CASE REPORT
JOP. J Pancreas (Online) 2000; 1(4):208-210.
Microvascular Complications in Cystic Fibrosis-Related Diabetes Mellitus: a Case Report
1Adult Cystic Fibrosis Unit, University of Queensland. 2Department of Anatomical Pathology, The Prince Charles Hospital. 3Department of Renal Medicine and 4Department of Endocrinology, Royal Brisbane Hospital. Brisbane, Australia
ABSTRACT
Context The prevalence of cystic fibrosis-related diabetes mellitus is increasing and is associated with increased survival from cystic fibrosis. Case Report This study describes a case of the premature onset of disabling and widespread microvascular complications resulting from cystic fibrosis-related diabetes mellitus. Previously asymptomatic retinopathy was diagnosed on recognition of diabetic nephropathy. Conclusions The treatment of pulmonary exacerbations has become more complex due to the nephrotoxic potential of intravenous aminoglycoside drugs which are frequently used to control chronic Pseudomonas infection in cystic fibrosis.
INTRODUCTION
Cystic fibrosis-related diabetes mellitus (CFRD) develops in 10-25% of individuals with cystic fibrosis (CF) [1]. The prevalence of diabetic microangiopathy is unknown but end-organ effects have been reported [2]. Recent studies have demonstrated reduced survival and deteriorating nutritional status (independent of pulmonary function) in patients with CFRD [2]. We report a case of early-onset diabetic retinopathy and nephropathy in a woman with moderate bronchiectasis and a nine-year history of CFRD. This case demonstrates very early microvascular complications within nine years of diagnosis of CFRD.
CASE REPORT
A 21 year old woman with CF and CFRD developed renal failure after presenting with a pulmonary exacerbation caused by Pseudomonas aeruginosa. A diagnosis of CF was made at two months of age with an abnormal sweat chloride test. CFRD was diagnosed at age 12 and insulin therapy was begun. Diabetic control was complicated by frequent hyperglycemia (HbA1c 10-12%.) Her mother, half-sister and grandmother had type II diabetes mellitus controlled by diet and oral hypoglycemic agents. Her brother also had CF with CFRD.
Pulmonary exacerbations had been frequent in the preceding 18 months. Monitoring of tobramycin had not demonstrated toxic levels. Her forced expiratory volume in one second (FEV1) had ranged between 1.9-2.3 L (65-77% predicted).
In December 1998 she developed occipital headache which was relieved by amitriptyline and diclofenac. A brain CT scan was normal. In January 1999 she presented with a pulmonary exacerbation. Her serum creatinine was 0.26 mmol/L (reference interval: 0.035-0.130 mmol/L), and urea 27.3 mmol/L (reference interval: 2.4-8.4 mmol/L), compared with 0.09 mmol/L and 5.6 mmol/L one month earlier. Following cessation of diclofenac and intravenous fluids, her creatinine rapidly fell to 0.09 mmol/L. A presumptive diagnosis of tubular damage, secondary to aminoglycosides and diclofenac was made. Renal complications of diabetes and amyloidosis were considered in the differential diagnosis.
Proteinuria was quantified at 582 mg/24h (low reference limit: 150 mg/24h) and creatinine clearance was 0.9 mL/s (reference interval: 1.3-2.2 mL/s). Renal ultrasound was normal. HLA Class II antigens included HLA-DR 14 and HLA-DR 16. Insulin antibodies (anti-GAD, anti-IA-2) were negative and co-existent juvenile-onset diabetes mellitus was considered unlikely.
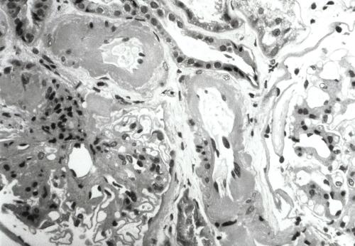
She presented again two months later with a pulmonary exacerbation, having a creatinine level of 0.22 mmol/L. Ceftazidime monotherapy and intravenous fluids were began. A renal biopsy demonstrated severe, diffuse glomerulosclerosis with arteriolar vasculopathy (Figure 1).

|
Figure 1. Renal biopsy. This demonstrates glomeruli with a global increase in the mesangial matrix. Arterioles demonstrate marked circumferential hyalinization with variable mural thickening and luminal narrowing. |
There were areas of attenuated tubular epithelial cells, consistent with mild tubular injury. There was no evidence of amyloidosis on standard stains using light microscopy and electronic microscopy. Immuno-fluorescence was negative. Lisinopril was begun and diabetic control was re-assessed. Lisinopril was discontinued due to severe symptomatic postural hypotension. Renal protein excretion persisted in the range 400-700 mg/24h. There was no clinical evidence of diabetic neuropathy. Retinal examination demonstrated proliferative diabetic retinopathy in her left eye, requiring laser therapy. The right eye demonstrated pre-proliferative changes.
Nine months later she developed frequent vomiting. Endoscopy detected residual food, and a nuclear gastric emptying study confirmed gastric stasis. During the subsequent 11 months, her serum creatinine level has ranged between 0.14-0.20 mmol/L. Retinal changes have progressed rapidly with reduced visual acuity (6/60 both eyes) requiring ongoing laser therapy including intra-vitreal laser.
DISCUSSION
Cystic fibrosis-related diabetes mellitus is a frequent complication of CF. The incidence of CFRD has increased with increasing survival and approaches 40% in patients over 30 years of age suffering from CF [3]. The principle mechanism is insulin deficiency, although evidence of insulin resistance has been reported [3, 4]. Mortality from CF increases six-fold where CFRD co-exists [5]. The risk factors for developing microangiopathic complications of CFRD include duration of diagnosis and level of glycemic control [4]. The case reported here demonstrates premature diabetic complications within nine years of diagnosis. Glycemic control was poor during the period following the diagnosis which may have contributed to the very early appearance of microvascular diabetic complications.
Renal complications of CFRD may be potentiated by prolonged courses of nephrotoxic antibiotics, particularly aminoglycosides. The management of pulmonary exacerbations of chronic Pseudomonas infection usually involves therapy of an aminoglycoside combined with a beta-lactam antibiotic. As antibiotic monotherapy has not been established as effective long-term management, Pseudomonas aeruginosa, utilizing therapy excluding an aminoglycoside may compromise treatment response. An important modality for the management of end-stage lung disease in cystic fibrosis is transplantation. Combined transplantation (liver-pancreas, renal-liver-pancreas) has been reported in patients with CF [6]. However, the role of renal-lung transplantation in this group is unknown. At the present time this patient is not being considered for renal or lung transplantation as both renal and pulmonary functions are stable.
The presence of advanced retinopathy is not surprising as a high proportion of patients with diabetic nephropathy at the time of diagnosis show evidence of retinopathy. Despite aggressive laser therapy, retinal damage has progressed and vision is threatened. Two manifestations of autonomic neuropathy have developed subsequent to the documentation of diabetic nephropathy and retinopathy, including delayed gastric emptying and orthostatic hypotension during periods of high ambient temperature. Vomiting as a result of poor gastric motility has been controlled by omeprazole and erythromycin.
This case has been a catalyst for establishing a tri-monthly CF-endocrine clinic (CF physician, endocrinologist, nurse specialist and dietitian) to optimize CFRD management, to identify microvascular complications and to provide a focus for education. Contrary to standard diabetic dietary management, calorie avoidance, in particular fat and carbohydrate restriction, is not indicated and increased insulin should be used to manage increased caloric intake [1]. Protein intake reduction should be avoided due to the risk of malnutrition. Specific advice to the patient can include attempting to slow the rate of carbohydrate absorption which can be achieved by adding fat to the diet, ensuring an even spread of carbohydrate through the day, and encouraging a complete carbohydrate intake.
In conclusion, with an increasing incidence of CFRD due to improved survival, the effective identification, management and monitoring of CFRD is important in the care of patients with CF. Significant asymptomatic end-organ damage is not often suspected, and needs to be actively looked for.
Key words Amitriptyline; Ceftazidime; Cystic Fibrosis (therapy); Diabetes Mellitus (therapy); Diabetic Angiopathies; Diabetic Nephropathies; Diabetic Retinopathy; Diclofenac; HLA-DR Antigens; Lisinopril
Abbreviations CF: cystic fibrosis; CFRD: cystic fibrosis-related diabetes mellitus
Correspondence
Scott C Bell
Department of Thoracic Medicine
University of Queensland
The Prince Charles Hospital
Rode Rd.
Chermside
Queensland
Australia 4032
Phone: +617-3350.8770
Fax: +617-3212.5630
E-mail address: bells@health.qld.gov.au
References
1. Moran A, Hardin D, Rodman D, Allen HF, Beall RJ, Borowitz D, et al. Diagnosis, screening and management of cystic fibrosis-related diabetes mellitus: a consensus conference report. Diabetes Res Clin Pract 1999; 45:61-73.
2. Lanng S, Thorsteinsson B, Lund-Andersen C, Nerup J, Schiotz PO, Koch C. Diabetes mellitus in Danish cystic fibrosis patients: prevalence and late diabetic complications. Acta Paediatr 1994; 83 72-7.
3. Lanng S, Thorsteinsson B, Nerup J, Koch C. Influence of the development of diabetes mellitus on clinical status in patients with cystic fibrosis. Eur J Pediatr 1992; 151:684-7.
4. Hardin DS, LeBlanc A, Lukenbaugh S, Para L, Seilheimer DK. Proteolysis associated with insulin resistance in cystic fibrosis. Pediatrics 1998; 101:433-7.
5. Cystic Fibrosis Foundation Patient Registry. Annual Data Report. Bethesda, Maryland. August 1997.
6. Stern RC, Mayes JT, Weber FL Jr, Blades EW, Schulak JA. Restoration of exocrine pancreatic function following pancreas-liver-kidney transplantation in a cystic fibrosis patient. Clin Transplant 1994 ; 8:1-4.