CASE REPORT
JOP. J Pancreas (Online) 2010 May 5; 11(3):249-254.
The Natural History of a Branch Duct Intraductal Papillary Mucinous Neoplasm in a Patient with Lady Windermere Syndrome: A Case Report
Vien X Nguyen1, G Anton Decker1, Ananya Das1, M Edwyn Harrison1, Alvin C Silva2, Idris T Ocal3, Joseph M Collins2, Cuong C Nguyen1
Departments of 1Gastroenterology and Hepatology, 2Radiology and 3Laboratory Medicine and Pathology, Mayo Clinic. Scottsdale, AZ, USA
ABSTRACT
Context "Low-risk" branch duct intraductal papillary mucinous neoplasm (IPMN) is defined as pancreatic epithelial cellular proliferation of small branch ducts that lack malignant characteristics. At present, our understanding of the natural history of "low-risk" branch duct IPMN is still evolving. Lady Windermere syndrome is a disorder seen in non-smoking women with no pre-existing pulmonary disease affecting the lingula and/or right middle lobe with Mycobacterium avium-intracellulare complex. We present a case with pancreatic adenocarcinoma after a six-year surveillance of "low-risk" branch duct IPMN in an asymptomatic elderly white woman with Lady Windermere syndrome. Case report A 79-year-old woman was referred to our institution because of pancreatic cystic abnormalities and elevated carbohydrate antigen 19-9 (CA 19-9). While at our institution, she was also diagnosed with Lady Windermere syndrome. Multiple abdominal imaging studies, endoscopic retrograde cholangiopancreatography, computer tomography, and magnetic resonance cholangiopancreatography (MRCP) were performed in the ensuing 6 years, all consistent with "low-risk" branch duct IPMN. No progression was seen until year 6 when MRCP showed a 2 cm pancreatic cancer. Because of multiple comorbidities, the patient chose chemotherapy over a pancreaticoduodenectomy. She developed respiratory failure and died after one cycle of gemcitabine. Conclusions "Low-risk" branch duct IPMN may be a heterogeneous disease in which some cases can transform into malignant pancreatic neoplasms despite the absence of the so-called "high risk" features on imaging studies. Clinical management, therefore, requires individualized flexibility. In addition, when there is coexistence of Lady Windermere syndrome and pancreatic cancer, prompt diagnosis and treatment of Lady Windermere syndrome should be considered prior to chemoradiotherapy or surgery.
INTRODUCTION
Intraductal papillary mucinous neoplasm (IPMN) is defined as papillary proliferations of pancreatic mucin-producing epithelial cells with/without excessive mucin hypersecretion and/or cystic ductal dilation [1]. Currently, the classification of IPMN includes three groups: branch-duct type, main-duct type and mixed-duct type. Since it was first described in1982 [2], IPMN has been commonly detected due to increased use of high-resolution cross-sectional imaging. According to the Sendai International Consensus Guidelines [3], "low-risk" branch-duct IPMNs can be managed by a "watch and see" approach, except for those with signs and/or symptoms related to the cyst (pancreatitis), cyst size more than 30 mm, intraductal nodules, or cyst fluid cytology suspicious/positive for malignancy [3]. Based on a recent study, 84% of "low-risk" branch-duct IPMN showed no malignant changes after a 5-year follow-up [4]. However, emerging evidence indicates this entity may be associated with synchronous and/or metachronous pancreatic ductal carcinomas [5, 6, 7]. As a result, our understand of the natural history of "low-risk" branch-duct IPMN is still an enigma.
An elevated serum carbohydrate antigen 19-9 (CA 19-9) level is commonly seen in patients with pancreatic cancer [8, 9] but increased levels are also detected in other benign and malignant conditions [9, 10, 11]. A benign pulmonary disorder that is associated with an elevated CA 19-9 is Lady Windermere syndrome, which has high mortality if not treated promptly [11, 12, 13]. Lady Windermere syndrome is a bronchiectatic disease with pulmonary Mycobacterium avium-intracellulare complex infection affecting predominantly the right middle lobe and/or lingula and is commonly seen in non-smoking, elderly women with no pre-existing lung condition [12].
We report a case of coexisting "low-risk" branch-duct IPMN and Lady Windermere syndrome in an asymptomatic elderly woman who developed pancreatic adenocarcinoma 6 years after documented stability on multiple imaging studies. The natural history of "low-risk" branch-duct IPMN, the association of CA 19-9 with IPMN and Lady Windermere syndrome, and the challenge in management of pancreatic cancer with Lady Windermere syndrome are discussed.
CASE REPORT
A 79-year-old asymptomatic women was found to have a serum CA 19-9 of 210 U/mL (reference range: 0-37 U/mL) during a general medical examination in 2000; the CEA level was 1.8 ng/mL (reference range: 0-5.0 ng/mL). They were done by her primary care physician because of a family history of breast and ovarian cancers. Computer tomography (CT) and magnetic resonance imaging cholangiopancreatography (MRCP) examinations in 2000, 2001, and 2002 from an outside facility reported stable small cysts at the head of the pancreas. The patient had never smoked or been an alcohol drinker. She had no history of pancreatitis or abdominal trauma. Her past medical history was significant for recurrent pneumonia, partial hysterectomy, and gastroesophageal reflux disease. Upon referral to our institution in 2003, MRCP demonstrated several subcentimeter pancreatic cysts in communication with a non-dilated pancreatic duct; endoscopic cholangiopancreatography (ERCP) revealed a subcentimeter cyst in the pancreatic head, communicating with the main pancreatic duct (Figure 1). No pancreatic abnormalities were seen on endoscopic ultrasound (EUS). High resolution CT of the chest showed bronchiectasis predominately in the right middle lobe and lingula consistent with Lady Windermere syndrome (Figure 2). In 2005, the patient was hospitalized several times with the diagnosis of "community acquired pneumonia." Repeat high resolution CT of the chest showed worsening of bronchiectasis with Mycobacterium avium-intracellulare complex-positive sputum cultures. The Mycobacterium avium-intracellulare complex infection was not treated because the positive cultures were thought to be due to colonization. In 2006, the patient was hospitalized again for pneumonia and triple therapy (rifampin, ethambutol, azithromycin) was started for Lady Windermere syndrome. Due to side effects, the therapy was discontinued after 3 months of treatment.



|
Figure 1. "Low-risk" branch duct intraductal papillary mucinous neoplasm. 3-D MRCP (a.) image shows several small cystic lesions (white arrow and arrowheads) projecting near the main pancreatic duct (yellow arrows). Subsequent sequential ERCP images (b., c.) show slow opacification of the cystic lesion in the pancreatic head (white arrows) with increasing contrast administration, corresponding to the cystic lesion identified on MRCP (a.: white arrow). Although a bridging duct or stalk was not well visualized, communication with the main pancreatic duct is inferred due to its opacification with contrast. Other cysts in the pancreatic tail are not seen possibly because of viscous mucin or papillary growth obstructing the ductal lumen. |
|
|


|
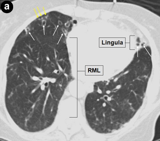
Figure 2. Lady Windermere syndrome. Axial CT image (a.) shows bronchiectasis (white arrows) in the right middle lobe (RML) and lingula with clustered small nodules (yellow arrows) representing bronchioles filled with mucus, fluid, or pus ("tree-in-bud" appearance). In addition, coronal CT image (b.) shows "tree-in-bud" appearance involving both upper lobes as well as the lower lungs (yellow arrows); this is consistent with Mycobacterium avium-intracellulare complex infection. |
|
|
The patient remained clinically stable for 3 years without any overt gastrointestinal or constitutional symptoms. Because the CA 19-9 continued to fluctuate, and because of the patient’s concerns that the pancreatic cysts may become malignant, a very rigorous surveillance program was carried out with two ERCPs (2003 and 2004), three EUSs (2003, 2004, and 2006), three CTs (2003, 2004, and 2006) and five MRCPs (2003, 2004, 2005, 2006, and 2008) (Figure 3). The main pancreatic duct was not dilated on any of the examinations. The subcentimeter cyst was present in the head of the pancreas, which were unchanged compared to imaging studies from 2003 to 2008. However, in 2009, an MRCP revealed a 2 cm solid mass in the pancreatic head, adjacent to the cyst and compressing common bile and pancreatic ducts (Figure 4). Immunochemical findings of the fine-needle aspiration (FNA) specimen were diagnostic for ductal adenocarcinoma (Figure 5). Because of unresolving Lady Windermere syndrome, patient age, and patient preference, chemotherapy would be more appropriate than surgery. The patient received one cycle of gemcitabine and developed respiratory distress with atrial fibrillation, resulting in prolonged hospitalization. Eventually, the patient expired from respiratory failure.

|
Figure 3. CA 19-9 level and different imaging modalities during follow-up of "low-risk" branch-duct IPMN. Lady Windermere syndrome and "low-risk" branch-duct IPMN are both associated with raised CA 19-9. We suspected elevated CA 19-9 level was secondary to both disease processes. Arrow legend: yellow: EUS (n=3); green: ERCP (n=2); purple: pancreatic CT protocol (n=3); blue: MRCP (n=5). |
|
|


|
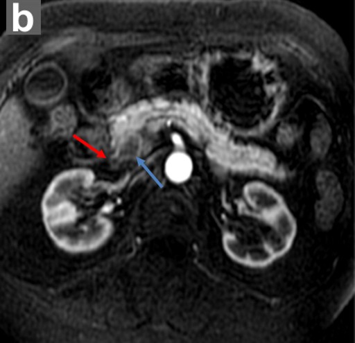
Figure 4. Pancreatic ductal adenocarcinoma. An annual follow-up 3-D MRCP (a.) image shows loss of continuity of the distal common bile duct (red arrow) and pancreatic duct (yellow arrow) due to an obstructing mass. Note that this finding is adjacent to the subcentimeter cyst identified on the prior MRCP and ERCP (white arrow). Axial, enhanced MR image (b.) in the same patient on the same date shows that the mass (blue arrow) is hypovascular relative to normal enhancing pancreatic parenchyma. This is the typical enhancement pattern of a ductal adenocarcinoma. Red arrow identifies the close proximity of the common bile duct with the pancreatic mass. |
|
|


|
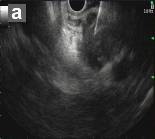
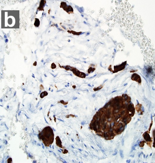
Figure 5. EUS-FNA (a.) of pancreatic ductal adenocarcinoma. Immunohistochemical staining of the FNA specimen (b.) for cytokeratins, AE1:AE3 (Ventana, Tucson, AZ, USA; predilute), and CAM5.2 (Becton Dickinson, San Jose, CA, USA; diluted 1:1) shows strong reactivity of the malignant epithelial cells infiltrating a desmoplastic stroma. Both stains are performed on BenchmarkXT® (Ventana, Tucson, AZ, USA) stainer with ultraView® (Ventana, Tucson, AZ, USA) multimer detection system. |
|
|
DISCUSSION
Cystic neoplasms of the pancreas are a frequent incidental finding due to the increased use of high resolution abdominal radiographic imaging. Serous cystic neoplasm of the pancreas has a characteristic honeycomb appearance on CT scan, MRCP or EUS and does not have malignant potential. Mucinous producing neoplasms of the pancreas are classified by the World Health Organization (WHO) as either mucinous cystic neoplasm or IPMN and do have the potential for malignant transformation. Mucinous cystic neoplasm is usually solitary, occurring exclusively in women, and almost always found in the pancreatic body or tail. The presence of ovarian-type stroma is required to diagnosis mucinous cystic neoplasm [3]. IPMN is a premalignant lesion involving mucin-producing epithelial cells of the pancreatic ducts. IPMN affects men and women equally, usually locates in the head of the pancreas, and may be multiple. Using imaging studies and/or histology, IPMNs are further subdivided into three types: main-duct IPMN, branch-duct IPMN, and mixed-duct IPMN. Main-duct IPMN is characterized by dilation of the main duct (more than 1 cm), whereas branch-duct IPMN consists of the side-branch mucinous cyst without main duct involvement. A connecting side branch between the cyst and the main pancreatic duct is frequently identified on pancreatic imaging. Mixed-duct IPMN has features of both branch-duct and main-duct IPMNs. Histologically, IPMN is classified into four subgroups, based on cellular dysplasia: adenoma, borderline dysplasia, carcinoma in situ, and invasive carcinoma [14]. When comparing to mucinous cystic neoplasm, main-duct and mixed-duct IPMNs, the management and surveillance of branch-duct IPMN is less straightforward.
The prevalence of malignancy in main/mixed-duct IPMN is significantly higher than branch-duct IPMN. According to a pooled analysis by the Sendai group, 70% and 43% of main/mixed-duct IPMNs vs. 25% and 15% of branch-duct IPMN have carcinoma in situ and invasive carcinomas, respectively [3]. As a result, the guidelines recommend resection for all patients with main/mixed-duct IPMNs who are good surgical candidates and have reasonable life expectancy. For branch-duct IPMNs, resection is suggested for those who have symptoms associated with the cyst (pain or pancreatitis), cystic lesion more than 30 mm, intramural nodules or cyst fluid cytology suspicious/positive for malignancy. Otherwise, a "watch and see" approach with frequent surveillance is recommended for "low-risk" branch-duct IPMNs. If the cyst is less than 1 cm and if imaging studies show stability after 1 year, then the interval of surveillance can be lengthened to 2 years. Several prospective cohort studies have supported the conservative management of "low-risk" branch-duct IPMN [4, 15, 16]. Tanno et al. reported the longest follow-up (61 months) to date in 82 patients with "low-risk" branch-duct IPMNs [4]. It demonstrated that 84% of lesions were stable during the 5-year surveillance. More importantly, there was no invasive carcinoma in surgical specimens of branch-duct IPMNs that underwent resection due to an increase in branch duct diameter or the appearance of intraductal nodules. Other studies demonstrated high sensitivity (97.3-100%) of the Sendai consensus guidelines for predicting malignancy of branch-duct IPMN; however, their specificity is low (23-30.8%) [17, 18, 19].
Emerging evidence indicates that 4-9% of patients with "low-risk" branch-duct IPMNs have synchronous and/or metachronous pancreatic ductal adenocarcinomas [5, 6, 7]. It is well known that "low-risk" branch-duct IPMNs are multifocal in up to 64% of patients [15]. As a result, the "field defect" hypothesis has proposed to suggest that "low-risk" branch-duct IPMN is a precancerous state which could predispose the entire pancreas to the development of malignancy [20]. Similar to conventional pancreatic ductal adenocarcinoma, IPMN may progress from adenoma to invasive carcinoma through borderline dysplasia and carcinoma in situ [14]. Invasive IPMN is either colloid carcinoma or tubular adenocarcinoma, which is morphologically identical to pancreatic ductal adenocarcinoma [21]. One of the criticisms of the study by Uehara et al. [6] was that only two out of five patients who developed pancreatic adenocarcinomas distinct from branch-duct IPMNs underwent surgical resection. Without histological examination of surgical specimen, pancreatic ductal adenocarcinoma cannot be distinguished from invasive IPMN by FNA. Even if histopathology is available, differentiation between pancreatic ductal adenocarcinoma and tubular adenocarcinoma associated with IPMN would still be a challenge [21]. Recent genetic analyses reveal that chromosomal aberrations of invasive IPMN are significant different from pancreatic ductal adenocarcinoma [22]. In our case, pancreatic cancer was diagnosed by FNA. As a result, we were unable to determine whether the mass was a "degeneration" of "low-risk" branch-duct IPMN (invasive IPMN) or a distinct pancreatic ductal adenocarcinoma.
Despite the lack of surgical histopathology to establish a definitive diagnosis, this case demonstrates that our understanding of the natural history of "low-risk" branch-duct IPMN is still evolving. The patient’s pancreatic cysts lacked the Sendai consensus guidelines for resection [3], yet a year later, we detected that she still developed pancreatic cancer. Had we strictly followed the surveillance algorithm recommended by the Sendai group, it would have taken us longer to detect the cancer (two years later instead of only one year later). In addition, the natural history of "low-risk" branch-duct IPMN should be further clarified because if the presence of "low-risk" branch-duct IPMN creates a "field defect" within the entire pancreas, then we have to completely redefine the risk of pancreatic cancers in patients with "low-risk" branch-duct IPMNs [23]. Future research should characterize the molecular defects of these tumors to determine prognosis and guide treatment. At the present time, clinicians should be aware of a possible association existing between pancreatic cancer and "low-risk" branch-duct IPMN.
Besides pancreatic cancer, CA 19-9 is also known to be elevated in cancer of other organs (thyroid, lung, liver, gastrointestinal tract, biliary tract, ovary). In addition, elevated CA 19-9 levels can be observed in benign conditions affecting the above organs (thyroiditis, non-tuberculosis mycobacterium infection, hepatitis, cholangitis, uterine myoma, etc.). Moreover, some IPMNs have markedly elevated CA 19-9 [20, 24]. A benign condition that is associated with elevated CA 19-9 level and Mycobacterium avium-intracellulare complex infection in the lingula and/or right middle lobe of nonsmoking women with no pre-existing lung disease is called Lady Windermere syndrome. The "traditional" belief was that positive sputum cultures for Mycobacterium avium-intracellulare complex in these patients likely represented airway colonization. However, according to the American Thoracic Society, true colonization is rare [25]. A landmark study showed high mortality if Mycobacterium avium-intracellulare complex infection was untreated. Prince et al. demonstrated 19% mortality rate from respiratory failure in patients with Lady Windermere syndrome [13]. An elevated CA 19-9 level corresponds to deterioration of Lady Windermere syndrome because of pathological changes and chronic inflammation of epithelial cells in the bronchioles causing by Mycobacterium avium-intracellulare complex infection [10, 11]. In our case, we hypothesized that elevated CA 19-9 level was secondary to "low-risk" branch-duct IPMN and Lady Windermere syndrome.
The diagnosis of Lady Windermere syndrome was delayed in our patient mainly due to nonspecific symptoms on presentation and unawareness of this entity among clinicians. In addition, because of an outdated belief, Mycobacterium avium-intracellulare complex-positive sputum cultures were misinterpreted as airway colonization which further delayed the diagnosis. Once Lady Windermere syndrome was recognized, the patient was unable to finish the appropriate therapy due to side effects.
We report the first case of the coexistence of Lady Windermere syndrome, "low-risk" branch-duct IPMN, and pancreatic cancer. There was no guidance in the current literature on how to manage these coexisting diseases effectively. The patient died from respiratory failure after one cycle of gemcitabine for pancreatic cancer. We suspected that respiratory failure was secondary to worsening Mycobacterium avium-intracellulare complex infection resulting from chemotherapy-induced immunosuppression.
In conclusion, branch-duct IPMN is likely a heterogeneous disease and even some patients with "low-risk" branch-duct IPMNs may develop pancreatic cancer. The clinical management of these patients, therefore, requires individualized flexibility. In addition, when there is a coexistence of Lady Windermere syndrome and pancreatic cancer, prompt diagnosis and treatment of Lady Windermere syndrome should be considered in order to prevent the high mortality associated with this syndrome prior to induction chemoradiotherapy or surgery.
Received December 1st, 2009 - Accepted March 3rd, 2010
Key words Bronchiectasis; Carcinoma, Pancreatic Ductal; Mycobacterium Infections, Atypical; Mycobacterium avium Complex; Neoplasms, Cystic, Mucinous, and Serous; Pancreatic Diseases
Disclaimers None
Sources of support None
Correspondence
Vien
X Nguyen
Mayo Clinic
13400 East Shea Blvd
Scottsdale, AZ, 85259
USA
Phone: +1-480.301.6990
Fax: +1-480.301.6737
E-mail: nguyen.vien@mayo.edu
References
1. Longnecker DS, Adler G, Hruban RH, Klöppel G. Intraductal papillary-mucinous neoplasms of the pancreas. In: Hamilton SR, Aaltonen LA, eds. Pathology and Genetics of Tumours of the Digestive System. WHO Classification of Tumours. Lyon, France: IARC Press, 2000:237-40. [ISBN 9789283224105]
2. Ohashi K, Murakami Y, Maruyama M. Four cases of mucin-producing cancer of the pancreas on specific findings of the papilla of Vater. Prog Dig Endosc 1982; 20:348-51.
3. Tanaka M, Chari S, Adsay V, Fernandez-del Castillo C, Falconi M, Shimizu M, et al. International consensus guidelines for management of intraductal papillary mucinous neoplasms and mucinous cystic neoplasms of the pancreas. Pancreatology 2006; 6:17-32. [PMID 16327281]
4. Tanno S, Nakano Y, Nishikawa T, Nakamura K, Sasajima J, Minoguchi M, et al. Natural history of branch duct intraductal papillary-mucinous neoplasms of the pancreas without mural nodules: long-term follow-up results. Gut 2008; 57:339-43. [PMID 17660227]
5. Yamaguchi K, Ohuchida J, Ohtsuka T, Nakano K, Tanaka M. Intraductal papillary- mucinous tumor of the pancreas concomitant with ductal carcinoma of the pancreas. Pancreatology 2002; 2:484-90. [PMID 12378117]
6. Kamisawa T, Tu Y, Egawa N, Nakajima H, Tsuruta K, Okamoto A. Malignancies associated with intraductal papillary mucinous neoplasm of the pancreas. World J Gastroenterol 2005; 11:5688-90. [PMID 16237766]
7. Uehara H, Nakaizumi A, Ishikawa O, Iishi H, Tatsumi K, Takakura R, et al. Development of ductal carcinoma of the pancreas during follow-up of branch duct intraductal papillary mucinous neoplasm of the pancreas. Gut 2008; 57:1561-5. [PMID 18477671]
8. Goonetilleke KS, Siriwardena AK. Systematic review of carbohydrate antigen (CA 19-9) as a biochemical marker in the diagnosis of pancreatic cancer. Eur J Surg Oncol 2007; 33:266-70. [PMID 17097848]
9. Kim BJ, Lee KT, Moon TG, Kang P, Lee JK, Kim JJ, et al. How do we interpret an elevated carbohydrate antigen 19-9 level in asymptomatic subjects? Dig Liver Dis 2009; 41:357-9. [PMID 19162573]
10. Yamazaki Y, Kubo K, Takamizawa A, Yamamoto H, Honda T, Sone S. Markers indicating deterioration of pulmonary Mycobacterium avium-intracelluare infection. Am J Respir Crit Care Med 1999; 160:1851-5. [PMID 10588596]
11. Watanabe K, Fujimura M, Kasahara K, Yasui M, Myou S, Watanabe A, Nakao S. Characteristic of pulmonary Mycobacterium avium-intracellulare complex (MAC) infection in comparison with those of tuberculosis. Respir Med 2003; 97:654-9. [PMID 12814150]
12. Reich JM, Johnson RE. Mycobacterium avium complex pulmonary disease presenting as an isolated lingular or middle lobe pattern. The Lady Windermere syndrome. Chest 1992; 101:1605-9. [PMID 1600780]
13. Prince DS, Peterson DD, Steiner RM, Gottlieb JE, Scott R, Israel HL, et al. Infection with Mycobacterium avium complex in patients without predisposing conditions. N Engl J Med 1989; 321:863-8. [PMID 2770822]
14. Klöppel G, Solcia, E, Longnecker DS, CapellaC, Sobin LH. Histological Typing of Tumours of the Exocrine Pancreas (WHO. World Health Organization. International Histological Classification of Tumours). Berlin: Springer, 1996. [ISBN 3540602801]
15. Salvia R, Crippa S, Falconi M, Bassi C, Guarise A, Scarpa A, Pederzoli P. Branch-duct intraductal papillary mucinous neoplasms of the pancreas: to operate or not to operate? Gut 2007; 56:1086-90. [PMID 17127707]
16. Rautou PE, Lévy P, Vullierme MP, O'Toole D, Couvelard A, Cazals-Hatem D, et al. Morphologic changes in branch duct intraductal papillary mucinous neoplasms of the pancreas: a midterm follow-up study. Clin Gastroenterol Hepatol 2008; 6:807-14. [PMID 18304885]
17. Pelaez-Luna M, Chari ST, Smyrk TC, Takahashi N, Clain JE, Levy MJ, et al. Do consensus indications for resection in branch duct intraductal papillary mucinous neoplasm predict malignancy? A study of 147 patients. Am J Gastroenterol 2007; 102:1759-64. [PMID 17686073]
18. Tang RS, Weinberg B, Dawson DW, Reber H, Hines OJ, Tomlinson JS, et al. Evaluation of the guidelines for management of pancreatic branch-duct intraductal papillary mucinous neoplasm. Clin Gastroenterol Hepatol 2008; 6:815-19. [PMID 18602036]
19. Nagai K, Doi R, Ito T, Kida A, Koizumi M, Masui T, et al. Single-institution of the international consensus guidelines for treatment of branch duct intraductal papillary mucinous neoplasms of the pancreas. J Hepatobiliary Pancreat Surg 2009:16:353-8. [PMID 19280108]
20. Sohn TA, Yeo CJ, Cameron JL, Iacobuzio-Donahue CA, Hruban RH, Lillemoe KD. Intraductal papillary mucinous neoplasms of the pancreas: an increasingly recognized clinicopathologic entity. Ann Surg 2001; 234:313-22. [PMID 11524584]
21. Adsay NV. The "new kid on the block:" intraductal papillary mucinous neoplasms of the pancreas: current concepts and controversies. Surgery 2003; 133:459-63. [PMID 12773972]
22. Fritz S, Fernandez-del Castillo C, Mino-Kenudson M, Crippa S, Deshpande V, Lauwers GY, et al. Global genomic analysis of intraductal papillary mucinous neoplasms of the pancreas reveals significant molecular differences compared to ductal adenocarcinom. Ann Surg 2009; 249:440-7. [PMID 19247032]
23. Weitz J, Buchler W. Branch intraductal papillary mucinous neoplasms: just the tip of the of the iceberg? Gut 2008; 57:1490-1. [PMID 18941002]
24. Azar C, Van de Stadt J, Rickaert F, Deviere J, Baize M, Klöppel G, et al. Intraductal papillary mucinous tumuors of the pancreas. Clinical and therapeutic issues in 32 patients. Gut 1996; 39:457-64. [PMID 8949654]
25. Diagnosis and treatment of disease caused by nontuberculous mycobacteria. This official statement of the American Thoracic Society was approved by the Board of Directors, March 1997. Medical Section of the American Lung Association. Am J Respir Crit Care Med 1997; 156:S1-25. [PMID 9279284]