CASE REPORT
JOP. J Pancreas (Online) 2010 May 5; 11(3):270-272.
Combination of Right Nephrectomy and Total Pancreaticoduodenectomy for von Hippel-Lindau Disease
Nikolaos Arkadopoulos1, Konstantinos Karapanos1, Vaia Stafyla1, Anneza Yiallourou1, Andreas Koureas2, Agathi Kondi-Pafiti3, Vassilios Smyrniotis1
Departments of 1Surgery (Second), 2Radiology, and 3Pathology, Aretaieion Hospital, Athens University School of Medicine. Athens, Greece
ABSTRACT
Context Von Hippel-Lindau disease is an inherited syndrome of multiorgan neoplasia caused by a germline mutation in the von Hippel-Lindau gene and can include central nervous system tumors, renal cell carcinomas and benign pancreatic cystic tumors. Case report We report the case of a 56-year-old patient who had a past history of cerebellar hemangioblastoma and presented with abdominal pain. Imaging revealed renal tumors and multiple pancreatic tumors which caused duodenal and pancreatic duct compression. The patient was treated with a combination of radical right nephrectomy, total pancreaticoduodenectomy and splenectomy. Pathology identified a multifocal unilateral clear cell renal carcinoma which interestingly coexisted with multiple large pancreatic serous microcystic adenomas with infiltration of the fibrous capsule. Conclusion In past cases of von Hippel-Lindau disease, pancreatic adenomas with malignant transformation have not been reported. In our case, the infiltration of the fibrous capsule by parenchymal cells may indicate malignant transformation.
INTRODUCTION
Von Hippel-Lindau disease is an inherited syndrome which usually presents in the second decade of life and causes neoplastic lesions in multiple organs. Renal cell carcinoma is the main malignant tumor and the leading cause of death while pancreatic lesions are usually benign. We present the case of a 56-year-old female with von Hippel-Lindau disease who was diagnosed with renal cell carcinoma and synchronous multiple pancreatic lesions causing duodenal obstruction and chronic pancreatitis due to pancreatic duct compression. The patient underwent a right nephrectomy, total pancreaticoduodenectomy and splenectomy. Histology revealed clear renal cell carcinoma and serous pancreatic cystadenomas, with focal invasion of the fibrous capsule, a finding which is interesting in the light of the benign nature of these lesions.
CASE REPORT
A 56-year-old female Caucasian patient, with a history of excision of a cerebellar hemangioblastoma at the age of 52 years and an unremarkable familial history, was admitted to our hospital for an asymptomatic solid mass on the superior pole of the right kidney, a solid mass of the pancreatic head and multiple cystic lesions in the rest of the pancreas. All the aforementioned findings were discovered during a diagnostic workup for a three-month history of severe epigastric pain, diabetes mellitus of recent onset, dyspepsia, recurrent episodes of vomiting and significant weight loss (6 kg in the past three months).
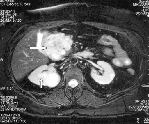
Investigation with abdominal ultrasound, CT scan and MRI with magnetic resonance cholangiopancreatography revealed two solid lesions on the right kidney, a 3.8 cm mass on the superior pole and a 1.2 cm mass on the inferior pole, both with the imaging characteristics of a renal cell carcinoma. Another 5 cm solid mass was found in the head of the pancreas, extensively compressing the antrum of the stomach and the duodenum as well as the inferior vena cava (Figure 1). The main pancreatic duct was significantly dilated and multiple cystic lesions of various sizes were also noted in the pancreatic body and tail (Figure 2). Upper GI endoscopy and endoscopic ultrasound revealed significant compression and a mucosal projection, without infiltration, on the posterior wall of the stomach and the second part of the duodenum, close to the ampulla of Vater which was caused by the pancreatic lesions. Endoscopic ultrasound-guided FNA biopsy of the lesion on the pancreatic head showed severe chronic pancreatitis. Pancreatic neuroendocrine hormones and urinary metanephrine excretion were within normal range. With a clinical diagnosis of von Hippel-Lindau disease, the patient underwent genetic evaluation which was positive for mutation R161P in exon 3 of the von Hippel-Lindau gene, in heterozygosis (direct sequencing).

|
Figure 1. MRI imaging. Right renal mass (vertical arrow) and solid mass in the pancreatic head (horizontal arrow) which proved to be a renal cell carcinoma and an atypical serous microcystic adenoma, respectively. |
|
|

|
Figure 2. Contrast-enhanced CT depicting two cystic lesions at the body and tail of the pancreas. |
|
|
Surgical exploration was performed through a bilateral subcostal incision. A large solid mass on the superior pole of the right kidney and another smaller similar lesion on the inferior pole were confirmed. The pancreatic parenchyma was multilobular and of woody texture, indicative of chronic pancreatitis. A large hard mass in the pancreatic head was severely compressing the second part of the duodenum close to the ampulla, without invasion of the surrounding organs. After intraoperative evaluation of these findings, we proceeded with an en-bloc total pancreaticoduodenectomy and splenectomy, followed by a radical right nephrectomy. The patient had an uneventful postoperative course and was discharged on the 7th postoperative day. Histological examination showed two well-differentiated clear cell renal adenocarcinomas in the upper and lower poles of the right kidney. The pancreas measured 15x5x4.5 cm, had a woody texture and contained one hard, microcystic mass measuring 5x5x4 cm in the head, and one multilobulated cystic lesion in the body and tail, measuring 5x2x2 cm. Both lesions proved to be serous microcystic adenomas with cellular and architectural atypia. The adenoma of the pancreatic head harbored a small focus of microscopic infiltration of its fibrous capsule (Figure 3). The rest of the pancreatic parenchyma exhibited severe changes characteristic of chronic pancreatitis, as the result of significant compression of the pancreatic duct by the two large serous microcystic adenomas.

|
Figure 3. Section of the serous microcystic adenoma in the pancreatic head (H&E, x25). Note the infiltration of its outer fibrous capsule from the parenchyma within. |
|
|
DISCUSSION
Von Hippel-Lindau disease is an inherited syndrome caused by deletions or mutations in a tumor suppressor gene (VHL gene) mapped to human chromosome 3p25 [1]. Affected individuals can develop central nervous system lesions including cerebellar, spinal cord, brainstem, nerve root and supratentorial hemangioblastomas as well as retinal hemangioblastomas and endolymphatic sac tumors. The main visceral manifestations of the disorder include renal cysts and carcinomas, pheochromocytomas, pancreatic cysts, neuroendocrine tumors and serous cystadenomas as well as epididymal and broad ligament cystadenomas. Its clinical manifestations present in the second decade of life and its penetrance reaches 90% by the age of 65 years [2]. Renal cell carcinoma is the main malignant tumor in von Hippel-Lindau disease and is usually the leading cause of death. Its prevalence is estimated between 24 and 45%.The overall incidence of renal lesions (including renal cysts) is 60% [2, 3, 4], with the mean age at presentation being 39 years. Renal lesions are often multiple, multifocal and bilateral. They usually remain asymptomatic for long intervals and only in the more advanced cases do they become clinically apparent. Treatment recommendations depend on tumor size. Nephron-sparing surgery is recommended for carcinomas having a maximum diameter of 3 cm [4]. Nephron or renal-sparing resection is designed to reduce the risk of metastasis while preserving kidney function. Large carcinomas (greater than 3 cm), especially when multifocal disease is confirmed, carry an increased risk of metastases. In rare cases, when the kidney cannot be preserved, a total nephrectomy is the only option. In our case, a large unilateral multifocal renal cell carcinoma, located in both poles of the right kidney, obliged us to perform a radical right nephrectomy.
The prevalence of pancreatic lesions of von Hippel-Lindau is 35-70%, reaching up to 93% of affected individuals in some studies. The most common lesions in the pancreas are cystic (17-56%), with a notable incidence of serous microcystic adenomas [5, 6, 7]. Nevertheless, solid tumors may also develop, such as neuroendocrine tumors (8-17%) and less frequently adenocarcinomas. The mean age at presentation for pancreatic lesions of von Hippel-Lindau is 35-37 years. They are rarely the presenting feature of the disease and usually remain asymptomatic. However, it has been reported that serous microcystic adenomas can cause local compressive effects, particularly at the level of the papilla of Vater [8]. Although these same lesions are thought to be predominantly benign, there have been reports of malignant microcystic adenomas [9]. In our case, a large solid mass in the head of the pancreas, with suspicious characteristics on preoperative imaging, was compressing the second part of the duodenum as well as the main pancreatic duct, causing severe symptoms. The decision to perform a total pancreatectomy was mainly based on the patient’s severe symptomatology and the intraoperative findings of chronic pancreatitis. However, most von Hippel-Lindau cases can be treated with more conservative pancreatic surgery.
In conclusion, we have herein presented an unusual case of von Hippel-Lindau disease with the unique combination of renal cancer and large pancreatic serous microcystic adenomas, one of which was found to focally invade the fibrous capsule. The pancreatic lesions were the cause of coexisting severe chronic pancreatitis, due to compression of the pancreatic duct. In such cases, the proposed combination of nephrectomy and pancreatectomy in a single operation appears to be a safe and oncologically comprehensive approach.
Received February 14th, 2010 - Accepted April 12th, 2010
Key words Adenocarcinoma, Clear Cell; Adenoma Nephrectomy; Pancreatectomy; von Hippel-Lindau Disease
Conflict of interest The authors have no potential conflict of interest
Correspondence
Nikolaos
Arkadopoulos
2nd Department of Surgery
Aretaieion Hospital
76 Vas. Sofias Ave
11528, Athens
Greece
Phone: +30-210.728.6157
Fax: +30-210.728.6156
E-mail: narkado@otenet.gr
References
1. Kaelin WG Jr. Molecular basis of the VHL hereditary cancer syndrome. Nat Rev Cancer 2002; 2:673-82. [PMID 12209156]
2. Lonser RR, Glenn GM, Walther M, Chew EY, Libutti SK, Linehan WM, Oldfield EH. Von Hippel-Lindau disease. Lancet 2003; 361:2059-67. [PMID 12814730]
3. Zbar B, Kaelin W, Maher E, Richard S. Third international meeting on von Hippel-Lindau disease. Cancer Res 1999; 59:2251-3. [PMID 10232616]
4. Walther MM, Choyke PL, Glenn G, Lyne JC, Rayford W, Venzon D, Linehan WM. Renal cancer in families with hereditary renal cancer: prospective analysis of a tumour size threshold for renal parenchymal sparing surgery. J Urol 1999;161:1475-9. [PMID 10210376]
5. Hammel PR, Vilgrain V, Terris B, Penfornis A, Sauvanet A, Correas JM, et al. Pancreatic involvement in von Hippel-Lindau disease. The Groupe Francophone d'Etude de la Maladie de von Hippel-Lindau. Gastroenterology 2000; 119:1087-95. [PMID 11040195]
6. Delman KA, Shapiro SE, Jonasch EW, Lee JE, Curley SA, Evans DB, Perrier ND. Abdominal visceral lesions in von Hippel-Lindau disease: incidence and clinical behavior of pancreatic and adrenal lesions at a single center. World J Surg 2006; 30:665-9. [PMID 16617420]
7. Hough DM, Stephens DH, Johnson CD, Binkovitz LA. Pancreatic lesions in von Hippel-Lindau disease: prevalence, clinical significance and CT findings. AJR Am J Roentgenol 1994; 162:1091-4. [PMID 8165988]
8. Deboever G, Dewulf P, Maertens J. Common bile duct obstruction due to pancreatic involvement in the von Hippel-Lindau syndrome. Am J Gastroenterol 1992; 87:1866-8. [PMID 1449159]
9. George DH, Murphy F, Michalski R, Ulmer BG. Serous cystadenocarcinoma of the pancreas: new entity? Am J Surg Pathol 1989; 13:61-6. [PMID 2909198]