CASE REPORT
JOP. J Pancreas (Online) 2010 May 5; 11(3):262-265.
Acute Pancreatitis Complicated by Jejunal Hematoma in a Patient on Anti-Coagulants and Anti-Platelets
Vui Heng Chong, Norwani Basir, Aziman Bin Yaakub
Gastroenterology Unit, Department of Medicine, Raja Isteri Pengiran Anak Saleha (RIPAS) Hospital. Bandar Seri Begawan, Brunei Darussalam
ABSTRACT
Context Pancreatitis can be associated with significant complications. Bowel hematoma is a rare complication and the second part of the duodenum is the most commonly affected site. Hematomas affecting other parts of the bowel are extremely rare. Case report A 53-year-old female with a history of atrial fibrillation and ischemic heart disease on anticoagulants and aspirin presented with abdominal pain of a few days duration which had worsened prior to presentation. This was associated with abdominal distension, vomiting and melena. Laboratory investigations showed elevated serum amylase, coagulopathy and severe anemia. Computed tomography imaging showed a jejunal hematoma and pancreatitis with peripancreatic inflammation. She responded to conservative treatment in addition to correction of the coagulopathy and a blood transfusion. Her symptoms were resolved within a few days and a repeat computed tomography scan two months later showed complete resolution of the hematoma and the pancreatitis. Conclusion Our case demonstrates a rare complication of acute pancreatitis in a patient with risk factors.
INTRODUCTION
Acute pancreatitis can be associated with significant complications and these can be categorized into either early or late and local or systemic. [1, 2] Significant local complications include necrosis, pseudocysts and abscess whereas significant systemic complications include shock, respiratory failure, renal failure, metabolic derangements and disseminated intravascular coagulopathy. When inadequately treated, these complications are associated with a high mortality rate. Hemorrhagic complications are less common and these include gastrointestinal bleeding which can be immediate or delayed, a spontaneous splenic hematoma and a bowel hematoma [3, 4, 5]. In the case of a bowel hematoma, the duodenum is the most commonly affected site. We report a rare case of a jejunal hematoma secondary to acute gallstone pancreatitis in a patient who was on anti-coagulants and anti-platelets for atrial fibrillation and ischemic heart disease.
CASE REPORT
A 53-year-old female presented to the Emergency Room with a two-day history of hematuria and melena, and a one day history of worsening central abdominal pain, distension and vomiting of bilious fluid. She had initially experienced epigastric and right upper quadrant pain a few days before her latest symptoms. This pain resolved without treatment and she mentioned that the subsequent pain was different in character from the initial pain. Her past medical history included thyrotoxicosis under treatment, hypertension, ischemic heart disease and atrial fibrillation. Her medications consisted of carbimazole, enteric-coated aspirin, omeprazole, atenolol and warfarin. She denied using any other medications in the weeks before this current illness. There was definitely no history of abdominal trauma or any flu-like illness before the onset of the symptoms. On examination, she looked pale and had tachycardia of 140 beats per minute (irregular) but was maintaining her blood pressure at 130/70 mmHg. Abdominal examination showed a distended abdomen which was not tender and not guarded. Laboratory investigations showed severe anemia (hemoglobin 5.2 g/dL, reference range: 12-16 g/dL; leukocytosis 15.0 x109/L, reference range: 4.0-11.0 x109/L), coagulopathy higher than the designated therapeutic target (international normalized ratio, INR 4.7) and mild renal impairment (serum urea 13 mmol/L, reference range: 2.9-7.1 mmol/L; creatinine 171 μmol/L, reference range: 35-88 μmol/L). Serum calcium and lipid profiles were normal. When she had attended her routine anti-coagulation clinic appointment the previous day, her INR was 6.5 and the warfarin was stopped. Apart from this, her anticoagulation control had previously been satisfactory. At that point, her abdominal symptoms were still bearable. Abdominal radiography showed small dilated fluid-filled bowel loops suggesting bowel obstruction. Her urine was clear but urinalysis detected red blood cells.
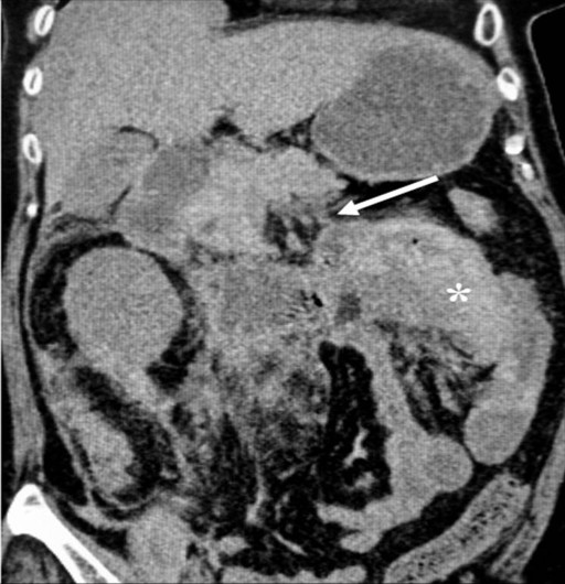
She was immediately referred to the surgical service and an urgent computed tomography (CT) scan was carried out. This showed a thickened jejunal loop consistent with a hematoma, a dilated fluid-filled proximal duodenum and stomach, a solitary gallstone and a swollen pancreatic head and body with peripancreatic fat streaking, consistent with acute pancreatitis (Figure 1). The jejunal hematoma was located in the proximal jejunum and extended for approximately 10 cm. Close inspection of the pancreatic and common bile duct did not reveal any abnormalities, such as dilatation, stones or pancreas divisum. There were no abnormalities, such as calculus, seen in the urinary system to account for the hematuria. Laboratory investigations revealed an elevated serum amylase level of 1,962 IU/L (reference range: 0-120 IU/L) and normal liver function with the exception of elevated serum bilirubin of 78 μmol/L (reference range: 0-34 μmol/L). A review of her previous liver function tests carried out when she had previously complained of intermittent mild epigastric pain had shown intermittent cholestatic profiles which had resolved spontaneously. Unfortunately, she was not evaluated with an ultrasound scan of the abdomen. Given the history of abdominal pain characteristic of biliary colic which had preceded the abdominal distension, a diagnosis of acute gallstone pancreatitis complicated by a jejunal hematoma was made. This was despite the minimally abnormal liver profiles on admission.

|
Figure 1. Reconstructed CT scan showing a jejunal hematoma (asterisk) and an irregular slightly swollen pancreatic body with peripancreatic fat streaking (arrow), dilated fluid-filled duodenum and stomach secondary to jejunal obstruction. |
|
|
As the patient was mildly symptomatic and stable, she was referred to the gastroenterology service and was admitted to the general medical ward. She was kept nil orally, started on intravenous fluids and omeprazole, and given blood and fresh frozen plasma transfusions to correct the anemia and the coagulopathy. Her condition remained stable and her symptoms improved over the next few days. Her abdominal distension and vomiting regressed and she was allowed oral feeding. Echocardiography showed a normal left atrium without any evidence of clots. She was discharged seven days after admission but was not started on her aspirin and warfarin. Repeat urinalysis before discharge showed resolution of the microscopic hematuria. A repeat CT scan two months later showed that the hematoma and the other abnormalities seen on the initial CT scan had completely regressed (Figure 2). She has begun her anti-coagulants again with close monitoring and has remained well on follow-up without further abdominal pain or hematuria.

|
Figure 2. Reconstructed CT scan showing complete resolution of the jejunal hematoma and bowel obstruction. A solitary gallstone was also seen in the fundus of the gallbladder. |
|
|
DISCUSSION
Bowel hematoma can be categorized as either spontaneous or traumatic. A traumatic hematoma is by far the most common and is often associated with blunt trauma injuries or found after endoscopy with biopsies [6, 7, 8]. However, in the latter, risk factors, such as hematological disorders, liver cirrhosis or anti-platelets agents, are usually present. Spontaneous or non-traumatic hematomas are most commonly associated with over-anticoagulation, hematological disorders, vascular disorders or malignancies [9, 10, 11, 12, 13, 14]. Pancreatitis is a recognized but rare cause of bowel hematoma [5, 15, 16]. The duodenum is the most commonly affected site in acute pancreatitis due to its close proximity to the pancreas.
The exact mechanism underlying the formation of a bowel hematoma in pancreatitis is unknown and can vary depending on the underlying etiology. Two hypotheses have been postulated by van Spreeuwel et al. [17]. The first hypothesis involves the presence of ectopic pancreatic tissue within the bowel wall. Similar to normal pancreatic tissue, an ectopic pancreas can develop acute inflammation, and the subsequent necrosis can lead to hematoma formation. However, ectopic pancreatic tissue is rare and is most commonly located in the antrum of the stomach. The second mechanism postulated suggested that the leakage of the pancreatic enzymes in pancreatitis can result in tissue damage leading to local necrosis and hematoma formation. However, these mechanisms have only been postulated for a duodenal hematoma in association with pancreatitis. Whether similar events can lead to a bowel hematoma in another part of the bowel is not known. In our patient, there was prominent peripancreatic inflammation in close proximity to the proximal portion of the jejunal hematoma. This suggests that the pancreatitis contributed to the jejunal hematoma. The use of anti-platelets and anti-coagulants, which were in excess of the correct therapeutic dosage at that time, could have contributed greatly to the underlying pathogenesis in our patient.
The management of a jejunal hematoma is similar to the management of a bowel hematoma in another location. In some cases, surgery has been performed mainly because the diagnoses were not known pre-operatively [9]. As most hematomas will resolve with conservative and supportive treatment, non-surgical interventions are currently recommended [9]. Keeping patient nil orally, intravenous supplements and corrections of coagulopathy and anemia are the mainstays of treatment. In most cases, the hematoma, depending on its size, will resolve in a few days. Our patient had complete obstruction of the jejunum and started to feel better within a few days of conservative treatment even before the hematoma had regressed significantly. This is not surprising as even minor resolution of a hematoma allows re-establishment of lumen patency in the patient, thus allowing symptom improvement.
Interestingly, apart from being caused by a bowel hematoma, acute pancreatitis can be caused by a duodenal hematoma due to compression of the pancreatic duct [18, 19]. Therefore, in certain cases, it may be difficult to distinguish which of these events came first. In our case, given the history of colicky epigastric and right upper quadrant pain preceding the bowel distension by a few days, we are certain that the pancreatitis was the initial event leading to the hemorrhagic complication. Furthermore, the hematoma was localized in the jejunum, too far away to cause pancreatic duct obstruction.
In conclusion, our case points out that a hematoma can occur in any part of the gastrointestinal tract in close proximity to the pancreas, especially in patients with risk factors, such as anticoagulant and anti-platelet therapy. Management includes standard treatment for bowel obstruction and correction of the coagulopathy and anemia.
Received February 17th, 2010 - Accepted March 23rd, 2010
Keywords Anticoagulants; Hematoma; Intestinal Obstruction; Pancreatitis
Conflict of interest The authors have no potential conflict of interest
Correspondence
Vui
Heng Chong
Department of Medicine
Raja Isteri Pengiran Anak Saleha (RIPAS) Hospital
Bandar Seri Begawan
Brunei Darussalam
Phone: +673-877.8218
Fax: +673-224.2690
E-mail: chongvuih@yahoo.co.uk
References
1. Balthazar EJ. Complications of acute pancreatitis: clinical and CT evaluation. Radiol Clin North Am 2002; 40:1211-27. [PMID 12479707]
2. Banks PA. Acute and chronic pancreatitis. In: Feldman M, Scharschmidt BF, Sleisenger MH, Editors. Sleisenger and Fordtran's Gastrointestinal and Liver Disease. Pathophysiology, Diagnosis and Management. 6th ed. Philadelphia: W.B. Saunders Company; 1998:Chap 48:809-62. [ISBN 721662919]
3. Maus TP. Pseudoaneurysm hemorrhage as a complication of pancreatitis. Mayo Clin Proc 1993; 68:895-6. [PMID 8371607]
4. Patel VG, Eltayeb OM, Zakaria M, Fortson JK, Weaver WL. Spontaneous subcapsular splenic hematoma: a rare complication of pancreatitis. Am Surg 2005; 71:1066-9. [PMID 16447482]
5. Ma JK, Ng KK, Poon RT, Fan ST. Pancreatic-induced intramural duodenal haematoma. Asian J Surg 2008; 31:83-6. [PMID 18490220]
6. Diniz-Santos DR, de Andrade Cairo RC, Braga H, Araújo-Neto C, Paes IB, Silva LR. Duodenal hematoma following endoscopic duodenal biopsy: a case report and review of the existing literature. Can J Gastroenterol 2006; 20:39-42. [PMID 16432559]
7. Zinelis SA, Hershenson LM, Ennis MF, Boller M, Ismail-Beigi F. Intramural duodenal hematoma following upper gastrointestinal endoscopic biopsy. Dig Dis Sci 1989; 34:289-91. [PMID 2644113]
8. Wang JY, Ma CJ, Tsai HL, Wu DC, Chen CY, Huang TJ, Hsieh JS. Intramural duodenal hematoma and hemoperitoneum in anticoagulant therapy following upper gastrointestinal endoscopy. Med Princ Pract 2006; 15:453-5. [PMID 17047354]
9. Abbas MA, Collins JM, Olden KW, Kelly KA. Spontaneous intramural small-bowel hematoma: clinical presentation and long-term outcome. Arch Surg 2002; 137:306-10. [PMID 11888455]
10. Chaiteerakij R, Treeprasertsuk S, Mahachai V, Kullavanijaya P. Anticoagulant-induced intramural intestinal hematoma: report of three cases and literature review. J Med Assoc Thai 2008; 91:1285-90. [PMID 18788704]
11. Manu N, Martin L. Warfarin-induced small bowel obstruction. Clin Lab Haematol 2005; 27:350-2. [PMID 16178921]
12. Esaki M, Matsumoto T, Nakamura S, Kawasaki M, Iwai K, Hirakawa K, et al. GI involvement in Henoch-Schönlein purpura. Gastrointest Endosc 2002; 56:920-3. [PMID 12447314]
13. Chou AL, Tseng KC, Hsieh YH, Feng WF, Tseng CA. Intramural duodenal hematoma as a complication of pancreatic cancer. Endoscopy 2007; 39(Suppl 1):E107-8. [PMID 17440877]
14. Katsumi A, Matsushita T, Hirashima K, Iwasaki T, Adachi T, Yamamoto K, et al. Recurrent intramural hematoma of the small intestine in a severe hemophilia A patient with a high titer of factor VIII inhibitor: a case report and review of the literature. Int J Hematol 2006; 84:166-9. [PMID 16926140]
15. Fukunaga N, Ishikawa M, Yamamura Y, Ichimori T, Sakata A. Spontaneous intramural duodenal hematoma complicating acute pancreatitis. Surgery 2009; Jul 28. [PMID 19744447]
16. Chou CT, Chen RC, Yang AD. Gastric subserosal hematoma developing from focal pancreatitis: a case report. Kaohsiung J Med Sci 2009; 25:45-8. [PMID 19289318]
17. van Spreeuwel JP, van Gorp LH, Bast TJ, Nadorp JH. Intramural hematoma of the duodenum in a patient with chronic pancreatitis. Endoscopy 1981; 13:246-8. [PMID 7297515]
18. Chen PS, Cheng HC, Sheu BS. Diffuse intramural duodenal hematoma complicated by lethal necrotizing pancreatitis after endoscopic duodenal biopsy. Endoscopy 2008; 40(Suppl 2):E143. [PMID 18633880]
19. Sadry F, Hauser H. Fatal pancreatitis secondary to iatrogenic intramural duodenal hematoma: a case report and review of the literature. Gastrointest Radiol 1990; 15:296-8. [PMID 2210198]