CASE REPORT
JOP. J Pancreas (Online) 2010 May 5; 11(3):255-257.
Heterotopic Pancreas in the Stomach: A Case Report and a Brief Review of the Literature
Uday A Gokhale1, Annu Nanda1, Rajasekharan Pillai1, Dhia Al-Layla2
Departments of 1Pathology and 2Gastroenterology, Sultan Qaboos Hospital. Salalah, Sultanate of Oman
ABSTRACT
Context Heterotopic pancreas is the presence of pancreatic tissue found outside the usual anatomical location of the pancreas. It is a rare condition and can occur anywhere in the gastrointestinal tract with the stomach and the small bowel being the most common sites. It is usually asymptomatic and often discovered incidentally. Case report We report the case of a 48-year-old Omani female who presented with recurrent epigastric pain. Endoscopy revealed a sessile mass in the antrum which was snared and showed heterotopic pancreatic tissue in the submucosa on histopathology. Conclusion Heterotopic pancreas should be considered in the differential diagnosis of gastric mass lesions.
INTRODUCTION
Heterotopic pancreas is defined as the presence of abnormally located pancreatic tissue, without any anatomical or vascular continuity with the normal pancreas [1, 2, 3, 4, 5]. Other terms which have been used are pancreatic rest, and ectopic, aberrant and accessory pancreas [1]. The reported incidence in autopsy studies is 0.5-13%. It is encountered in 0.5% of upper abdominal laparotomies [2]. Heterotopic pancreas is found at different sites in the gastrointestinal tract and can present at any age but is most often discovered in the fifth and sixth decades of life, and has a male preponderance with male to female ratio of 3:1 [3, 4]. It has rarely been reported in pediatric cases [5, 6]. In various series of histologically verified cases of heterotopic pancreas, the incidence in the pediatric age group varies from 6 to 16% [7, 8, 9]. The diameter of a heterotopic pancreas generally ranges from 1 to 4 cm [1]. It is usually silent but it may become clinically evident when complicated by inflammation, bleeding, obstruction or malignant transformation [10].
CASE REPORT
A 48-year-old Omani female presented with recurrent epigastric pain of four months duration. Her past medical history and physical examination were unremarkable. A complete blood count and routine biochemical investigations, including serum amylase, were within reference limits. She underwent an esophagogastroduodenoscopy which showed a sessile mass in the gastric antrum with apparently normal covering mucosa (Figure 1).The endoscopic diagnosis was a sessile antral polyp. The esophagus and duodenum were unremarkable. The lesion was snared and submitted in toto for histopathological assessment.


|
Figure 1. Endoscopic view of a solid, sessile polypoid mass under the intact overlying mucosa in the gastric antrum. |
|
|
On gross examination, the lesion was a pale brown, oval, sessile mass with a broad base measuring 9x5x4 mm. On dissection, the cut surface was pale yellow.
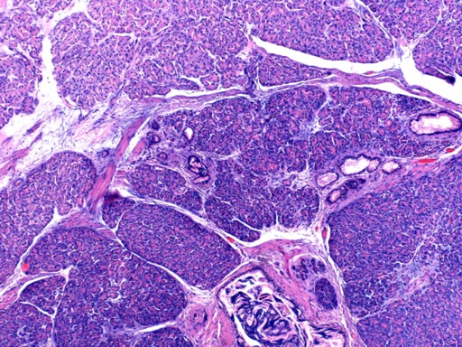
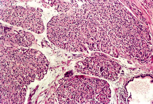
The histological examination revealed the presence of pancreatic tissue in the submucosa of the stomach made up of pancreatic acini and a few dilated ducts interspersed by smooth muscle bundles (Figures 2, 3 and 4). The overlying mucosa showed congestion and mild edema. Islets of Langerhans were not demonstrated.

|
Figure 2. Photomicrograph of a resected specimen showing pancreatic tissue in the submucosa with overlying gastric mucosa (H&E, x50). |
|
|

|
Figure 3. Pancreatic acini and ducts with a few interspersed smooth muscle fibers (H&E, x50). |
|
|

|
Figure 4. Photomicrograph showing pancreatic acini with a dilated duct (H&E, x100). |
|
|
DISCUSSION
As stated by Hunt and Bonesteel [11], the first case of heterotopic pancreas was reported by Schultz in 1729, and Klob provided its histological confirmation in 1859 [12]. It has a genetic make-up, a physiological function and a local environmental exposure similar to that of the pancreas [13]. It is believed that, during embryonic rotation of the foregut and fusion of the dorsal and ventral parts of the pancreas, small parts are separated from it, and continue to develop in the ectopic location [1].The two best known histogenetic theories are based on the fetal migration of pancreatic cells and on the penetration of immature gastric mucosa inside the submucosa followed by its pancreatic metaplasia [14].
The usual locations of heterotopic pancreas are in the stomach in 25-38% cases, the duodenum in 17-36% and the jejunum in 15-22% of cases [13]. Other unusual sites are the esophagus, gallbladder, common bile duct, papilla of Vater, Meckel’s diverticulum, umbilicus, mesocolon, mesentery, spleen, mediastinum and the fallopian tubes [2, 13, 15].
In the stomach, more than 95% of the lesions are found in the antrum, for the most part situated close to the greater curvature [10]. The involvement of submucosal layer, muscularis propria and subserosal layer occurs in 73%, 17% and 10%, respectively [13]. In some cases, it stretches through several or all of the layers of the stomach [1]. In our case, the lesion was in the antrum and was located the in submucosa.
Heterotopic pancreas is usually asymptomatic, but may become clinically evident depending on the size, location and pathological changes [15]. Lesions larger than 1.5 cm in diameter are more likely to cause pain. Pain is the most common symptom and is probably caused by the secretion of hormones and enzymes by the heterotopic pancreas, resulting in inflammation or chemical irritation of the tissue involved [13]. Our case presented with pain. Patients can also present with upper gastrointestinal bleeding, gastric ulceration and gastric outlet obstruction [3]. As the heterotopic pancreas functions like a normal pancreas, lesions which can affect the pancreas may develop in the ectopic tissue, such as that which happens in pancreatitis, cysts, pseudocysts, abscesses, exocrine and endocrine neoplasms and occasionally in ductal adenocarcinoma [2, 14]. Gastric outlet obstruction and intussusception are the most common clinical presentations in symptomatic heterotopic pancreas in the pediatric age group [5]. It can be associated with esophageal atresia, umbilical polyps, Meckel’s diverticulum, malrotation, an annular pancreas, a choledochal cyst and extrahepatic biliary atresia [5, 16].
Despite the development of modern diagnostic modalities, the diagnosis of heterotopic pancreas remains challenging. The preoperative imaging studies (ultrasonography, endoscopic ultrasonography and computerized tomography) are not very specific [15]. The classic endoscopic appearance is that of a small, well-circumscribed submucosal protrusion covered with normal mucosa. The characteristic central umbilication may not be seen in all cases, especially if the lesions are small [3]. Moreover, the surface biopsies are often normal as they fail to include tissue beneath the normal mucosa [15]. Hence, in the majority of cases, the diagnosis is made by histological evaluation following resection of a symptomatic or suspicious lesion [10]. Intraoperative frozen section studies are useful to confirm the diagnosis and exclude the most common differential diagnoses of heterotopic pancreas, such as gastrointestinal stromal tumor, gastrointestinal autonomic nerve tumor, lymphoma, carcinoid tumor and other malignancies [4, 13]. Recently, the combination of endoscopic ultrasonography with fine needle aspiration cytology from submucosal lesions is also gaining popularity due to its sensitivity which ranges from 80 to100% [13].
The Heinrich classification system is frequently used to classify heterotopic pancreas: type 1 (containing acini, islets and ducts), type 2 (acini and ducts, no islets) and type 3 (ducts alone). Smooth muscle fibers may be seen through out the lesion [2, 3, 15]. Thus, our case can be categorized as type 2, showing pancreatic acini and dilated ducts.
When heterotopic pancreas results in symptoms, the lesion should be resected. The management of asymptomatic, histologically verified heterotopic pancreas or those found incidentally during other surgery is under debate. Some authors recommend resection in these asymptomatic cases to prevent later complications [1, 3, 14]. Although, in the majority of the cases of heterotopic pancreas reported surgical resections were done; endoscopic mucosal removal can be an attractive, less invasive option for the resection of accessible lesions [17]. In our case, the endoscopic diagnosis was a gastric polyp and a complete endoscopic removal of the lesion was carried out without any complications.
In conclusion, heterotopic pancreas is a rare congenital lesion, often diagnosed incidentally on histopathological examination and should be considered in the differential diagnosis of gastric mass lesions.
Received February 2nd, 2010 - Accepted March 4th, 2010
Key words Choristoma; Endoscopy; Pancreas; Stomach
Conflict of interest The authors have no potential conflict of interest
Correspondence
Uday
A Gokhale
P.O. Box 1094
G.P.O. Salalah-211
Sultanate of Oman
Mobile phone: +968-9909.2620
Fax: +968-2121.6060
E-mail: uday_gokhale@rediffmail.com
References
1. Jiang LX, Xu J, Wang XW, Zhou FR, Gao W, Yu GH, et al. Gastric outlet obstruction caused by heterotopic pancreas: A case report and a quick review. World J Gastroenterol 2008; 14:6757-9. [PMID 19034986]
2. Song DE, Kwon Y, Kim KR, Oh ST, Kim JS. Adenocarcinoma arising in gastric heterotopic pancreas: A case report. J Korean Med Sci 2004; 19:145-8. [PMID 14966359]
3. Agale SV, Agale VG, Zode RR, Grover S, Joshi S. Heterotopic pancreas involving stomach and duodenum. J Assoc Physicians India 2009; 57:653-7. [PMID 20214004]
4. Yuan Z, Chen J, Zheng Q, Huang XY, Yang Z, Tang J. Heterotopic pancreas in the gastrointestinal tract. World J Gastroenterol 2009; 15:3701-3. [PMID 19653355]
5. Ogata H, Oshio T, Ishibashi H, Takano S, Yagi M. Heterotopic pancreas in children: review of the literature and report of 12 cases. Pediatr Surg Int 2008; 24:271-5. [PMID 18183407]
6. De' Angelis GL, Del Rossi C, Romanini E, Dodi I, Ghinelli C. The aberrant pancreas in the pediatric age group: case report and review of the literature. Pediatr Surg Int 1992; 2:214-5. ]
7. Ormarsson OT, Gudmundsdottir I, Mårvik R. Diagnosis and treatment of gastric heterotopic pancreas. World J Surg 2006; 30:1682-9. [PMID 16902740]
8. Lai EC, Tompkins RK. Heterotopic pancreas. Review of a 26 year experience. Am J Surg 1986; 151:697-700. [PMID 3717502]
9. Tanaka K, Tsunoda T, Eto T, Yamada M, Tajima Y, Shimogama H, et al. Diagnosis and management of heterotopic pancreas. Int Surg 1993; 78:32-5. [PMID 8473080]
10. Seneviratne SA, Ramanayaka IT, Samarasekara DN. Heterotopic pancreas in the body of stomach. Ceylon Med J 2009; 54:57-8. [PMID 19670552]
11. Hunt VC, Bonesteel HTS. Meckel's diverticulum containing aberrant pancreas. Arch Surg 1934; 28:425-39. ]
12. Klob J. Pancreas accessorium. Zeitschrift der Kaiserl. Königl. Gesellschaft der Aerzte zu Wien 1859; 15:732. ]
13. Christodoulidis G, Zacharoulis D, Barbanis S, Katsogridakis E, Hatzitheofilou K. Heterotopic pancreas in the stomach: A case report and literature review. World J Gastroenterol 2007; 13:6098-100. [PMID 18023108]
14. Sadeghi NR, Godambe A, Shienbaum AJ, Alloy A. Premalignant gastric heterotopic pancreas. Gastroenterol Hepatol 2008; 4:218-21. ]
15. Gurocak B, Gokturk HS, Kayacetin S, Bakdik S. A rare case of heterotopic pancreas in the stomach which caused closed perforation. Neth J Med 2009; 67:285-7. [PMID 19687523]
16. Prasad TR, Gupta SD, Bhatnagar V. Ectopic pancreas associated with a choledochal cyst and extrahepatic biliary atresia. Pediatr Surg Int 2001; 17:552-4. [PMID 11666059]
17. Khasab MA, Cummings OW, DeWitt JM. Ligation assisted endoscopic mucosal resection of gastric heterotopic pancreas. World J Gastroenterol 2009; 15:2805-8. [PMID 19522034]