/L). A computed tomography (CT) scan revealed a type I choledochal cyst with calcifications in the uncinate process of the pancreas (Figure 1). She had undergone common bile duct stent placement for her symptoms elsewhere but without relief of pain. Magnetic resonance cholangiopancreatography (MRCP) revealed calcifications in the region of the uncinate process of the pancreas, the presence of a type I choledochal cyst with dilatation of the right and left hepatic ducts at their confluence suggesting an anomalous pancreaticobiliary ductal junction with a common bile duct stent in place (Figure 2). There were no symptoms of endocrine or exocrine dysfunction and no pancreatic pain. She was referred to us for surgical consultation. Preoperatively, her total bilirubin had dropped to 1.7 mg/dL (direct 0.7 mg/dL; reference range: 0-0.2 mg/dL), ALT 16 IU/L, AST 31 IU/L, alkaline phosphatase 65 IU/L, gamma glutaryl transpeptidase (GGT) 31 IU/L (reference range: 0-60 IU/L); serum amylase and coagulation profiles were within normal limits. She underwent choledochal cyst excision with a Roux-en-Y hepaticojejunostomy. The procedure was uneventful. She has since been treated conservatively twice for symptoms of adhesive small bowel obstruction but has been asymptomatic for her primary disease during a follow-up period of 4 years.

|
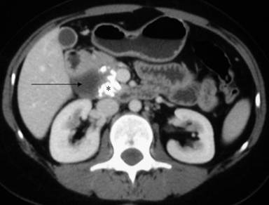
Figure 1. Contrast-enhanced CT showing the lower end of the choledochal cyst (arrow) with calcification (*) at the uncinate process of the pancreas. |
|
|

|
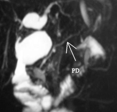
Figure 2. MRCP showing a type I choledochal cyst, dilated right and left hepatic ducts and anomalous pancreatobiliary junction (PD: pancreatic duct). |
|
|
CASE REPORT #2
A 35-year-old male suffered from colicky abdominal pain in the right hypochondrium and epigastrium of four months duration, not associated with jaundice or weight loss. On admission, his total bilirubin was 0.7 mg/dL, AST 23 IU/L, ALT 15 IU/L, alkaline phosphatase 104 IU/L, GGT 9 IU/L and amylase 112 IU/L (reference ranges: 0-110 IU/L). A CT scan showed atrophy of the pancreas with a 1 cm dilatation of the pancreatic duct (Figure 3a). A calculus was seen in the pancreatic duct near the ampulla (Figure 3b). Diffuse dilatation of the common hepatic duct and the common bile duct was seen without any calculus, suggestive of a choledochal cyst. MRCP confirmed this finding and also showed significant atrophy of the pancreas; a pancreatic duct 1 cm in diameter (Figure 4) and an isointense filling defect was seen in the pancreatic duct at its distal end near the ampulla. A diagnosis of chronic calcific pancreatitis with type I choledochal cyst was made. He underwent choledochal cyst excision with a cholecystectomy, hepaticojejunostomy (end-to-side) and side-to-side pancreaticojejunostomy. Tissue from the head of the pancreas confirmed the diagnosis of chronic pancreatitis. Surgery and recovery were uneventful. He is asymptomatic after a 4 month follow-up.


|
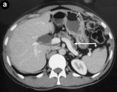
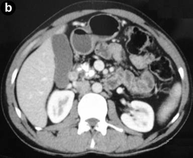
Figure 3. CT showing atrophic pancreas with a dilated (1 cm) pancreatic duct (a. arrow) and calcification at the head and uncinate process of the pancreas (b.). |
|
|

|
Figure 4. MRCP showing a type Ic choledochal cyst with a dilated pancreatic duct and filling defect seen proximal to the ampulla (arrow). |
|
|
DISCUSSION
Clinical symptoms of choledochal cysts in children and neonates are vague abdominal pain, cholangitis or, in rare situations, perforation of the cyst [12]. Choledochal cysts in adults lie dormant, present with non-specific symptoms, or are detected while undergoing imaging studies for symptoms related to its complications, such as hepatolithiasis, acute cholecystitis, acute or chronic pancreatitis, gastric outlet obstruction, portal hypertension or biliary tract malignancy [2]. Though acute pancreatitis is reported with relative frequency, chronic calcific pancreatitis with choledochal cyst is a rare entity, with only six cases reported in the world literature [2, 3, 4, 5, 6, 7, 8, 9, 10, 11].
The most widely accepted hypothesis is that cystic dilatation of the biliary tree is related to an anomalous anatomical arrangement of the pancreaticobiliary ductal junction [13, 14]. The pancreaticobiliary junction is proximal to the sphincter of Oddi. The long common channel allows reflux of the pancreatic juice into the biliary tree, which can cause inflammation, ectasia and dilatation [15, 16]. An abnormal common channel, when more than 15 mm long instead of the normal 5 mm, probably also allows reciprocal reflux of bile and pancreatic juices. Amylase can be found in the bile and may explain the increased incidence of cholangiocarcinoma and gallbladder carcinoma [17, 18]. Similarly, the entry of bile into the pancreatic duct might lead to recurrent acute pancreatitis, perhaps eventually heading towards chronic inflammation, fibrosis and calcification of the pancreas [19, 20]. This kind of anomalous biliary anatomy was seen in one of our patients with a type I choledochal cyst. Yamashiro et al. [21] investigated the mechanism responsible for the activation of pancreatic enzymes in a choledochal cyst under the anomalous pancreaticobiliary ductal junction in 40 puppies. Various degrees of common bile duct dilatation developed in all puppies within 7 to 10 days after surgery. Histologically proven chronic pancreatitis was found in three of the 23 dogs in which there was strong evidence of free and massive regurgitation of the bile-pancreatic juice mixture between the bile and the pancreatic duct system.
Nakagohri et al. [3] reported a congenital choledochal cyst with chronic calcifying pancreatitis with anomalous pancreaticobiliary duct arrangement in a 42-year-old male complaining of back pain. They performed cyst resection, a hepaticojejunostomy, a lateral pancreaticojejunostomy and resection of the inferior head of the pancreas in order to remove the common channel which could potentially cause recurrent relapsing pancreatitis.
Jalleh and Williamson [4] presented a case report of a 32-year-old female with a Todani type I choledochal cyst presenting with recurrent acute pancreatitis leading to chronic calcific pancreatitis, after having underwent multiple surgeries including subtotal cyst excision with a Roux-en-Y hepaticojejunostomy. She underwent resection of the pancreatic head with reconstruction involving an end to end pancreaticojejunostomy and end-to-side duodenojejunostomy. The resected specimen showed an anomalous pancreaticobiliary ductal junction measuring 20 mm in length.
Cholangiocarcinoma, adenocarcinoma and gallbladder carcinoma are commonly reported biliary tract malignancies. Price et al. [22] have reported a case of squamous cell carcinoma arising from a type I choledochal cyst in chronic calcific pancreatitis with choledocholithiasis in a 41-year-old female presenting with flu-like symptoms accompanied by painless jaundice, pruritus and scleral icterus. Her endoscopic retrograde cholangiopancreatography showed the mass at the biliary bifurcation, a 4 cm choledochal cyst with multiple calculi, multiple calcifications in the pancreatic head but the absence of an anomalous pancreaticobiliary ductal union.
Tertiary care centers performing high-volume choledochal cyst surgeries have analyzed their data for acute or recurrent pancreatitis during follow-up visits. Yamaguchi [5] has the largest series published in the Japanese literature; of the 1,433 patients undergoing surgery, only six cases had pancreatitis (0.4%). In Todani’s et al. series [6] of 73 patients who underwent excision of a choledochal cyst, two patients developed acute pancreatitis but were treated conservatively (2.7%).
Swisher et al. [7] reviewed the charts of 32 adult patients who were treated for choledochal cysts. Eighteen patients (56.3%) had 30 documented episodes of pancreatitis; this was seen in all types of choledochal cysts and was not related to the age, gender or race of the patient. All eight patients with an abnormal pancreaticobiliary junction developed pancreatitis as compared to only two of the six patients with normal pancreatic duct anatomy (P<0.006). In their series, only one patient with a type I choledochal cyst had chronic pancreatitis whose pain was relieved with surgical resection of the cyst and pancreatic head.
Komuro et al. [8] conducted a retrospective study on 64 patients treated for choledochal cysts over 23 years. In the group of patients who underwent excision with hepaticoenterostomy, one-third had acute pancreatitis as compared to 57.1% of the patients in the group undergoing cystoenterostomy during a follow-up period of 8.1±6.1 years. Only one patient (1.6%) developed chronic pancreatitis with diabetes mellitus during follow-up. Another study by Koshinaga et al. [9], evaluating the effectiveness of primary cyst excision (primary group) and secondary cyst excision after a previous cystoduodenostomy for internal drainage (secondary group) in relation to the disease process of postoperative pancreatitis, showed a significant overall incidence of pancreatitis (20.8%). Among 53 patients, 13.6% (6/44 patients) of the patients in the primary group developed mild acute pancreatitis and 55.6% (5/9 patients) in the secondary group developed chronic pancreatitis during follow-up.
Lal et al. [2] reported a large series of complicated choledochal cysts in 144 patients over 15 years but with a low occurrence of pancreatitis (1.4%). In their study, one patient with a choledochocele had repeated episodes of acute pancreatitis which were managed successfully with a transduodenal sphincteroplasty. Another patient had chronic pancreatitis with a drainable pancreatic duct on MRCP and underwent a lateral pancreaticojejunostomy with cyst excision and a Roux-en-Y hepaticojejunostomy.
Tan et al. [10] similarly reported a solitary case of chronic pancreatitis in their series of 10 adult patients with choledochal cysts treated over 5 years. Liu et al. [11], in their 25 years of experience performing surgery on adult patients with choledochal cysts (no. 153) found 30 patients (19.6%) who presented with pancreatitis. During follow-up, six patients had recurrent pancreatitis in spite of having undergone cyst excision with a Roux-en-Y hepaticojejunostomy. Both these series validate the rare occurrence of chronic calcific pancreatitis in a setting of choledochal cysts.
Our search of the literature identified only 11 published reports of chronic pancreatitis in a patient population treated for choledochal cysts of which six are confirmed cases of chronic calcific pancreatitis. Chronic pancreatitis is an uncommon association in patients with choledochal cysts, occurring in patients with anomalous pancreaticobiliary ductal union and remains relatively asymptomatic during the early course of the disease. Our two case patients are an addition to this rare occurrence of chronic calcific pancreatitis with choledochal cyst.
Received January 16th, 2010 - Accepted March 16, 2010
Key words Adult; Cholangiopancreatography, Endoscopic Retrograde; Choledochal Cyst /pathology /complications; Humans; Pancreatitis, Chronic /diagnosis /etiology
Conflict of interest The authors have no potential conflict of interest
Correspondence
Sudeep
Shah
P.D. Hinduja National Hospital and MRC
Veer Savarkar Marg, Mahim (West)
Mumbai 400 016
India
Phone: +91-22.2445.1515 Ext: 8126
Fax: +91-22.2444.0425
E-mail: shahsudeep@hotmail.com
References
1. Tan KC, Howard ER. Choledochal cyst: a 14 year surgical experience with 36 patients. Br J Surg 1988; 75:892-5. [PMID 3179667]
2. Lal R, Agrawal S, Shivhare R, Kumar A, Sikora S, Kapoor V, Saxena R. Management of complicated choledochal cysts. Dig Surg 2007; 24:456-62. [PMID 18057892]
3. Nakagohri T, Konishi M, Inoue K, Takahashi S, Tanizawa Y, Kinoshita T. Inferior head resection of the pancreas and cyst resection for choledochal cyst with chronic calcifying pancreatitis. Hepatogastroenterology 2004; 51:1504-5. [PMID 15362787]
4. Jalleh RP, Williamson RC. Choledochal cyst and chronic pancreatitis treated by proximal pancreatectomy. HPB Surg 1991; 4:245-9. [PMID 1681890]
5. Yamaguchi M. Congenital choledochal cysts: analysis of 1433 patients in the Japanese literature. Am J Surg 1980; 140:653-7. [PMID 6776832]
6. Todani T, Watanabe Y, Toki A, Urushihara N, Sato Y. Reoperation for congenital choledochal cyst. Ann Surg 1988; 207:142-7. [PMID 3341813]
7. Swisher SG, Cates JA, Hunt KK, Robert ME, Bennion RS, Thompson JE, et al. Pancreatitis associated with adult choledochal cysts. Pancreas 1994; 9:633-7. [PMID 7809018]
8. Komuro H, Makino SI, Yasuda Y, Ishibashi T, Tahara K, Nagai H. Pancreatic complications in choledochal cyst and their surgical outcomes. World J Surg 2001; 25:1519-23. [PMID 11775184]
9. Koshinaga T, Wakabayashi K, Inoue M, Sugito K, Ikeda T, Hagiwara N, Tomita R. Pancreatitis after a primary and secondary excision of congenital choledochal cysts. Surg Today 2006; 36:686-91. [PMID 16865511]
10. Tan SS, Tan NC, Ibrahim S, Tay KH. Management of adult choledochal cyst. Singapore Med J 2007; 48:524-7. [PMID 17538750]
11. Liu YB, Wang JW, Devkota KR, Ji ZL, Li JT, Wang XA, et al. Congenital choledochal cysts in adults: twenty-five year experience. Chin Med J (Engl) 2007; 120:1404-7. [PMID 17825168]
12. Ando H, Ito T, Watanabe Y, Seo T, Kaneko K, Nagaya M. Spontaneous perforation of choledochal cyst. J Am Coll Surg 1995; 181:125-8. [PMID 7627384]
13. Komi N, Tamura T, Miyoshi Y, Kunitomo K, Udaka H, Takehara H. Nationwide survey of choledochal cysts. Analysis of coexistent anomalies, complications and surgical treatment in 645 cases. Surg Gastroenterol 1984; 3:69-73. [PMID 6085899]
14. Okada A, Nakamura T, Higaki J, Okumura K, Kamata S, Oguchi Y. Congenital dilatation of the bile duct in 100 instances and its relationship with anomalous junction. Surg Gynecol Obstet 1990; 171:291-8. [PMID 1699293]
15. Ono J, Sakoda K, Akita H. Surgical aspect ot cystic dilatation of the bile duct. An anomalous junction of the pancreaticobiliary tract in adults. Ann Surg 1982; 195:203-8. [PMID 7055397]
16. Todani T, Watanabe Y, Fujii T, Uemera S. Anomalous arrangement of the pancreatobiliary ductal system in patients with a choledochal cyst. Am J Surg 1984; 147:672-6. [PMID 6202164]
17. Oguchi Y, Okada A, Nakamura T, Okumura K, Miyata M, Nakao K, Kawashima Y. Histopathologic studies of congenital dilatation of the bile duct as related to an anomalous junction of the pancreaticobiliary ductal system: clinical and experimental studies. Surgery 1988; 103:168-73. [PMID 3340986]
18. Nagata E, Sakai K, Kinoshita H, Hirohashi K. Choledochal cyst: complications of anomalous connection between the choledochal and pancreatic duct and carcinoma of the biliary tree. World J Surg 1986; 10:102-10. [PMID 3962321]
19. Williamson RCN, Cooper MJ. Resection in chronic pancreatitis. Br J Surg 1987; 74:807-12. [PMID 3664247]
20. Cooper MJ, Williamson RC. Conservative pancreatectomy. Br J Surg 1985; 72:801-3. [PMID 4041711]
21. Yamashiro Y, Miyano T, Suruga K, Shimomura H, Suda K, Matsumoto M, Nittono H. Experimental study of the pathogenesis of choledochal cyst and pancreatitis, with special reference to the role of bile acids and pancreatic enzymes in the anomalous choledocho-pancreatico ductal junction. J Pediatr Gastroenterol Nutr 1984; 3:721-7. [PMID 6568275]
22. Price L, Kozarek R, Agoff N. Squamous cell carcinoma arising within a choledochal cyst. Dig Dis Sci 2008; 53:2822-5. [PMID 18274902]