CASE REPORT
JOP. J Pancreas (Online) 2010 Jul 5; 11(4):393-395.
Isolated Pancreatic Tuberculosis Mimicking Focal Pancreatitis and Causing Segmental Portal Hypertension
Surinder S Rana, Deepak K Bhasin, Chalapathi Rao, Kartar Singh
Department of Gastroenterology, Post Graduate Institute of Medical Education and Research (PGIMER), Sector 12. Chandigarh, India
ABSTRACT
Context Isolated pancreatic tuberculosis is a common mimicker of pancreatic malignancy and a common presentation is abdominal pain. However, segmental portal hypertension is very uncommon. Case report A case of isolated pancreatic tuberculosis mimicking focal pancreatitis and causing segmental portal hypertension is presented. Conclusion A histological or microbiological diagnosis of the presence of pancreatic masses is necessary to detect potentially treatable diseases, such as tuberculosis, in endemic countries like India.
INTRODUCTION
Pancreatic tuberculosis is very rare and it closely resembles a pancreatic malignancy, both clinically and radiologically [1]. Therefore, most cases of pancreatic tuberculosis have been diagnosed after surgery carried out for a suspected malignancy [2]. However, improvement in imaging techniques and the resulting image-guided interventions have helped us in the preoperative diagnosis of pancreatic masses. We present a rare case of isolated pancreatic tuberculosis that mimicked focal pancreatitis and caused segmental portal hypertension.
CASE REPORT
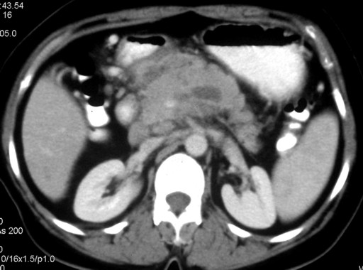
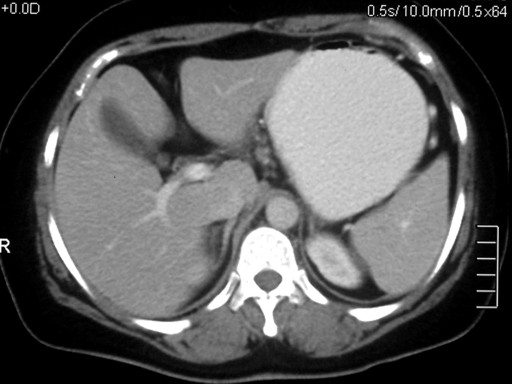
A 40-year-old female presented with abdominal pain of three months duration. The pain was located in the upper abdomen with radiation to the back. There were no exacerbating factors and the pain subsided with the ingestion of oral opioids. The patient also complained of weight and appetite loss. There was no history of alcohol ingestion. Her laboratory studies revealed an elevated erythrocyte sedimentation rate (46 mm in first hour; reference range: 0-20 mm) and were otherwise unremarkable. Serum amylase was 320 IU/L (reference range: 0-160 IU/L). A chest radiograph did not reveal any abnormality. Ultrasound of the abdomen did not reveal any abnormality and the pancreas was obscured by the bowel gases. Contrast-enhanced computerized tomography (CECT) of the abdomen demonstrated the bulky head and body of the pancreas with heterogeneous areas of non-enhancement suggestive of necrosis and peripancreatic fat stranding (Figure 1). The splenic vein was not visualized which was suggestive of thrombosis. The CECT findings were suggestive of focal pancreatitis involving the head and body of the pancreas with splenic vein thrombosis. As the patient had no history of severe pain which required admission, had ongoing chronic pain with loss of weight and appetite and a bulky head and body of the pancreas, image-guided fine needle aspiration was carried out to exclude a pancreatic malignancy. The cytological examination of the CT-guided fine needle aspiration revealed caseous necrosis. No acid-fast bacilli could be demonstrated. The Mantoux test was negative. However, a culture of the aspirated material demonstrated the growth of Mycobacterium tuberculosis. The patient was treated with anti-tubercular therapy for twelve months (four drugs for two months and two drugs for ten months). The patient improved with the therapy and was asymptomatic after completing two months of therapy. A repeat CECT of the abdomen performed after completion of the therapy revealed a normal pancreas with no focal lesions (Figure 2). The splenic vein was attenuated and collaterals were noted at perigastric, perisplenic and gastrohepatic locations (Figure 3). No varices were noted on upper gastrointestinal endoscopy. After four months of follow-up, the patient is asymptomatic.

|
Figure 1. Contrast-enhanced computerized tomography (CECT) showing the bulky head and body of the pancreas with heterogeneous areas of non-enhancement suggestive of necrosis and peripancreatic fat stranding. |
|
|

|
Figure 2. Contrast-enhanced computerized tomography (CECT) of the abdomen performed after completion of the therapy showing a normal pancreas with no focal lesion. |
|
|
|
|

|
Figure 3. Contrast-enhanced computerized tomography (CECT) showing an attenuated splenic vein and collaterals noted at perigastric, perisplenic and gastrohepatic location. |
|
|
|
|
DISCUSSION
Abdominal tuberculosis includes the infection of varying combinations of the intestinal tract, peritoneum, lymph nodes and solid organs, such as the liver, spleen, and pancreas. Involvement of solid abdominal organs is usually seen in association with miliary tuberculosis. Isolated abdominal organ involvement, especially of the pancreas, is unusual, even in the setting of miliary disease (ranging from 2.1 to 4.7%) [3, 4]. Postmortem analysis of 300 miliary tuberculosis patients over twelve years in India did not reveal even one with pancreatic involvement [3]. This is probably due to the antibacterial effect of the pancreatic enzymes [1].
Pancreatic tuberculosis usually affects young adults having a mean age of approximately 40 years and with equal sex distribution. Higher incidences have been observed in endemic areas and in the immunocompromised population. It has been speculated that tubercular involvement of the pancreas might occur as a result of direct extension, lymphohematogenous dissemination, and reactivation of a previous abdominal focus or immune reaction to generalized tuberculosis [5, 6].
The clinical and radiological findings of pancreatic tuberculosis usually mimic pancreatic malignancy as a result of common features such as weight loss, anorexia, abdominal pain, jaundice and a pancreatic mass [2, 3, 4, 5, 6, 7, 8, 9, 10, 11, 12, 13, 14, 15]. Both tend to occur in the head and uncinate process, probably due to the rich dual vascular supply [7]. Other rare presentations, such as acute pancreatitis, portal hypertension, gastrointestinal bleeding, diabetes mellitus and obstructive jaundice have also been described in the published literature [2, 8, 9, 10, 11, 12, 13, 14, 15]. A case report of pancreatic tuberculosis presenting as a head mass along with a pancreaticobiliary fistula has also been reported [14]. The Mantoux test may also be negative because of poor nutritional status leading to a weak immune response as happened in our case.
The imaging findings may suggest the possibility of tuberculosis, but none of the findings are pathognomic for pancreatic tuberculosis. The CT findings include hypodense lesions and irregular borders usually in the head of the pancreas, diffuse enlargement of the pancreas or enlarged peripancreatic lymph nodes. The presence of hypodense lymph nodes with rim enhancement in the peripancreatic region, ascites and/or mural thickening affecting the ileocecal region may suggest the possibility of tuberculosis [16]. MRI findings of focal pancreatic tuberculosis include a sharply delineated mass located in the pancreatic head, showing heterogeneous enhancement. These lesions usually are hypointense on fat-suppressed T1-weighted images and show a mixture of hypo- and hyper-intensity on T2-weighted images [17]. The common bile duct and the pancreatic duct have been reported to be normal in patients with pancreatic tuberculosis, even if the tuberculous mass is centrally positioned in the pancreatic head [17, 18]. This is in contrast to pancreatic adenocarcinoma where the pancreatic duct is dilated in centrally located tumors in the head region. The diffuse form of pancreatic tuberculosis is characterized by pancreatic enlargement with narrowing of the main pancreatic duct and heterogeneous enhancement [17]. On ERCP, bile cytology also shows poor results in diagnosing tuberculosis, although it may occasionally help in establishing the diagnosis [15, 19].
Since there are no clinical, laboratory or radiological features which are specific for pancreatic tuberculosis, histopathological or cytological as well as bacteriological confirmation is necessary for establishing the diagnosis of isolated pancreatic tuberculosis. Most of the cases in the literature have been diagnosed after laparotomy for a suspected pancreatic malignancy. Percutaneous imaging or endoscopic ultrasound-guided fine needle aspiration of the pancreatic lesion have been reported for establishing a diagnosis of pancreatic tuberculosis [20, 21, 22, 23]. Because of the rarity of this disease, there are no specific treatment guidelines. The majority of cases of pancreatic tuberculosis respond well to 6-12 months of anti-tubercular therapy and their prognosis is good [24].
In conclusion, isolated pancreatic tuberculosis is a rare entity and can be clinically elusive. Fine needle aspiration cytology and definitive biopsy are the primary techniques used for reaching a definitive diagnosis and avoiding surgery in people living in an endemic area who present with pancreatic mass lesions.
Received May 16th, 2010 - Accepted May 20th, 2010
Key words Endosonography; Pancreas; Tomography, X-Ray Computed; Tuberculosis
Conflict of interest The authors have no potential conflict of interest
Correspondence
Surinder
Singh Rana
Department of Gastroenterology
Postgraduate Institute of Medical Education and Research (PGIMER)
Chandigarh
India-160012
Phone: +91-172.274.9123
Fax: +91-172.274.4401
E-mail: drsurinderrana@yahoo.co.in; sonalisurinder@yahoo.co.in
References
1. Yokoyama T, Miyagawa S, Noike T, Shimada R, Kawasaki S. Isolated pancreatic tuberculosis. Hepatogastroenterology 1999; 46:2011-14. [PMID 10430386]
2. Woodfield JC, Windsor JA, Godfrey CC, Orr DA, Officer NM. Diagnosis and management of isolated pancreatic tuberculosis: recent experience and literature review. ANZ J Surg 2004; 74:368-71. [PMID 15144259]
3. Bhansali SK. Abdominal tuberculosis. Experiences with 300 cases. Am J Gastroenterol 1977; 67:324-37. [PMID 879148]
4. Auerbach O. Acute generalized miliary tuberculosis. Am J Pathol 1944; 210:121-36. [PMID 19970738]
5. Stambler JB, Klibaner MI, Bliss CM, Lamont JT. Tuberculous abscess of the pancreas. Gastroenterology 1982; 83:922-5. [PMID 7106522]
6. Stock KP, Riemann H, Stadler W, Rosch W. Tuberculosis of the pancreas. Endoscopy 1981; 13:178-80. [PMID 7250088]
7. Teo LLS, Venkatesh SK, Ho KY. Clinic in diagnostic imaging. Singapore Med J 2007; 48:687-92. [PMID 17609835]
8. Foo FJ, Verbeke CS, Guthrie JA, Ala A, Menon KV. Pancreatic and peripancreatic tuberculosis mimicking malignancy. JOP. J Pancreas (Online) 2007; 8:201-5. [PMID 17356244]
9. Singh DK, Haider A, Tatke M, Kumar P, Mishra PK. Primary pancreatic tuberculosis masquerading as a pancreatic tumor leading to Whipple's pancreaticoduodenectomy. A case report and review of the literature. JOP. J Pancreas (Online) 2009; 10:451-6. [PMID 19581756]
10. Tan KK, Chen K, Liau KH, Ho CK. Pancreatic tuberculosis mimicking pancreatic carcinoma: series of three cases. Eur J Gastroenterol Hepatol 2009; 21:1317-9. [PMID 19474749]
11. Dang S, Atiq M, Saccente M, Olden KW, Aduli F. Isolated tuberculosis of the pancreas: a case report. JOP. J Pancreas (Online) 2009; 10:64-6. [PMID 19129619]
12. Morán Sánchez S, Rincón Fuentes JP, Nicolas de Prado I, Martínez Madrid OJ, Candel Erenas JM, García Pérez B, et al. Pancreatic tuberculosis with duodenal fistula. Gastroenterol Hepatol 2007; 30:457-60. [PMID 17949612]
13. Pandya G, Dixit R, Shelat V, Dixit K, Shah N, Shah K. Obstructive jaundice: a manifestation of pancreatic tuberculosis. J Indian Med Assoc 2007; 105:133-4. [PMID 17824465]
14. Nakai Y, Tsujino T, Kawabe T, Kogure H, Sasaki T, Yamamoto N, et al. Pancreatic tuberculosis with a pancreaticobiliary fistula. Dig Dis Sci 2007; 52:1225-8. [PMID 17372824]
15. Sachdev A, D'Cruz S, Chauhan S, Thakur R, Kapoor V, Handa U. Pancreaticobiliary tuberculosis diagnosed by endoscopic brushings. JOP. J Pancreas (Online) 2006; 7:665-9. [PMID 17095849]
16. Takhtani D, Gupta S, Suman K, Kakkar N, Challa S, Wig JD, Suri S. Radiology of pancreatic tuberculosis: a report of three cases. Am J Gastroenterol 1996; 91:832-4. [PMID 8792708]
17. De Backer AI, Mortele KJ, Bomans P, De Keulenaer BL, Vanschoubroeck IJ, Kockx MM. Tuberculosis of the pancreas: MRI features. AJR Am J Roentgenol 2005; 184:50-4. [PMID 15615950]
18. Evans JD, Hamanaka Y, Olliff SP, Neoptolemos JP. Tuberculosis of the pancreas presenting as metastatic pancreatic carcinoma. Dig Surg 2000; 17:183-7. [PMID 10781988]
19. Saluja SS, Ray S, Pal S, Kukaraja M, Srivastava DN, Sahni P, Chattopadhyay TK. Hepatobiliary and pancreatic tuberculosis: a two decade experience. BMC Surg 2007; 7:10. [PMID 17588265]
20. Song TJ, Lee SS, Park DH, Lee TY, Lee SO, Seo DW, et al. Yield of EUS-guided FNA on the diagnosis of pancreatic/peripancreatic tuberculosis. Gastrointest Endosc 2009; 69:484-91. [PMID 19231490]
21. Ahlawat SK. EUS-guided FNA diagnosis of pancreatic tuberculosis. Gastrointest Endosc 2007; 65:557-8. [PMID 17321273]
22. Itaba S, Yoshinaga S, Nakamura K, Mizutani T, Honda K, Takayanagi R, Yamada K. Endoscopic ultrasound-guided fine-needle aspiration for the diagnosis of peripancreatic tuberculous lymphadenitis. J Gastroenterol 2007; 42:83-86. [PMID 17322998]
23. Coriat R, Latournerie M, Galtier JB, Michiels C, Hillon P, Manfredi S. The role of echoendoscopic biopsy in diagnosing tuberculosis of pancreas. Gastroenterol Clin Biol 2008; 32:98-101. [PMID 18341981]
24. Chang WC, Chu HC, Tsai SH, Huang GS, Cheng MF, Yu CY. An extraordinary presentation. Am J Med 2009; 122:245-247. [PMID 19272485]