CASE REPORT
JOP. J Pancreas (Online) 2010 May 5; 11(3):234-236.
Successful Endoscopic Ultrasound-Guided Transduodenal Biliary Drainage Through a Pre-Existing Duodenal Stent
Paul J Belletrutti, Hans Gerdes, Mark A Schattner
Gastroenterology and Nutrition Service, Department of Medicine, Memorial Sloan-Kettering Cancer Center. New York, NY, USA
ABSTRACT
Context When ERCP fails in the setting of combined biliary and duodenal obstruction, EUS-guided biliary drainage has emerged as an alternate method of biliary decompression. Case report We present a case of a 40-year-old man with advanced pancreatic cancer and a pre-existing duodenal wall stent who subsequently develops jaundice due to biliary obstruction. An ERCP was technically unsuccessful as the papilla was inaccessible despite probing within the duodenal stent. Transduodenal biliary drainage was achieved using EUS guidance to create a choledochoduodenostomy tract. A fully covered metal biliary stent was then deployed through the mesh of the duodenal wall stent. The patient’s jaundice and pruritus subsequently resolved. Conclusion This is the first report of successful transduodenal EUS-guided biliary drainage performed through an existing enteral wall stent and can still be considered as an alternate mode of biliary drainage in this setting.
INTRODUCTION
In patients with existing duodenal wall stents who develop secondary malignant biliary obstruction, ERCP is often not possible due to tumor ingrowth or an inability to identify the ampulla. In this setting, EUS-guided transenteric biliary drainage has been introduced as an alternate mode of biliary decompression. We report the first case of EUS-guided transduodenal biliary stent placement through the mesh of an existing metal duodenal stent in a patient with malignant biliary and duodenal obstruction due to pancreatic cancer.
CASE REPORT
A 40-year-old man with metastatic pancreatic cancer presented with symptoms of gastric outlet obstruction. Cross-sectional imaging demonstrated gastric dilation and a thickened duodenum but no evidence of biliary obstruction. Liver enzymes and bilirubin were normal. Endoscopy was performed confirming obstruction of the first and second parts of the duodenum, including the area of the ampulla. Two overlapping self-expanding metal enteral stents (Wallflex, Boston Scientific Corporation, Natick, MA, USA) were placed to traverse the obstruction.
Two weeks later, the patient developed pruritus, jaundice and increased bilirubin (90 µmol/L; reference range: 0-17 µmol/L) that necessitated suspension of palliative chemotherapy. ERCP was attempted, but despite probing with a sphincterotome under fluoroscopy, the bile duct could not be cannulated due to diffuse tumor ingrowth and limited deflection of the duodenoscope within the enteral stent.
Thus, EUS-guided transduodenal biliary drainage (EUSBD) was performed. A linear array echoendoscope (GF-UCT140, Olympus America, Center Valley, PA, USA) was placed in the duodenal bulb allowing visualization of a dilated common bile duct (Figure 1). A 19-gauge FNA needle (Wilson-Cook Endoscopy, Winston-Salem, NC, USA) was used to perform a transduodenal puncture of the common bile duct through the proximal end of the duodenal stent. Bile was aspirated and a cholangiogram demonstrated good filling of the right and left duct systems with no evidence of a stricture proximal to the puncture site (Figure 2). Under fluoroscopy, a 0.035-inch straight guidewire (Jagwire, Boston Scientific Corporation, Natick, MA, USA) was passed into the biliary tree and directed toward the hilum. The FNA needle was exchanged for a biliary dilating balloon (Hurricane RX, Boston Scientific Corporation, Natick, MA, USA). The choledochoduodenostomy tract was dilated to 6 mm. A 10x60 mm fully covered self-expanding metal biliary stent (Wallfex®, Boston Scientific Corporation, Natick, MA, USA) was placed over the guidewire and deployed under fluoroscopy. One cm of the stent was left protruding into the duodenal bulb through the mesh at the proximal end of the duodenal stent (Figure 3). Good bile and contrast efflux was seen. The final fluoroscopic image did not demonstrate a bile leak (Figure 4). Post-procedure CT imaging demonstrated good positioning of the biliary stent and no evidence of a bile leak (Figure 5).

|
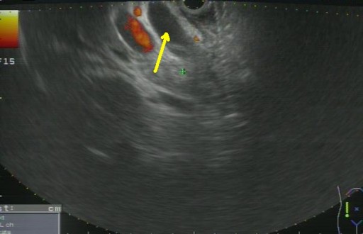
Figure 1. Linear EUS image from duodenal bulb demonstrating dilated common bile duct (yellow arrow). |
|
|

|
Figure 2. Cholangiogram obtained through 19-gauge FNA needle in distal common bile duct. |
|
|

|
Figure 3. Deployed metal biliary stent protruding through mesh of duodenal wall stent. |
|
|

|
Figure 4. Final fluoroscopic image of biliary and duodenal stents. |
|
|



|
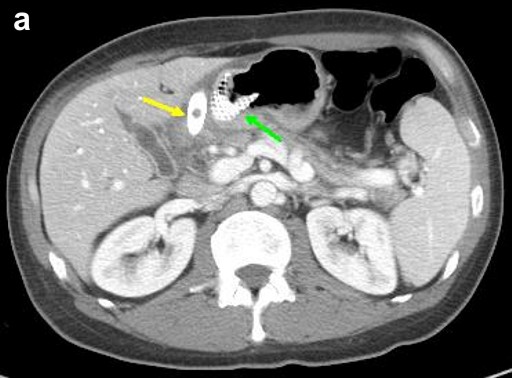
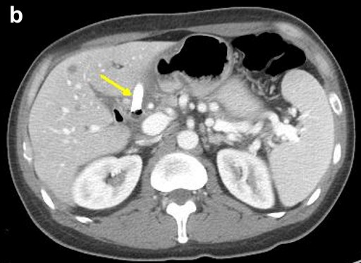
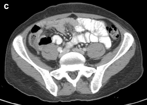
Figure 5. Post-procedure CT demonstrating: a. juxtaposition of metal biliary (yellow arrow) and duodenal (green arrow) stents with no evidence of a bile leak; b. fully covered metal biliary stent (yellow arrow) terminating in the common bile duct; c. no evidence of pelvic ascites to suggest a bile leak. |
|
|
Post-procedure pain and nausea resolved within 48 hours. The patient was discharged from hospital 4 days later. At the time of discharge, the patient was tolerating a full diet. One week post-procedure, the bilirubin had dropped to 56 µmol/L (pre-procedure: 90 µmol/L) and normalized within two weeks. Three months later, the bilirubin remains normal (7 µmol/L). The patient continues to show no signs or symptoms of gastric outlet obstruction or stent dysfunction. He is currently free of pruritus and undergoing palliative chemotherapy.
DISCUSSION
Patients with advanced pancreatic cancer often develop malignant obstruction of the common bile duct and duodenum. In the setting of simultaneous biliary and duodenal obstruction, combined placement of self-expanding metal biliary and duodenal stents can be performed safely with a high technical success rate in experienced centers [1]. If biliary obstruction is not apparent at the time of clinically significant gastric outlet obstruction, enteral stenting is usually performed in isolation. If possible, the enteral stent is placed proximally or distally to the ampulla to preserve future biliary access. Even if the ampulla is covered by an enteral stent, ERCP with placement of a biliary stent can be subsequently performed by cannulating through the mesh of the duodenal stent [2]. Argon plasma coagulation can also be used to create a larger fenestration at the site of the ampulla to improve biliary access [3]. Thus ERCP is still the endoscopic procedure of choice.
If ERCP fails in this scenario, EUSBD has emerged as an alternate intervention. High technical and functional success has been reported with two drainage approaches: 1) transduodenal via the common bile duct and 2) transgastric via a left hepatic duct. The overall technical success rate is 80-90% [4, 5, 6, 7]. These series all report resolution of jaundice and pruritus following stent placement. Complications occur at a rate of 1-20% and include bile peritonitis, pneumoperitoneum, bleeding and cholangitis. The optimal choice of stent is unclear. The use of plastic stents was first described, but re-intervention was often required due to dysfunction over time. With uncovered metal stents, bile leak/peritonitis is a concern, thus fully covered metal stents have been employed more recently [4].
In the case presented here, when ERCP failed, EUSBD was successfully performed through the mesh of the existing duodenal stent. This is the first such report to our knowledge. The bile duct was readily seen through the duodenal bulb and manipulation of the 19-gauge FNA needle, dilating balloon and biliary stent were not hampered by the presence of the duodenal stent. Although the biliary stent protruded into the lumen of the duodenal stent, this did not interfere with passage of gastric contents as the patient was able to maintain adequate oral nutrition through his subsequent period of chemotherapy. We have not observed duodenal injury secondary to the bare metal end of the biliary stent (Wallfex® , Boston Scientific Corporation, Natick, MA, USA). In general, metal biliary stents are less prone to dysfunction over time and placing a fully covered stent across the choledochoduodenostomy tract may reduce the risk of bile leak. Others have reported similar success and safety with the initial use of metal biliary stents for EUSBD [4, 7].
If ERCP fails, even in the presence of a pre-existing duodenal wall stent, EUSBD can provide effective biliary decompression and should be considered as a viable alternative to percutaneous or surgical techniques.
Received January 29th, 2010 - Accepted February 18th, 2010
Key words Cholangiography; Endosonography; Pancreatic Neoplasms; Therapeutics
Abbreviations EUSBD: endoscopic ultrasound-guided transduodenal biliary drainage
Conflict of interest The authors have no potential conflict of interest
Correspondence
Mark
A Schattner
Gastroenterology and Nutrition Service
Department of Medicine
Memorial Sloan-Kettering Cancer Center
1275 York Avenue
Room S-536
New York, NY 10065
USA
Phone: +1-212.639.3148
Fax: +1-212.717.3113
E-mail: schattnm@mskcc.org
References
1. Maire F, Hammel P, Ponsot P, Aubert A, O'Toole D, Hentic O, Levy P, Ruszniewski P. Long-term outcome of biliary and duodenal stents in palliative treatment of patients with unresectable adenocarcinoma of the head of the pancreas. Am J Gastroenterol 2006; 101:735-42. [PMID 16635221]
2. Vanbiervliet G, Demarquay JF, Dumas R, Caroli-Bosc FX, Piche T, Tran A. Endoscopic insertion of biliary stents in 18 patients with metallic duodenal stents who developed secondary malignant obstructive jaundice. Gastroenterol Clin Biol 2004; 28:1209-13. [PMID 15671930]
3. Topazian M, Baron TH. Endoscopic fenestration of duodenal stents using argon plasma to facilitate ERCP. Gastrointest Endosc 2009; 69:166-9. [PMID 19111700]
4. Park DH, Koo JE, Oh J, Lee YH, Moon SH, Lee SS, et al. EUS-guided biliary drainage with one-step placement of a fully covered metal stent for malignant biliary obstruction: a prospective feasibility study. Am J Gastroenterol 2009; 104:2168-74. [PMID 19513026]
5. Yamao K, Bhatia V, Mizuno N, Sawaki A, Ishikawa H, Tajika M, et al. EUS-guided choledochoduodenostomy for palliative biliary drainage in patients with malignant biliary obstruction: results of long-term follow-up. Endoscopy 2008; 40:340-2. [PMID 18389451]
6. Taratino I, Barresi L, Repici A, Traina M. EUS-guided biliary drainage: a case series. Endoscopy 2008; 40:336-9. [PMID 18264890]
7. Will U, Thieme A, Fueldner F, Gerlach R, Waznar I, Meyer F. Treatment of biliary obstruction in selected patients by endoscopic ultrasonography (EUS)-guided transluminal biliary drainage. Endoscopy 2007; 39:292-5. [PMID 17357950]